编译:
在各个指南中很少讨论的问题,更多需要内分泌大夫了解,而由于其专业性,也需要神经内科大夫的更多介入和关注。
糖尿病是全球最常见的疾病之一,可对多个器官系统造成多种不良影响。约半数糖尿病患者会发生典型的远端对称性多发性神经病变,但也可能出现其他多种非典型周围神经病变。糖尿病治疗诱导的神经病变是一种急性且剧烈疼痛的小纤维神经病变,常伴随
糖尿病会引发多种并发症,影响全身多个器官系统,其中对周围神经系统的影响最为常见。周围神经病变以远端对称性多发性神经病变为主要表现,是糖尿病最主要的周围神经系统并发症,估计高达半数糖尿病患者会患病。然而,糖尿病还可能引发其他多种周围神经病变,我们将其统称为 “非典型糖尿病神经病变”。本综述重点关注这些疾病,包括糖尿病治疗诱导的神经病变、神经根丛神经病变、单神经病变,以及特殊类型的慢性炎症性脱髓鞘性多发性神经病变(CIDP)——CIDP 可能与糖尿病相关,但本身并非非典型糖尿病神经病变(表 1)。值得注意的是,这些神经病变可单独发生,也可与典型糖尿病多发性神经病变合并发生,或彼此共存。
表1 非典型糖尿病神经病变的临床特征与管理总结

注:CIDP = 慢性炎症性脱髓鞘性多发性神经病变;CRPN = 颈部神经根丛神经病变;EMG =
糖尿病治疗诱导的神经病变是一种疼痛性、急性至亚急性的小纤维感觉和自主神经病变,发生于血糖浓度强化控制期后。其典型表现为,在糖化血红蛋白水平快速纠正后的数周内,上下肢出现剧烈的、主要呈长度依赖性的疼痛和感觉异常。相比之下,神经根丛神经病变是一组相关但临床特征不同的疾病,表现为同一解剖区域至少两个神经根发出的至少两条周围神经受累。根据症状出现的解剖部位可分为不同亚型:腰骶部神经根丛神经病变起源于腿部,颈部神经根丛神经病变起源于手臂,胸部神经根神经病变起源于胸部节段。单神经病变包括手臂(腕部正中神经、肘部尺神经)和腿部(腓骨颈处腓神经)的卡压性神经病变,以及缺血性颅神经病变(尤其面神经、动眼神经、滑车神经和外展神经)。在以下章节中,我们将讨论每种疾病的流行病学、病理生理学、诊断、治疗和预后。最后,我们还将探讨糖尿病患者发生慢性炎症性脱髓鞘性多发性神经病变(CIDP)风险是否增加这一争议性问题。本综述主要面向临床医生(包括神经科医生和非神经科医生),旨在帮助其识别和管理糖尿病相关的各种非典型神经系统后遗症。
一项全球荟萃分析显示,全球糖尿病流行影响着9.3% 的人口,而糖尿病多发性神经病变可能发生在多达半数的糖尿病患者中。除糖尿病单神经病变外,其他各类非典型糖尿病神经病变的发病率均远低于糖尿病多发性神经病变。
尽管糖尿病治疗诱导的神经病变的总体风险尚未明确,但某大型糖尿病中心的研究结果估计,五年内糖尿病患者的发病率约为 10%。与其他非典型糖尿病神经病变相比,腰骶部神经根丛神经病变的发病率更低,年发病率约为 4/10 万,糖尿病患者的终身发病率估计约为 1%。慢性炎症性脱髓鞘性多发性神经病变(CIDP)是一种罕见疾病,患病率估计为 0.7-10.3/10 万。由于糖尿病与慢性炎症性脱髓鞘性多发性神经病变(CIDP)的关联尚未明确且存在争议(详见下文),因此难以准确估计糖尿病合并慢性炎症性脱髓鞘性多发性神经病变(CIDP)的患病率。此外,各类非典型糖尿病神经病变的发病率和患病率可能受具体定义的影响,而不同研究的定义往往存在差异。
病理生理学
糖尿病治疗诱导的神经病变的病理生理学机制尚未完全明确。受累患者的皮肤活检显示,表皮内神经纤维密度(IENFD)处于临界水平或降低,同时伴有中小神经纤维肿胀,但尚未见其他病理特征的相关报道。值得注意的是,糖尿病治疗诱导的神经病变常合并微血管并发症,尤其是
图 1 非典型糖尿病神经病变的病理生理学与分布

神经根丛神经病变由炎症性血管炎引起,可累及下肢、上肢或胸部节段的神经 / 神经根 / 神经丛。糖尿病治疗诱导的神经病变由微血管功能障碍导致,表现为长度依赖性感觉神经病变。颅神经病变由非炎症性微血管缺血引起,最常累及动眼神经、面神经、外展神经和滑车神经。压迫性神经病变由机械性压迫导致,最常累及正中神经、尺神经和腓神经。慢性炎症性脱髓鞘性多发性神经病变(CIDP)是一种炎症性脱髓鞘性神经病变,累及神经的近端和远端节段,导致四肢感觉丧失和无力。
