目前,无导线起搏器正逐步拓展至心房起搏领域,为高龄、长期卧床或静脉条件受限患者提供了新的治疗选择。然而,与传统起搏器相比,其植入过程依赖大口径输送系统、操作时间相对较长,围术期血栓风险的识别与防范经验仍然有限。尤其在解剖条件复杂或患者处于高凝状态时,潜在并发症更易被忽视。JACC子刊发表了一篇病例报道,旨在呈现一例无导联心房起搏器植入过程中发生急性血栓形成的罕见事件,并总结术中阻抗变化、解剖困难及抗凝策略在风险识别和处理中的关键意义。一起来看看吧!
来源:心在线
病情简介
患者女性,88岁,因反复头晕3天入院。患者最初在无明显诱因下出现头晕,经当地医院24小时动态
随后患者由急诊救护车转送至我院。入院时查体:生命体征平稳,体温36℃,心率64次/分(窦性节律),呼吸18次/分,血压134/78 mmHg。患者神志欠清,认知功能障碍,平卧位入院。心肺体检未闻及杂音或啰音,双下肢无
既往史
既往有
辅助检查
治疗经过
初步诊断为窦房结功能不全。考虑患者高龄(88岁),且无导线起搏器的预期寿命长于其预计生存期;预计心房起搏需求>40%,且未见
患者取仰卧位,常规消毒腹部及双侧腹股沟区,局部麻醉下穿刺右股静脉,置入7F血管鞘。下腔静脉造影确认其解剖走行后,经股静脉送入一根loach导丝至下腔静脉,然后置入6F猪尾导管至右心房行心房造影。
随后将导丝更换为超硬导丝,并用扩张器预扩张股静脉穿刺通道。接着将Aveir AR无导线起搏器的输送系统送入下腔静脉,此时系统测得的基线电阻抗约为200–300 Ω。静脉给予
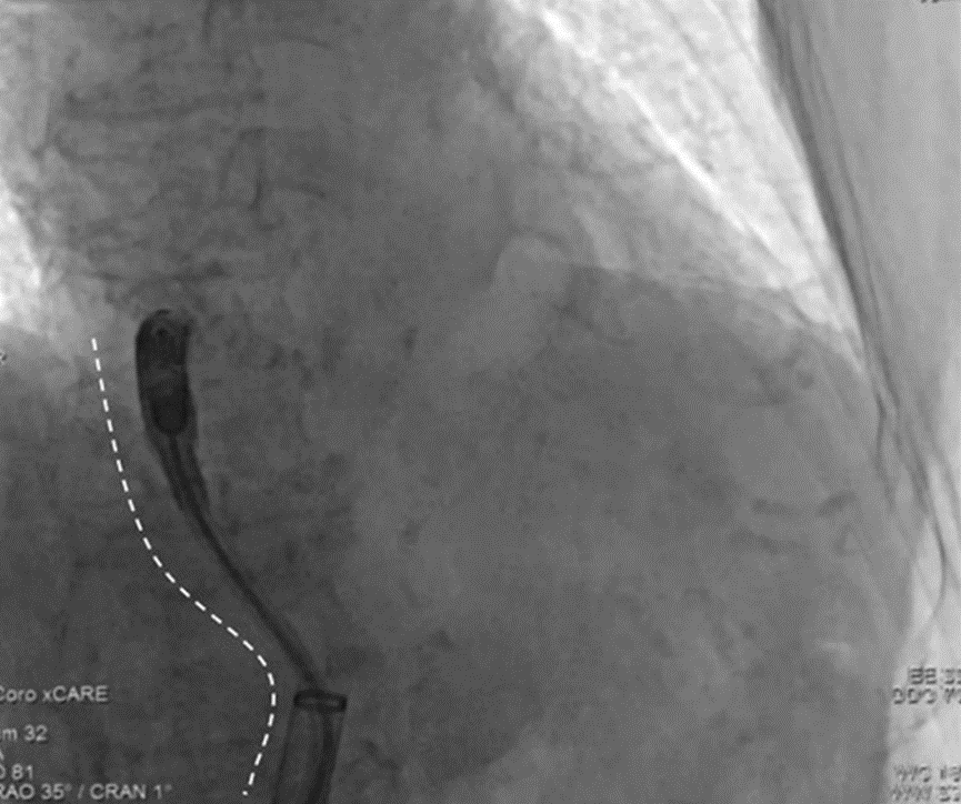
由于患者下腔静脉与肝静脉交界处存在明显的角度(图1),导管系统在体内推进非常困难。

