肝脏感染性病变丨影像表现与鉴别诊断
发布时间:2025-11-03   
来源:熊猫放射


影像在肝脏感染性病变的诊断、表现和处理中起重要作用。在临床实践中,影像的主要价值是检测早期疾病,排除具有相似表现的其他病变,当有典型表现时明确诊断,并指导适当的抗菌、介入或手术治疗。

介绍肝脏细菌、病毒、寄生虫和真菌感染最常见的影像学特征,并对关键的影像和临床表现进行综述,可能有助于缩小鉴别诊断范围和避免图像解释中的陷阱。US、CT和MRI可准确发现大多数肝脏感染,在某些情况下根据特征性表现可确定潜在病原体并排除具有相似影像表现的其他疾病。


细菌感染 Bacterial Infections

肝脏细菌感染可分为3类:

(a)化脓性肝脓肿

(b)细菌性肉芽肿性肝病(例如结核性肝病、巴尔通体病)

(c)急性细菌性肝炎

最后一种罕见,通常没有影像学异常或非特异性表现。

脓肿需与坏死性肝肿瘤相鉴别,脓肿的主要特点有壁分层强化,内层早期强化并延迟期持续强化,外层进行性延迟强化;周围可见节段性一过性强化区;DWI和 ADC图也有助于鉴别。

  • 化脓性脓肿

  • 结核:肉芽肿性肝病

  • 巴尔通体病

    (猫抓病)

图片
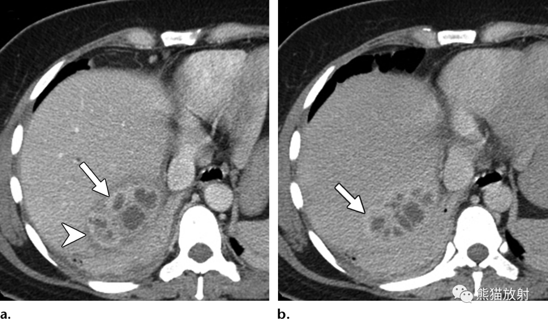
45岁女性,化脓性肝脓肿,表现为发热和胸膜炎性胸痛。(a) 轴位对比增强门脉期CT图像显示肝右叶后段紧贴右侧横膈的多房性囊性肿块。注意壁分层(“双靶征”),内部强化的脓肿膜(箭)被低密度的肝实质水肿(箭头)包围。(b) 轴位增强延迟期CT图像显示内层持续强化,外层延迟强化(箭),多个小房聚集呈“簇征”。



图片
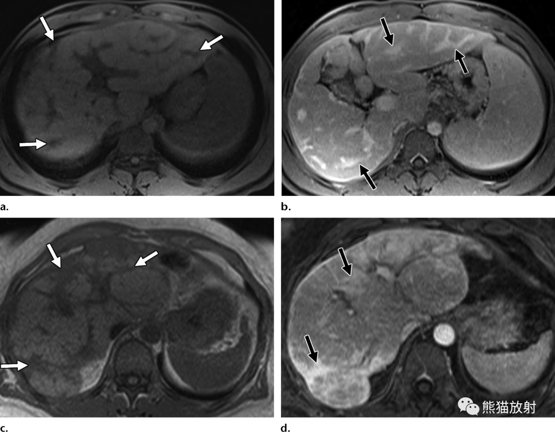
65岁男性,因急性坏疽性胆囊炎发生化脓性肝脓肿。(a)轴位T2WI显示脓肿壁的双靶征,表现为围绕脓肿内部高信号内容物的等低信号内层(箭头)和中等高信号外层(箭)。注意胆囊颈部嵌顿的低信号结石 (*)。(b)轴位对比增强动脉期脂肪抑制T1WI图像显示内层早期强化(箭头)和邻近节段性肝实质充血。(c)轴位对比增强延迟期图像显示内层和外层延迟强化(箭)。