推测驱动微血管疾病的机制包括神经元缺血(可能与动静脉分流或低血糖诱导的神经元微血管损伤相关),以及细胞因子释放引发的炎症损伤。实验诱导的低血糖与神经性疼痛和促炎细胞因子升高相关,而促炎细胞因子本身也与疼痛相关。在糖尿病治疗诱导的神经病变大鼠模型中,糖化血红蛋白(HbA1c)下降 > 2% 与巨噬细胞向坐骨神经浸润增加相关,提示炎症可能参与疾病发病机制。然而,目前缺乏直接证据证实上述推测机制在糖尿病治疗诱导的神经病变患者中的作用。
如下文所述,有轶事性观察发现,放松血糖控制可使神经性疼痛快速缓解,这表明神经元功能具有一定程度的急性可逆性,可能适合进行针对性治疗。显然,需要进一步对皮肤甚至周围神经进行组织病理学研究,以更好地明确导致糖尿病治疗诱导的神经病变中,小纤维神经损伤以及神经性疼痛产生和维持的病理生理过程。
临床特征
糖尿病治疗诱导的神经病变于 1933 年首次被描述,当时称为 “
除疼痛外,自主神经功能障碍症状也较为突出,包括
不同类型糖尿病患者的发病年龄和性别分布存在显著差异。1 型糖尿病患者的平均发病年龄为 25 岁,2 型糖尿病患者为 51 岁;1 型糖尿病患者中女性占 79%,2 型糖尿病患者中女性占46%。糖尿病治疗诱导的神经病变的发病风险与糖化血红蛋白(HbA1c)下降速率直接相关,三个月内糖化血红蛋白(HbA1c)绝对下降 > 2% 时,风险显著增加(图 2)。超过这一拐点后,糖尿病治疗诱导的神经病变的发病风险迅速上升:糖化血红蛋白(HbA1c)绝对下降 2% 时,风险约为 10%;下降 5%时,风险超过 90%。
图 2 糖化血红蛋白(HbA1c)变化与糖尿病治疗诱导的神经病变(TIND)发病风险的关系

A)三个月内糖化血红蛋白(HbA1c)绝对下降值与糖尿病治疗诱导的神经病变(TIND)发病风险的关联图;B)发生与未发生糖尿病治疗诱导的神经病变(TIND)患者的个体糖化血红蛋白(HbA1c)变化情况。。
诊断
糖尿病治疗诱导的神经病变的诊断依据是:在糖化血红蛋白水平快速纠正后的 6-8 周内,出现急性、剧烈、主要呈长度依赖性的上下肢疼痛和感觉异常等典型临床表现。通常,追踪既往糖化血红蛋白(HbA1c)水平即可做出诊断,但治疗医生并非总能获得这些信息。如果糖化血红蛋白(HbA1c)在症状出现期间,三个月内绝对下降超过 2%,则可确诊,无需进一步检查。
神经性疼痛是主要症状,通常表现为剧烈的烧灼痛和 / 或刺痛。疼痛一般呈 “袜套 - 手套” 样分布,累及下肢和手部远端,但也可能出现更广泛和近端的分布。患者常伴有同一区域的
大多数患者的
治疗
糖尿病治疗诱导的神经病变的主要治疗目标是疼痛管理和预防未来发作。遗憾的是,这类疼痛通常较为剧烈,且对神经性疼痛药物治疗不敏感。即使联合使用两种或三种最大剂量的药物,大多数患者仍会经历长期持续且致残的疼痛。与糖尿病相关性远端对称性多发性神经病变类似,临床会使用三环类抗抑郁药、5 - 羟色胺 -
尽管纵向数据表明,稳定的血糖控制是糖尿病治疗诱导的神经病变长期管理的重要方面,但短期内血糖控制与疼痛管理的关系仍存在争议。轶事性证据(包括最初所谓 “胰岛素神经炎” 的报道和纵向研究)表明,放松血糖控制可使神经性疼痛快速改善。尽管如此,这种 “允许性高血糖” 策略似乎会增加未来糖尿病治疗诱导的神经病变发作的风险,因此,疼痛控制的短期获益可能无法抵消糖尿病治疗诱导的神经病变复发和多种非神经终末器官并发症的长期风险。
预后
大多数糖尿病治疗诱导的神经病变患者的潜在神经病变及相关症状会显著改善,患者报告疼痛在 18-36 个月内逐渐缓解,疼痛减轻 50% 的平均时间为 15 个月。在这种情况下,大多数患者能够耐受神经性疼痛药物的减量,自主神经功能障碍症状通常也会随着疼痛缓解而改善。值得注意的是,症状的逐步改善依赖于稳定的血糖控制(定义为糖化血红蛋白(HbA1c)水平维持在 6%-8.5%)。
一项对血糖控制良好的糖尿病治疗诱导的神经病变患者进行的八年随访研究显示,随访期间患者的疼痛评分(从 9.2 降至 1.1)、自主神经功能和表皮内神经纤维密度(IENFD)(远端腿部从 2.2 增至5.9)均得到显著改善。然而,若患者糖化血红蛋白(HbA1c)波动超出理想范围,则可能再次发作,伴随神经性疼痛急性复发。此外,1 型糖尿病患者的复发型糖尿病治疗诱导的神经病变,除了典型的自主神经和感觉神经病变特征复发外,还常合并运动神经病变。而且,这些患者会出现严重的视网膜病变、肾病,有时还会发生下肢溃疡,这凸显了避免疾病再次发作的重要性。
