作者:焦大敏 南京市第二医院肝病二科
审校:常家宝 南京市第二医院肝病二科
叶伟 南京市第二医院肝硬化治疗中心
本文为作者授权医脉通发布,未经授权请勿转载。
为进一步帮助肝病科医生拓宽临床视野,培养和强化临床思维能力,南京市第二医院杨永峰教授应邀医脉通肝病科联合南京市第二医院肝病科专家共同打造“病例集萃”专栏。本专栏旨在分享专家团队临床实践中的疑难及经典病例,通过病例深入剖析,重点梳理诊疗思路,讲解关键的临床决策过程,为临床实践注入活力,以供广大临床医生参考。
本期专家团队分享一例肝淀粉样变性的诊治经验。
患者,男,62岁,因“消瘦1年余,腹胀腹痛1月”入院,患者1年余前无诱因出现消瘦,体重减轻15kg,曾因胸闷当地医院完善冠脉造影,未见异常,期间查ALT及AST轻度升高,护肝治疗后恢复正常。1月前出现腹胀,腹部隐痛,偶有胸闷,外院CT提示肝硬化,为明确肝硬化原因来我院。
既往史:有饮酒史40年,每日饮白酒2两,近2年有药酒服用史。
查体:体型消瘦,身高170cm,体重45kg,BMI 15.5kg/m2,皮肤黏膜轻度黄染,腹部膨隆,无压痛及反跳痛,肝脏右肋下5cm可触及,质中,脾脏左肋下可触及,质中(肝脾下界见图1A),移动性浊音阴性,双下肢无浮肿。
外院检查:上腹部增强CT示: 1.肝脏不均匀强化,肝内静脉未见显示,考虑肝脏血管性疾病可能;2.考虑肝硬化、腹膜炎伴少量腹水;3.心影增大。心脏彩超:主动脉瓣反流(中重度)伴前向血流增快,左房偏大,左心室增大,左心室偏厚;外院经颈内静脉肝穿刺活检,病理提示肝组织明显萎缩,肝板纤细,小叶结构消失,肝细胞体积小,部分肝细胞内淤胆明显,未见汇管区,未见腔隙型胆管,肝实大量纤维样组织增生,窦隙依稀可见,部分窦隙可见红细胞,未见腔隙型中央静脉。基于镜下改变,肿瘤性病变尚不充分,是否存在药物、自身免疫等因素所致肝脏病变可能。(见图2)

