患者男性,77岁,是一名规律
患者于6年多前因“
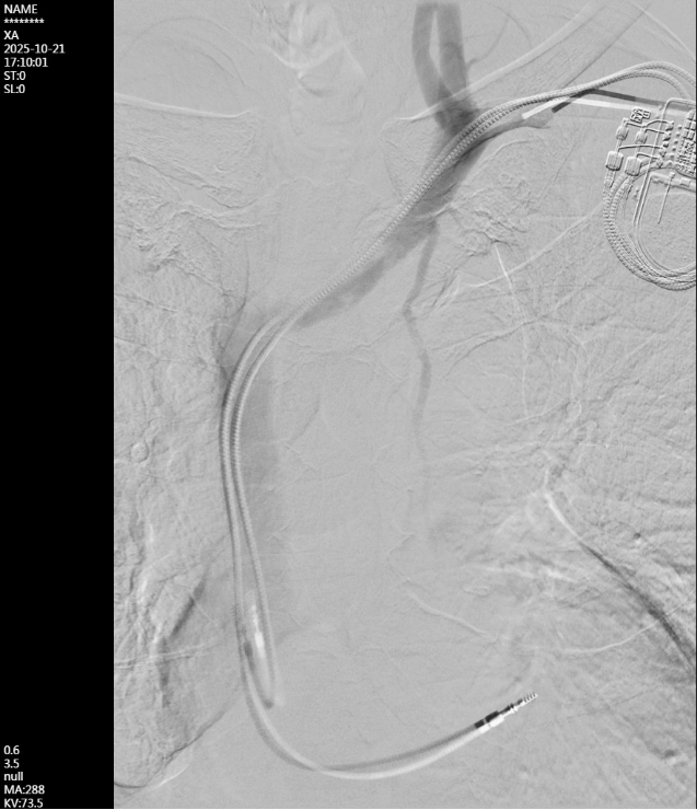
手术团队选取左上臂肱动脉-贵要静脉内瘘的贵要静脉段,距肘关节3cm处为穿刺点,置入血管鞘管。DSA造影显示左侧头臂静脉(无名静脉)闭塞,周围大量侧支循环开放,锁骨下静脉及腋静脉未见狭窄。术中,经造影导管置入0.035英寸超滑导丝,在闭塞处受阻,后更换为0.018英寸导丝,在造影导管引导下成功通过闭塞段,进入上腔静脉并送达下腔静脉。随后更换加硬导丝,以不同型号球囊由小到大逐级、缓慢扩张左侧头臂静脉及与上腔静脉交汇处,最终成功解除狭窄。术后DSA显示左头臂静脉恢复通畅,侧支血管影消失,全程起搏器功能正常。
DSA显示左侧头臂静脉闭塞,侧支血管开放。

超高压球囊扩张中心静脉狭窄处,可见“蜂腰征”。

成功开通闭塞的左侧头臂静脉,全程心脏起搏器功能良好。

术后患者左上肢肿胀显著消退,治疗效果明显。动态测量臂围臂围变化:
术前:左腕18.5cm;左肘上30.5cm。
中心静脉狭窄多与长期留置导管有关,但是动静脉内瘘与心脏起搏器同侧引发的肿胀手综合征十分罕见,典型临床表现包括颜面浮肿、肢体肿胀及胸壁浅表
病例分享专家
张周沧
医学博士 副主任医师
厦门市海沧医院肾内科 科室负责人
厦门市医学会肾脏病分会 常委
首届北京市昌平区血液净化质控中心 委员
一作发表SCI收录论文和北大核心期刊论文十余篇
医脉通是专业的在线医生平台,“感知世界医学脉搏,助力中国临床决策”是平台的使命。医脉通旗下拥有「临床指南」「用药参考」「医学文献王」「医知源」「e研通」「e脉播」等系列产品,全面满足医学工作者临床决策、获取新知及提升科研效率等方面的需求。仅供HCP观看。

(本网站所有内容,凡注明来源为“医脉通”,版权均归医脉通所有,未经授权,任何媒体、网站或个人不得转载,否则将追究法律责任,授权转载时须注明“来源:医脉通”。本网注明来源为其他媒体的内容为转载,转载仅作观点分享,版权归原作者所有,如有侵犯版权,请及时联系我们。)