图片
55岁男性,肝移植后1年,肺炎克雷伯菌脓肿。(a)轴向对比增强CT图像显示化脓性肝脓肿内有气体(箭)。(b)轴位梯度回波反相T1WI图像显示脓肿内无信号的气体(箭),与结肠内气体的表现相似(*)。(c)同相位T1WI显示由于气体磁化率效应增强脓肿内出现光晕伪影(箭),在邻近结肠中也观察到伪影(*)。(d)DWI (b = 800s/mm2) 显示由于水扩散受限,脓肿内部呈高信号(箭)。(e) 相应的ADC图显示扩散系数降低,表现为脓肿内的低信号(箭)。



图片

“绿松石征”和肝脓肿一过性节段性强化。(a)轴位T2WI显示肝左叶肝脓肿,内部高信号并大量树枝样间隔(箭),表现类似绿松石。(b)轴位脂肪抑制T1WI平扫显示低信号局灶性肝脏病变。(c)对比增强动脉期病灶周围高强化(箭头)和内部分隔强化(箭)。(d)延迟期可见内部分隔持续强化(箭)。脓肿内容物抽吸培养物有肺炎克雷伯菌生长。



图片
69岁男性,胆总管结石患者,发热,实性机化性肝脓肿。(a) 动脉早期CT图像显示具有“靶征”表现的结节,中心早期强化,与肝实质相似,边缘密度较低。(b) 延迟期病灶中心呈等密度,外周环状强化(箭头)。由于脓液吸收而无中心液体内容物,使脓肿呈实性外观,可能难以与肝内胆管细胞癌相鉴别。


图片
38岁女性,右上腹疼痛和低热,可见类似肝脓肿的坏死性肿瘤。冠状重建对比增强CT显示肝右叶低张性肿块伴不规则内部分隔。尽管可以考虑脓肿,但内部壁结节和无靶征提示坏死性实性肿瘤,内部局灶性钙化(箭)也提示肿瘤而不是脓肿。病理结果为坏死性低分化胚胎性肉瘤


图片
68岁女性,胰腺癌胆道梗阻,黄疸和发热,肝内类似囊肿的小胆管脓肿。(a) T2WI显示高信号病灶周围可见中等信号病灶周围水肿(箭)。(b) 增强扫描病灶边缘轻度强化(箭),提示胆管微脓肿。囊性胆管错构瘤也可见微弱的边缘强化,但不伴有病灶周围水肿。


