肺凡案例 | 当咳嗽咯血不是普通炎症:一例肺粘液表皮样癌行U-VATS袖状肺叶切除术成功治疗的病例报告
2026-01-21

肺粘液表皮样癌(MEC)是一种罕见肺癌类型,占所有肺癌的0.2%–0.4%。其常见症状包括咳嗽、咯血、喘息、胸痛等。本文分享一例青年女性支气管内MEC伴局部侵犯,通过单孔电视胸腔镜手术(U-VATS)行袖状肺叶切除术成功治疗的病例。
25岁女性,非吸烟者,因“咯血10天”就诊,伴轻度咳嗽、喘息。无呼吸困难、胸痛,咯血未进行性加重,未出现上气道梗阻表现。患者体重指数(BMI)18.5 kg/m²,无吸烟史,无慢性病史、药物使用史及特殊家族史。
体温37.5℃,血压108/74 mmHg,呼吸频率19次/分,脉搏99次/分,室内空气下血氧饱和度(SpO₂)93%。患者意识清楚、定向力正常,无呼吸困难。胸部检查示胸壁无畸形,触诊无压痛及包块,叩诊肺呼吸音及共振正常;前后胸听诊示右上肺区轻度哮鸣音及呼吸音减弱,右上肺通气量稍减低,无反复肺部感染体征。
U-VATS右肺上叶袖状切除术+右主支气管成形术+系统性纵隔淋巴结清扫(2R、4R、7、10R、11R组,共11枚)。
术中镜下探查见EBUS活检部位存在粘连,予以粘连松解后,明确右上肺肿块并局部侵犯右主支气管。切开右主支气管清除残余肿瘤组织,确保上支气管切缘干净后,取样本送病理检查。
右肺上叶14×6×5 cm,切面见4.5×1.5×1 cm灰白色肿块。
肿瘤呈息肉样生长,浸润周围肺实质;肿瘤细胞呈大而光滑的圆形实性巢状分布,巢间有纤细纤维血管间隔;可见局灶性淋巴细胞浸润,无促结缔组织增生性间质;呈外周栅栏状及小梁状排列;肿瘤细胞胞质以嗜酸性为主,局部可见透明细胞;PAS及DPAS染色显示黏液充盈腔隙;肿瘤细胞形态一致,无异型性。
AE1/3、CK7阳性,SOX-10、DOG-1、p63阴性。神经内分泌标志物均为阴性。
MAML2基因重排阳性(74%细胞),确诊为黏液表皮样癌。
术后行正电子发射断层扫描(PET)-CT检查,未见残余病灶及转移,因肿瘤完全切除(R0切除)且无纵隔淋巴结转移,未予化疗。
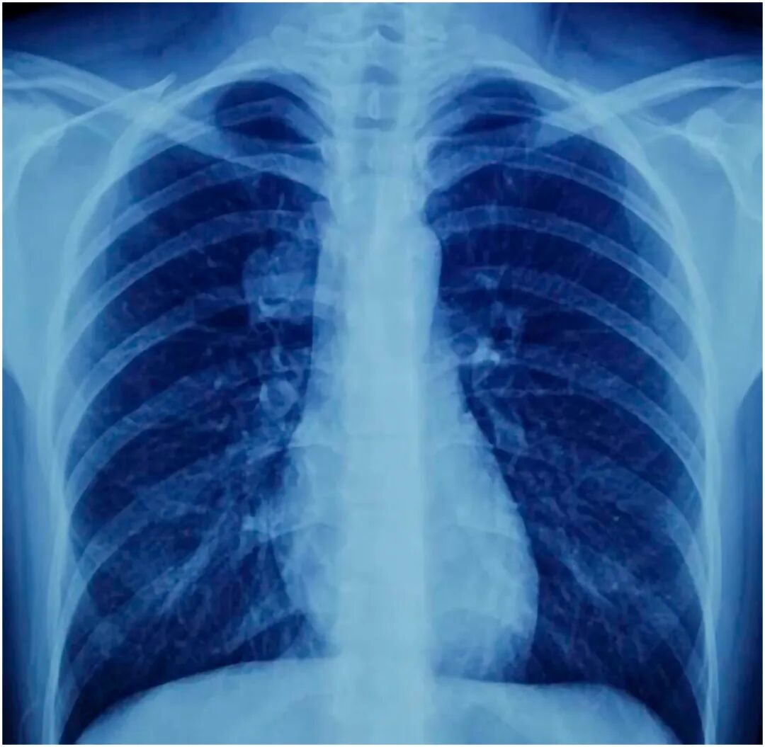
75天后,出现短暂咯血(3天内出现2次),复查纤维支气管镜见气管支气管树充血,手术部位无溃疡、漏气及复发,左肺下叶次级隆突处见小溃疡;胸部X线片示肺完全膨胀,无病灶、血胸、气胸、胸腔积液及肺不张。行支气管肺泡灌洗,细胞学、真菌培养、抗酸杆菌(AFB)及巨细胞病毒基因检测均正常,经治疗后患者恢复良好。
MEC是一种罕见的肺癌类型,占所有肺癌的0.2%-0.4%,其组织学特征与大唾液腺肿瘤相似,多起源于气管支气管树黏膜下小唾液腺,常表现为中央气道病变,临床症状包括咳嗽、咯血、支气管炎、喘息、发热、胸痛及杵状指等,肿瘤生长缓慢,但可发生淋巴结转移或局部组织侵犯。
本例病例具有特殊性:一是患者为年轻女性,无吸烟史,而MEC多见于中老年人群;二是肿瘤原发于肺部(MEC多见于唾液腺),且表现为支气管内局部浸润;三是病理类型特殊,传统MEC由黏液分泌细胞、鳞状细胞及中间细胞三种细胞组成,而本例为单一细胞类型,易与腺癌、类癌等混淆,增加了诊断难度。
