太长不看版
直接拉到文末看小结
↓ ↓ ↓
目前国内外在使用色素性激光(短脉冲的纳秒、皮秒激光)治疗黄褐斑时,通常会选择大光斑、低能量1064nm或755nm平扫治疗。皮秒激光早在2012年底问世,第一台皮秒激光是赛诺秀公司的picosure。皮秒激光用于治疗黄褐斑的时间无法考证,因为医生自己超说明书用于治疗黄褐斑,如果不发表论文,是无法判断最早的应用时间的。但可以从塞诺龙的 PicoWay2015年上市开始算起,因为picosure是755nm,而picoway有532nm及1064nm,而1064nm是纳秒级调Q激光常用于治疗黄褐斑的波长。遗憾的是,10年过去了,755nm或1064nm皮秒激光治疗黄褐斑的文献报道仍然不多。这可能是由于黄褐斑主要发生于较深肤色的人群,而在欧美白种人中发病率很低。美容皮肤科界基于皮秒激光相对于纳秒激光的优势,普遍认为皮秒激光用于治疗黄褐斑时更不容易产生色素异常的不良反应。这一认知直到今年11月澳大利亚医生发表题为“皮秒激光治疗黄褐斑后色素减退:病例系列”的论文前,似乎被绝大多数医生深信不疑。我们先来解读一下这篇文章,再具体分析怎样在使用皮秒激光治疗黄褐斑时避免色沉或色脱的副作用。澳大利亚医生回顾了他们使用皮秒激光治疗黄褐斑的案例,总结了在2021年至2025年间的796例患者。治疗使用755和/或1064 nm波长,低能量密度,间隔4‑12周。临床治疗终点为轻度迟发性水肿和红斑。
结果:3名门诊患者(0.38%)和1名转诊患者出现了色素减退。
案例1,2,4的患者为Ⅳ型皮肤,案例3为Ⅴ型皮肤。
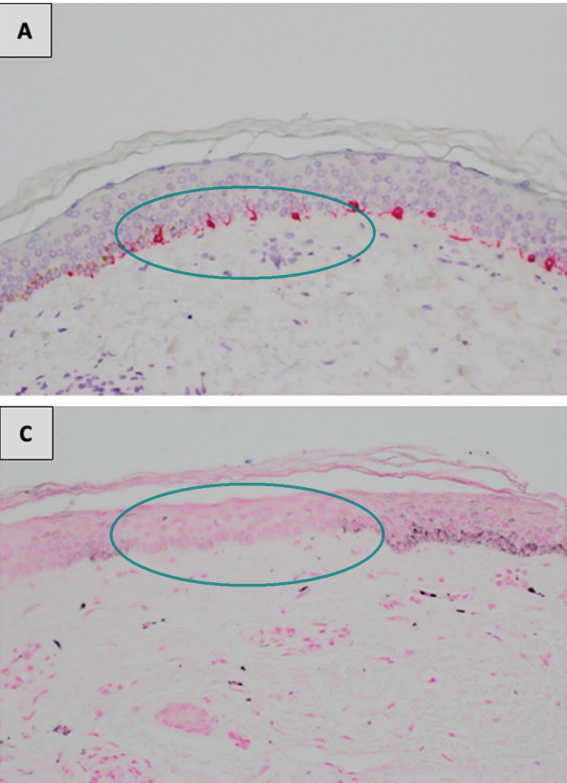
该研究专门对出现色素减退的患者做了组织病理活检,主要目的是为了判断色素减退的原因是由于黑素细胞死亡还是合成黑色素的活性下降。
下表为4个案例的基本情况
案例1
案例2
案例3
案例4
解读
四名出现白斑的黄褐斑患者中,两名是使用大光斑、低能量平扫模式,另外两名是使用点阵模式治疗。
既往研究认为,色素性激光的点阵模式不易出现色沉、反黑,因此比平扫有优势。
而这篇最新医学论文提示我们,点阵模式也有风险,且可能导致白斑。
英文中的“Hypopigmentation”,既可以翻译为色素减退,也可以翻译为色素脱失。
在中文语境中,色素减退会被理解为暂时性色素减少,而色素脱失会被理解为永久性色素减少。
在这篇医学研究中,在出现白斑后,医生采用了外用他克莫司的治疗方法(这是被证明治疗白癜风有效的常用外用药),且观察了6个月。
但是,白斑没有复色,研究者认为,这些因为皮秒激光治疗黄褐斑导致的白斑很难恢复,有可能形成永久性色素脱失。
下面结合文献,对白斑出现的原因和预防方法进行分析。
皮秒激光与纳秒激光治疗黄褐斑的优势
许多医生误认为纳秒的调Q激光是以光热作用为主,而皮秒激光是以光声作用为主。
但实际上,短脉宽(纳秒或皮秒)的色素性激光均是以光声作用为主,不过,皮秒的光声作用强于纳秒激光。
皮秒的更强的光声作用的表现是(重要):
以较低的能量密度达到纳秒激光需要较高的能量密度能够达到的光声作用强度。
换句话说,皮秒激光如果使用较高的能量密度将使其失去优于纳秒激光的优势(重要)。
而目前在国外,皮秒激光平扫并没有替代纳秒调Q激光成为治疗黄褐斑的首选色素性激光。
这也是皮秒激光治疗黄褐斑论文少,且导致色沉的案例报道很少的原因。
例如,有新加坡医生在其个人网站上主张谨慎使用皮秒激光治疗黄褐斑。
注:截图中机器翻译错误,PICO是皮秒的意思
不过,根据目前的文献报道。
纳秒的调Q激光确实出现色沉或色脱的风险较高。
目前已知纳秒的调Q激光治疗黄褐斑的3个月复发率高达64-81%(参考文献2)。
而来自不同文献的调Q激光导致的色素脱失发生率范围为0%-21%(参考文献3)。
因此,理论上皮秒激光导致色沉或色脱的不良反应发生率会低于纳秒激光(因为光声作用更强)。
纳秒、皮秒激光不同波长,不同模式的差异
从波长上来看,黑色素对755nm的吸光度高于1064nm,因光热作用产生的高温激惹或抑制黑素细胞活性的风险也高于1064nm。