目前尚不清楚 2 型糖尿病患者发生复发型糖尿病治疗诱导的神经病变时是否会出现运动神经病变。患者在首次发作糖尿病治疗诱导的神经病变后会显著改善,但后续发作可能会导致严重残疾。因此,预防糖尿病治疗诱导的神经病变应成为初级保健医生、内分泌科医生和神经科医生的工作重点。
病理生理学
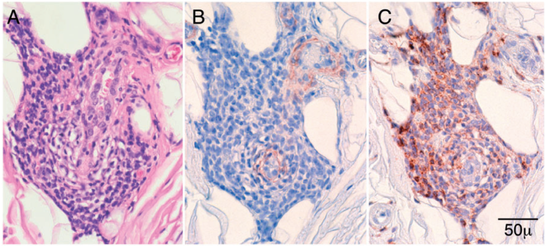
包括糖尿病性、非糖尿病性和术后病例在内的所有类型神经根丛神经病变,均由受累神经根、神经丛和 / 或单个神经的非系统性血管炎引起(图 1)。神经活检的典型特征是血管周围炎症,大多数病例显示血管壁炎症改变、含铁血黄素沉积和新生血管形成(图 3)。然而,导致微血管炎的始动因素尚未明确。推测机制包括与血糖控制相关的促炎细胞因子释放和异常的鞘脂代谢。鉴于糖尿病性和非糖尿病性神经根丛神经病变在临床表现、电诊断和影像学特征以及组织学改变方面存在显著重叠,两者是否属于不同疾病实体仍不明确。糖尿病多发性单神经炎患者的神经活检显示,其微血管炎改变与神经根丛神经病变相似。具体病理特征包括神经束膜内巨噬细胞和淋巴细胞浸润,以及不同程度的坏死性血管炎特征和神经束膜内及神经内膜血管闭塞。这些发现支持神经根丛神经病变的发病机制与微血管炎相关。
图3 神经根丛神经病变中的微血管炎

颈部神经根丛神经病变患者神经外膜血管的连续石蜡切片,分别经苏木精 - 伊红染色(A)、平滑肌肌动蛋白染色(B)和 CD45 染色(C)。可见血管壁破坏和炎症细胞浸润。
临床特征
神经根丛神经病变包含多种相关但临床特征不同的疾病实体,表现为同一肢体的多个神经根、周围神经和 / 或神经丛受累。神经根丛神经病变的典型表现为:先出现明显体重下降和急性至亚急性的刀割样疼痛,数周后出现受累肢体的肌肉萎缩、无力和反射消失。虽然颈部、胸部或腰骶部均可受累,但神经根丛神经病变最常累及下肢,称为腰骶部神经根丛神经病变。疼痛是典型特征,但约 10% 的腰骶部病变患者和 20% 的颈部病变患者可能无疼痛症状。
糖尿病是发生腰骶部神经根丛神经病变的最重要危险因素,其风险是无糖尿病对照组的 8 倍。神经根丛神经病变与糖尿病的关联极为密切,因此通常将其分为糖尿病性神经根丛神经病变和非糖尿病性神经根丛神经病变,尽管两者的临床特征大体相似。手术也是已知的诱因,此类情况称为术后炎症性神经病变。糖尿病的严重程度和病程似乎与神经根丛神经病变的发病风险无明显相关性,但与糖尿病治疗诱导的神经病变类似,快速血糖控制是危险因素。有趣的是,糖尿病前期与糖尿病性神经根丛神经病变的发生无关。
糖尿病性腰骶部神经根丛神经病变(也称为糖尿病性肌萎缩、糖尿病性腰骶丛病变、糖尿病性多发性神经根病变等)通常以显著体重下降和单侧近端腿部疼痛为首发症状。数周至数月内,疼痛逐渐减轻,但无力症状先出现在腿部近端,随后扩散至远端肌节、对侧腿部(30%-90%),有时还会累及胸部(12%-14%)或颈部节段(10%-15%)。约三分之一的患者起病时即出现远端症状,如下肢下垂。患者还可能出现感觉异常、感觉丧失和自主神经功能障碍。
明尼苏达州的一项人群研究显示,腰骶部神经根丛神经病变的总体年发病率为 4.16/10 万。糖尿病患者的发病率显著更高(比值比 7.9,95% 置信区间 14.1-15.2)。有趣的是,与发生糖尿病性多发性神经病变的患者相比,糖尿病性腰骶部神经根丛神经病变患者的血糖控制通常更好、糖尿病确诊时间更短、
糖尿病性颈部神经根丛神经病变大多为单侧发病,仅少数病例会扩散至对侧,这与糖尿病性腰骶部神经根丛神经病变常出现对侧扩散不同。颈部神经根丛神经病变可能扩散至其他身体节段和神经,包括腰骶部节段(24%)、胸部节段(19%)、膈神经(6%)、颅神经(2%)和交感神经链(1%)。颈部神经根丛神经病变累及臂丛神经各干的概率相近,但三分之一的病例会出现全臂丛病变,累及所有神经干。与特发性臂丛神经病变(帕森奇 - 特纳综合征)相比,糖尿病性颈部神经根丛神经病变更可能伴随自主神经功能障碍、双侧受累、下干受累,且更易扩散至胸部或腰骶部。
糖尿病患者与非糖尿病患者中颈部神经根丛神经病变的相对发病率,不如腰骶部神经根丛神经病变明确。最大规模的颈部神经根丛神经病变病例系列研究发现,其糖尿病患病率与普通人群相当;然而,9%-15% 的糖尿病性腰骶部神经根丛神经病变患者同时合并颈部神经根丛神经病变。上述明尼苏达州人群研究估计,颈部神经根丛神经病变的年发病率为 1.64/10 万,但未报告该人群中糖尿病患者的比例。
