自20世纪发展以来,经皮冠状动脉介入治疗(PCI)已成为

历史概述
1929年,德国医生Werner Forsman使用导尿管对自己进行了右心导管插入术,完成了首例人体
1963年,Charles Dotter博士在狭窄的右髂动脉上进行了第一次腔内血管成形术,为闭塞性动脉疾病的导管经皮治疗奠定了基础。
1974年,Andreas Grüntzig博士描述了“Grüntzig球囊导管原理”,奠定 PCI 基础。1977年,他首次对人类冠状动脉进行了球囊扩张。
除球囊扩张外,Dotter-frst在1964年描述了血管内“夹板”的概念,并建议使用非生物血管内支架来稳定患病的动脉血管。
1986年,Jacques Puel博士植入了首枚冠状动脉支架。
随后,Cesare Gianturco博士、Gary S.Roubin博士等,在冠状动脉支架的功能方面进行了探究,为球囊扩张支架的发展做出了重大贡献。
为什么是DCB?
POBA、BMS或DES是PCI的常用选择,但仍具有一定的局限性,如再狭窄问题等。此外,新发
DCB
在20世纪90年代末,德国相关研究提示,紫杉醇对新生内膜形成具有剂量依赖性的抑制作用;与此同时,Ulrich Speck和Bruno Scheller博士证明,球囊可作为紫杉醇载体,且可促进其转移到血管壁中;为DCB的诞生奠定了基础。
在DCB中,涂覆有活性抗增殖物质(主要为紫杉醇,近年来新增西罗莫司)与载体的快速交换型半顺应性球囊导管,能够实现药物在血管壁内的快速摄取并维持其持续存在,从而抑制新生内膜形成。

图1 DCB作用机制
在有效的DCB技术中,应考虑多项生物和操作因素。目前主要有紫杉醇和西罗莫司两种抗增殖药物。
紫杉醇是一种强效抗肿瘤药物,其作用机制是不可逆地结合微管并增强微管组装,从而在细胞有丝分裂过程中阻断细胞复制。因此,有报道称紫杉醇在仅接受DCB治疗后的晚期管腔增加中具有积极的重塑作用。此外,紫杉醇具有高度亲脂性的药物,可在极低剂量下保持持续的生物效应,使细胞能够快速摄取和发挥作用。
西罗莫司也称雷帕霉素,具有很强的抗增殖和免疫抑制特性,可通过与细胞内细胞质蛋白FK结合蛋白-12(FKBP-12)结合,形成复合物,可逆地抑制哺乳动物雷帕霉素靶点(mTOR)的激活,从而抑制G1/S过渡期的细胞周期进程。然而,西罗莫司也存在某些局限性,如药物转移率低和在组织中停留时间长。尽管如此,紫杉醇涂层球囊(PCB)和西罗莫司涂层球囊的临床和
赋形剂是一种非活性成分,在活性药物递送和改善与血管壁的相互作用中起着重要作用。经临床验证的载体包括
开发独特的涂层系统对于优化药物输送至关重要。球囊涂层性能为药物释放动力学、粘附性能和整体效率提供了优势。涂层特征,例如在整个表面积上具有均匀的厚度和药物浓度,以及在球囊内涂层碎裂成亚微米颗粒,对于提高亲脂性药物向血管组织的转移能力至关重要。
不同DCB器械的涂层成分存在显著差异,外观形态各异,涵盖树脂状、多层结构及晶体结构等多种类型。一种新型纳米包封涂层技术可提供更好的药物溶解度和稳定性,并具有可控释放,以增强药物输送。然而,该技术的进一步发展仍需要更可靠的临床数据来推进这项技术的发展。
由于药物类型、配方、转移动力学和生物利用度的差异,DCB并不具有类别效应,不同DCB选项的有效性和安全性存在差异。

图2 紫杉醇和西罗莫司DCB的主要特征和差异
注:DCB:药物涂层球囊;PCB:紫杉醇涂层球囊;SCB:西罗莫司涂层球囊;ISR:支架内再狭窄;MLD:平均管腔直径
随着20世纪90年代末BMS的引入,ISR出现。血管造影显示,先前支架段内或支架边缘附近(距离近端和远端边缘5mm)的管腔直径减小了>50%。在组织学上,ISR是由过度的新生内膜组织变化引起的负向血管重塑的缓慢过程。
