单位 | 广东阳春市中医院
血小板在人体止血与血栓形成过程中扮演着关键角色。它由骨髓中的巨核细胞产生并释放入血。正常情况下,血小板在循环中处于静息状态;一旦血管内皮受损,血小板便被激活,通过黏附、聚集和释放反应参与初期止血。
同时,血小板也通过提供催化表面、释放活性物质等方式,参与并加速凝血过程,促进纤维蛋白原转变为纤维蛋白,最终形成稳固的血凝块。因此,血小板数量或功能的异常,常会导致出血或血栓性疾病[1]。
一位25岁的年轻患者,为什么血小板计数在短短一个多月内,从85× 109/L火箭式飙升到1161× 109/L,让我们一起去探寻这惊人变化的背后真相。
2025 年 11 月 4 日,一份
患者男,阮某某,25 岁,血小板(PLT):1161 × 109/L(参考区间 125-350× 109/L),
点击患者血小板直方图呈双峰(如图1),提示可能存在大血小板或小红细胞,血小板计数结果可信度存疑。

图1 患者血小板直方图
这份报告触发了科室的血小板复检规则。审核人员立即调取患者历史数据进行对比,发现其红细胞、血红蛋白、血小板水平均呈现大幅波动,数据如表1:
表1 患者红细胞、血红蛋白、血小板变化

注:患者为男性,因此所有数值均与男性参考范围进行比对。
尤为引人注目的是血小板计数的变化:在约一个月余的时间,从85×109/L飙升到了1161×109/L。检验人员立即启动复检程序:
1.确认标本正确:追溯采血过程,确认由本科室采血处规范采集,确实为患者本人无误。
2.确认标本质量:标本无凝集、无溶血。
3.仪器状态核查:确认当日质控在控,仪器运行正常。
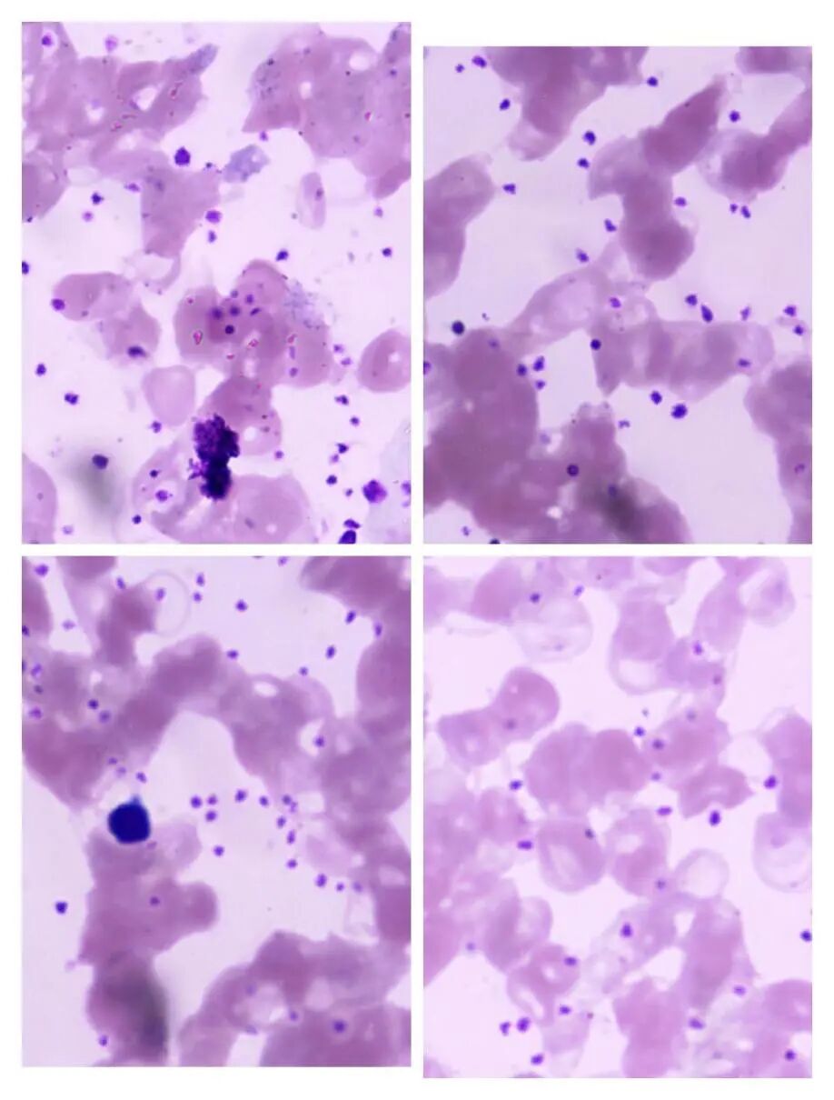
4.镜检复核:立即推片进行瑞氏 - 吉姆萨染色,油镜下可见血小板大小不均,可见大型血小板,但分布均匀,无聚集现象(如图2)。