图1.A腹部体征,肝脾下界;B、C腹部增强CT门静脉期、平衡期

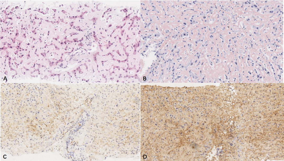
图2.肝穿刺活检A HE染色 B 刚果红染色 C Kappa-轻链 D Lambda-轻链
我院检验检查:血常规:PLT:202×109/L,尿常规:蛋白质:+,尿胆原+,微量白蛋白:≥150.0mg/L↑;肝功能:TB:72.4umol/L↑,DB:48.3umol/L↑,ALB:28.0g/L↓,GLB:20.9g/L,ALT:60.2U/L↑,AST120.5U/L↑,GGT:307.7U/L↑,ALP:447.0U/L↑;LDH:392U/L↑;肾功能:BUN:11.04mmol/L↑,Cr:132.9umol/L↑,血脂TG:2.09mmol/L↑,TC:9.23mmol/L↑;凝血功能:PT:12.26s,D-d 1.50mg/L↑;BNP:416.80pg/ml↑;心肌酶谱:CK-MB:6.40ng/ml↑,Myo:134.80ng/mL,cTnI:1033.40pg/mL↑,CK:61U/L;免疫球蛋白、补体:补体C3:0.96g/L,补体C4:0.245g/L,IgA:1.54g/L,IgG:6.9g/L,IgM:1.34g/L;24小时尿蛋白定:1187mg/24h↑,尿轻链λ49.5mg/L↑(参考值< 5.35mg/L),尿轻链κ18.90mg/L↑(参考值< 15.20mg/L),血轻链λ:1.20g/L(参考值 0.90-2.10mg/L),血轻链κ:1.57g/L↓(参考值 1.70-3.70mg/L);免疫固定电泳:IgG型M蛋白阳性,IgGλ型;血清蛋白电泳M蛋白百分比2%;肝炎病毒学检测、自免肝抗体、铜蓝蛋白均正常;患者拒绝骨髓穿刺+活检检查。
外院肝穿刺本院病理会诊:(肝穿组织)镜下可见正常小叶结构紊乱,肝细胞退变、淤胆甚至消失,肝细胞间可见浅粉色无定型物沉积,较倾向于肝内淀粉样物沉积病变。1)免疫组化结果:Kappa-轻链(间质沉积物+),Lambda-轻链(间质沉积物++)。2)特殊染色结果:Masson(胶原纤维+),PAS/D(-),网染(网状纤维+),刚果红(++)。(见图2)
患者老年男性,以消瘦,腹胀腹痛,胸闷症状为主要表现,查体可见肝大,生化检查:胆汁淤积(TBIL/DBIL、GGT、ALP升高为主),凝血D二聚体升高,肾脏受累(尿蛋白、肌酐升高、肾功能不全),心脏受累(肌钙蛋白I、BNP升高、心脏彩超心室增大增厚),血液系统(λ型轻链异常升高,M蛋白阳性),影像学(肝、脾大,未见占位及血管损伤),肝穿刺活检(肝细胞间淀粉样物沉积,免疫组组化轻链型球蛋白沉积,最终诊断:原发性系统性轻链型淀粉样变性(肝淀粉样变性)。血液科会诊后,治疗上予以硼替佐米+环磷酰胺+地塞米松方案化疗,诊断后1个月因严重心脏受累伴多脏器功能衰竭死亡。
系统性轻链型淀粉样变性是由单克隆免疫球蛋白轻链错误折叠形成淀粉样蛋白,沉积于组织器官,造成组织结构破坏、器官功能障碍并进行性进展的疾病,主要与克隆性浆细胞异常增殖有关,少部分与淋巴细胞增殖性疾病有关[1]。当细胞外淀粉样物质沉着于肝内血管及肝实质细胞,致肝内循环受阻、肝细胞成压迫性萎缩时称之为肝淀粉样变性。该病好发于老年人群,男多于女,临床表现具有异质性,心脏和肾脏最常受到影响,其次是肝脏、胃肠道和软组织,在一项尸检系列研究中,约70%系统性轻链型淀粉样变性病例观察到肝脏受累的组织学证据[2],而有数据显示临床上约15%-30%患者存在肝脏受累[3]。肝脏受累的临床表现为肝区不适或疼痛、肝肿大、早饱、体重减轻,生化表现碱性磷酸酶升高、凝血功能异常、晚期出现胆红素升高,肝功能损伤程度与肝肿大程度不匹配;影像学检查提示肝脏肿大,伴肝内弥漫性低密度影,增强扫描时强化效应不明显,且肝内血管无移位。
肝穿刺活检光镜下苏木精-伊红(HE)染色呈嗜伊红均质状淀粉样物质沉积于门静脉及血管周围;亦可沉积于肝小叶周围或中间区,严重时侵犯肝实质,引起肝实质细胞的压迫性萎缩,残余肝索被淀粉样物质包围形成岛状沉积。过碘酸-雪夫(PAS)染色呈弱阳性或阴性,Masson染色呈嗜亮绿;刚果红染色呈砖红色,偏振光显微镜下呈苹果绿色双折光。
确诊系统性轻链型淀粉样变性,需结合临床表现及实验室影像存在器官受累证据,组织病理活检证实淀粉样蛋白沉积即可诊断,需要注意的是肝组织因淀粉样物质沉积而变脆,既往报道有出现肝穿后大出血死亡的病例,尽量选择经颈内静脉肝穿刺活检。
系统性轻链型淀粉样变患者一旦确诊,均应尽快治疗原发病。目标是降低体内单克隆免疫球蛋白轻链的水平,阻止淀粉样蛋白在重要脏器的进步沉积,减轻或逆转淀粉样蛋白沉积导致的器官功能障碍。目前的治疗方案为清除产生异常轻链的浆细胞或B细胞克隆的治疗,首要目标是达到快速且深度的血液学缓解,而器官缓解常滞后于血液学缓解数个月。脏器受累越多,危险分层越高,预后越差,治疗后可以根据血游离轻链的水平及下降差值,以及受累器官缓解的情况评估患者的缓解与进展。
系统性轻链型淀粉样变性症状“不典型”,常被延迟诊断,预后差,本病的关键在于及时诊断,临床医师要提高对该病的警惕性,确诊主要依靠病理检查。对于慢性起病,原因不明的疲乏无力、体重减轻、胸闷,肝区不适等症状,查体发现不明原因的肝大,合并不明原因其他器官功能不全(心、肾等)等需高度怀疑该病。
影像检查提示肝脏不均匀强化且肝内静脉未显影时,并非一定指向肝脏血管性疾病。这一表现也可能由肝脏不均匀性坏死,或异常物质沉积引发的肝脏灌注失衡所致,临床需注意鉴别肝窦阻塞综合征、布加综合征、急性重症肝炎不均匀肝损害等。其中,肝淀粉样变性的典型影像特征为肝脏增大,伴肝内弥漫性低密度影,增强扫描时强化效应不明显,且肝内血管无移位,此特征可作为重要鉴别依据。
对于此类复杂病例,肝穿刺活检常是明确诊断的关键手段(“一穿定因”),但临床应用中需严格评估穿刺的适应证与禁忌证,并选择适宜的穿刺方式。同时,临床医师需对肝穿刺标本的典型病理表现形成深刻认知,以便快速准确判断,为后续诊疗提供方向。
[1] 中国系统性轻链型淀粉样变性协作组, 国家肾脏疾病临床医学研究中心, 国家血液系统疾病临床医学研究中心, et al. 系统性轻链型淀粉样变性诊断和治疗指南(2021年修订) [J]. 2021, 101(22): 11.
[2] BUCK F S, KOSS M N. Hepatic amyloidosis: morphologic differences between systemic AL and AA types [J]. Human pathology, 1991, 22(9): 904-7.
[3] DISPENZIERI A, MERLINI G. Immunoglobulin Light Chain Systemic Amyloidosis [J]. Cancer treatment and research, 2016, 169: 273-318.
医脉通是专业的在线医生平台,“感知世界医学脉搏,助力中国临床决策”是平台的使命。医脉通旗下拥有「临床指南」「用药参考」「医学文献王」「医知源」「e研通」「e脉播」等系列产品,全面满足医学工作者临床决策、获取新知及提升科研效率等方面的需求。
本平台旨在为医疗卫生专业人士传递更多医学信息。本平台发布的内容,不能以任何方式取代专业的医疗指导,也不应被视为诊疗建议。如该等信息被用于了解医学信息以外的目的,本平台不承担相关责任。本平台对发布的内容,并不代表同意其描述和观点。若涉及版权问题,烦请权利人与我们联系,我们将尽快处理。

(本网站所有内容,凡注明来源为“医脉通”,版权均归医脉通所有,未经授权,任何媒体、网站或个人不得转载,否则将追究法律责任,授权转载时须注明“来源:医脉通”。本网注明来源为其他媒体的内容为转载,转载仅作观点分享,版权归原作者所有,如有侵犯版权,请及时联系我们。)