早期ISR主要是由新生内膜增生引起,晚期ISR则由新动脉粥样硬化引起。尽管支架技术的进步降低了ISR的风险,但它仍然是PCI失败的主要原因,占美国所有PCI手术的5%~10%。因此,制定战略以预防和优化ISR至关重要。
AGENT IDE试验强调了DCB治疗策略在混合ISR中优于POBA。该研究1年的结果显示,与POBA组相比,靶病变失败(TLF)、靶病变血运重建(TLR)和靶血管相关

图3
注:(A)预处理图像显示受影响动脉中90%的ISR。(B)置入一个2.5×15mm的DCB,扩张至6个大气压,持续60秒。(C)治疗后图像显示,DCB介入后ISR完全消退,狭窄率为0%。
DAEDALUS研究是一项由研究者发起的大型、协作的个体患者数据荟萃分析(包括10项随机对照试验),3年随访显示,DES重复支架植入在减少TLR需求方面比DCB血管成形术更有效。此外,治疗效果和再狭窄支架类型之间存在显著的相互作用,DES-ISR患者的差异更大,BMS-ISR患者的效果相当。
另一方面,在主要安全终点(全因死亡、心肌梗死或靶病变血栓形成的复合事件)方面没有显著差异,DCB组的这一结果发生率较低。亚组分析显示,治疗效果与用于治疗ISR的DES的生成之间存在显著相关性,与第一代DES相比,DCB相关事件的发生率较低,DCB和第二代DES之间的效果相似。
此外,SCAAR试验最近的一项长期全国性分析显示,与DAEDALUS研究结果相似,DCB组TLR的发生率高于DES。然而,BMS-ISR和DES-ISR之间的亚组分析显示,DES和DCB在TLR和主要不良心脏事件(MACE)方面没有显著差异。因此,DCB在治疗BMS-ISR方面与DES重复支架置入同样有效和安全,但在治疗DES-ISR方面不如DES重复支架置入有效。基于此,《2024 ESC/欧洲心胸外科协会
尽管新一代DES支架可能会略微降低ISR病变对TLR的需求,但在球囊血管成形术后进行充分的病变准备时,额外支架层的风险使DCB成为BMS和DES-ISR的首选。此外,可能从较短时间的DAPT治疗中获益的患者可能是DCB治疗的最佳候选者。因此,患者特有因素可能会影响结果,并应指导治疗方式选择,由操作员根据患者的解剖结构和临床表现进行判断。然而,在不同的临床和解剖场景中进行设计良好的研究,为临床终点和长期临床随访提供动力,有必要重新确定DCB在ISR中的作用。不同DCB的头对头比较研究表明,血管造影和主要临床终点没有显著差异。
此外,一些重要措施可能会提高ISR中DCB的治疗效果,例如考虑DCB与其他器械联合治疗,适当的病变准备,以及使用血管内成像(IVUS)和冠状动脉生理学等。IVUS或
目前,DCB主要用于治疗BMS和DES的ISR。然而,新证据表明,将其使用范围扩大到包括其他适应证,如新发冠状动脉疾病、分叉病变和弥漫性长病变。

图4 DCB冠状动脉成形术适应证

图5 中心图示:冠状动脉疾病的DCB适应证和治疗策略
注:DCB:药物涂层球囊;DES:药物洗脱支架;FFR:血流储备分数;ISR:支架内再狭窄;IVL:血管内碎石术;IVUS:
在治疗直径≥3.0 mm的大口径冠状动脉疾病血管(LV-CAD)时,传统上认为DES为首选,因为它们能够为血管壁提供增强的支撑。然而,最近的研究表明,DCB也是一种可行的治疗选择。DEBUT和PEPCAD-NSTEMI试验分别在高出血风险患者和ACS患者中显示出相似的结果(DCB组和BMS/DES组的TLF和MACE)。值得注意的是,非ST段抬高型心肌梗死(NSTEMI)试验报告称,DCB组额外放置支架的发生率为15%,突显了由于DCB不可避免的并发症(如冠状动脉夹层),可能需要“紧急”支架置入。
