五次抗生素为何败给一场咳嗽?—— 一例以慢性咳嗽为表象的复发性多软骨炎影像诊断剖析
发布时间:2025-12-05   


临床病史


52岁男性慢性鼻窦炎病史出现低热和持续咳嗽血液检查显示C反应蛋白(CRP)升高和白细胞增多。六周内接受了五个疗程的抗生素治疗,症状无明显缓解,因此被转诊进行胸部/腹部计算机断层扫描CT和全身氟代脱氧葡萄糖正电子发射断层扫描/计算机断层扫描FDGPET/CT以进一步评估。


影像学检查结果


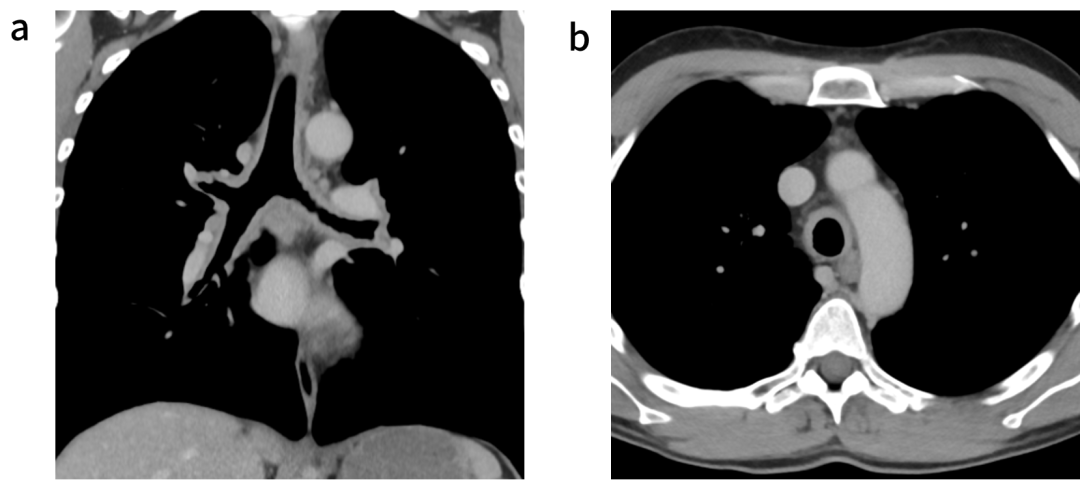
胸腹部增强CT显示气管和主支气管弥漫性环周壁增厚,伴气管周围软组织轻度反应性改变及多发淋巴结肿大(图1)。

图片
1. 胸部、冠状(a)和轴向(b)平面的增强CT显示气管和支气管壁弥漫性增厚,后膜壁结构保留


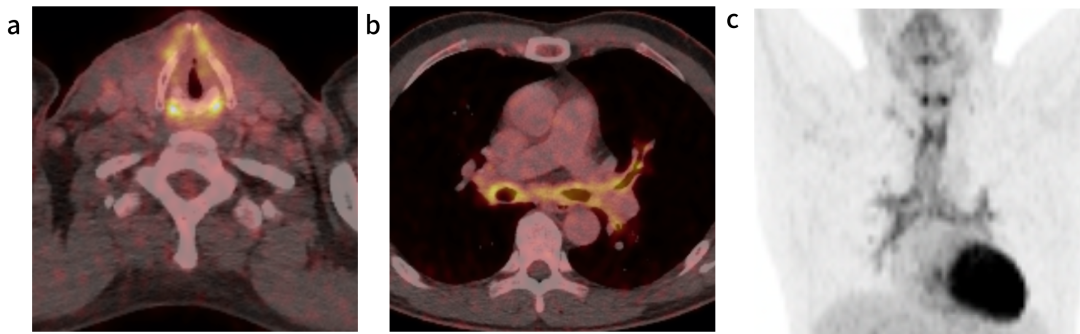
全身FDG PET/CT扫描显示喉软骨、增厚的气管壁、主支气管和双侧段支气管呈显著对称性FDG高摄取(图2)。在鼻中隔以及少量纵隔和肺门淋巴结中观察到额外的轻度摄取。上呼吸道软骨结构的对称性FDG高摄取,并伴有管壁增厚,符合系统性软骨炎性病变的代谢特征,支持复发性多软骨炎(RP)诊断。