从脉宽上看,纳秒激光的光热作用高于皮秒激光,因此,纳秒激光也更容易使黑素细胞受到热损伤。
平扫模式和爆破模式不同,爆破模式是通过很强的光声作用击碎黑色素。
而大光斑、低能量平扫模式,在治疗黄褐斑时显然主要是通过黑色素吸光产热的光热作用来发挥治疗作用的。但皮秒激光在平扫时的光热作用也是弱于纳秒激光的。
而皮秒激光的点阵模式,是通过经典的“光机械作用”。
但点阵模式的“光机械作用”与爆破模式不同。大家都会觉得小光斑的爆破模式产生的光机械作用很强。
但实际上,点阵模式的“光机械作用”更强。
点阵模式的作用原理被称为“LIOB”,即激光诱导的光击穿效应。
这种作用的核心变化是“plasma等离子体的形成”(台湾地区称为电浆)。
等离子体(Plasma),被称为“物质的第四态”(即气体、液体、固体之外的第四种)。等离子体的形成伴随的是超高温(理论上可以高达15,000℃),并产生很强的压力波(冲击波),这种冲击波是击穿组织形成空泡的主要原理。因此,实际上,点阵模式对皮肤的作用包括了极短时间内产生的超高温以及由等离子体诱导产生的极强的冲击波(强到被称为光击穿作用)。因此,大家会发现,在使用皮秒点阵手具时,皮肤即刻就会发红,不可避免的出现皮肤红斑反应。皮秒激光LIOB效应在皮肤中形成的等离子体,其核心区域的瞬时温度据理论推算可高达数千至上万摄氏度(K),但这仅限于微米级的空间和皮秒级的时间内,几乎没有对周围组织的热扩散(来源:谷歌AI的答案)。而在低能量平扫模式下,皮肤中的黑色素在反复吸光产热的情况下,皮温逐渐升高才会出现红斑反应。重复多次的大光斑、低能量平扫可能会导致累积性光毒性,使黑素细胞凋亡,从而治疗色斑或导致色素脱失。2015年韩国医生发表的一篇重量级论文证明了这一点。该研究使用大光斑、低能量1064nm激光平扫(7mm光斑、间隔2周1次,共6次)治疗咖啡斑取得了不错的疗效。这种疗效被归因于累积的光毒性,造成黑素细胞死亡(凋亡)。不过,在这篇皮秒激光导致皮肤白斑的最新论文中,研究者对4名患者均做了组织病理切片。组织学显示,黑素细胞数量没有减少,但合成的黑色素数量减少。因此,至少在该论文报道的案例中,白斑的形成不是因为光毒性。发表这篇论文的医生实际上采用的治疗参数是比较温和和保守的。能量密度普遍在 1J/cm2以下,治疗间隔时间在4周以上,平均发数为670。终点反应为轻度迟发性水肿和红斑(注意是迟发性,而不是即刻出现明显的红斑反应)。在这样的参数下,未出现色素沉着。但出现了4例色素脱失。研究者认为,过高的频率(10Hz)导致了不可避免的光斑重叠。光斑重叠将导致小范围能量累积,导致小面积温度过高或累积的热量太多,从而抑制了黑素细胞的功能。光斑重叠将导致个别小面积部位形成过度的累积热刺激。出现色素脱失的4例患者均为深肤色人群(Ⅳ-Ⅴ型皮肤),深肤色人群虽然理论上黑素细胞更活跃,更加容易出现色沉,但如果热刺激比较温和,也可以不出现色沉。但有个现象,深肤色人群更容易出现色素脱失。这可能与深肤色黑色素更多,吸光产生的热量更高,进而损伤黑素细胞有关。此外,形成的白斑是否可逆因人而异。显然,累积的热刺激越多,越容易形成不可逆的白斑,光热作用是主因,但点阵模式中的光机械作用也可能参与其中。举个例子,我们在用小光斑爆破模式治疗雀斑时,随着治疗次数的增加,色斑逐渐变淡。虽然雀斑可能因日晒而复发,但复发的雀斑颜色会明显变淡。这说明经过治疗的色斑区域的黑素细胞合成分泌黑色素的功能受到了抑制,且不可恢复。同理,大光斑、低能量的热累积作用可能损伤黑素细胞而又未杀死黑素细胞时,却可能影响黑素细胞合成分泌黑色素的功能,从而导致白斑的出现。形成的白斑能不能恢复,显然与黑素细胞受到的累积热刺激有关。黑素细胞受到的热损伤越轻,白斑恢复的可能性越大。否则,白斑超过6个月不恢复的,大概率难以恢复。1、这篇很有价值的论文提醒我们,皮秒激光治疗黄褐斑,无论是平扫模式还是点阵模式,均有可能形成不可逆的白斑(文中外用他克莫司治疗了6个月,无明显复色)。