然而,另一项回顾性研究报告称,虽然28.3%的LV-CAD病变发生了冠状动脉夹层,但仅0.5%的病例需要紧急支架置入,提示大多数DCB诱导的夹层都是可控的,可以通过医学方法进行管理。此外,DCB在LV-CAD中的应用已在各种临床环境中进行了研究。SPARTAN DCB试验和Merinopoulos等的另一项回顾性研究表明,在5年和3.6年随访时,在稳定的CAD环境中治疗LV-CAD时,原发DES和DCB在全因死亡率方面没有显著差异。Merinopoulos等发现,3年时,单纯DCB组和DES组的ST段抬高型心肌梗死(STEMI)患者的全因死亡率、净心脏事件(TLF、心血管死亡率、随后的ACS、CVA、TIA和大出血)结果相似。
此外,REVELATION试验评估了120名STEMI患者在成功预扩张后残余狭窄<50%的DCB血管成形术的安全性和有效性,并与DES进行了比较。在2年的随访中,两组的MACE没有显著差异。此外,在9个月时评估的血流储备分数(FFR)方面,DCB策略并不劣于DES(DCB组0.92±0.05[n=35],DES组0.91±0.06[n=38;P=0.27])。尽管DCB作为LV-CAD的单一疗法已经引起了人们的兴趣,但仍需进行大型随机试验以比较DCB与DES(的金标准)的有效性和安全性。
小血管冠状动脉疾病通常被定义为血管直径<3.0 mm的病变。在这种小血管中植入支架后,随着时间的推移,晚期管腔损失会变得更加有害,从而导致ISR和不良事件的发生率更高。PEPCAD研究的早期结果表明,在12个月和36个月时,安全性和有效性良好,心脏死亡、靶血管心肌梗死或TLR的发生率较低。PI
RESTORE SVD试验将230名新发小血管冠状动脉疾病患者随机分为紫杉醇涂层球囊血管成形术或第二代西罗莫司洗脱支架治疗。9个月时,DCB组在节段内直径狭窄的主要终点方面不劣于DES(29.6%±2.0% vs 24.1%±2.0%;P<0.001)。然而,与DES组相比,DCB组的节段内最小管腔直径较小(1.40±0.42mm vs 1.71±0.39mm;P<0.001),晚期管腔丢失率相似(0.25±0.42mm vs 0.27±0.36mm;P=0.73)。在12个月和24个月时,综合临床结果没有显著差异。SCAAR注册的一项大规模观察性分析,包括14778名连续接受PCB治疗的原发小血管冠状动脉疾病患者第二代DES报告了相反的结果。3年后,与DES组相比,PCB组临床显著再狭窄的风险明显更高(调整后的HR=2.03)。相比之下,两组靶病变血栓形成的发生率没有显著差异(调整后的HR=0.74)。同样,在全因死亡率或心肌梗死率方面没有观察到显著差异。
DCB对原发性小血管冠状动脉疾病中的疗效报告存在差异,且多项试验结果不一致,这可能是由于不同DCB技术之间缺乏类别效应及操作技术(尤其是病变预处理是否充分)存在差异所致。例如,PICCOLETO研究中的结果可以部分解释为次优病变预扩张,约75%的入组患者出现了这种情况。图6和图7说明了我们成功应用AGENT DCB治疗原发性小血管冠状动脉疾病。
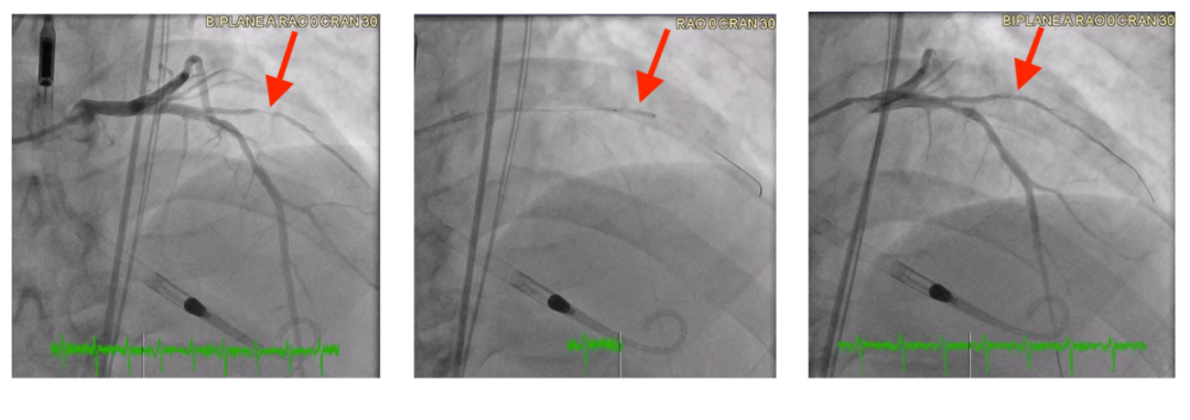
图6 冠状动脉造影图像显示了使用DCB治疗原发性小血管冠状动脉疾病。
注:(A)治疗前图像显示第一对角支近端90%狭窄。(B)置入一个2.5×15mm的AGENTDCB,扩张至8大气压,持续60秒。(C)治疗后图像显示,DCB干预后狭窄程度显著降低至20%。

图7冠状动脉造影图像显示了使用DCB治疗涉及开口第一斜支90%狭窄的原发性小血管冠状动脉疾病。
注:(A)治疗前图像显示第一斜支开口处90%狭窄。(B)置入一个2.5×12mm的DCB,在4个大气压下持续60s。(C)治疗后图像显示,DCB干预后狭窄程度降至30%,血管通畅性得到改善。