图片
2. (a)(b)FDG PET/CT 显示喉软骨、增厚气管和两个主支气管中有明显、对称的FDG摄取;(c)冠状FDG PET MIP图像显示气管和两个主支气管的FDG摄取增


讨论



RP是一种罕见的慢性自身免疫性疾病,其特征是软骨组织(包括耳廓、鼻中隔、呼吸道和关节的软骨)反复发作性炎症。其发病机制尚不清楚,目前认为主要与针对II型胶原蛋白和马特林-1等软骨特异性抗原的体液和细胞免疫应答异常相关。这导致炎症、水肿和进行性软骨变性,若累及呼吸道可能危及生命。本病好发于中年人群,临床表现常呈非特异性及波动性,易导致诊断延误。


临床角度


RP的临床症状多样且缺乏特异性,常表现为低热、乏力、咳嗽或受累软骨区域疼痛等。约50%的病例可累及呼吸道,表现为呼吸困难、喘鸣或反复下呼吸道感染。疾病早期症状往往隐匿且呈间歇性,是造成诊断延迟的主要原因之一。因此,系统评估软骨受累范围及程度对于及时诊断至关重要,尤其需关注气道壁增厚或塌陷等早期征象。


影像学角度


增强CT是评估RP气道受累的首选影像学方法。其特征性表现为气管及支气管壁光滑、弥漫性环周增厚,且后膜部通常不受累,这一表现有助于与恶性肿瘤、肉芽肿性多血管炎GPA)等其他气道疾病相鉴别。慢性病程中受累软骨可出现钙化。


FDG PET/CT可补充提供代谢活性信息,能在形态学改变尚不明显时即识别软骨结构的炎性活动,对早期诊断具有重要价值。喉、气管及支气管软骨的对称性FDG摄取增高是提示RP的重要影像学特征,同时PET/CT亦可用于评估病变范围及监测治疗反应。


尽管单一影像学表现不具备确诊意义,但在相应临床背景下,结合CT所示软骨性气道增厚(后壁豁免)与PET/CT提示的代谢活跃性炎症,可有力支持RP的诊断。组织活检并非必需,但在影像与临床特征不典型或需排除肿瘤等其他疾病时,可考虑实施。


结果


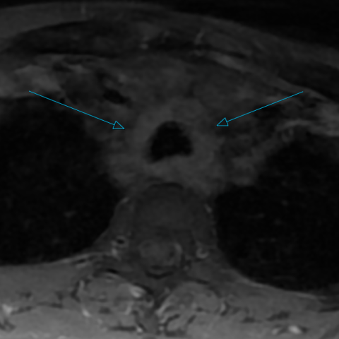
本例患者因临床疑诊RP转诊至风湿免疫科。虽曾考虑行组织活检以明确诊断,但因顾虑气道操作风险而未施行。治疗方案始于大剂量泼尼松龙诱导缓解,后续序贯生物制剂治疗。通过随访核磁共振成像(MRI)评估治疗反应,可见气管支气管壁增厚程度较前部分好转(图3、图4),提示治疗应答。尽管如此,患者仍反复出现呼吸道症状急性加重,说明本病具有易复发、难控制的临床特点。


图片

3.治疗前颈部的轴向T1加权MRI(T1 FLEX+钆)显示气管壁增厚,对比增强,与炎症相符。


图片

4. 治疗六个月后的轴向T1加权MRI(T1 FSE)与图3处于同一水平,显示炎症变化部分消退



鉴别诊断



肉芽肿病伴多血管炎(GPA)


