目前,经皮冠状动脉介入治疗(PCI)已成为
来源:心在线
病情简介
患者男性,74岁,因
外院初步介入治疗
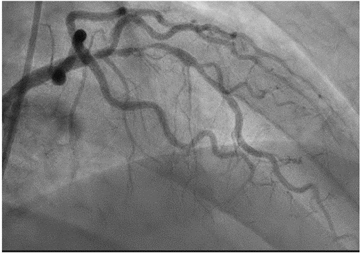
急诊行经皮冠状动脉介入治疗(PCI),于左回旋支(LCx)植入1枚药物洗脱支架。同期

图1:初次冠脉造影
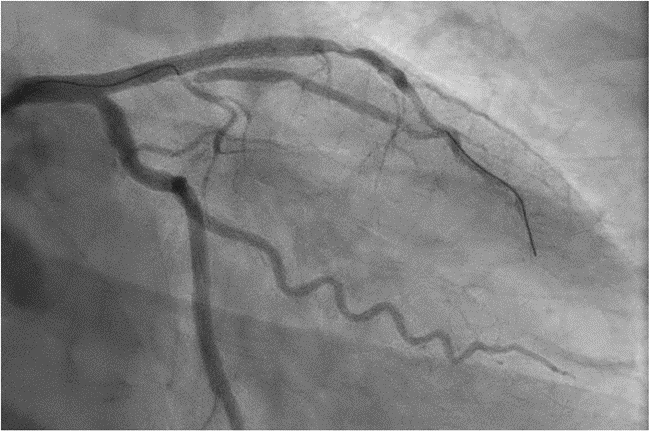
再次PCI时首先使用3.0×20mm非顺应性球囊对LAD病变进行预扩张,随后植入1枚3.5×30mm药物洗脱支架。支架植入期间,于第一对角支保留1根导丝作为侧支保护导丝。支架释放后,撤出原侧支导丝,并重新送入对角支导丝,拟行侧支开口球囊扩张(图2)。

图2:撤出原侧支导丝后重新送入对角支导丝
但无论采用2.0mm还是1.25mm顺应性球囊,均无法进入对角支。尝试撤出该侧支导丝重新定位时,术者感到明显阻力,透视下可见导引导管出现插入LAD过深的情况。进一步造影显示,对角支导丝发生断裂,同时LAD内已植入的支架连同导丝远端碎片一并脱落,移位至左主干及升主动脉腔内。
患者过程中未出现
既往史
鉴别诊断
PCI术中出现上述情况时,需要与其他急性并发症相鉴别,包括冠状动脉夹层、冠状动脉穿孔、支架急性移位或血栓形成等。在本例中,影像很快明确诊断为支架及导丝异物脱出并遗留于主动脉内。
我院再次
多角度造影证实原先植入LAD的支架已经从冠脉脱出,移位至左主干/升主动脉内;同时可见一段折断的导丝残留于冠脉内。床旁超声检查未见心包积液,提示未发生
进一步治疗
经心脏团队紧急讨论后,综合评估异物滞留可能带来的风险,包括冠状动脉夹层、异物取出失败及潜在血流动力学不稳定等因素,决定首先尝试经皮途径行异物取出。患者在局部麻醉下,于右股动脉超声引导穿刺,置入8F动脉鞘。随后经鞘管送入7F Amplatz Left导引导管至升主动脉内,并调整导管朝向左冠状动脉开口。
通过指引导管送入直径35mm的套圈捕捉器,在透视引导下成功同时套住脱出的支架及断裂导丝残段。透视观察显示,该支架已完全游离,未见与血管壁粘连,具备整体取出的条件。术者在持续透视监测下缓慢牵引套圈,将支架连同导丝碎片作为一个整体,经股动脉鞘顺利取出体外。
异物取出后,对左前降支及左主干行

图3
鉴于LAD原发病变仍存在显著狭窄,随后于病变部位再次植入1枚相同规格的药物洗脱支架。术后IVUS证实支架贴壁良好、扩张充分(图4)。整个异物取出及补救介入过程中,患者生命体征始终保持稳定。

图4:术后IVUS
结局与随访
患者术后住院监测24小时,期间未出现
病例点评
PCI器械遗留风险:罕见但不容忽视
本案例提醒,尽管导丝断裂、支架脱出等器械遗留事件在PCI中发生率极低,但一旦发生往往后果严重。介入医生在复杂病变操作时应对这种极端情况保持警惕。在日常操作中要注意细节,例如避免指导导管过度深入血管、谨慎操作导丝通过支架网孔等,从源头上预防器械损伤或脱落。对于罕见的器械遗留情况,各中心也应有预案,以防不测时能够迅速采取措施,保障患者安全。
分叉病变导丝处理:防范侧支导丝嵌顿
分叉病变介入治疗中,侧支导丝的应用在降低侧支急闭风险的同时,也可能增加器械嵌顿的发生概率。本例中重新进入侧支的导丝就因为进入角度不佳被支架网孔夹住,最终导致导丝折断并将支架拖出。临床操作中应遵循标准策略,以防止导丝打结、支架移位等并发症发生。一旦怀疑导丝被卡,应及时停止拉拽并评估情况,切忌贸然用力以免酿成更大险情。
冠脉异物取出策略:经皮技术与外科手段的权衡
当冠状动脉器械残留体内时,及时决定取舍非常关键。一般来说,小且不活动的异物(如短小导丝碎片)如果未引起症状和血流障碍,可在严密抗凝和随访下保守管理;但较大的异物(如完整支架或长导丝段)由于可诱发血栓、栓塞、心律失常甚至心包填塞等严重并发症,通常应积极考虑取出。在实践中,经皮取出的成功与否取决于异物的位置及形状;如碎片部分仍留在冠脉内或者固定嵌顿,则可能需要外科开胸才能彻底取净。总之,处理异物遗留需要在风险和收益间权衡,每一步决策都应以患者安全为核心。
多学科合作:危急PCI并发症的保障
本病例的成功处理凸显了多学科团队协作在介入并发症管理中的重要作用。当支架和导丝脱落这样的罕见险情发生后,及时启动心脏团队协作非常必要。一方面,多学科讨论可以综合评估各种方案的风险和可行性,制定出最佳处理策略;另一方面,将患者转诊至有外科备援的中心并由外科团队待命,确保了一旦经皮取出失败或出现意外,能够立即转入外科手术接管。对于开展复杂PCI的中心来说,应当预先建立完备的危急事件应对预案,包括影像辅助下异物取出流程、多学科会诊机制和外科救援方案等,以全面提升应对此类并发症的能力。
来源:Successful Endovascular Retrieval of Retained Coronary Devices. JACC Case Rep. 2025 Dec 9:106301. doi: 10.1016/j.jaccas.2025.106301.

(本网站所有内容,凡注明来源为“医脉通”,版权均归医脉通所有,未经授权,任何媒体、网站或个人不得转载,否则将追究法律责任,授权转载时须注明“来源:医脉通”。本网注明来源为其他媒体的内容为转载,转载仅作观点分享,版权归原作者所有,如有侵犯版权,请及时联系我们。)