MEC的诊断需结合组织病理学、免疫组织化学及基因检测。本例初始经支气管镜及EBUS活检均未明确诊断,最终通过手术切除标本的FISH检测发现MAML2基因重排得以确诊,提示对于疑似病例,基因检测尤其是MAML2基因重排检测具有重要诊断价值,可避免因样本量不足或组织形态不典型导致的误诊,进而防止治疗方案不当对患者身心造成的不良影响。
手术切除是MEC的主要治疗手段,肺叶切除术为常用术式。与传统开胸手术相比,U-VATS具有创伤小、术后疼痛轻、阿片类药物使用减少、恢复快、美容效果好等优势,其安全性和有效性已得到全球公认。本例采用U-VATS袖式肺叶切除术联合右主支气管成形术,既实现了肿瘤根治性切除及纵隔淋巴结清扫(共清除11枚淋巴结,均为阴性,符合MEC低级别生物学特征),又保留了肺功能,避免了全肺切除术,术后患者恢复良好,证实了该手术方式的安全性与有效性。
MEC手术切除后预后良好,尤其是低级别、无淋巴结转移的患者,而腺癌等其他类型肺癌预后差异显著,再次强调了准确诊断的重要性。本例患者术后无辅助治疗情况下短期随访无复发,提示早期根治性切除是改善预后的关键。
该病例提示,对于年轻、无吸烟史的中央气道占位患者,需警惕MEC等罕见肿瘤;术前诊断应结合影像学、支气管镜、病理及分子检测多手段联合,避免依赖单一检查结果;治疗上应优先选择微创外科技术,在保证肿瘤根治的同时最大限度保留肺功能;术后需建立长期随访机制,及时发现并处理并发症及复发风险。此外,多学科团队协作及微创外科技术的应用可有效改善患者预后,为罕见肺癌的治疗提供了参考。
参考文献:
Essa RA, Sulaiman DS, et al. Pulmonary mucoepidermoid carcinoma with local intrabronchial invasion in a young lady: A case report of successful management via uniportal VATS sleeve lobectomy. Int J Surg Case Rep. 2025 Oct;135:111895.
医脉通是专业的在线医生平台,“感知世界医学脉搏,助力中国临床决策”是平台的使命。医脉通旗下拥有「临床指南」「用药参考」「医学文献王」「医知源」「e研通」「e脉播」等系列产品,全面满足医学工作者临床决策、获取新知及提升科研效率等方面的需求。
本平台旨在为医疗卫生专业人士传递更多医学信息。本平台发布的内容,不能以任何方式取代专业的医疗指导,也不应被视为诊疗建议。如该等信息被用于了解医学信息以外的目的,本平台不承担相关责任。本平台对发布的内容,并不代表同意其描述和观点。若涉及版权问题,烦请权利人与我们联系,我们将尽快处理。
(本网站所有内容,凡注明来源为“医脉通”,版权均归医脉通所有,未经授权,任何媒体、网站或个人不得转载,否则将追究法律责任,授权转载时须注明“来源:医脉通”。本网注明来源为其他媒体的内容为转载,转载仅作观点分享,版权归原作者所有,如有侵犯版权,请及时联系我们。)