文献来源:中华炎性肠病杂志,2025年第9卷第5期
作者单位:1中国医学科学院 北京协和医学院
通信作者:李玥
引用本文: 朱亚龙,羽思,黄婧怡,等.
DOI:10.3760/cma.j.cn101480-20241009-00110

【摘要】目的 总结分析炎症性肠病(IBD)伴发中轴型脊柱关节炎(ax-SpA)患者的临床特征。方法 采用描述性病例系列研究方法。连续纳入2012年1月至2023年12月北京协和医院收治的伴发ax-SpA的IBD患者,收集其临床资料并作描述性分析。结果 共纳入21例IBD伴发ax-SpA患者,其中男性14例(66.7%),女性7例(33.3%);IBD确诊年龄29(24,42)岁;
【关键词】炎症性肠病;中轴型脊柱关节炎;溃疡性结肠炎;克罗恩病
炎症性肠病(inflammatory bowel disease,IBD)是一种慢性、复发性、非特异性肠道炎症性疾病,包括溃疡性结肠炎(ulcerative colitis,UC)和克罗恩病(Crohn's disease,CD)。受遗传、免疫或环境等多种因素影响,IBD可出现肠道外表现及自身免疫相关共患疾病,累及关节、皮肤、眼部和肝胆系统等。脊柱关节炎为常见的肠外表现之一,包括中轴型SpA(axial SpA,ax-SpA)和外周型SpA [ 1 ]。ax-SpA主要累及脊柱和骶髂关节,分为
对象与方法
采用描述性病例系列研究方法。连续性纳入2012年1月至2023年12月收治于北京协和医院消化内科的IBD伴发ax-SpA患者。纳入标准:(1)根据《中国溃疡性结肠炎诊治指南(2023年,西安)》和《中国克罗恩病诊治指南(2023年,广州)》诊断标准,符合IBD诊断 [ 4 , 5 ];(2)根据《中轴型脊柱关节炎诊断和治疗专家共识(2023年版)》诊断标准,符合ax-SpA诊断 [ 6 ];(3)IBD诊断年龄≥14岁;(4)临床资料完整。排除标准:(1)既往因ax-SpA以外原因行脊柱手术;(2)具有脊柱外伤病史;(3)伴随诊断为
本研究已通过北京协和医院伦理委员会审核(批准号:K5898)。豁免知情同意。
1.资料收集:收集IBD合并ax-SpA患者的临床资料,包括年龄、性别等一般资料以及IBD和ax-SpA诊断间隔、蒙特利尔分型、疾病活动度、IBD相关肠外表现、肠道手术史、治疗和预后等。
2.定义与标准:
(1)蒙特利尔分型:使用蒙特利尔分型对所有患者在IBD诊断时的病变范围进行评估 [ 7 ]。UC依据结肠镜下炎性病变的累及范围进行分型:病变局限于直肠,未累及乙状结肠为E1型;病变累及左半结肠(脾曲以远)为E2型;病变广泛,累及脾曲以近乃至全结肠为E3型。CD的蒙特利尔分型包括诊断年龄、疾病受累部位(包括是否存在肛周病变)和疾病行为。诊断年龄中,≤16岁为A1,17~40岁为A2,>40岁为A3;病变部位中,回肠末段为L1,结肠为L2,回结肠为L3,上消化道为L4;疾病行为中,非狭窄非穿透型为B1,狭窄型为B2,穿透型为B3,肛周病变P包括肛瘘和肛周脓肿。
(2)疾病活动度:使用改良Truelove和Witts疾病严重程度分型评估UC疾病活动度,疾病严重程度分为轻度、中度和重度 [ 8 ]。使用Mayo内镜评分(Mayo endoscopic score,MES)评估UC内镜下病变严重程度,0分为正常或缓解期,1分为轻度活动期,2分为中度活动期,3分为重度活动期 [ 9 ]。使用简化克罗恩病活动指数评估CD疾病活动度,≤ 4分为缓解期,5 ~ 7分为轻度活动期,8 ~ 16分为中度活动期,>16分为重度活动期 [ 10 ]。使用简化克罗恩病内镜下评分(simple endoscopic score for Crohn's disease,SES-CD)评估CD内镜下疾病活动度,0 ~ 2分为缓解,3 ~ 6分为轻度活动,7 ~ 15分为中度活动,≥16分为重度活动 [ 11 ]。
采用SPSS 26.0软件,正态分布定量资料以 ± s表示,非正态分布定量资料以 M( Q 1, Q 3)表示。定性指标采用频数(百分比)表示。
结果
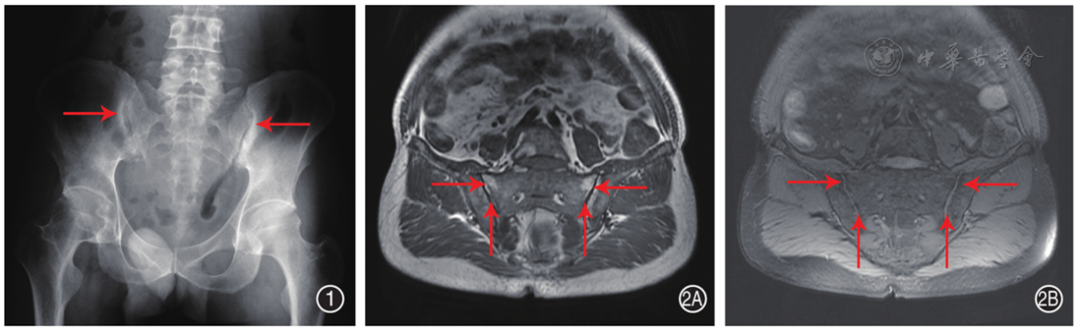