图片
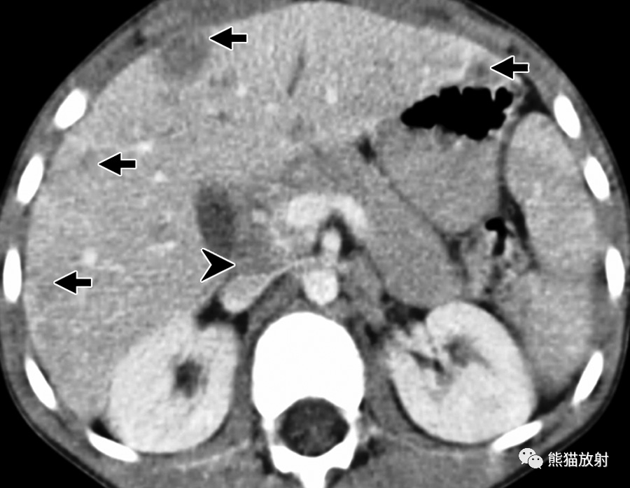
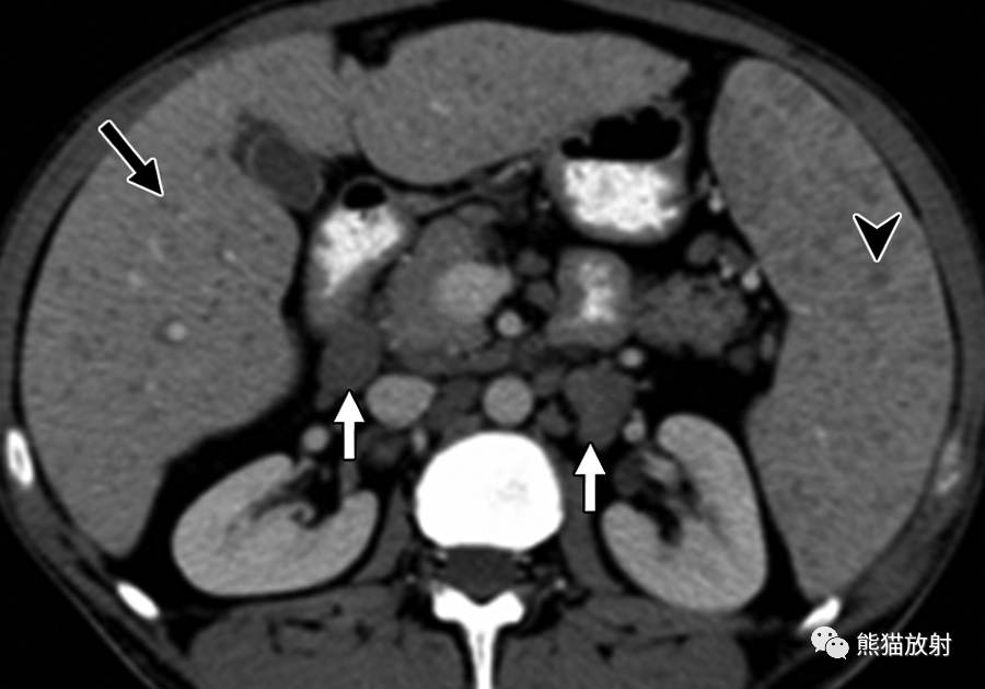
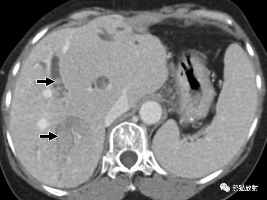
24岁男性,HIV感染患者,盗汗、发热,播散性结核感染。对比增强CT显示肝脏(黑箭)和脾(箭头)实质内多发微小低密度病变,腹膜后多发增大淋巴结(白箭)。


图片
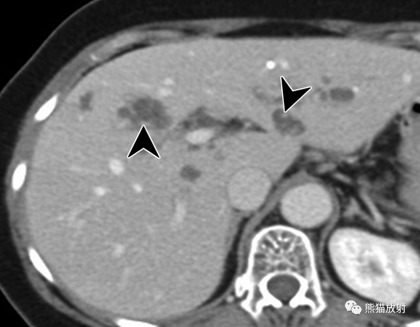
6岁男孩,肝巴尔通体病,被猫抓伤后发热3周。轴位增强CT图像显示多个低密度肝结节(箭)及门静脉周围增大淋巴结(箭头)。这些病变与转移瘤鉴别困难。然而,在无已知恶性肿瘤的免疫功能正常的年轻患者中观察到多发性肝脏病变应考虑到有肝巴尔通体病的可能。


巴尔通体病(猫抓病)是由巴尔通体引起的感染,该革兰氏阴性菌通过猫抓或咬伤引入人类宿主,最常影响儿童和年轻成人。猫抓或咬伤后1-3周开始出现症状,受伤部位近端出现疼痛性淋巴结肿大和发热。在无淋巴结肿大的情况下可发生内脏受累,表现为不明原因的发热。巴尔通体病的诊断可通过血清学试验、PCR试验或活检证实。播散性感染见于5%-10%的病例 。肝巴尔通体病的特征是多发性坏死性肉芽肿,范围为3-30mm,伴或不伴肝肿大。