糖尿病性胸部神经根神经病变表现为单侧或双侧胸段皮节分布区域的烧灼痛和感觉异常,呈带状环绕腹部。可能出现腹部肌肉无力,导致腹壁局部膨出。与糖尿病性腰骶部神经根丛神经病变和颈部神经根丛神经病变类似,显著体重下降是其典型特征。
术后炎症性神经病变通常定义为手术事件后 30天内发生的神经病变,且明确与手术操作、体位或麻醉无关。术后炎症性神经病变可发生于多种术前操作后,包括骨科手术、腹盆腔手术、胸部手术、牙科手术和微创手术。最大规模的 33 例病例系列研究显示,最常见的表现为腰骶部神经根丛神经病变模式(30%),其次为颈部神经根丛神经病变(21%)、坐骨神经病变(18%)、多节段受累(12%)、多发性神经根病变(9%)、多发性神经病变(6%)和自主神经病变(3%)。尽管术后炎症性神经病变的总体发病率尚未明确,但糖尿病是最常见的既往危险因素,33% 的病例合并糖尿病。
最后,糖尿病患者罕见发生多发性单神经病变(也称为糖尿病性多发性单神经炎)。这种疾病是否属于糖尿病特异性的独特病理实体、与糖尿病共存的非系统性血管炎,还是糖尿病性神经根丛神经病变的一种亚型,目前仍不明确。然而,已报道的糖尿病性多发性单神经炎病例显示,患者通常以腓神经和尺神经受累为主,近端无力症状较轻,这与典型的神经根丛神经病变至少存在一定的临床差异。此外,部分多灶性糖尿病神经病变患者的临床病程呈复发性。
诊断
尽管神经根丛神经病变的诊断基于临床病史和体格检查,但电诊断检查有助于定位神经损伤部位(神经根和神经丛),从而大幅缩小鉴别诊断范围。受累神经根和神经丛的
电诊断检查通常显示受累范围比临床表现更广泛,多个肌节存在轴索变性和去神经支配证据。糖尿病性腰骶部神经根丛神经病变患者的腰部脊旁肌常受累,而颈部神经根丛神经病变患者中仅少数累及颈部脊旁肌。尽管影像学检查主要用于排除其他病因,但磁共振神经成像可能显示神经根、神经丛和神经的 T2 加权高信号、神经增粗、肌肉萎缩和对比增强。神经根丛神经病变患者的磁共振神经成像异常率差异较大:颈部神经根丛神经病变为 98%-100%,腰骶部神经根丛神经病变为 35%-91%。对于疑似糖尿病性多发性单神经炎,明确诊断需要通过神经活检确认微血管炎的典型病理特征。
治疗
治疗以支持性和对症治疗为主,包括物理治疗、疼痛控制、必要时使用支具,以及根据需要治疗
表 2 评估神经根丛神经病变免疫调节治疗的研究

注:DLSRPN = 糖尿病性腰骶部神经根丛神经病变;IV = 静脉注射;IVIG = 静脉注射免疫球蛋白;IVMP = 静脉注射
由于糖尿病性多发性单神经炎的相关数据有限,此类患者的治疗应参考神经根丛神经病变还是无糖尿病的非系统性血管炎的治疗方案,目前尚不明确。部分证据表明,糖尿病性多发性单神经炎患者经数周糖皮质激素治疗后症状改善,但这也可能与疾病的自然病程一致。无糖尿病的非系统性血管炎性神经病变可采用糖皮质激素和 / 或
预后
累及任何解剖区域的糖尿病性神经根丛神经病变通常为单相性且自限性。几乎所有患者都会恢复,但恢复程度存在差异。症状平均在 2-3 个月内(最长可达 18 个月)持续加重,随后趋于稳定并逐渐改善。疼痛症状通常先于无力症状缓解。神经根丛神经病变的发病率与疼痛和无力的严重程度相关,可导致功能障碍。在腰骶部神经根丛神经病变患者中,25%-50% 的患者在病程某一阶段需要使用轮椅,随访时这一比例降至 10%-15%。下肢下垂是最常见的残留缺陷。与糖尿病性腰骶部神经根丛神经病变相比,颈部神经根丛神经病变的恢复程度更显著。术后炎症性神经病变均会随时间逐渐改善。神经根丛神经病变的复发率差异较大:糖尿病性腰骶部神经根丛神经病变为 5%-20%,颈部神经根丛神经病变为 21%。糖尿病性多发性单神经炎患者的疼痛症状通常在数周内缓解,尤其是接受糖皮质激素治疗的患者。运动功能障碍通常在数月内逐渐改善,约 50% 的患者会残留轻度至中度缺陷。
单神经病变
病理生理学
糖尿病相关单神经病变可与神经卡压或微血管神经缺血相关(图 1)。糖尿病患者发生神经卡压的风险通过多种代谢和结构机制升高。高血糖本身会导致渗透压调节剂和
与卡压性神经病变不同,面部和颅神经麻痹的病理表现以及与
临床特征