分叉病变是冠状动脉介入治疗中的一个重大挑战,占病例的15%~20%。由于分支血管闭塞、再狭窄和支架血栓形成等并发症的风险增加,这些病变的管理尤为困难。冠状动脉分叉病变的常规双支架置入术对预后没有显著影响,且或增加住院率和MACE风险。最广泛使用的方法仍然是在主血管中进行单交叉支架置入术,根据需要进行侧支球囊扩张或临时支架置入术。
目前,单支架置入仍然是治疗分叉病变的主要方法,但它存在损伤侧支的风险。经皮腔内球囊血管成形术(POBA)为边支血管扩张提供了一种替代方案,且无需改变主支血管结构。然而,在主支支架置入后,对侧支血管进行仅DCB-PCI仍会导致两支血管的高再狭窄率。DCB保留了POBA的优点,同时又为提高处理效率提供了额外的潜力,特别是对于小侧支血管。
过去十年的几项研究表明,在主支使用临时支架和在侧支使用DCB治疗分叉病变取得了有希望的结果。BABILON试验将108名冠状动脉分叉病变患者随机分为两组,一组在两个分支应用DCB进行连续预扩张,然后在主分支进行临时BMS置入,另一组在主分支行预扩张和临时
DEBIUT研究试验的发布为分叉病变DCB提供了有力的证据。6个月时的血管造影随访显示,与基于BMS的方法相比,基于DCB的策略无显著差异,且发现其效果不如基于DES的策略。另一项试验侧重于DCB血管成形术治疗主支置入DES后SB的潜在益处。9个月随访显示DCB组的结果显著更优:DCB组的病变晚期管腔丢失较低(0.13±0.31 mm vs 0.51±0.66 mm;P=0.013),最小管腔直径较大(1.78±0.37 mm vs 1.39±0.80 mm;P=0.015),接受DCB治疗的患者二次再狭窄的发生率较低(5.9% vs 25.7%;P=0.045)。随着支持在分叉病变中使用DCB的证据不断增加,其在日常实践中对该适应证的常规应用可能会变得更加普遍。然而,仍然需要更强效的高质量证据证实。
支架长度和支架负荷(支架数量)是ISR和支架内血栓形成的预测因素,这一点对弥漫性长病变尤为适用。此类特定的冠状动脉表型需要使用长支架,甚至重叠支架,而这两种方式均与损害支架长期完整性的风险增加相关。因此,使用仅DCB策略或联合DES的杂交测量,均可通过降低支架长度和整体支架负荷来提供更安全、更全面的治疗选择。
一项随访2年的回顾性研究显示,DCB和DES的杂交策略缩短了支架的中位长度,降低了TLF和TLR风险。一项类似的回顾性研究评估了仅使用DCB与DCB+DES杂交策略对>25mm的原发冠状动脉病变的疗效。在2年的随访中,DCB+DES组和单纯使用DCB组的事件发生率相似(MACE:20.8% vs 22.7%,P=0.74,靶血管血运重建:14.8% vs 11.5%,P=0.44,TLR;9.6% vs 9.3%,P=0.84)。此外,Gitto等的研究表明,基于DCB的方法在近三分之一的病例中避免了支架置入。2024年发表的HYPER Pilot研究发现,使用相同的杂交策略,1年内心脏死亡率、靶血管心肌梗死和缺血驱动的靶病变血运重建率较低。此外,最近的一项前瞻性观察研究发现,对于平均长度为44mm的长病变,单独使用DCB与联合DES治疗患者的3年TLR率或MACE风险相当。值得注意的是,在DCB组中没有观察到血栓形成病例,而在DES治疗的队列中报告了4例支架血栓形成病例。目前的数据表明,DCB在治疗这种表型方面具有很好的作用。未来的研究可能会进一步阐明DCB和DES联合治疗弥漫性长病变的益处。
1.ACS
ACS与血栓形成和PCI治疗并发症风险升高相关,其原因或与急性期血管壁的动态变化相关,主要是血管收缩与斑块重构。因此,在直接PCI病变中,延迟支架置入通常较直接置入更可取,特别是在血栓负荷高的情况下。因此,在有明确血管造影血栓的情况下,必须更加谨慎地避免使用DCB,因为血栓会阻碍药物输送到血管壁并降低治疗效果。
