ILD-PH 诊断核心攻略:从机制识别到早期筛查丨一文读懂
2026-03-25



引言
间质性肺疾病(ILD)是一组病因明确或未知包含急性及慢性病变的异质性肺部疾病总称。肺动脉高压(PH)是间质性肺疾病(ILD)的常见并发症,在终末期ILD患者中患病率高达86%,且是ILD患者不良预后的独立危险因素,会导致患者生活质量显著降低

图片
(点击图片跳转查看临床中ILD的诊断方法)

间质性肺疾病合并肺动脉高压(ILD-PH的诊断与临床管理面临诸多难点一方面ILD亚型具有异质性,且ILD与PH的症状体征非特异性且高度重叠,易导致PH诊断延误同时特定ILD亚型在疾病早期的诊断本身就存在挑战,进一步增加合并PH的识别难度;另一方面,目前缺乏诊断ILD-PH的特异性生物标志物,且PH的确诊及病情评估仍需依赖有创的右心导管检查(RHC)。

本文系统梳理ILD-PH的在诊断方面的研究进展,为临床诊疗研究提供参考。

发病机制

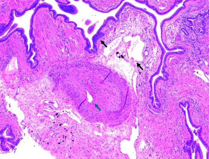
ILD以肺组织炎症损伤、进行性纤维化为特征,表现为肺实质细胞外基质过度沉积(图1),最终引发肺组织结构破坏(图2)。

图片
图1 ILD-PH的病理生理学机制

图片
图2 ILD-PH患者的肺组织病理学显微照片
注:切片呈现出明显的肺组织结构扭曲以及上皮细胞化生增生变化(黑色箭头所示)。还可见肺动脉,其中膜和内膜明显增厚,管腔变窄(蓝色箭头所示)。

对于ILD患者而言,PH的发生通常呈进行性,但不同患者的进展速度差异显著。肺纤维化程度与PH严重程度并非线性相关,肺功能和CT纤维化程度与有创血流动力学指标亦无显著关联,提示除纤维化外,有其他独立的发病机制共同参与PH的发生发展。

ILD-PH对肺血管的影响并非局限于肺泡-毛细血管界面,而是表现为全肺弥漫性、异质性血管重构,该重构以肺小动脉和微动脉受累为主,可不同程度累及毛细血管、静脉及淋巴管;其中ILD-PH累及肺静脉导致患者对肺血管扩张剂的耐受性下降。组织学可见新生血管形成-体循环吻合支存在个体差异,这是导致低氧血症产生的重要原因之一。

肺部疾病急性加重可通过缺氧性肺血管收缩、肺泡损伤和血管顺应性降低加重肺血流动力学异常。慢性缺氧会通过缺氧诱导因子1α(HIF1α)介导,导致肌性肺小动脉中膜肥厚和无肌性微动脉肌化,进而引发轻度肺血管重构和非重度PH。总体而言,ILD-PH的发生是肺纤维化、血管重构、慢性缺氧等多因素共同作用的结果,而非单一的肺实质损伤导致。

临床特征

PH属于血流动力学异常疾病,诊断标准是:右心导管检查(RHC)测得平均肺动脉压(mPAP)>20mmHg。结合肺小动脉楔压(PAWP)和肺血管阻力(PVR),可将PH进一步分为三类:


毛细血管前PHPAWP≤15mmHg且PVR>2 Wood单位WU);

毛细血管后PHPAWP>15mmHg且PVR≤2WU;

混合PHPAWP>15mmHg且PVR>2WU。

部分指南建议将PVR>5WU作为重度ILD-PH的定义标准。

PH的典型症状(呼吸困难、乏力、运动耐量降低)与基础ILD或合并症的症状相互重叠,且ILD和ILD-PH早期肺功能检查(PFT)结果可能难以区分。

基础ILD患者出现以下临床特征时,需警惕PH的发生:


肺功能检查和肺实质影像学表现稳定,但出现原因不明的呼吸困难加重、运动能力下降、运动性低氧血症及一氧化碳弥散量(DLCO)降低,尤其DLCO下降>15%、DLCO<预计值40%、FVC%/DLCO%比值>1.5时;

