编者按

面对一例面部节段性


主诉
患儿,女,4周龄,因“左眼睑肿胀1周”就诊。
现病史
患儿为足月顺产儿,入院前数天出现左眼睑肿胀,近1周进行性加重。体格检查发现左侧额部、头皮、眶周、面颊、颈部及唇红缘大片状分界清晰的红色斑块,伴溃疡形成(图1)。左眼内 conjunctival 黏膜可见红斑,双眼睑见蓝色变色。同时,胸前区可见正中线缺损,上端有结痂,并有一条垂直向的沟槽延伸至脐上区域(图2)。
辅助检查
1. 影像学检查:因临床高度怀疑,行头颈部
2. 心脏超声:显示中度房间隔缺损。
诊疗经过
鉴于眶周及球后血管瘤导致的肿胀以及唇部溃疡,患儿存在

图1 初诊时临床表现
A:左侧额部及头皮可见分界清晰的红色斑块;B:皮损累及左眶周、面颊、颈部及唇红缘,并可见溃疡形成。

图2 胸部中线缺损
胸骨正中裂缺损伴有脐上联合条纹。

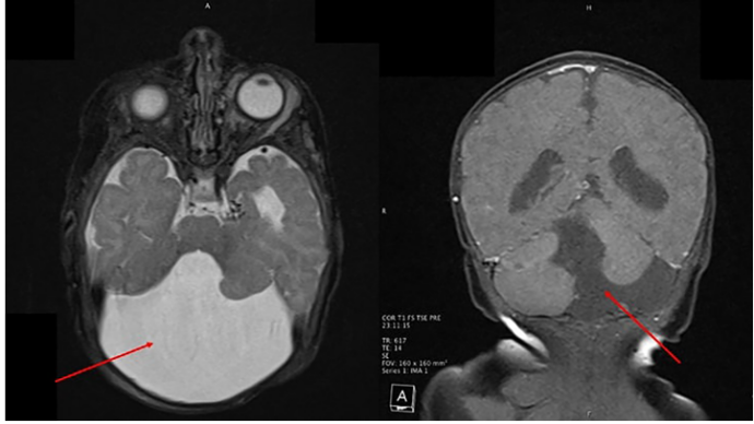
图3 头颅MRI影像
左面板(轴位)红色箭头示第四脑室囊状扩张;右面板(冠状位)红色箭头示后颅窝增大、小脑蚓部发育不全。

图4 治疗5个月后
A:左侧额部红斑明显减轻;B:左眶周及面颊红斑消退,唇部溃疡愈合。


该患儿的最可能诊断是什么?
A. Sturge-Weber综合征
B. 下体节段性婴儿血管瘤伴泌尿生殖系统异常、溃疡、脊髓畸形、脊柱及下肢骨缺陷、肛门直肠畸形、动脉异常及肾脏异常综合征
C. 毛细血管畸形-动静脉畸形综合征
D. 后颅窝畸形、颈面部血管瘤、动脉异常、心脏缺陷、眼异常、胸骨裂或脐上Raphe(PHACES)综合征
E. PIK3CA相关过度生长谱


该患儿存在节段性面部婴儿血管瘤(直径>5 cm),同时合并Dandy-Walker畸形(后颅窝异常)、胸骨缺损及脐上联合条纹、脑血管发育不良及房间隔缺损,完全符合PHACE综合征的诊断标准。PHACE是包括后颅窝畸形(Posterior fossa malformations)、节段性血管瘤(Hemangioma)、动脉异常(Arterial anomalies)、心脏缺陷(Cardiac defects)和眼异常(Eye abnormalities)的神经皮肤综合征,当合并胸骨裂或脐上联合条纹时,则称为PHACES。


PHACE综合征的诊断关键在于对头颈部大节段性婴儿血管瘤(>5 cm)的警惕。本例患儿的核心特征在于多系统受累:神经系统的Dandy-Walker畸形和脑血管狭窄、心血管系统的房间隔缺损、以及皮肤的血管瘤和中线缺损。这些共存异常提示了胚胎发育早期(约6-9周)可能的发育缺陷。


本例诊断的关键线索是影像学对颅内结构异常的识别。MRI/MRA不仅明确了后颅窝畸形,还揭示了无症状的脑血管狭窄,后者直接影响了治疗决策——将患儿划分为卒中高风险人群,从而启动了阿司匹林一级预防。这印证了指南推荐:对于疑似PHACE的患儿,应进行包括脑、颈部和主动脉弓在内的MRI/MRA、超声心动图、眼科及神经科评估,以全面阐述动脉畸形并分层脑血管风险。


1. 血管瘤治疗:对于威胁视力或生命的血管瘤,普萘洛尔是一线治疗。本例因不良反应换用阿替洛尔的经验提示,对于存在主要动脉狭窄/发育不良且侧支代偿不足的患儿,使用β受体阻滞剂时需从更低剂量起始、缓慢加量,以规避低血压导致的缺血性卒中风险。
2. 卒中预防:基于脑血管影像显示的血管狭窄,启动了阿司匹林治疗,这需要神经科紧密协作监测。
3. 中线缺损修复:胸骨缺损和脐上raphe 的处理以外科手术为主,理想时机为新生儿期。
4. 多学科随访:本例需长期随访神经发育、视力、心脏功能及血管瘤消退情况。


本病例强调了对于面部节段性婴儿血管瘤的婴儿,必须进行全面的PHACE综合征筛查,尤其是通过MRI/MRA评估颅内及血管结构。早期识别颅内外动脉异常对于预防缺血性卒中至关重要。治疗上需多学科协作,个体化选择β受体阻滞剂(包括在特定情况下考虑阿替洛尔),并对高危患儿启动抗血小板治疗。PHACE综合征的长期管理依赖于对多系统并发症的动态监测。
参考文献:
医脉通是专业的在线医生平台,“感知世界医学脉搏,助力中国临床决策”是平台的使命。医脉通旗下拥有「临床指南」「用药参考」「医学文献王」「医知源」「e研通」「e脉播」等系列产品,全面满足医学工作者临床决策、获取新知及提升科研效率等方面的需求。
(本网站所有内容,凡注明来源为“医脉通”,版权均归医脉通所有,未经授权,任何媒体、网站或个人不得转载,否则将追究法律责任,授权转载时须注明“来源:医脉通”。本网注明来源为其他媒体的内容为转载,转载仅作观点分享,版权归原作者所有,如有侵犯版权,请及时联系我们。)