13厘米的坏死包裹,像“巨石”紧紧压在她的胃部
吃不下饭,生命只能靠一根营养管艰难维系
短短4个月,16公斤的体重凭空消失
被病痛折磨得只剩一副单薄骨架
濒临绝境之际,中山大学附属第六医院知识城院区消化内科郅敏教授团队
仅靠两根支架,一场微创“破墙”之术
为她硬生生撕开了一条通往新生的生路
“难受啊……”
这是65岁李阿姨(化名)回忆起治疗前的日子,千言万语浓缩成一句感慨。彼时,她已无法进食,只能依靠空肠营养管维持生命。
几个月前,她因重症胰腺炎经历了生死一劫。病情虽然暂时控制住了,但胰腺组织坏死后,人体自身启动了一种液,能“消化”胰腺自身及其周围组织,被“圈”住的坏死物和胰液排不出去,越积越多,炎性反应持续加重。最终,一个巨大的包裹性坏死灶形成了,紧紧压迫着胃、十二指肠等周围器官。这个病灶,就像一个不断膨胀的气球,随时可能破裂、大出血,甚至引发
临床上,这类患者往往面临两难:不做干预,坏死灶持续压迫,无法进食、反复感染;传统开刀手术创伤大、风险高,对于已经经历重症胰腺炎的患者来说,身体很难承受第二次打击。
难题如何破解?中山大学附属第六医院知识城院区消化内科给出了答案。
面对这一棘手局面,中山大学附属第六医院知识城院区消化内科主任郅敏教授团队经过全方位的风险评估和病例讨论,最终确定了一条精准微创的路径:超声内镜引导下经胃壁穿刺内引流术。
这项技术核心难点,在于医生必须在超声内镜的实时“透视”下,从胃内精确规划一条进入坏死腔的穿刺路径,丝毫不差地避开沿途所有重要血管。稍有不慎,可能就是大出血。为确保万无一失,知识城院区消化内科孙家琛副主任医师在术前就每一针的路径、每一个可能出现的变数进行了细致的方案推演与模拟。
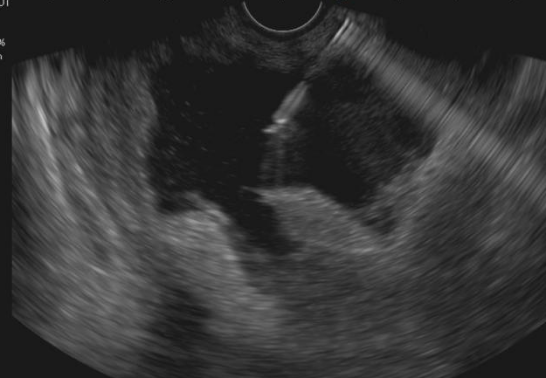
手术当天,超声内镜下,坏死腔清晰呈现。孙家琛成功将穿刺针经胃壁精准置入巨大的坏死包裹腔内,抽出约20毫升褐色坏死液送检。这一步,不仅验证了路径的正确,也为后续抗感染治疗提供了关键的病原学依据。


超声穿刺针精准置入腔内
导丝、切开一气呵成,通道建立。一枚胰腺WON专用引流支架(LAMS)被成功置入,即刻可见大量液体流出至胃腔内。但李阿姨的坏死腔巨大,内容物黏稠。如果只用单支架,一旦堵塞或移位,效果将大打折扣。
为确保引流充分持久,孙家琛创新性地在LAMS支架内,再叠加置入一枚“双猪尾”塑料支架,构建了一个独特的“双保险”引流结构——两个支架互为补充,即使其中一个出现堵塞,另一个仍能维持引流。这一设计,极大提升了长期引流的稳定性与通畅性。


内镜下操作在LAMS支架内,叠加置入“双猪尾”塑料支架,构建独特的“双保险”引流
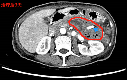
手术过程流畅,即刻见大量坏死液顺利引流。术后第三天,CT复查结果令人振奋,坏死包裹从13厘米显著缩小至9厘米,胃部压迫得到有效缓解。