目前,评估ACS患者直接进行DCB治疗的安全性和有效性数据非常有限。PEPCAD-NSTEMI试验表明,在210名NSTEMI患者中,就9个月时的心脏死亡、心肌再梗死或靶病变血运重建的复合终点发生率而言,仅使用DCB的策略并不劣于BMS或DES置入(3.8% vs 6.6%;非劣效性P<0.003;优越性P=0.53)。在STEMI患者中进行的REVELATION试验中观察到一致的结果:DCB组和DES组之间的血管造影和临床终点没有显著差异。
此外,就9个月时的FFR而言,仅DCB治疗策略也不劣于DES治疗。此外,随访2年显示,单纯DCB治疗和DES治疗组患者的全因死亡、复发性心肌梗死或靶病变血运重建的复合结局发生率分别为5.4%和1.9%(HR=2.86; P=0.34)。
近期发表的一项荟萃分析结果显示,DCB与DES两组患者在9个月时的MACE、全因死亡率、心源性死亡、心肌梗死和TLR的发生率方面相似,两组之间的晚期管腔丢失也相似。这些发现可能会促进DCB在ACS患者中的使用,但仍应谨慎,因为试验中的参与者均经过严格筛查,结果可能不会反映现实世界的真实临床情况。
2.DAPT和高出血风险(HBR)
根据现行欧洲指南,对于无HBR的稳定性冠状动脉疾病患者,推荐在DCB血管成形术后进行6 个月的DAPT治疗,对于无HBR的ACS患者则推荐进行12个月的DAPT治疗。对于HBR患者,缩短DAPT疗程至3个月被认为是合适的(IIa 类),而1个月DAPT可作为潜在替代选择(IIb 类推荐)。目前仍需开展专门针对DCB血管成形术后不同抗血栓策略的随机临床试验,以确定最佳治疗方案。
有几个考虑因素支持在单纯DCB血管成形术后使用较短疗程的DAPT治疗。“无置入”策略消除了永久性金属支架的存在,这是血栓形成的关键诱因之一,特别是在术后早期。一项观察性研究纳入1025名仅接受PCB血管成形术的患者,探究了缩短至1个月的DAPT方案的安全性。结果显示,9个月时缺血性事件的发生率较低(心源性死亡1.3%、心肌梗死3.4%、靶病变血栓形成0.8%)。DEBUT 试验纳入了 208 例HBR合并原发冠状动脉病变的患者,所有患者均接受1个月疗程的 DAPT 治疗。结果显示,在 9 个月时的心血管死亡、非致死性心肌梗死或缺血驱动的TLR复合终点发生率方面,DCB-PCI优于BMS(1% vs 14%;RR=0.07,95% CI:0.01~0.52;非劣效性 P<0.00001,优效性P=0.00034)。
此外,DCB 组未报告急性血管闭塞病例。基于上述结果,专家一致认为,1 个月疗程的 DAPT 可能足以安全预防 DCB 血管成形术后的血栓并发症。尽管现有数据表明,对于进行新一代DES治疗的HBR患者,可考虑采用 1~3个月的 DAPT,但DCB血管成形术后所需的最低抗血栓治疗要求,使其成为HBR患者的理想选择之一。
3.糖尿病
DCB已成为治疗ISR和原发小血管冠状动脉疾病的安全有效的策略,特别是在糖尿病患者中。几项研究表明,与传统的基于支架的疗法相比,DCB可能在这一患者群体中提供更好的结果。在糖尿病人群中,由于潜在的代谢状况,再狭窄和不良后果的风险较高。因此,DCB提供了一种有前景的“无置入”策略,减少了支架置入率及其相关并发症风险。
目前的证据支持DCB在改善血管造影和临床结局方面的潜力,包括降低再狭窄率和血运重建率。然而,尽管初步结果令人鼓舞,但还需要更多的随机对照试验来明确DCB在糖尿病合并CAD患者中的长期有效性和安全性。
上下滑动查看全部