HIV 感染患者感染巴通体后可能引起细菌性紫癜。紫癜是一种罕见的良性血管疾病,可能类似血管瘤或其他血管肿瘤 。


图片
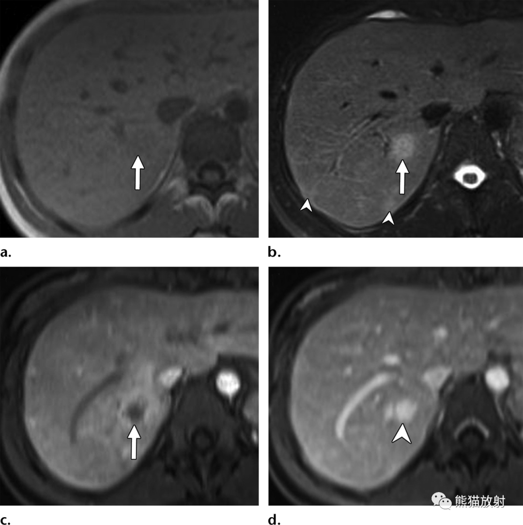
32岁 HIV/AIDS男性患者,细菌性紫癜,表现为发热。
(a)T1WI同相位图像显示肝右叶后段边界不清的等至轻度低信号结节(箭)。(b)脂肪饱和T2WI显示结节呈中高信号(箭),后方肝被膜下见数个较小结节(箭头)。(c)增强动脉早期图像显示结节周围不规则明显强化。(d)增强延迟期结节内部延迟强化,由于造影剂滞留在病灶内扩张的肝窦内,因此达到与周围肝静脉结构相似的信号强度。

病毒感染 Viral Infections

急性病毒性肝炎通常由甲、乙、丙或戊型肝炎病毒引起。其他病毒已知可引起肝炎的病毒包括丁型肝炎病毒(需要同时存在乙型肝炎病毒感染)、HIV、柯萨奇病毒和单纯疱疹病毒。虽然疱疹性肝炎罕见,但可见于免疫抑制和妊娠患者。

在 CT上,门静脉周围水肿,不均匀强化,并可见边界清晰的低密度区域。在MRI上,这些区域在T1WI上为低信号,在T2WI上为高信号。应注意的是,急性病毒性肝炎可表现为影像学检查正常 。

急性病毒性肝炎患者的肝外表现包括水肿引起的胆囊壁增厚(高达70%者),类似急性胆囊炎。然而,在急性胆囊炎患者中,胆囊腔扩张,与急性肝炎患者相反,在急性肝炎患者中可观察到胆囊腔塌陷。

暴发性肝衰竭定义为既往健康的肝脏患者 在症状发作后8周内出现脑病,在随访CT和MRI时可见融合性纤维化或瘢痕形成,受影响区域也可能发生钙化。慢性病毒性肝炎CT和MRI表现可能类似于早期肝硬化

图片
28岁男性,急性病毒性肝炎,表现为胆汁淤积性黄疸。T2WI显示水肿导致的胆囊壁明显增厚(箭),伴继发性管腔塌陷。还可见门静脉周围水肿并延伸至镰状韧带(箭头)。


寄生虫感染 Parasitic Infections

图片
44岁女性,前往美洲中部3周后出现发热和右上腹痛,并发生阿米巴肝脓肿。轴位增强CT图像显示肝右叶边界清楚的低密度灶,周围壁增厚呈“靶征”或“双环征”。血清学试验溶组织内阿米巴呈阳性。阿米巴脓肿表现可类似单房性化脓性脓肿。