图1:右前斜位(RAO 30°)透视显示输送路径存在明显角度(虚线所示)
多次退出并调整鞘管后,才将系统依次推进至下腔静脉近端并进入右心房。然而,上述角度使导管尖端的传力受限,起搏器难以贴靠右心房壁。在反复尝试定位和标测过程中,测得阻抗值在400~600 Ω范围波动。另外,由于患者伴发阿尔茨海默病,术中合作不佳,操作时间大幅延长。接近30分钟后,才最终将起搏器推进至理想的心房壁位置。
透视显示起搏器与心房内壁接触关系稳定。但设备测试显示起搏阈值和感知均良好,唯独阻抗明显升高(达1,080~1,160 Ω)。于是,团队将输送系统从体内撤出进行检查。结果发现无导线起搏器的头端附着有暗红色、橡胶样质地的血栓(图2)。

图2:急性血栓的取出。(A) 取出后附着在起搏器头端的血栓(箭头所示);(B) 已取出的血栓(箭头所示)
使用卵圆钳缓慢逆时针旋转,小心将血栓从起搏器头端取下,并用肝素生理盐水充分冲洗输送导管的内腔及起搏器表面。血栓清除干净后,输送系统的整体结构保持完好。鉴于患者高龄且体重较低,为防止出血,未追加给予额外肝素抗凝。
在第一次尝试的透视引导经验基础上,团队判断再次定位起搏器应能更迅速且准确。于是在第二次尝试中,按照相同的步骤操作,再次将无导线起搏器输送至右心房目标区域。此次顺利将起搏器成功锚定于理想位置,各项参数均令人满意(图3)。

图3:最终起搏器的位置示意,左前斜位(LAO 30°)透视视图
患者很好地耐受了整个手术过程,未出现与股静脉通路相关的并发症、
病例点评
术中阻抗异常升高是急性血栓形成的重要早期信号
本例中,起搏器在右心房定位过程中,尽管起搏阈值和感知参数均表现良好,但系统监测到阻抗显著升高(1,080–1,160 Ω)。这一异常并未被简单归因为接触不良,而是促使术者及时撤出输送系统进行检查,最终发现起搏器头端附着有急性血栓。该过程提示,在无导线起搏器植入过程中,阻抗参数的动态变化具有重要提示价值,尤其是在操作复杂、手术时间延长的背景下,阻抗异常升高应高度怀疑血栓形成,而不应仅关注传统的起搏阈值或感知指标。
手术时间延长与解剖困难是血栓形成的重要诱因
该患者存在明显的下腔静脉解剖角度异常,导致输送系统在体内传力受限,起搏器多次尝试定位困难。同时,患者因阿尔茨海默病配合不佳,进一步延长了手术时间。上述因素叠加,使输送系统长时间停留于体内血流相对缓慢的环境中,为血栓形成创造了条件。该病例清晰展示了解剖复杂性和操作时间延长在无导线起搏器植入中所带来的潜在血栓风险,提示术者在类似情形下需提前提高警惕。
常规肝素方案在高危患者中可能不足
尽管本例中术者已在术中给予3,000 U肝素并持续进行肝素化生理盐水冲洗,但仍发生了急性血栓形成。结合患者高龄、长期卧床及D-二聚体升高等背景因素,提示其可能处于高凝状态。该病例从实践角度反映出,常规经验剂量的肝素抗凝在部分高风险患者中可能不足,强调了围术期抗凝策略需结合患者个体风险进行动态评估,而非机械执行固定剂量方案。
及时撤出系统、处理血栓是避免严重并发症的关键
在发现阻抗异常后,术者选择立即撤出输送系统,而非继续尝试定位或释放起搏器,从而避免了潜在的栓塞或器械相关并发症。血栓经卵圆钳小心取出,并对输送系统进行充分冲洗后,系统结构保持完整,随后得以再次成功植入起搏器。该过程显示,一旦怀疑血栓形成,果断中止操作、系统性检查与处理是保障手术安全的关键步骤,亦为类似并发症的处理提供了清晰可复制的操作路径。
来源: Acute Thrombosis During Atrial Leadless Pacemaker Implantation. JACC Case Rep. 2025;30(39):106152. doi:10.1016/j.jaccas.2025.106152
排版:GXM
医脉通是专业的在线医生平台,“感知世界医学
本平台旨在为医疗卫生专业人士传递更多医学信息。本平台发布的内容,不能以任何方式取代专业的医疗指导,也不应被视为诊疗建议。如该等信息被用于了解医学信息以外的目的,本平台不承担相关责任。本平台对发布的内容,并不代表同意其描述和观点。若涉及版权问题,烦请权利人与我们联系,我们将尽快处理。

(本网站所有内容,凡注明来源为“医脉通”,版权均归医脉通所有,未经授权,任何媒体、网站或个人不得转载,否则将追究法律责任,授权转载时须注明“来源:医脉通”。本网注明来源为其他媒体的内容为转载,转载仅作观点分享,版权归原作者所有,如有侵犯版权,请及时联系我们。)