面对表现不典型的脱发患者,如何拨开迷雾,做出精准诊断与个体化治疗?在中华医学会第九届

病例一:常见的表现,罕见的诊断--脱发性棘状毛囊角化病(KFSD)
患者为34岁男性,脱发病史长达八年。头皮可见顶枕部为中心的脱发区。毛发镜下,病灶中央毛囊单位消失,边缘呈现特征性白色鳞屑附着的簇状毛发结构(3-5根成簇)。系统检查发现,其眉毛累及,伴有面颈部毛囊红斑黑变病样
病理特征
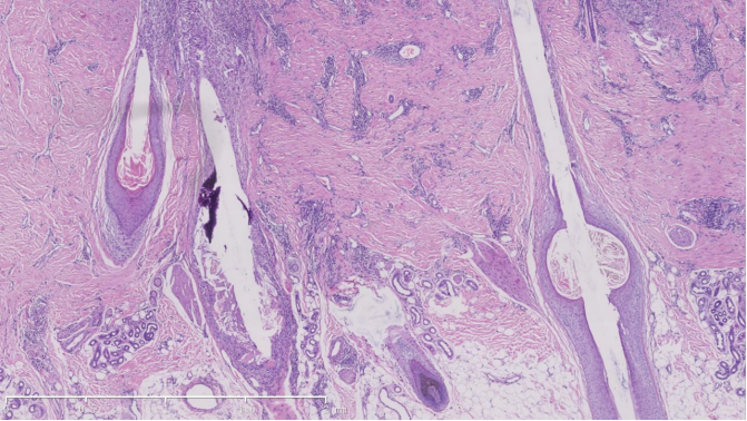
组织病理显示,核心病变以毛囊峡部为中心,可见毛囊结构变形、中央角栓形成及外毛根鞘向内毛根鞘凸起。炎症浸润攻击峡部及以上毛囊区域,导致上皮破坏及周围淋巴细胞、组织细胞浸润与纤维化。毛囊间真皮内胶原广泛瘢痕化改变伴有血管周围淋巴/

治疗
基于其显著的毛囊角化异常和炎症病理改变,患者接受了为期8个月的口服
诊断思路
首先,临床与毛发镜提示为瘢痕性脱发;其次,病理确认是以峡部为中心的淋巴细胞性瘢痕性脱发。最关键的一步是,通过全面系统体检发现多部位毛囊受累(头皮、眉毛、毳毛),因此从普通瘢痕性脱发最终确诊为一种罕见的X连锁遗传病——脱发性棘状毛囊角化病(KFSD)。
病例二:被误诊十余年的蕈样肉芽肿(MF)
第二例患者同样以顶部脱发为主要表现,脱发斑周围头皮红斑和鳞屑,毛发镜下提示断发以及毛干根部白色鳞屑,毛间皮肤红斑、脱屑。虽然临床和毛发镜同病例一有相似之处,但病理呈现不同特征:
毛囊改变:脱发区毛囊数量减少,残留毛囊上皮可见萎缩、变薄,伴有淋巴细胞浸润,部分毛囊上皮可见黏蛋白沉积和淋巴细胞移入。
更具诊断意义的毛间表皮改变:整个表皮呈现海绵
患者病史长达十余年,一直被误诊为
治疗
患者口服
诊断思路
首先,脱发斑上见到头皮脂溢性皮炎或银屑病样红斑是重要的线索;其次,

诊疗反思:拓宽视野,精准鉴别
在临床工作中,面对脱发患者,我们常习惯性地首先考虑雄激素性脱发、斑秃等常见病。然而上述两个病例警示我们全面的体格检查、毛发镜及组织病理学检查至关重要。例如,MF的治疗方案与斑秃或普通瘢痕性脱发截然不同,需根据肿瘤分期选择方案,如早期局限性皮损可采用皮肤定向治疗,选择外用激素、氮芥溶液,或联合系统使用干扰素-α、甲氨蝶呤等。
准确地诊断是有效治疗的绝对前提。我们需要整合临床评估、毛发镜所见及病理结果,进行多维度、系统性的鉴别诊断。只有诊断清晰,治疗才能有的放矢,使患者获得最合理、最有效的干预。希望这两个经过深入思辨的病例,能为各位同仁在面临复杂脱发疾病时,提供一份有价值的诊断思路参考。
审核专家:姜祎群教授
专家简介
- 姜祎群 教授 -
中国医学科学院皮肤病医院
主任医师,博士生导师
医脉通是专业的在线医生平台,“感知世界医学

(本网站所有内容,凡注明来源为“医脉通”,版权均归医脉通所有,未经授权,任何媒体、网站或个人不得转载,否则将追究法律责任,授权转载时须注明“来源:医脉通”。本网注明来源为其他媒体的内容为转载,转载仅作观点分享,版权归原作者所有,如有侵犯版权,请及时联系我们。)