
前言
患者基本情况
检查与诊断
影像学及

图1
上消化道内镜检查显示胃窦大弯侧存在 Borrmann 3 型胃癌。

图2 上消化道内镜检查显示胃窦大弯侧存在Borrmannll型胃癌
病理与分子检测: 原发灶活检提示为中-低分化腺癌。基因检测结果显示:HER2 阴性;错配修复蛋白(MLH1, MSH2, MSH6, PMS2)表达均为阳性;PD-L1 综合阳性评分(CPS)≥ 5。关键的 CLDN18.2 检测结果为阳性,定义为 ≥75% 的肿瘤细胞显示中至强程度的膜染色。
临床诊断: 胃癌 IV 期(临床分期 T3N1M1,根据 TNM 第八版)。
治疗策略
患者接受佐妥昔单抗联合 mFOLFOX6 方案作为一线治疗。
疗效与安全性评估
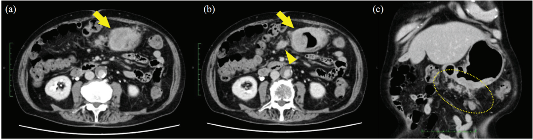
影像学评价: 治疗第 56 天,CT 显示原发病灶显著缩小,腹膜播散灶消失。治疗 5 个月后,第二次 CT 评估未发现原发灶增加或转移迹象。
内镜与病理评价(eCR 的达成): 治疗 5 个月时的内镜检查显示,原发病灶已消失,观察到相对平坦的瘢痕组织。对瘢痕区域进行的活检仅发现炎症细胞,未见肿瘤细胞。根据《日本胃癌分类第15版》,该病例被定义为 eCR(内镜下完全缓解)。

肿瘤标志物变化: 随着治疗进行,CEA 和 CA 19-9 水平持续下降并趋于正常。

肿瘤标志物变化: 随着治疗进行,CEA 和 CA19-9 水平持续下降并趋于正常。

安全性: 患者出现了 2 级恶心(经止吐药物改善)和 1 级味觉障碍,总体耐受良好。由于周围神经病变加重,奥沙利铂从第 11 个周期起停用。截至 2025 年 4 月,患者接受 5-FU 联合佐妥昔单抗维持治疗已超过 7 个月,未见肿瘤进展。
病例总结与讨论
本案例是目前首篇报道佐妥昔单抗联合化疗致 CLDN18.2 阳性晚期胃癌达到 eCR 的病例。
在方案选择上,在 HER2 阴性且 CLDN18.2 阳性的晚期胃癌中,佐妥昔单抗或免疫检查点抑制剂(ICI)均可与细胞毒药物联合应用。基于 CheckMate 649 等研究,ICI 在弥漫型胃癌中的疗效劣于肠型,而 佐妥昔单抗在不同组织学类型中疗效均衡。本例患者为未分化型胃癌,选择 佐妥昔单抗获得了极佳的治疗获益。
虽然晚期胃癌化疗期间内镜检查非必须,但对于 CT 评估不明显的原发灶,内镜及活检评估(eCR)能更精准地定义治疗反应,尤其是与贫血、腹痛等症状的改善密切相关。
佐妥昔单抗虽有较高的恶心呕吐发生率,但本案例显示,通过积极的综合止吐管理,即使是 80 岁高龄患者也能保持良好的治疗依从性并取得优效。
综上所述,本病例提示,对于未分化型、CLDN18.2 阳性的晚期胃癌患者,佐妥昔单抗联合化疗可能比联合免疫检查点抑制剂具有更强的治疗潜力。未来期待更多分析以识别能从佐妥昔单抗治疗中最大限度获益的患者群体。
参考文献:
1. Sasaki A, Yamaba T, Tachibana A, et al. Endoscopic Complete Response to Zolbetuximab for Advanced Gastric Cancer With Claudin 18.2 Positive: A Case Report[J]. DEN open, 2026, 6(1): e70189.
撰写:Babel
排版:Babel
执行:Aurora

(本网站所有内容,凡注明来源为“医脉通”,版权均归医脉通所有,未经授权,任何媒体、网站或个人不得转载,否则将追究法律责任,授权转载时须注明“来源:医脉通”。本网注明来源为其他媒体的内容为转载,转载仅作观点分享,版权归原作者所有,如有侵犯版权,请及时联系我们。)