患者47岁,咳嗽咳痰,胸部增强CT如图1所示,什么是最可能的诊断?
(2)三大原因:阻塞,感染和牵引,感染是最常见原因(3)如果局部梗阻时间较长,例如生长缓慢的肿瘤,异物,则可能发生支气管扩张(4)感染产生支气管壁阻塞,是支气管扩张的最重要原因
(1)临床常见的三大症状:慢性咳嗽,大量咳痰和反复感染
(1)近端、上叶支气管频繁扩张是过敏性支气管肺曲霉菌病(ABPA)的特征(2)病毒性或化脓性感染引起的支气管扩张通常是在基底段
➢粘液清除功能受损,例如囊性纤维化和Kartagener综合征
2.CT诊断该病,其敏感性和特异性分别为97%、99%
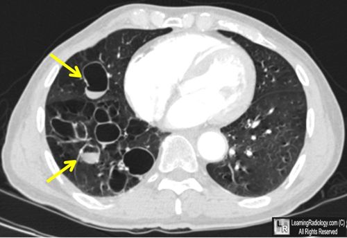
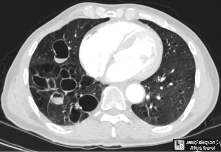
3.CT有印戒征表现:正常情况下,血管径大于相应的支气管。在支气管扩张时,支气管径大于相应的血管
4.“ 轨道征”或“ 蜂窝征”代表支气管扩张,及管壁增厚
表1 支气管扩张的类型 
➢近端支气管扩张是过敏性支气管肺曲霉菌病(ABPA)的特征➢HIV患者或女性,尤其是在60岁以上的女性,鸟分枝杆菌复合物(MAC)感染可能产生支气管扩张
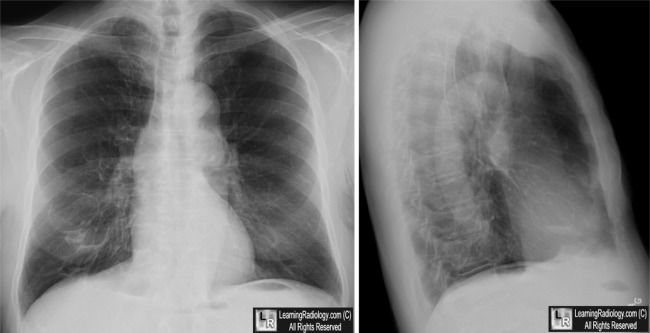
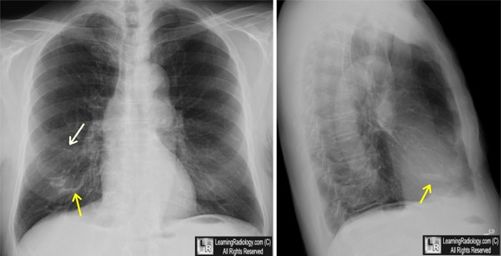
图3 囊状支气管扩张:CT,可见支气管明显扩张,一些可见气-液平面(黄色箭头),大部分位于右肺。胸部X线片:显示右下叶薄壁的囊状影(白色箭头),部分可见气-液平面(黄色箭头)。医脉通编译整理自:http://learningradiology.com/index.htm
(本网站所有内容,凡注明来源为“医脉通”,版权均归医脉通所有,未经授权,任何媒体、网站或个人不得转载,否则将追究法律责任,授权转载时须注明“来源:医脉通”。本网注明来源为其他媒体的内容为转载,转载仅作观点分享,版权归原作者所有,如有侵犯版权,请及时联系我们。)