
一名14岁女孩因急性左下腹痛伴
一名14岁女性患者因急性左下腹疼痛伴发热就诊于急诊科。患者既往有左侧卵巢囊肿病史,曾因淋病和衣原体感染接受治疗。
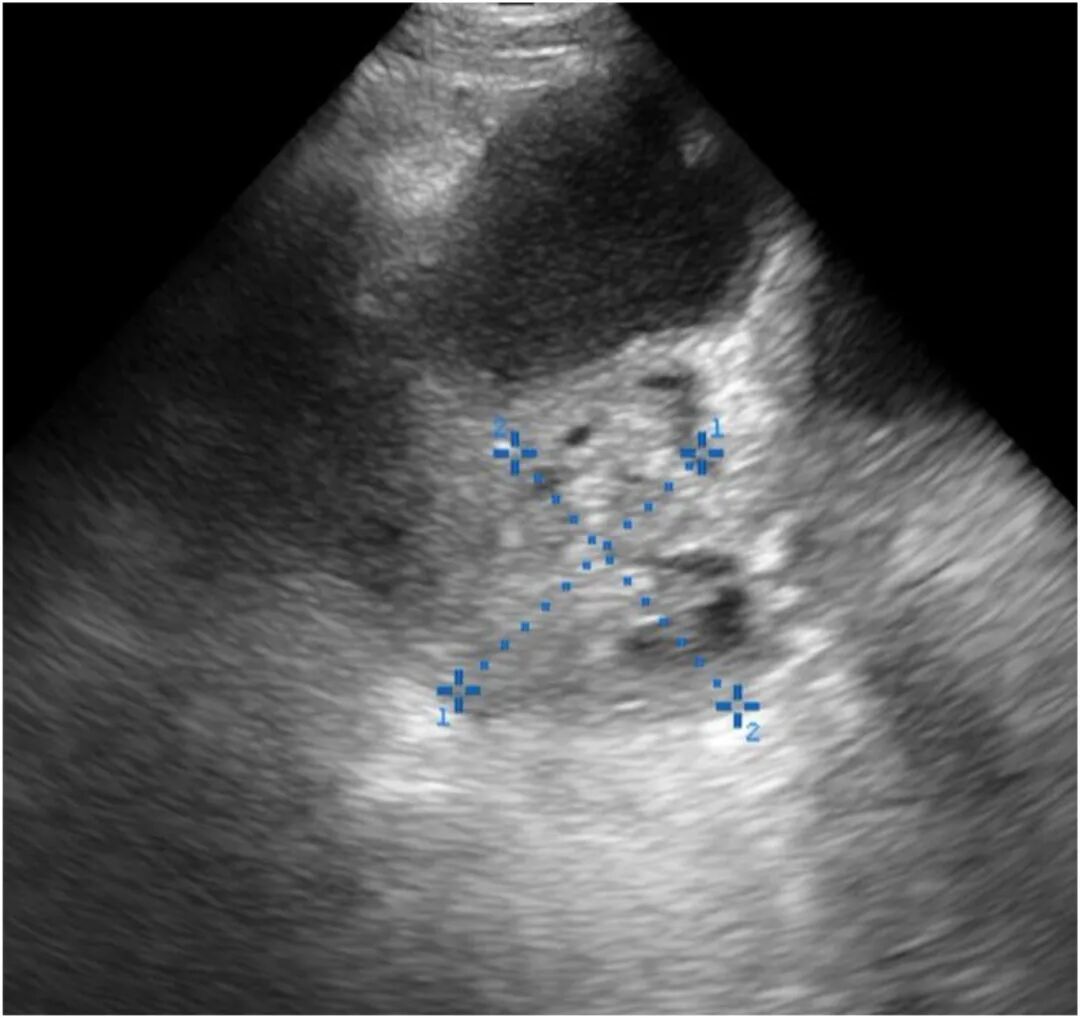
入院后,查体示体温37.9℃,左下腹压痛伴反跳痛。实验室检查显示白细胞计数13.1×10⁹/L,C反应蛋白水平10 mg/dL(100 mg/L),妊娠试验阴性。行床旁超声检查,显示左下腹存在一大型管状结构,内见单纯性回声,并见复杂性炎症性卵巢(图1、图2)。

图 1 床旁即时超声经腹部盆腔矢状面成像显示:一管状囊性结构,内见回声,其最宽处游标测量为5.6 cm×3.4 cm。

图2 床旁即时超声经腹部左侧盆腔矢状面成像显示:一复杂性炎症性卵巢(游标测量4.0×4.0 cm),毗邻上述液性聚集区。
你认为最有可能的诊断是什么?后续你会如何治疗?
下滑查看
你答对了吗?
诊断:输卵管卵巢脓肿。
治疗:患者经妇科团队评估后,抗生素治疗好转,免于手术。
输卵管卵巢脓肿通常由
下腹痛、宫颈举痛、盆腔包块、发热、白细胞增多及炎性标志物升高等临床与实验室指标,均不足以可靠诊断输卵管卵巢脓肿。经验丰富者操作下,经腹超声诊断输卵管卵巢脓肿的敏感性可达93%,特异性达98%。
信源:Booth, Ashley et al. Adolescent Girl With Lower Abdominal Pain. Annals of Emergency Medicine, Volume 85, Issue 2, 185 - 186
医脉通是专业的在线医生平台,“感知世界医学
本平台旨在为医疗卫生专业人士传递更多医学信息。本平台发布的内容,不能以任何方式取代专业的医疗指导,也不应被视为诊疗建议。如该等信息被用于了解医学信息以外的目的,本平台不承担相关责任。本平台对发布的内容,并不代表同意其描述和观点。若涉及版权问题,烦请权利人与我们联系,我们将尽快处理。