图2 油镜下的血小板(瑞氏 - 吉姆萨染色X1000)
5.采用R 值法(10 个油镜视野血小板平均数 ×15×109/L)进行估算,结果与仪器报告的血小板数量级一致。仪器血小板计数结果准确,可审核发出。
检验医师查询患者病历以及与临床医生电话沟通。得到了患者的相关信息:
患者既往有
至此,谜底揭晓:正是一个月前做的脾脏切除手术,导致血小板发生了过山车式的变化。
本例患者患有地中海贫血(亦称珠蛋白生成障碍性贫血)。该病是一种因珠蛋白基因异常,导致珠蛋白肽链合成失衡的遗传性血红蛋白病。其核心病理在于珠蛋白链合成比例失衡,进而引发双重后果:正常血红蛋白合成不足,造成小细胞低色素性贫血;过剩的珠蛋白肽链在红细胞内聚集,形成不稳定产物,最终导致无效红细胞生成(主要在骨髓内被破坏)及溶血[1-2]。
患者同时合并
当脾脏显著增大发展为脾亢时,其生理功能呈现病理性增强,通过多重机制导致血细胞减少:
过滤与吞噬功能亢进:脾脏血窦扩张、血流减慢,血细胞与巨噬细胞接触时间延长,正常或轻微异常的血细胞被过度阻留和清除[2]。
血细胞滞留作用增强:脾脏扣押血细胞能力大幅上升,可滞留高达50%–90%的血小板及约30%的红细胞[2]。
免疫性血细胞破坏:脾内单核-巨噬细胞系统过度活化,可能产生抗红细胞或抗血小板抗体,通过免疫机制加速血细胞破坏[2]。
血流动力学异常:
脾功能亢进通过“过度扣押、免疫破坏及血流淤滞”等多重机制,与地中海贫血固有的溶血及无效造血叠加,导致患者术前同时存在贫血和血小板减少的情况。
针对地中海贫血的治疗,常根据疾病类型与严重程度采取对症支持方案,包括输注红细胞、控制继发性
本例患者早期以规律输注红细胞为主,随着病情进展及脾功能亢进加重,于一个月前接受脾切除术。术后,其血小板计数出现急剧、持续性升高,主要机制如下:
清除功能中止:脾脏是清除衰老和异常血小板的主要场所,切除后血小板破坏减少,寿命延长[2-3];
储存池释放:脾脏储存了人体约1/3的血小板,切除后这部分血小板被释放入血液循环[2-3];
骨髓代偿增强:脾脏对骨髓造血的部分调控作用解除,可能进一步促进血小板生成[2-3]。
不同病因行脾切除术后,血小板达峰时间存在差异。
此外,脾切除也因解除了脾脏对红细胞的过度破坏,使患者的血红蛋白从术前的30 g/L升至90 g/L,贫血得到显著改善,整体血象趋于恢复。
临床医生提及患者正在服用抗凝药物,这体现了对脾切除术后血栓风险的重视。血小板显著增多(尤其 > 600-1000 × 109/L)最大的风险在于血栓形成。门静脉系统血栓是脾切除术后最严重的并发症之一。
有研究指出,脾切除可使
一、
本案例展示了地贫合并脾亢患者在脾切除术后血小板的显著变化,其核心在于脾脏功能状态的改变。
术前,地贫合并脾亢导致血细胞过度破坏,引起血小板减少与严重贫血;术后,因脾脏清除与储存功能丧失,血小板反应性急剧升高,贫血亦有所改善。
作为检验人员,应建立动态比较的思维,将结果与病史结合分析。严格执行复检、善用显微镜,方能保证检验报告的质量。
专业审核:乔永超(桂林医学院附属医院)
(上下滑动查看更多)
(本网站所有内容,凡注明来源为“医脉通”,版权均归医脉通所有,未经授权,任何媒体、网站或个人不得转载,否则将追究法律责任,授权转载时须注明“来源:医脉通”。本网注明来源为其他媒体的内容为转载,转载仅作观点分享,版权归原作者所有,如有侵犯版权,请及时联系我们。)