气管受累是GPA的表现之一,占局限性病变的1%–5%,并可能是20%病例的初始事件。GPA患者诊断年龄通常低于RP患者,中位年龄在35至40岁之间。临床常伴明显的耳鼻喉(ENT)症状(如鼻炎、鼻痂,发生率约80%),以及肺部受累(40-60%)、关节炎、皮肤表现和肾脏受累(25%)。实验室检查中,50-60%的病例抗中性粒细胞细胞质抗体(ANCA)阳性,且90%具有抗蛋白酶3(PR3)特异性,这是与RP鉴别的关键。少数情况下(10%–25%)可出现抗髓过氧化物酶(MPO)抗体阳性。胸部CT显示声门下环状狭窄,伴软骨侵蚀及罕见钙化此外,常可见肺部实质异常,如结节、磨玻璃影(对应肺泡出血或非特异性间质性肺炎)或寻常型间质性肺炎模式,而RP通常无此类实质病变。支气管镜检查可见较短的声门下狭窄(距声带中位距离约1cm,长度约1.5cm),有时伴炎性溃疡。


气管支气管淀粉样变性


气管支气管淀粉样变性是一种罕见疾病,占所有淀粉样变性受累病例的1.1%,但在多器官淀粉样变性中患病率可达10%。聚焦于局部性胸部淀粉样变性(包括肺实质),气管支气管淀粉样变性占其中的50%,有时合并肺实质结节性疾病或弥漫性间质性病变。病理类型以轻链型(AL型)为主,但与多发性骨髓瘤的关联较为罕见。诊断年龄通常在50-60岁左右,男女比例均衡。除咯血外,呼吸系统症状非特异性。胸部CT扫描显示气管壁不规则环周增厚,伴有钙化,有时可见肺实质病变,包括孤立性结节、囊肿,或微结节、间隔增厚和网格影的联合表现。肺实质受累或纵隔-肺门淋巴结发现需考虑系统性淀粉样变性的可能。柔性支气管镜检查是关键检查手段,可见弥漫性灰色或白色“鹅卵石样”黏膜下沉积物,自发接触性出血导致气管管腔狭窄。应进行活检以提高诊断率,但由于病变易出血,且存在特定血管受累或凝血因子IX和X缺乏(主要见于系统性淀粉样变性)的潜在风险,操作需谨慎。


结节病


结节病可导致支气管狭窄,发生率约为1%,主要发生于近端,常累及上叶和中叶的多个支气管。胸部CT扫描显示支气管壁不规则增厚伴管腔狭窄。柔性支气管镜检查可证实狭窄,显示黏膜水肿、靠近狭窄处的细小白色肉芽或鹅卵石样结节。组织学检查可见富含上皮样细胞的非坏死性肉芽肿。此类狭窄常伴随阻塞性通气功能障碍,且对支气管扩张激发试验无逆转反应。这些发现通常需采用皮质类固醇治疗。此外,气管支气管梗阻也可能由淋巴结压迫或纤维化性纵隔炎引起。

>>>>


最终诊断: 复发性多软骨炎


参考文献

1.Eurorad.org [EB/OL]. Eurorad - Brought to you by the ESR,[2025-12-04] .

https://www.eurorad.org/case/19327.

2. Grandière L, Vicaire H, Pop G, et al. Relapsing polychondritis: tracheobronchial involvement and differential diagnoses. J Thorac Dis. 2025;17(1):461-475. doi:10.21037/jtd-24-1603


图片

(本网站所有内容,凡注明来源为"医脉通",版权均归医脉通所有,未经授权,任何媒体、网站或个人不得转载,否则将追究法律责任,授权转载时须注明"来源:医脉通"。本网注明来源为其他媒体的内容为转载,转载仅作观点分享,版权归原作者所有,如有侵犯版权,请及时联系我们。)
0
收藏
添加表情
全部评论
我要投稿
发表评论
扫码分享

微信扫码分享

回到顶部