神经卡压是糖尿病患者局灶性单神经病变的主要原因。其可发生于疾病的任何阶段,且可能无症状。此类卡压性神经病变包括腕管正中神经病变(MNW)、肘部尺神经病变(UNE)和膝部腓神经病变,其中腕管正中神经病变(MNW)最为常见。最近一项纳入 42 项观察性研究的荟萃分析显示,糖尿病是腕管综合征(CTS,定义为有临床症状的腕管正中神经病变(MNW))的危险因素(比值比 1.68,95% 置信区间1.45-1.94)。
无症状性腕管正中神经病变(MNW)在糖尿病患者中也较为常见,报告患病率为 25%-30%。相比之下,肘部尺神经病变(UNE)与糖尿病的关联尚未明确。34%-44% 的糖尿病患者存在与肘部尺神经病变(UNE)相符的电诊断异常,但仅有 1%-3% 的患者出现症状。此外,一项针对接受肘部尺神经病变(UNE)手术患者的小型队列研究未将糖尿病列为危险因素。相反,瑞典一项大型队列研究显示,糖尿病与肘部尺神经病变(UNE)独立相关(风险比 2.20,95%置信区间 1.30-3.74);然而,该研究中肘部尺神经病变(UNE)的诊断基于国际疾病分类编码,而非临床和电诊断标准。糖尿病患者膝部腓神经病变的患病率差异较大,为 3%-60%,这与所研究的特定人群和诊断标准相关,大多数病例为亚临床型。
颅神经病变也是糖尿病的并发症之一。动眼神经和面神经受累最为常见,其次是外展神经和滑车神经。糖尿病患者也可能发生单侧或双侧膈神经病变,但上肢或下肢的其他单神经病变(骨间后神经、腋神经、肩胛上神经、闭孔神经、坐骨神经或腓肠神经)缺乏足够证据表明糖尿病是其致病因素。
诊断
诊断的第一步是根据特定神经分布区域的症状和体征进行临床识别。卡压性神经病变起病缓慢、进展迟缓,若不进行干预则持续存在。电诊断检查有助于定位压迫部位的神经病变,并与其他症状相似的疾病(如神经根病变)相鉴别。超声检查是一种成本效益较高的诊断方法,尤其适用于临床表现不典型且电诊断无法定位卡压部位的病例。颅神经单神经病变起病急,无进展,基于临床表现即可诊断。
治疗
卡压性神经病变的治疗主要取决于病情严重程度。轻中度病例可采用保守治疗,如腕管综合征(CTS)患者使用腕部支具固定,肘部尺神经病变(UNE)患者使用肘部垫枕并避免肘部受压于坚硬表面。对于难治性和重度腕管综合征(CTS),建议在腕部局部注射糖皮质激素或进行手术减压。难治性和重度肘部尺神经病变(UNE)可考虑手术治疗。
动眼神经病变的治疗以保守治疗为主,重点控制心血管危险因素、使用眼罩减轻复视,以及使用胶带预防眼睑闭合不全导致的角膜损伤。对于面神经单神经病变,发病 72 小时内开始短期口服糖皮质激素治疗可能有助于恢复。
预后
大多数腕管综合征(CTS)患者经非手术治疗或手术减压后可获得显著改善。部分研究报告,糖尿病合并腕管综合征(CTS)患者的改善速度较慢,预后较差;然而,一项纳入 10 项研究的荟萃分析得出结论,糖尿病患者与非糖尿病患者接受腕管松解术后,患者报告的结局改善无差异。对于肘部尺神经病变(UNE),轻、中、重度病例经非手术治疗后的改善率分别为 89%、67% 和 38%。然而,糖尿病患者接受肘管综合征手术后,患者报告的结局优于非糖尿病患者。
动眼神经单神经病变呈单相性病程,大多数患者可完全或部分恢复。糖尿病似乎不影响面神经病变的恢复。不良预后因素包括最大缺损时面神经无力的严重程度,以及电诊断检查显示复合肌肉动作电位较低(低于正常下限的 10%)。
病理生理学
慢性炎症性脱髓鞘性多发性神经病变(CIDP)是一种自身免疫介导的多发性神经根神经病变,在潜在(但尚未明确)抗原触发下,涉及细胞、体液和补体介导的病理机制(图 1)。上游过程为血 - 神经屏障破坏,使炎症细胞能够进入周围神经系统。下游过程主要为巨噬细胞介导的髓鞘破坏,导致神经损伤呈局灶性。在细胞机制方面,CD8 阳性细胞毒性 T 细胞优先激活并呈寡克隆扩增,提示存在多抗原驱动的免疫应答。此外,活动性慢性炎症性脱髓鞘性多发性神经病变(CIDP)患者的血液和脑脊液中,产生细胞因子的 CD4 阳性 Th-17 细胞水平显著高于缓解期患者。激活的 T 细胞和细胞因子穿透受损的血 - 神经屏障,刺激巨噬细胞并上调黏附分子和主要组织相容性复合体 II 类分子。其结果是,神经活检标本中可见神经内膜血管周围聚集大量巨噬细胞。体液机制也发挥作用。在慢性炎症性脱髓鞘性多发性神经病变(CIDP)患者的髓鞘上已检测到补体结合性 IgG 和 IgM,且将慢性炎症性脱髓鞘性多发性神经病变(CIDP)患者的 IgG 被动转移至动物模型中,可诱导传导阻滞和脱髓鞘。此外,在所谓的自身免疫性 “结节病”(当前指南将其归类为与慢性炎症性脱髓鞘性多发性神经病变(CIDP)不同的疾病)中,已发现针对郎飞结的 IgG4 非补体结合性自身抗体,这表明致病性抗体至少在部分炎症性自身免疫性神经病变患者中起主要作用。值得注意的是,糖尿病似乎是发生自身免疫性结节病的危险因素,血清学阳性的自身免疫性结节病患者中糖尿病的患病率是普通人群的 3.4 倍。最后,多项证据支持补体在慢性炎症性脱髓鞘性多发性神经病变(CIDP)中的作用。慢性炎症性脱髓鞘性多发性神经病变(CIDP)患者的脑脊液和血清中补体浓度升高,腓神经中检测到补体沉积,且补体浓度与疾病活动性相关。