红色为坏死性包裹,蓝色箭头为支架
手术成功了,但挑战还没结束。坏死物的持续排出、引流通路的维护、营养支持的安全过渡,每一个环节都不能掉以轻心。
术后四天,团队通过


左图术后4天,可见大量坏死物堵住支架,“双支架”发挥重要作用;右图术后4周,支架、营养管位置良好,包裹性坏死腔内新鲜肉芽组织
术后四周,孙家琛为李阿姨取出LAMS支架,并夹闭了创面。经过治疗,李阿姨顺利出院,出院前复查


左图取出支架后经胃观察包裹性坏死腔,为新鲜肉芽组织;右图胃镜观察取出支架后的创面
从无法进食到顺利出院,从一根营养管维系生命到恢复正常饮食,李阿姨又能吃上一碗热乎乎的饭了。团队也在持续追踪李阿姨的愈合情况。
科普时间:
远离胰腺炎,这些知识点要牢记
胰腺包裹性坏死不会凭空出现,它的“前身”是
急性胰腺炎主要诱发因素有三类:
•饮食不当:长期或大量进食油腻、高脂肪食物,或暴饮暴食,会加重胰腺负担;大量饮酒则会直接刺激胰液过度分泌,均可诱发胰腺炎。
•胆道疾病:最常见,约占40%。

预防胰腺包裹性坏死核心在于从源头规避急性重症胰腺炎的发生:
● 日常养成清淡饮食、规律作息的习惯,避免暴饮暴食和大量饮酒;
● 患有胆结石、高脂血症等基础病的人群,需及时规范治疗;
● 一旦发生急性胰腺炎,应尽早科学干预,防止病情进展引发胰腺坏死等并发症。

急性胰腺炎以禁食、补液等保守治疗为主;重症或有并发症患者,则根据病情采取微创或外科手术治疗。
近年来,消化内镜在急性胰腺炎诊治中的地位日益凸显:从胃镜下辅助营养管置入,到胰腺假性囊肿的超声内镜穿刺引流,再到包裹性坏死的超声内镜穿刺引流联合坏死组织清创,以及胆源性胰腺炎的经内镜逆行胆胰管造影(ERCP),都已成为优选治疗方案。
特别提醒:如果曾患急性胰腺炎,出院后出现持续上腹痛、恶心呕吐、无法进食、体重明显下降等症状,须及时前往医院做腹部CT或
本文指导专家
郅敏教授 主任医师
中山大学附属第六医院知识城院区消化内科
中山大学附属第六医院知识城院区消化内科主任。中山六院《诊断学》教研室主任,中山六院教务处处长,中山大学教学督导、中山六院教学督导组组长,
学术任职:中华医学会消化病分会炎症性肠病学组委员,中国医师协会整合医学分会消化病学分会委员,中华医学会肠外
医疗专长:结肠炎、
孙家琛 副主任医师
中山大学附属第六医院知识城院区消化内科
主持省市级课题2项,以发明人获得国家专利2项,以第一作者或通讯作者发表学术论文23篇。曾获中华医学会炎症性肠病学组第二届IBD PIC SHOW全国第一名、第十四届ESD沙龙手术视频大赛总决赛全国二等奖、广东省柯麟医学教育基金会临床医学专业优秀中青年教师奖
医疗专长:对狭窄型消化道疾病的内镜治疗、经内镜逆行
学术任职:中国中西医结合学会消化内镜专委会青年委员、广东省健康养生协会消化健康分会消化内镜专委会常委、广东省中西医结合学会消化内镜专业委员会委员、广东省医师协会消化内镜青年委员会委员、广东省医师协会消化内镜学医师分会小肠内镜学组成员、广东省抗癌协会肿瘤内镜学专业委员会委员、广东省肝脏病学会内镜分会胶囊内镜学组委员、广东省医药质量管理协会消化与消化内镜质量管理专委会委员
(本网站所有内容,凡注明来源为“医脉通”,版权均归医脉通所有,未经授权,任何媒体、网站或个人不得转载,否则将追究法律责任,授权转载时须注明“来源:医脉通”。本网注明来源为其他媒体的内容为转载,转载仅作观点分享,版权归原作者所有,如有侵犯版权,请及时联系我们。)