成人发病的
iNPH是老年人常见(患病率为10–22 /10 万人,80岁以上达5.9%)但易误诊的疾病,常被当作老年痴呆/帕金森。研究表明,该综合征并非真正的“特发性”,而且“正常”
医学博士,天津大学泰达医院神经内科主任医师
天津市“131”创新型人才
意大利安科纳联合大学访问学者
天津市医学会神经内科分会 青年委员
天津市神经科学会 青年委员
天津市医师协会心身医学专委会 委员
中国睡眠研究会
天津市睡眠研究会青委会 科普专委会 副主委
填补天津市卫生系统空白新技术多项,主持和参与市局级和国自然课题多项,在国内外核心期刊发表论文二十余篇(第一作者影响因子22.7分),主编(译)著二部,参译一部
发病机制
脑脊液动力学异常是iNPH的起始环节。脑脊液流出阻力增加、颅内压(ICP)搏动异常→导致脑脊液循环受阻、脑室被动扩张。脑室扩张以维持颅内压正常(代偿性假象),但代价是挤压脑组织、减少脑灌注。随后在血管危险因素、慢性缺血、机械压迫等作用下出现脑功能障碍(见图1)。

图1:iNPH的发病机制(图源:参考文献[2])
临床表现与诊断评估
HS患者通常表现为隐匿起病的进行性步态障碍,伴有不同程度的认知和/或排尿功能障碍,很少同时出现典型三联征。
步态评估是诊断的核心。HS 的步态常被描述为“磁性步态”、“步态失调”、“额叶步态”或“下肢帕金森综合征”。HS并不具有刻板的步态模式。当前诊断标准要求至少具备以下九项中的两项:步高降低、
当评估HS患者的步态时,应考虑到步态随疾病进展呈渐进性恶化,早期仅仅表现为主观不稳、基底略宽、足外旋,中期表现为步速减慢、步频增快(轻微慌张步态),之后出现明显慌张步态、转身冻结;晚期出现严重冻结步态。
由于HS患者多为老年人,常合并多种非HS性步态障碍因素,需系统排查:颈
评估步态时应详细询问病史,包括起病方式、进展速度、是否跌倒、是否有冻结、用药史。体格检查应包括步态观察、神经系统、脊柱、关节、视力、血压(包括体位血压测试)。有条件中者可以进行定量步态评估。
认知障碍通常晚于步态和排尿障碍出现,但若首发症状为痴呆,则 CSF 分流术后改善的可能性较低。病程超过两年者预后较差。HS 的认知障碍主要表现为额叶-皮质下系统功能障碍,如精神运动迟缓、注意力下降、执行功能障碍和情感淡漠。认知障碍在HS中是一个特征性的表现,并且是预后不良的指标。语言功能障碍(如失语)并非 HS 的特征,提示可能存在阿尔茨海默病(AD)等皮质病变。部分患者与AD病理共存。如果怀疑AD,可以通过CSF中的aβ42或淀粉样PET进行确认。
排尿症状多为尿急、尿频和尿失禁,与额叶排尿中枢受累有关。尿动力学检查显示约 89% 患者存在逼尿肌过度活动。
辅助检查
脑脊液引流试验(腰椎穿刺放液)是最有效的预测手段。引流后步态改善(如步速、步数、步长等)可作为术后改善的预测指标。
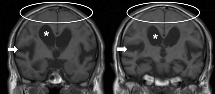
脑 MRI特征:脑室扩大(如 Evans 指数 > 0.3);胼胝体角缩小;DESH征(脑室扩大伴蛛网膜下腔不成比例扩大),见图2。DESH 是 CSF 动力学障碍的表现,与术后良好预后相关。脑MRI可以排除脑积水、脑萎缩、白质病变等。颈椎/腰椎MRI可排除脊髓或神经根压迫。

图2:HS在MRI上的典型表现:冠状位T1加权像冠状层面,显示脑室扩大(*)、高凸面(顶部)及中线区域蛛网膜下腔呈现“狭窄、紧凑”的状态(椭圆圈),以及外侧裂扩张(箭头)(图源:参考文献[4])
临床上看到的额叶脑沟增宽,看似是脑萎缩,但结合临床症状和影像特征需考虑HS,如图3。

图3:患者的MRI(横轴位)Evans指数为0.40,B显示大脑凸面上方的脑沟明显增宽,不成比例的蛛网膜下腔扩大(DESH)(图源:参考文献[2])
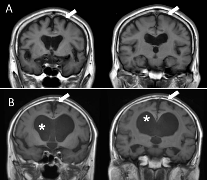
蛛网膜下腔扩大+脑室成比例扩大是脑萎缩的典型影像学特征(图4A)。脑室异常扩大,但蛛网膜下腔未被挤压变窄是慢性梗阻性脑积水的特征(图4B)4。

图4A:脑萎缩:箭头所示的蛛网膜下腔扩大,与脑室扩大(脑室增宽)的程度是成比例的。B:慢性梗阻性脑积水:星号所示的脑室显著扩大,但箭头所示的顶部及内侧蛛网膜下腔仍处于开放/未受压状态(图源:参考文献[4])
管理
治疗方面,脑脊液分流术(如脑室-腹腔分流术)仍是首选。可调压阀、抗重力阀、抗虹吸阀、腹腔镜辅助置管、神经导航辅助置管、抗生素涂层导管等新技术已显著降低并发症率(如硬膜下血肿、感染、分流失败等)。
可调压阀(programmable valves)可显著降低术后并发症发生率,尤其是过度引流导致的硬膜下血肿。瑞典的一项研究数据显示,使用固定压力阀的患者中,90%因术后硬膜下积液需再次手术;使用可调压阀者,仅 30%需再次手术。术后初期将阀门压力设定为接近腰椎穿刺时的开放压,然后逐步下调,可进一步降低过度引流风险。抗重力阀(antigravitational valves)可减少直立位时的过度引流。一项随机双盲研究显示,使用抗重力阀的患者中,7%出现过度引流;仅使用可调压阀者,43%出现过度引流。使用抗生素涂层导管者,感染率可以降至 2%1。
参考文献:
1. Tipton PW, Elder BD, Cogswell PM, Graff-Radford N. Normal pressure hydrocephalus, or hakim syndrome: Review and update. Neurol Neurochir Pol. 2024;58:8-20
2. Williams MA, Malm J. Diagnosis and treatment of idiopathic normal pressure hydrocephalus. Continuum (Minneap Minn). 2016;22(2 Dementia):579-599.
3. Hu T, Lee Y. Idiopathic normal-pressure hydrocephalus. CMAJ. 2019;191:E15
4. Hashimoto M, Ishikawa M, Mori E, Kuwana N, Study of Ioni. Diagnosis of idiopathic normal pressure hydrocephalus is supported by mri-based scheme: A prospective cohort study. Cerebrospinal Fluid Res. 2010;7:18

(本网站所有内容,凡注明来源为“医脉通”,版权均归医脉通所有,未经授权,任何媒体、网站或个人不得转载,否则将追究法律责任,授权转载时须注明“来源:医脉通”。本网注明来源为其他媒体的内容为转载,转载仅作观点分享,版权归原作者所有,如有侵犯版权,请及时联系我们。)