患者为30岁既往体健男性,因恶心、上腹痛及
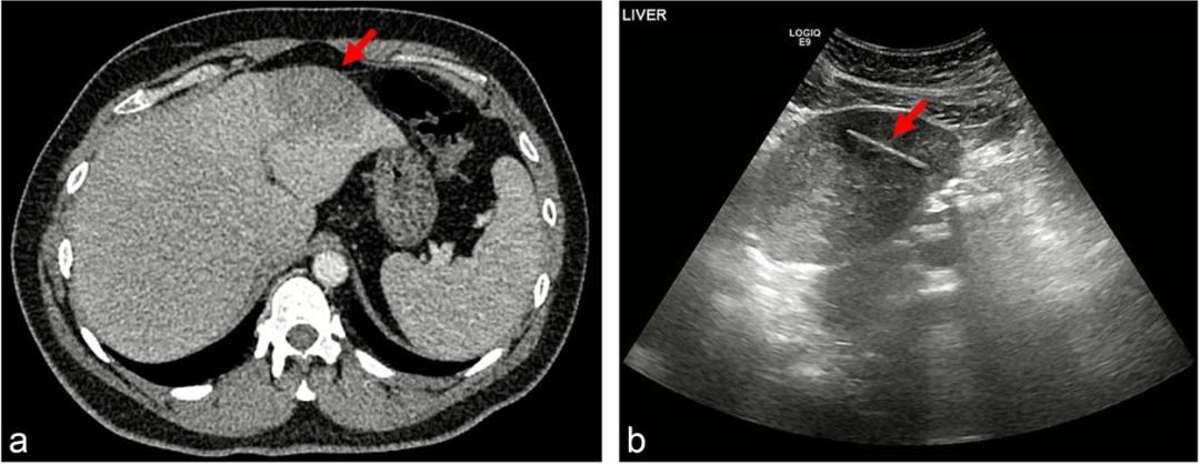
门诊随访超声检查以评估脓肿消退情况时,结果显示肝内有一个4cm线状低回声结构(图1b),怀疑存在异物。进一步追问病史得知患者在本次入院前数周,进食时不慎折断鸡尾酒签尖端咽下并出现腹痛,随后在当地就诊时患者一般情况良好,

图1 (a) 肝左叶低密度灶;(b) 低回声灶内线状低回声结构
超声检查发现异常后,患者转诊至肝胆外科中心择期行诊断性

图2 (a) 肝Ⅲ段与胃小弯间瘘管相通;(b) 取出的鸡尾酒签
肝脓肿是致病菌通过胆道、肝动脉、门静脉、直接蔓延等途径侵入肝脏引起的肝内局灶性、化脓性病变,是临床常见感染性疾病之一。意外摄入异物在临床上并不少见,大多数异物会在1周内通过胃肠道,极少数异物继发穿孔,而继发于摄入异物导致的肝脓肿更为罕见。其病理生理学涉及摄入的异物从胃肠道迁移,可直接造成组织损伤,引发局部炎症、穿孔,进而形成脓肿。文献中报道与肝脓肿相关的异物包括牙签、鱼骨、鸡骨、牙修复体、金属丝、衣夹、缝衣针、钢笔、迷迭香枝条、龙虾壳及牙刷等。
异物摄入临床表现多样,症状通常不具特异性,部分患者未察觉自身吞入异物。从异物摄入到出现严重症状可能间隔1周至1年不等,而部分患者在入院询问病史时并不能说出或忆起曾有异物摄入史。医生在对临床表现或影像学结果有怀疑时,应继续向患者、家属追踪病史,进一步在病史中得到确认,如本例。常见临床表现包括腹痛、发热,甚至
目前异物性肝脓肿最佳治疗方案尚无共识。文献回顾显示,确定性治疗需根据患者临床状况及异物位置制定多学科协作方案。应用抗生素联合经皮和/或手术引流及异物取出仍是常用治疗方式。感染源控制包括使用抗生素控制感染,联合或不联合脓肿引流。手术(包括开放手术和微创手术)是肝内异物取出的常用方法,同时进行脓肿引流并留取脓液行病原学检查以指导后续抗生素治疗。也有文献报道部分病例仅通过保守治疗(静脉输注抗生素和全
参考文献:
[1] Attard JA, Mullineux JH, Das D,et al. Liver abscess secondary to ingested cocktail stick: a case of minimally invasive management. J Surg Case Rep. 2025 Dec 12;2025(12):rjaf959.
[2] 陈海敏,赵家锋,王贵福,等.误吞牙签继发肝脓肿1例报告并文献复习[J].中国普通外科杂志,2024,33(02):299-304.
[3]
本平台旨在为医疗卫生专业人士传递更多医学信息。本平台发布的内容,不能以任何方式取代专业的医疗指导,也不应被视为诊疗建议。如该等信息被用于了解医学信息以外的目的,本平台不承担相关责任。本平台对发布的内容,并不代表同意其描述和观点。若涉及版权问题,烦请权利人与我们联系,我们将尽快处理。

(本网站所有内容,凡注明来源为“医脉通”,版权均归医脉通所有,未经授权,任何媒体、网站或个人不得转载,否则将追究法律责任,授权转载时须注明“来源:医脉通”。本网注明来源为其他媒体的内容为转载,转载仅作观点分享,版权归原作者所有,如有侵犯版权,请及时联系我们。)