关于糖尿病为何可能增加慢性炎症性脱髓鞘性多发性神经病变(CIDP)的发病风险,存在多种推测:糖尿病通过髓鞘的非酶促糖基化促进巨噬细胞介导的髓鞘降解和抗原呈递;糖尿病增加促炎细胞因子和基质金属蛋白酶的激活;糖尿病诱导微血管病变并破坏血 - 神经屏障,形成启动慢性炎症性脱髓鞘性多发性神经病变(CIDP)疾病级联反应的初始病灶。然而,关于糖尿病合并慢性炎症性脱髓鞘性多发性神经病变(CIDP - 糖尿病)的病理生理学,人类数据有限(若存在)。大量研究采用自发性自身免疫性周围多发性神经病变模型模拟慢性炎症性脱髓鞘性多发性神经病变(CIDP),重点关注 B7-1/B7-2 以及 CD28 / 细胞毒性 T 淋巴细胞相关蛋白 4 在平衡致病性 T 细胞和调节性 T细胞中的作用、γ 干扰素、神经营养因子 3 和胰岛素样生长因子 —— 其中胰岛素样生长因子在糖尿病多发性神经病变和慢性炎症性脱髓鞘性多发性神经病变(CIDP)中均具有抑制小胶质细胞向促炎状态转化的共同作用。
临床特征
慢性炎症性脱髓鞘性多发性神经病变(CIDP)是一种慢性、无痛性、进行性的运动和感觉大纤维神经脱髓鞘疾病,表现为对称性近端和远端无力,伴反射减弱或消失。慢性炎症性脱髓鞘性多发性神经病变(CIDP)的诊断为临床诊断,需符合 2021 年欧洲神经病学学会 / 周围神经学会(EAN/PNS)指南规定的电诊断标准。与前文讨论的与糖尿病明确相关的非典型糖尿病神经病变不同,慢性炎症性脱髓鞘性多发性神经病变(CIDP)与糖尿病的关系仍存在争议,目前尚未达成共识明确两者的关联或因果关系。因此,慢性炎症性脱髓鞘性多发性神经病变(CIDP)不能归类为真正的糖尿病神经病变,但仍是非典型糖尿病神经病变患者的重要鉴别诊断,因此本综述对其进行讨论。
慢性炎症性脱髓鞘性多发性神经病变(CIDP)队列研究表明,糖尿病患病率高于预期(美国 / 加拿大为 26%-27%,塞尔维亚/ 英国为 19%,日本为 18%,意大利为 14%),提示两者可能存在关联。然而,关于糖尿病与慢性炎症性脱髓鞘性多发性神经病变(CIDP)关联的回顾性和前瞻性研究结果不一致,两项研究未发现关联,另有三项研究发现存在显著关联(表 3)。尽管研究重点主要为成人,但已有证据表明糖尿病与慢性炎症性脱髓鞘性多发性神经病变(CIDP)在儿童中也可能存在关联,包括 1 型糖尿病患者。
表3 评估慢性炎症性脱髓鞘性多发性神经病变(CIDP)与糖尿病关联的研究

注:CI = 置信区间;DM = 糖尿病;SMR = 标准化发病率比。
诊断
电诊断评估至关重要,慢性炎症性脱髓鞘性多发性神经病变(CIDP)的诊断需进行电诊断检查并符合欧洲神经病学学会 / 周围神经学会(EAN/PNS)诊断标准。然而,尽管有这些标准,慢性炎症性脱髓鞘性多发性神经病变(CIDP)仍常被误诊,经仔细审查后发现 32%-45% 的慢性炎症性脱髓鞘性多发性神经病变(CIDP)患者存在误诊。糖尿病患者(即糖尿病合并慢性炎症性脱髓鞘性多发性神经病变(CIDP - 糖尿病))中慢性炎症性脱髓鞘性多发性神经病变(CIDP)的识别尤其具有挑战性,尤其是合并糖尿病多发性神经病变的患者。慢性炎症性脱髓鞘性多发性神经病变(CIDP)的临床诊断标准规定,需存在四肢近端和远端无力,伴反射减弱或消失,且病程进展至少8 周。
相比之下,糖尿病多发性神经病变通常以感觉症状为主,进展缓慢,除趾伸肌无力外,运动功能障碍轻微。因此,提示慢性炎症性脱髓鞘性多发性神经病变(CIDP)等非糖尿病性神经病变的重要特征包括症状快速进展、早期出现运动功能障碍、表现不对称,以及上肢反射普遍减弱或消失。上肢和下肢近端无力是慢性炎症性脱髓鞘性多发性神经病变(CIDP)的典型特征,而在典型糖尿病多发性神经病变中不存在,这一点尤为重要。值得注意的是,最终通过电诊断检查确诊为慢性炎症性脱髓鞘性多发性神经病变(CIDP)的患者,发病初期极少表现为典型糖尿病多发性神经病变的远端对称性多发性神经病变模式。