确保在器械输送前进行充分的预处理是DCB治疗成功的关键之一。OCT和/或IVUS评估对于明确病变长度、最小管腔直径以及是否存在环形钙化至关重要:可首先使用非顺应性球囊对病变进行初步预处理,为血管内影像学器械的通过创造条件,从而更精准地评估病变特征。在部分病例中,可能需使用切割球囊或刻痕球囊来改良斑块,以增加管腔增益。将DCB用于超适应证场景,且发现存在环形钙化时,可采用旋磨术或IVL等钙修饰工具进一步增加管腔增益,在 DCB 输送前实现充分的病变预处理。
在准备输送DCB时,需注意以下要点:①球囊与血管参考直径比通常应控制在 0.8~1.0 之间;②需在额定压力下维持扩张至少60s,以最大限度降低额外血管夹层风险,并实现药物的最佳递送。若患者无法耐受较长时间的扩张,可考虑将扩张时间缩短至30s。当采用较高的球囊与血管直径比,且扩张压力超过额定压力时,使用DCB或存在引发冠状动脉夹层的风险。尽管如此此类夹层通常不会导致血流受限,仍需充分认识并警惕该并发症的潜在风险,以免患者需要进行补救性支架置入。
目前,DCB的较好应用前景较好,与BMS-ISR和DES-ISR策略相比,它具有多项优势。鉴于在多种CAD表型(包括原发疾病、小血管和大血管病变,以及分叉和弥漫性长病变等复杂病变)中均获得了有利数据,这种“无置入”策略得到了广泛关注。尽管现有证据表明,在包括ACS、HBR在内的多种临床场景中,DCB或可作为支架置入的可行替代方案,但仍需进一步研究验证;且在这些病例中使用DCB治疗时,应根据个体情况谨慎评估。在获得更确凿的数据之前,DCB 虽前景良好,但要实现更广泛的应用,仍需开展进一步研究以证实其疗效与安全性。
参考文献:Akash H Patel , Mark W Abdelnour , Antonio H Frangieh .Drug-Coated Balloons for Coronary Interventions: A Focused Review.Methodist Debakey Cardiovasc J, 2025 Aug 12; 21(4): 37-53. doi: 10.14797/mdcvj.1607. eCollection 2025.
郑刚 教授
•现任泰达国际心血管病医院特聘专家
•中国高血压联盟理事,中国心力衰竭学会委员,中国老年医学会高血压分会天津工作组副组长、中国医疗保健国际交流促进会高血压分会委员。天津医学会心血管病专业委员会委员,天津医学会老年病专业委员会常委。天津市医师协会高血压专业委员会常委,天津市医师协会老年病专业委员会委员,天津市医师协会心力衰竭专业委员,天津市医师协会心血管内科医师分会双心专业委员会委员。天津市心脏学会理事、天津市心律学会第一届委员会委员,天津市房颤中心联盟常委。天津市医药学专家协会第一届心血管专业委员会委员,天津市药理学会临床心血管药理专业委员会常委。天津市中西医结合学会心血管疾病专业委员会常委
•《中华老年心脑血管病杂志》编委,《中华临床 医师杂志》(电子版)特邀审稿专家,《中华诊断学电子杂志》审稿专家,《华夏医学》杂志副主编,《中国心血管杂志》常务编委,《中国心血管病研究》杂志第四届编委,《世界临床药物》杂志编委、《医学综述》杂志会编委、《中国医药导报》杂志编委、《中国现代医生》杂志编委、《心血管外科杂志(电子版)》审稿专家
•本人在专业期刊和心血管网发表文章948篇其中第一作者759篇,参加著书11部
医脉通是专业的在线医生平台,“感知世界医学脉搏,助力中国临床决策”是平台的使命。医脉通旗下拥有「临床指南」「用药参考」「医学文献王」「医知源」「e研通」「e脉播」等系列产品,全面满足医学工作者临床决策、获取新知及提升科研效率等方面的需求。

(本网站所有内容,凡注明来源为“医脉通”,版权均归医脉通所有,未经授权,任何媒体、网站或个人不得转载,否则将追究法律责任,授权转载时须注明“来源:医脉通”。本网注明来源为其他媒体的内容为转载,转载仅作观点分享,版权归原作者所有,如有侵犯版权,请及时联系我们。)