图片

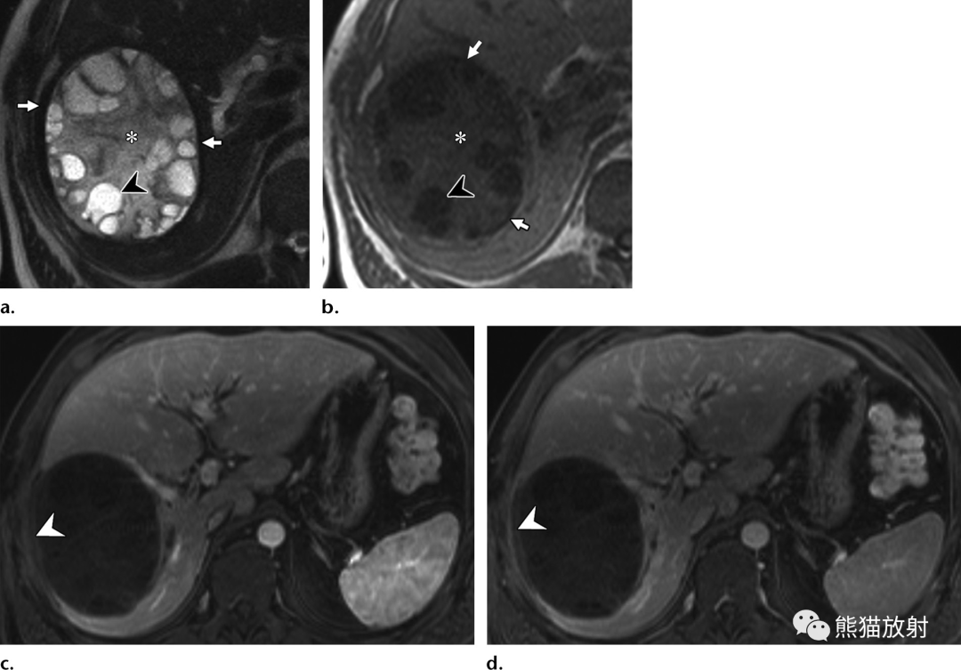
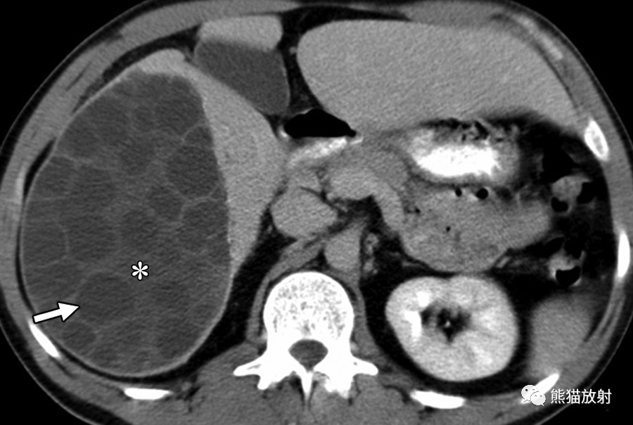
42岁南美男性患者,肝包虫囊肿,表现为右上腹疼痛。轴位增强CT图像显示包虫囊肿的典型表现,肝右叶巨大囊性肿块内有多发低密度子囊。请注意,子囊(箭)的密度低于囊肿基质 (*)。



图片

37岁智利男性患者,肝包虫病,表现为右肋下疼痛。(a)T2WI显示囊外周呈明显低信号边缘,由于其纤维成分或包膜钙化所致(箭)。棘球蚴基质 (*) 呈中等信号强度。子囊(箭头)如果存在,表明囊肿有活性,其相对于底层基质为T2高信号。(b)T1WI同相位显示低信号的纤维囊壁(箭)。棘球蚴基质 (*)呈等信号。子囊(箭头)相对于包虫基质呈低信号。(c,d)对比增强脂肪抑制门脉期(c) 和延迟期(d) 图像显示囊肿内容物无强化,外周囊壁(箭头)轻度强化。


图片
57岁女性,含脂肪的肝包虫囊肿。(a)CT平扫显示肝脏病灶内有肉眼可见的脂肪球(箭)。囊内脂肪可能来源于胆汁中的脂质成分,并意味着交通性破裂。(b) T1WI同相位图像显示病灶内有高信号灶(箭)。(c) T1WI反相位图像显示囊肿内有肉眼可见的脂肪,表现为化学位移伪影和脂质成分周围信号减低(箭)。


图片
肝包虫囊肿与囊性肝肿瘤。
(a,b)49岁女性,肝包虫囊肿,表现为腹部肿块。(a) T1WI同相位图像显示低信号囊性肝脏病变伴分隔(箭头)。(b)对比增强延迟期图像显示囊内和低信号间隔无强化(箭头)。
(c,d)57岁女性,胆管囊腺瘤。(c)T1WI同相位图像显示分叶状囊性肝脏病变伴内部分隔(箭)。(d)对比增强脂肪抑制T1WI显示不规则中度强化的内分隔(箭),这有助于与包虫囊肿鉴别。