糖尿病合并慢性炎症性脱髓鞘性多发性神经病变(CIDP - 糖尿病)诊断的另一个挑战是,糖尿病本身可导致神经传导速度减慢。一项针对 100 例糖尿病合并多发性神经病变患者的研究采用 1991 年美国神经病学学会电诊断标准,发现 4 例患者符合慢性炎症性脱髓鞘性多发性神经病变(CIDP)的两项标准,但无患者符合三项或以上标准。因此,在糖尿病患者中应用慢性炎症性脱髓鞘性多发性神经病变(CIDP)电诊断标准时需谨慎。脑脊液蛋白浓度通常有助于慢性炎症性脱髓鞘性多发性神经病变(CIDP)的诊断,但在糖尿病合并疑似慢性炎症性脱髓鞘性多发性神经病变(CIDP)的患者中,由于糖尿病本身常导致脑脊液蛋白升高,其结果难以解读。
评估糖尿病合并慢性炎症性脱髓鞘性多发性神经病变(CIDP - 糖尿病)患者治疗效果的研究进一步凸显了该疾病诊断的挑战性。尽管两项小型开放标签研究(分别纳入 9 例和 26 例患者)观察到静脉注射免疫球蛋白(IVIG)具有一定治疗效果,但一项针对糖尿病合并慢性炎症性脱髓鞘性多发性神经病变(CIDP - 糖尿病)患者的开放标签、随机对照交叉研究显示,治疗三个月后,患者的残疾程度、肌力或生活质量均未改善。后续试验表明,符合 2006 年欧洲神经学会联合会(EFNS)/ 周围神经学会(PNS)脱髓鞘电诊断标准条目较多的糖尿病合并慢性炎症性脱髓鞘性多发性神经病变(CIDP - 糖尿病)患者,更可能对免疫治疗产生应答。此外,传导阻滞和病程较短是治疗应答的阳性预测因素。综上,这些研究表明,对于糖尿病合并脱髓鞘性电诊断特征的患者,慢性炎症性脱髓鞘性多发性神经病变(CIDP)的诊断应仅限于存在明显近端无力、明确传导阻滞、病程较短,和 / 或符合严格慢性炎症性脱髓鞘性多发性神经病变(CIDP)标准的患者。
预后
与糖尿病合并仅远端受累的脱髓鞘性表型(糖尿病多发性神经病变)患者相比,糖尿病合并慢性炎症性脱髓鞘性多发性神经病变(CIDP - 糖尿病)患者年龄更大、糖尿病病程更短、疾病更严重。尽管糖尿病合并慢性炎症性脱髓鞘性多发性神经病变(CIDP - 糖尿病)队列的血糖控制更好(糖化血红蛋白(HbA1c)为 7.7%,脱髓鞘性糖尿病多发性神经病变队列为 8.9%),但前者的疾病严重程度更高。塞尔维亚和英国的一项回顾性欧洲队列研究也发现,糖尿病合并慢性炎症性脱髓鞘性多发性神经病变(CIDP - 糖尿病)的发病年龄晚于单纯慢性炎症性脱髓鞘性多发性神经病变(CIDP)患者(59 岁 vs 52 岁),但基线疾病严重程度相似,治疗应答相当。意大利一项纳入 393 例符合 2006 年欧洲神经学会联合会(EFNS)标准的慢性炎症性脱髓鞘性多发性神经病变(CIDP)患者的研究发现,合并糖尿病的患者残疾评分通常更高、生活质量更差、治疗应答率更低,且近半数病例的合并症影响治疗选择。随访六个月时,单纯慢性炎症性脱髓鞘性多发性神经病变(CIDP)患者对免疫治疗的应答似乎优于糖尿病合并慢性炎症性脱髓鞘性多发性神经病变(CIDP - 糖尿病)患者。然而,不应忽视静脉注射免疫球蛋白(IVIG)对糖尿病合并慢性炎症性脱髓鞘性多发性神经病变(CIDP - 糖尿病)患者潜在的长期治疗获益,部分患者可获得显著改善。一项纵向研究显示,随访 40 个月时,神经病变损伤评分从 38 降至 16。
基于胰高血糖素样肽 1(GLP-1)的疗法在糖尿病治疗、体重管理和非酒精性脂肪性肝炎治疗中的应用迅速增加。这些药物在降低 2 型糖尿病患者的糖化血红蛋白(HbA1c)水平方面非常有效,根据药物种类不同,绝对降幅约为 1%-2%。试验还显示其具有显著的减重效果,且对心血管结局、卒中及死亡率均有益处。迄今为止,仅有四项小型、短期随机对照研究评估了基于胰高血糖素样肽 1(GLP-1)的疗法对典型糖尿病多发性神经病变的治疗效果,但未观察到明确的临床获益。
