“医生,我真的可以不用每天吃药了吗?”
24岁的小刘(化名)站在出院部护士站前,得到肯定的答复后,她的眼眶微微泛红——这个困扰她多时的“
故事要从半年前说起。
在英国留学的中国女孩小刘,突然出现
这是一种肾上腺分泌过多醛固酮导致的疾病,典型的临床表现就是高血压伴低血钾。当地医生建议手术切除病变的肾上腺,但手术排期至少在半年以上。更让小刘犹豫的是,她才20多岁,真的要接受
“肾上腺介入热消融术?创伤小、恢复快?”
当小刘偶然看到我科内分泌介入团队的相关科普文章时,她几乎是瞬间就做了决定——回国治疗。
入院后,我科内分泌介入团队立即为小刘启动了快速诊疗流程。仅仅一周时间,我们完成了从确诊、分型、定位到制定介入方案的全部工作。接下来的第二周团队为小刘实施了肾上腺介入热消融术。一根细针,在影像引导下精准到达病灶,通过热消融技术“烧掉”了那个过度分泌醛固酮的腺瘤。手术切口只有一个针眼大小,全程无痛,术后第二天小刘就能正常活动。

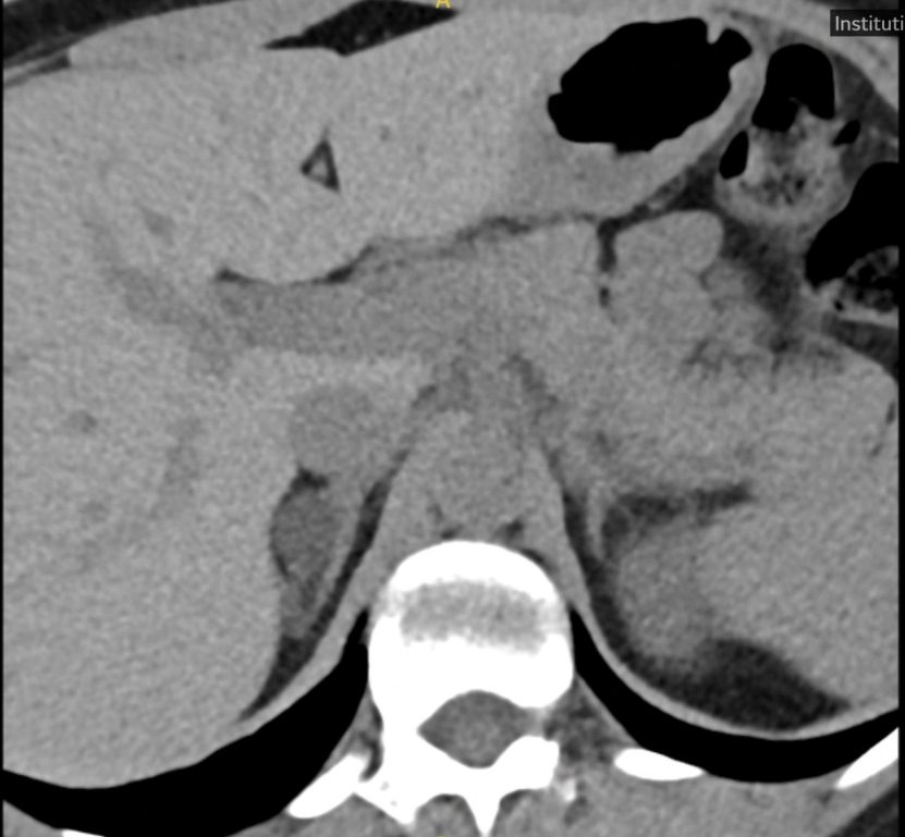
患者肾上腺CT影像示右侧腺瘤

更让小刘欣喜的是,术后她不再需要服用降压药和补钾药物,血压、血钾完全恢复正常。

患者消融术前后RASS系统情况

患者消融术前后电解质情况
回到英国后,小刘前往伦敦大学医院内分泌科进行常规复查。当她拿出国内住院的病历资料、手术记录、术前术后的检查报告时,接诊的内分泌科医生越看越惊讶:“你从入院检查到手术出院,只用了两周?”
这位英国医生对整个诊疗流程规范和效率高度肯定。他坦言,像这样保留正常肾上腺组织、仅消融病灶的精准微创技术虽然英国也有开展,但手术排期非常长,而且累积的病例数量相对较少。
“你当时选择回国治疗,是一个非常正确的决定。”医生认真地对小刘说。他还特意记下了主刀医生的姓名和所在医院,表示要和同事们一起讨论这个病例。
小刘的故事,只是我们内分泌介入团队日常工作的一个缩影。
在国内我们率先开展肾上腺介入热消融术治疗原醛症,力求精准医疗。团队先后为逾百位原醛症患者成功实施消融,技术成熟,疗效确切;我们依托天津医科大学总医院多学科协作平台,综合治疗;我们始终关注患者个体需求。小刘的犹豫、焦虑,我们感同身受,我们耐心讲解、暖心陪伴。
如今,小刘已重返英国校园,继续她的留学生活。不再被高血压、低血钾困扰。而她的病例,正作为一例来自中国的优秀治疗范例,被英国伦敦的内分泌医生讨论、学习。

患者康复后返回英国,联系医生表达感谢
跨洋万里,只为信任。用技术治愈疾病,用效率回应期待,用温暖抚慰人心——这就是内分泌介入团队,一直在做的事。

本视频/资讯/文章的内容不能以任何方式取代专业的医疗指导,也不应被视为诊疗建议。医脉通是专业的在线医生平台,“感知世界医学
(本网站所有内容,凡注明来源为“医脉通”,版权均归医脉通所有,未经授权,任何媒体、网站或个人不得转载,否则将追究法律责任,授权转载时须注明“来源:医脉通”。本网注明来源为其他媒体的内容为转载,转载仅作观点分享,版权归原作者所有,如有侵犯版权,请及时联系我们。)