胸部高分辨率计算机断层扫描(HRCT)显示主肺动脉增宽或主肺动脉与主动脉直径比值升高时,应进一步评估是否存在PH;

若临床评估结合血清利钠肽(BNP和NT-proBNP)水平升高提示PH预测试验概率较高,应行经胸超声心动图检查,必要时转诊至PH中心行RHC进一步评估。

影像学或肺功能检查评估的ILD严重程度与ILD-PH的严重程度相关性较差。另外,需明确ILD患者合并的毛细血管前PH是单纯的ILD-PH(世界肺动脉高压研讨会3组)还是合并特发性PAH世界肺动脉高压研讨会1组)。

在系统性自身免疫性风湿病(如系统性硬化症)中,ILD与PAH常并存,故建议在PH中心对患者的PH和ILD进行全面评估。其中DLCO<预计值45%或胸部HRCT显示轻度肺间质改变的PAH患者,预后与ILD-PH相似,是鉴别诊断的重要参考依据。第七届WSPH建议结合肺功能与HRCT评估肺部疾病范围以区分二者,但目前尚无明确的阈值标准;第六届WSPH工作组则提出采用多参数评估方法进行鉴别。

早期检测

目前,临床上尚无统一的ILD患者PH早期筛查方法,ILD患者的PH多在疾病晚期才得以确诊,常在患者出现右心衰竭临床体征或接受肺移植评估时被检出。

超声心动图是PH筛查的核心工具,通过三尖瓣反流速度(TRV)可估算右心室收缩压(RVSP)当TRV显著升高时,对RHC确诊PH具有较高的阳性预测价值。但在ILD患者中,由于超声窗条件较差,TRV可能无法测量或被低估。此外,还应关注PH或右心功能不全的辅助征象

其他影像学检查手段在PH检测中的应用也日益受到重视。胸部非门控CT的肺动脉与主动脉直径比值>1,其预测价值优于单纯肺动脉直径测量(图3);结合超声心动图估算的肺动脉收缩压(sPAP),可进一步提高PH的预测价值。门控CT和心脏磁共振成像(CMR)可显示右心腔扩大,这是PH存在的重要影像学佐证。

图片
图3 ILD-PH患者的CT:
(A)肺动脉与主动脉直径比值(PA:A)>1;(B)肺间质纤维化改变。

BNP和NT-proBNP水平在PH筛查中具有重要的早期提示价值,已常规用于临床PH的检测和管理。

综上,ILD-PH的诊断需结合临床症状、生物标志物、影像学和肺功能检查进行综合判断,且需采用多学科筛查模式,对高风险患者及时转诊至PH中心行RHC确诊,强调早期筛查与多学科评估的重要性。

参考文献

Raghu G, Sahay S, Price LC, et al. Pulmonary Hypertension Associated With Interstitial Lung Disease: State-of-the-Art Review. Eur Respir J. Published online March 12, 2026. doi:10.1183/13993003.02651-2025.





医脉通是专业的在线医生平台,“感知世界医学脉搏,助力中国临床决策”是平台的使命。医脉通旗下拥有「临床指南」「用药参考」「医学文献王」「医知源」「e研通」「e脉播」等系列产品,全面满足医学工作者临床决策、获取新知及提升科研效率等方面的需求。


本平台旨在为医疗卫生专业人士传递更多医学信息。本平台发布的内容,不能以任何方式取代专业的医疗指导,也不应被视为诊疗建议。如该等信息被用于了解医学信息以外的目的,本平台不承担相关责任。本平台对发布的内容,并不代表同意其描述和观点。若涉及版权问题,烦请权利人与我们联系,我们将尽快处理。

(本网站所有内容,凡注明来源为“医脉通”,版权均归医脉通所有,未经授权,任何媒体、网站或个人不得转载,否则将追究法律责任,授权转载时须注明“来源:医脉通”。本网注明来源为其他媒体的内容为转载,转载仅作观点分享,版权归原作者所有,如有侵犯版权,请及时联系我们。)

0
收藏 分享