关于基于胰高血糖素样肽 1(GLP-1)的疗法对糖尿病多发性神经病变发病风险的影响,一项针对 5000 余例 2 型糖尿病患者的研究发现,与甘精胰岛素或格列美脲(均联合二甲双胍)相比,使用两种胰高血糖素样肽 1(GLP-1)受体激动剂之一治疗五年,神经病变的发病率无显著差异。然而,新型、减重效果更强的胰高血糖素样肽 1(GLP-1)受体激动剂是否对糖尿病多发性神经病变的发生具有保护作用,仍有待观察。重要的是,目前尚无研究报告基于胰高血糖素样肽 1(GLP-1)的疗法是否会影响非典型糖尿病神经病变的发病风险。两项研究发现,使用胰高血糖素样肽 1(GLP-1)受体激动剂司美格鲁肽治疗的患者,早期糖尿病视网膜病变恶化的风险增加,且视网膜病变恶化与治疗前 16 周内糖化血红蛋白(HbA1c)的下降幅度相关。
鉴于血糖控制是神经根丛神经病变和糖尿病治疗诱导的神经病变的危险因素,随着新型、更有效的基于胰高血糖素样肽 1(GLP-1)的疗法的广泛应用,这些疾病的发病率可能会增加。了解下一代基于胰高血糖素样肽 1(GLP-1)的疗法对典型和非典型糖尿病神经病变的影响,将是未来研究的重要方向。
目前尚无关于非典型糖尿病神经病变的共识指南。2010年发布的多伦多共识小组指南未专门涵盖本综述讨论的非典型糖尿病神经病变类型。然而,美国糖尿病协会 2016 年的立场声明将神经病变分为三类:弥漫性神经病变、单神经病变以及神经根病变或多发性神经根病变。后两类被归类为非典型类型,包括孤立性颅神经或周围神经单神经病变、多发性单神经炎、神经根丛神经病变、胸部神经根病变,以及糖尿病中常见的非糖尿病性神经病变(包括压迫性麻痹、慢性炎症性脱髓鞘性多发性神经病变(CIDP)和治疗诱导的急性疼痛性小纤维神经病变)。如本综述其他部分所述,慢性炎症性脱髓鞘性多发性神经病变(CIDP)的诊断标准由 2021 年欧洲神经病学学会 / 周围神经学会(EAN/PNS)指南明确规定。
尽管糖尿病最常见的周围神经并发症是长度依赖性多发性神经病变,但临床医生应意识到糖尿病还与多种其他神经病变相关,包括糖尿病治疗诱导的神经病变、神经根丛神经病变、周围神经单神经病变、颅神经病变、糖尿病性多发性单神经炎和慢性炎症性脱髓鞘性多发性神经病变(CIDP)(表 1)。这些非典型糖尿病神经病变具有独特的临床表现,且许多具有共同的微血管发病机制。糖尿病治疗诱导的神经病变的特征是血糖控制显著改善后数周内出现剧烈神经性疼痛。神经根丛神经病变的典型特征是体重下降和疼痛,随后出现累及多个肌节和神经分布区域的不对称无力。这两种疾病的治疗均以支持性治疗为主,重点在于神经性疼痛的治疗和复发预防。腕管正中神经卡压和颅神经病变在糖尿病患者中明显更常见,且根据单一神经受累的神经系统缺损症状可轻松识别。重要的是,本综述讨论的多种非典型糖尿病神经病变(糖尿病治疗诱导的神经病变、神经根丛神经病变、颅神经病变)均为自限性,长期预后良好,且无明确证据表明特定治疗干预有效。糖尿病合并慢性炎症性脱髓鞘性多发性神经病变(CIDP - 糖尿病)的治疗与单纯慢性炎症性脱髓鞘性多发性神经病变(CIDP)相似,但应答可能较差。尽管这些疾病的临床特征已明确,但仍需开展大量研究以进一步明确其潜在发病机制,并制定最佳预防和治疗策略。
1.鉴于微血管功能障碍是多种非典型糖尿病神经病变的主要病理特征,其潜在触发因素和微血管病变的本质是什么?
2.炎症是否为糖尿病治疗诱导的神经病变的组成部分?如果是,免疫调节治疗是否具有一定作用?
3.尽管唯一一项神经根丛神经病变的随机对照试验未显示糖皮质激素具有临床获益,但其他免疫调节治疗是否可能有效?
4.基于胰高血糖素样肽 1(GLP-1)的疗法对非典型糖尿病神经病变(尤其是与糖化血红蛋白(HbA1c)水平降低或血糖控制改善相关的疾病,如神经根丛神经病变和糖尿病治疗诱导的神经病变)的发病风险有何影响?
5.慢性炎症性脱髓鞘性多发性神经病变(CIDP)的生物标志物是否有助于糖尿病合并慢性炎症性脱髓鞘性多发性神经病变(CIDP -糖尿病)的诊断和 / 或预测治疗应答?
本视频/资讯/文章的内容不能以任何方式取代专业的医疗指导,也不应被视为诊疗建议。医脉通是专业的在线医生平台,“感知世界医学脉搏,助力中国临床决策”是平台的使命。医脉通旗下拥有「临床指南」「用药参考」「医学文献王」「医知源」「e研通」「e脉播」等系列产品,全面满足医学工作者临床决策、获取新知及提升科研效率等方面的需求。

(本网站所有内容,凡注明来源为“医脉通”,版权均归医脉通所有,未经授权,任何媒体、网站或个人不得转载,否则将追究法律责任,授权转载时须注明“来源:医脉通”。本网注明来源为其他媒体的内容为转载,转载仅作观点分享,版权归原作者所有,如有侵犯版权,请及时联系我们。)