图片
51岁女性,酷似棘球蚴病的出血性肝囊肿,表现为急性上腹痛。(a)T2WI显示一个大的肝囊肿,具有中等信号强度和低信号波状带影(箭),类似分离的膜。(b) T1WI显示囊肿内高信号,与出血内容物一致。棘球蚴囊肿合并出血极为罕见,故而是一种可能性很小的诊断。


图片
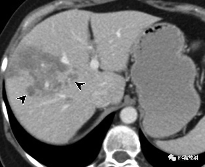
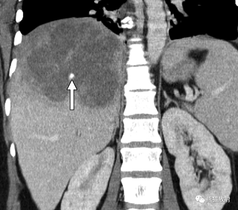
59岁女性,肝片吸虫病,表现为右上腹疼痛。对比增强CT图像显示肝右前叶大面积节段性炎症,伴多个卫星微脓肿(箭头),沿静脉束走行。


图片
60岁男性,肝片吸虫病,入院前3个月出现发热、盗汗,有西洋菜摄入史。(a)T1WI图像显示肝左外叶和肝右后叶包膜下区域内存在边界不清的小片状低信号(箭)。(b)对比增强动脉期脂肪抑制T1WI显示带状分布的炎症(箭)和周围肝实质的早期强化。(c)增强延迟期图像显示造影剂滞留在寄生的带状肝实质中(箭)。(d)扩散加权图像 (b=800s/mm2) 显示肝包膜下不规则管道样、片状扩散受限区,向肝门中心走行(箭)。(e)冠状T2WI显示胆管远端(箭头)不规则线样低信号充盈缺损,内镜检查结果证实为活的寄生虫。


图片
62岁女性,肝胆片吸虫病,酷似 Caroli 病。对比增强CT显示门脉周围无强化的低密度结节内可见点状强化(箭头),结果与血管周围脓肿一致,形成与Caroli病“中心点征”相似的表现。
线状条带、向心分布和血嗜酸性粒细胞增多应及时考虑肝片吸虫病。在确认患者粪便中存在寄生虫卵后,可诊断为肝片吸虫病。


图片
血吸虫病与自身免疫性肝炎
(a,b) 42岁男性,肝血吸虫病。(a) 脂肪抑制T1WI图像显示厚的低信号纤维间隔(箭)。(b)对比增强脂肪抑制T1WI图像显示肝包膜下纤维带有强化(箭头)。
(c,d) 51岁女性,自身免疫性肝炎。(c) T1WI同相位图像显示肝包膜下纤维化,表现为较厚的带状影及低信号融合区(箭)。(d) 条片状纤维化区域延迟强化(箭头),与血吸虫病患者的影像表现相似。


图片
54岁女性,华支睾吸虫病和复发性化脓性胆管炎,表现为发热和黄疸。轴位对比增强CT图像显示肝内胆管中度扩张,无局灶性梗阻病变。注意高密度的肝内胆管结石(箭)。


真菌感染 Fungal Infections


图片

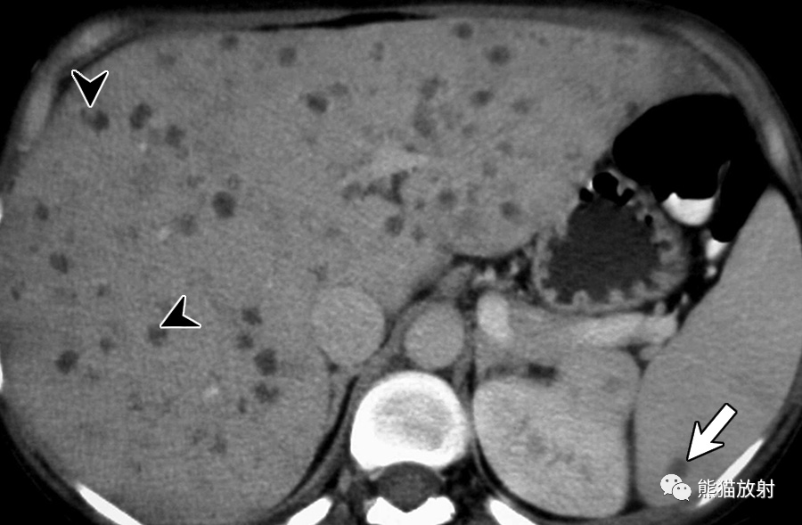
中性粒细胞减少症和急性髓系白血病患者发生播散性念珠菌病。对比增强CT图像显示多发性低密度肝微脓肿。在一些脓肿中可见密度增加的微小病灶(箭头),可能代表假菌丝,这一发现有助于区分这些病变与良性肝囊肿。注意脾受累(箭)。



