患者右膝周围4个月来出现进行性疼痛和肿胀,期间并无外伤、发烧或体重减轻等情况。局部检查发现其大腿远端存在肿胀与压痛。实验室检查结果显示各项指标均处于正常范围。
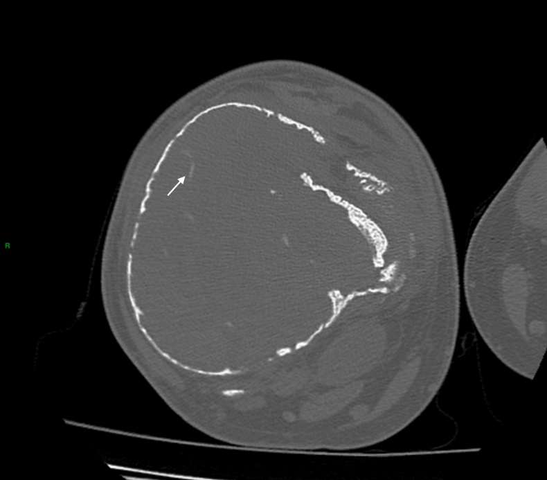
影像学检查方面,横轴位平扫CT(图1)呈现股骨远端有分叶状溶骨性病变,且伴有骨内膜扇形、皮质破裂以及软骨样基质钙化的多个病灶,呈现出“环形和弧形”模式;矢状位CT(图2)则显示病变从远端干骺端延伸至骨骺端,存在皮质变薄和局灶性皮质破裂。
图1

图2
MRI 使用专用膝关节线圈在 1.5 T扫描仪上进行,包括矢状面和横轴位T1、T2加权序列,厚度为4mm。矢状面T1WI MRI(图3)显示病变信号低于肌肉,存在骨皮质破裂以及邻近的骨外软组织成分;矢状T2WI MRI(图4)显示为混杂高信号病变,且伴有多个内部低信号间隔,病变内还可见两个椭圆形液体信号,提示可能存在继发

图3

图4

图5
组织病理学检查(图6)显示有恶性软骨小叶,软骨细胞在粘液样基质中增大且呈双核状态,与II级常规软骨肉瘤相符合,但在组织学上未发现继发性动脉瘤骨囊肿成分。

图6
软骨肉瘤是一种恶性软骨肿瘤,约占原发性骨肉瘤的20%,通常多发于40 - 70岁的成年人,骨盆、股骨近端和肱骨近端是较为常见的受累部位,而股骨远端受累相对较少。
从放射学角度观察,其一般表现为溶骨性病变,伴有骨内扇形和软骨基质矿化。CT在评估钙化模式和皮质破坏方面是理想的选择,MRI则能对髓内受累和软组织延伸进行优越评估,具有特征性的中低T1信号、高T2信号和低信号间隔。
软骨肉瘤偶尔会出现继发性动脉瘤骨囊肿(ABC)样变化,也可能在MRI上表现为液体信号,如本病例中所观察到的情况,但这些变化在组织学上并未得到证实,这种继发性ABC的形成可能代表着肿瘤内病灶内出血或囊性变性。
组织学分级对于预后有着至关重要的意义,II级病变表现为细胞结构增加、核异型性以及粘液样背景。手术切除是治疗软骨肉瘤的首选方法,因为软骨肉瘤对化疗和放疗具有相对耐药性。
在鉴别诊断时,需要考虑内生软骨瘤、软骨母细胞骨肉瘤、透明细胞软骨肉瘤、常规软骨肉瘤等情况,最终本病例诊断为II级软骨肉瘤。
参考文献
本视频/资讯/文章的内容不能以任何方式取代专业的医疗指导,也不应被视为诊疗建议。医脉通是专业的在线医生平台,“感知世界医学

(本网站所有内容,凡注明来源为“医脉通”,版权均归医脉通所有,未经授权,任何媒体、网站或个人不得转载,否则将追究法律责任,授权转载时须注明“来源:医脉通”。本网注明来源为其他媒体的内容为转载,转载仅作观点分享,版权归原作者所有,如有侵犯版权,请及时联系我们。)