反复脑梗伴出血,竟是心脏淀粉样变惹的祸?| 卒中“杂”案
2026-01-17
■ 患者概况
50岁女性,因“语言逻辑混乱伴左侧肢体无力5 d”入院。症状表现为无明显诱因突发语言逻辑混乱伴左侧肢体无力,行走时左侧下肢拖曳,左手持物不灵活,偶有左手摸索动作;无攻击辱骂行为、意识障碍、精神恍惚、抽搐、四肢震颤、睡眠节律紊乱、头痛、发热、恶心、呕吐等表现。初步诊断为急性脑梗死,并给予相应药物治疗。
■ 关键病史
本次入院前,患者曾多次就诊于心内科,行冠状动脉CTA检查未见异常,心脏超声检查提示室间隔及左心室壁增厚,左心室射血分数正常。考虑肺动脉高压可能,诊断为限制性心肌病、肺动脉高压。给予相应药物治疗后症状并未缓解,且新出现心前区及剑突下阵发性疼痛及其他病史。
■ 入院查体
心率103次/分,血压102/75 mmHg,双侧下肢凹陷性水肿,肺部、腹部查体未见异常。神经系统查体:言清语利,对答切题,偶有重复性语言,情感反应正常,记忆力、计算力、理解力、定向力正常。双侧肢体肌容积和肌张力正常,左上肢肌力4级,其余肢体肌力正常。四肢腱反射正常对称,病理征阴性。感觉功能查体正常,脑膜刺激征阴性。
■ 影像学检查
【心脏检查】心脏超声示室间隔及左心室壁异常增厚,左心室射血分数55%;经食道心脏超声未见附壁血栓;72 h动态心电图示肢体导联低电压趋势(QRS波振幅<0.5 mV),未监测到心房颤动、心房扑动;心脏MRI平扫与延迟钆增强示室间隔及左心室壁明显增厚,左心室壁弥漫性透壁强化(图1A~B),提示心肌淀粉样变可能;锝-99m-焦磷酸盐核素扫描示1 h、3 h心脏显像视觉评分均为3分(正常值≤1分)(图1C~D),提示转甲状腺素蛋白心脏淀粉样变(ATTR-CA)。
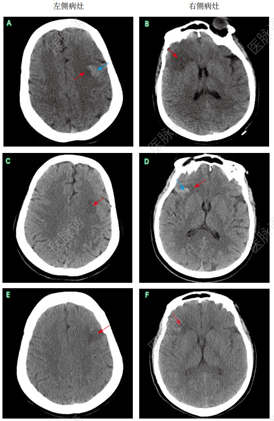
【头颅CT检查】发病后第4天急诊头颅CT检查显示左侧额叶梗死并发出血、右侧额叶梗死(图2A~B);发病后第12天复查头颅CT示左侧额叶出血吸收,右侧额叶梗死灶内新发出血(图2C~D);发病后第21天再次复查头颅CT示右侧额叶出血吸收,双侧额叶残留低密度影(图2E~F)。头颈部CTA检查未见异常(图3)。

【头颅MRI检查】DWI序列示左侧额叶急性梗死并发出血可能,右侧额顶枕岛叶多发急性梗死灶(图4A~D);SWI序列示左侧额叶局部微小出血灶(图4E~F);头颅MRI增强扫描示左侧额叶及右侧额顶枕岛叶软脑膜强化(图4G~H)。
■ 最终诊断
ATTR-CA(野生型)
急性脑梗死并发出血
慢性心功能不全(纽约心脏病协会心功能分级Ⅲ级)
■ 出院后随访
未再出现神经系统症状,但心力衰竭症状明显。出院40余天后因心室颤动,抢救无效死亡。
对于不明原因脑梗死合并心肌病变的患者,临床中应如何拓展诊断思路,以避免类似ATTR-CA这类罕见病因的漏诊?抗栓治疗面临出血与栓塞的双重风险,临床应如何权衡治疗策略?你在临床中遇见过类似"矛盾征象"病例吗?欢迎留言分享诊疗经验!
医脉通是专业的在线医生平台,“感知世界医学脉搏,助力中国临床决策”是平台的使命。医脉通旗下拥有「临床指南」「用药参考」「医学文献王」「医知源」「e研通」「e脉播」等系列产品,全面满足医学工作者临床决策、获取新知及提升科研效率等方面的需求。
(本网站所有内容,凡注明来源为“医脉通”,版权均归医脉通所有,未经授权,任何媒体、网站或个人不得转载,否则将追究法律责任,授权转载时须注明“来源:医脉通”。本网注明来源为其他媒体的内容为转载,转载仅作观点分享,版权归原作者所有,如有侵犯版权,请及时联系我们。)