图片
播散性念珠菌病,中性粒细胞减少症患者在造血干细胞移植后34天出现发热。(a)脂肪抑制T2WI图像显示肝内散在多发小的中等高信号结节(箭头)。(b) DWI (b=800s/mm2) 显示真菌病灶扩散受限呈高信号(箭)。(c) 脂肪抑制T1WI仅显示一些较大结节,呈低信号(箭头)。(d) 对比增强动脉期脂肪抑制T1WI图像显示多发边界不清的明显强化肝结节(箭)。动脉期CT或MR图像可在早期描述更多的病灶,尤其是在病灶中央坏死出现之前。

图片

临床或影像表现疑似肝脏感染性病变的鉴别诊断流程图

图片

肝复杂囊性病变主要表现

壁厚或不规则、分隔较厚
  • 双靶征、簇征、一过性强化区及病灶周围水肿、DWI示病灶中心扩散受限、积气→脓肿

  • 壁结节、病灶中心无扩散受限、钙化→坏死性肿瘤

多发薄壁、无壁结节

  • 无强化的分隔、子囊、纤维囊壁、周围钙化→包虫囊肿

  • 壁或分隔有强化、结节样分隔并局部壁增厚→囊性胆系肿瘤


图片

多发小实性结节样病变

结节边界清楚:免疫力正常患者
原发恶性肿瘤:
有→转移瘤;
无→
  • 巴士通体病:儿童及青年患者,相关表现:疼痛的肿大淋巴结、脾病变

  • 组织胞浆菌病

  • 肝片吸虫病(肝被膜下结节状、条带状病变、嗜酸性粒细胞增多)

  • 淋巴瘤

  • 结节病


结节边界清楚:免疫力缺陷患者

中性粒细胞减少患者→侵袭性真菌感染,相关表现:脾或肾受累
无中性粒细胞减少患者→
  • 结核,相关表现:腹部坏死性肿大淋巴结、肺粟粒性病变

  • 细菌性紫癜(HIV患者):可见持续进行性中心血管强化

  • Kaposi肉瘤(HIV患者)


结节边界不清
原发恶性肿瘤:
有→转移瘤;
无→
  • 肝内胆管细胞癌

  • 侵袭性胆囊癌

  • 肝片吸虫病(条带状病变、嗜酸性粒细胞增多)


本视频/资讯/文章的内容不能以任何方式取代专业的医疗指导,也不应被视为诊疗建议。医脉通是专业的在线医生平台,“感知世界医学脉搏,助力中国临床决策”是平台的使命。医脉通旗下拥有「临床指南」「用药参考」「医学文献王」「医知源」「e研通」「e脉播」等系列产品,全面满足医学工作者临床决策、获取新知及提升科研效率等方面的需求。

图片

(本网站所有内容,凡注明来源为"医脉通",版权均归医脉通所有,未经授权,任何媒体、网站或个人不得转载,否则将追究法律责任,授权转载时须注明"来源:医脉通"。本网注明来源为其他媒体的内容为转载,转载仅作观点分享,版权归原作者所有,如有侵犯版权,请及时联系我们。)
1
收藏
添加表情
全部评论
我要投稿
发表评论
扫码分享

微信扫码分享

回到顶部