符合纳入标准的有29例IBD伴发ax-SpA患者,占同期住院IBD患者1.84%(29/1 575)。排除7例临床资料不完整和1例IBD诊断年龄小于14岁患者,最终纳入患者21例,其中男性14例(66.7%),女性7例(33.3%);IBD确诊年龄29(24,42)岁;UC 10例,CD 11例。21例患者均行骶髂关节影像学检查,存在骶髂关节炎性改变( 图1 和 图2 ),均为AS。11例(52.4%)患者ax-SpA先于IBD确诊,间隔时间84(34,156)个月;7例(33.3%)IBD先于ax-SpA确诊,间隔时间54(12,84)个月;3例(14.3%)同时确诊。

图1 32岁男性溃疡性结肠炎患者X线图 可见双侧骶髂关节骨组成形态正常,关节面下骨质硬化,左侧为著(右侧箭头),右侧关节间隙局部狭窄(左侧箭头),左侧关节间隙未见明显狭窄
图2 42岁男性克罗恩病患者磁共振图 2A、2B:分别为T 1、T 2压脂信号,双侧骶髂关节对称,双侧骶髂关节组成骨对位关系正常;双侧骶髂关节面毛糙,骨质内见斑点状长T 1长T 2信号,双侧骶髂关节面下见多发斑片状短T 1信号(图2A横向箭头),压脂相呈低信号(图2A、2B纵向箭头),双侧骶髂关节间隙狭窄(图2B横向箭头)
21例患者中,13例(61.9%)患者(UC5例和CD8例)合并其他肠外表现,包括口腔溃疡6例,
10例UC患者确诊共病时病变范围为E2型2例,E3型8例;10例患者均为活动期,轻度活动1例,中度活动4例,重度活动5例;MES评分中1分1例,2分3例,3分6例。
11例CD患者诊断年龄为A1型1例,A2型8例,A3型2例;确诊共病时病变部位为L1型3例,L2型1例,L3型6例,L3合并L4型1例;疾病行为为B1型4例,B2型6例,B3型1例;3例患者为缓解期,5例患者为轻度活动,3例患者为中度活动。9例行SES-CD评分,其中缓解2例,轻度活动1例,中度活动4例,重度活动2例。2例CD患者存在肛周病变,1例为
随访19例(UC 9例和CD 10例),随访时间34(12,57)个月。失访2例,其中UC 1例,CD 1例。
9例UC患者随访47(15,70)个月,其中UC复发7例,ax-SpA复发5例;5例(55.6%)由传统治疗升级为生物制剂或小分子药物,包括英夫利西单克隆抗体(简称单抗)4例次、
10例CD患者随访23.5(9.5,46.5)个月,CD复发5例,ax-SpA复发2例;其中3例(30.0%)由传统治疗升级为生物制剂,包括
在随访期间,3例患者行手术治疗,其中1例CD和1例UC行部分回结肠切除术,1例CD行回肠造口术。
讨论
IBD伴发关节炎最早由梅奥诊所在1929年首次报道,此后相继有研究报道ax-SpA是IBD的肠外表现之一 [ 1 , 12 ]。本研究中IBD伴发ax-SpA的比例为1.84%。流行病学研究表明,ax-SpA全球患病率在0.1%~1.4%之间,而在IBD患者中患病率显著增加,可达2.6%~6% [ 13 , 14 ]。一项新近的丹麦前瞻性队列研究显示,每6例新诊断IBD患者中即有1例存在
本研究发现,IBD伴发ax-SpA患者主要表现为E3和L3,同时疾病活动度以中重度为主。既往研究表明IBD蒙特利尔分型和疾病活动度可能与ax-SpA的发生发展无明显相关。Ossum等 [ 16 ]在一项纳入756例IBD患者的前瞻性队列研究中随访20年,发现UC患者病变范围、疾病活动度和CD患者的蒙特利尔分型均与ax-SpA的发病无明显关联;但其同时发现,在IBD病程中疾病持续活动或反复复发的患者更易发生ax-SpA。
本研究结果显示,伴发ax-SpA的IBD患者常合并其他IBD肠外表现。这可能提示IBD的系统性表现可能由肠道和肠外部位的共同免疫病理机制驱动。ax-SpA与其他肠外表现的共存,进一步强调了多学科综合管理的重要性。由于IBD伴发ax-SpA相对较少,纳入样本量较小,本研究亦存在一定局限性。
综上所述,本研究发现IBD伴发ax-SpA的疾病特点如下:以男性为主;UC和CD的比例相近;UC以广泛结肠型居多,CD以回结肠型为主;疾病活动程度以中重度为主;IBD与ax-SpA确诊时间无明显先后顺序;常同时存在其他肠外表现。
利益冲突 所有作者均声明不存在利益冲突
(本网站所有内容,凡注明来源为“医脉通”,版权均归医脉通所有,未经授权,任何媒体、网站或个人不得转载,否则将追究法律责任,授权转载时须注明“来源:医脉通”。本网注明来源为其他媒体的内容为转载,转载仅作观点分享,版权归原作者所有,如有侵犯版权,请及时联系我们。)