2、澳大利亚医生采用的温和参数和温和的终点反应是未出现色沉案例的主要原因。我个人建议,无论是纳秒激光还是皮秒激光,无论是755nm还是1064nm,无论是平扫模式还是点阵模式,尽量采用最大的光斑,最低的能量,较慢的频率,平稳的手速。也就是说,以“小火慢炖”的方式,且终点反应保持在皮肤微红或延迟性红斑(论文中的光斑数可供参考)。3、该论文作者建议的频率为≤ 2.5 Hz,在临床实践中很难做到,我个人推荐≤5Hz。我的建议,首先是要让皮肤反应足够轻,当皮肤出现明显红斑时,可以通过冷敷降温或者外擦激素药膏抗炎来预防色沉的形成。4、特别当心深肤色人群,其皮肤中黑色素更多,吸光产生的热量更高。因此,需要更加谨慎,使用更加温和的参数。对Ⅳ型以上皮肤的黄褐斑患者,我个人不推荐做任何色素性激光的平扫治疗(包括纳秒和皮秒)。5、这篇论文还提醒我们,以往我们认为比较安全的点阵模式,同样可能导致白斑形成。其主要原因可能是由于等离子体形成过程中导致的超高温,点阵模式的皮肤反应重,个人建议一遍过,不重叠第二遍(pass)。6、虽然文献报道的皮秒激光导致色沉的案例报道少,但相关论文本来就少。能量偏高,或追求即刻红斑的终点反应,甚至在黄褐斑处还要加强扫描,均可能激惹黑素细胞,导致色沉。实际上,在国内同行交流中,1064nm皮秒激光平扫导致色沉的情况时有发生。7、色素性激光治疗黄褐斑在循证医学中被列为“三线治疗”。请注意,黄褐斑是具有独特发病机制的“斑中之王”,如果你只针对黑色素,治疗方法与治疗其他色沉一样,注定会出问题。因为,黄褐斑是一种复杂的皮肤病,而不是单纯的晒黑问题。8、激光导致的色沉还有希望消退,但色脱后形成永久性白斑的概率远大于形成永久性色沉的概率。因此,要有敬畏之心和医生的责任心。黄褐斑是色素增加性皮肤病,其主要治疗手段是治病的药物,而不是光电。今天的分享就到这里,感谢大家的支持
。。。。。。。。。。。。。。。。。。。。。
如您认为通过阅读我的文章,有所收获,欢迎为高质量知识付费。1 Hang X, Lim D S. Hypopigmentation Following Picosecond Laser Treatment for Melasma: A Case Series[J]. Lasers in Surgery and Medicine, 2025..2 Trivedi M K, Yang F C, Cho B K. A review of laser and light therapy in melasma[J]. International journal of women's dermatology, 2017, 3(1): 11-20..3 Lee Y S, et al. The low-fluence Q-switched Nd: YAG laser treatment for melasma: a systematic review[J]. Medicina, 2022, 58(7): 936.4 Kim H R, et al. A low-fluence 1064-nm Q-switched neodymium-doped yttrium aluminium garnet laser for the treatment of café-au-lait macules[J]. JAAD, 2015, 73(3): 477-483..
医脉通是专业的在线医生平台,“感知世界医学脉搏,助力中国临床决策”是平台的使命。医脉通旗下拥有「临床指南」「用药参考」「医学文献王」「医知源」「e研通」「e脉播」等系列产品,全面满足医学工作者临床决策、获取新知及提升科研效率等方面的需求。

(本网站所有内容,凡注明来源为“医脉通”,版权均归医脉通所有,未经授权,任何媒体、网站或个人不得转载,否则将追究法律责任,授权转载时须注明“来源:医脉通”。本网注明来源为其他媒体的内容为转载,转载仅作观点分享,版权归原作者所有,如有侵犯版权,请及时联系我们。)