前言
患者基本情况
• 患者信息:男,66岁,有吸烟史,无恶性肿瘤家族史
• 主诉:胃胀,偶尔伴恶心
入院检查


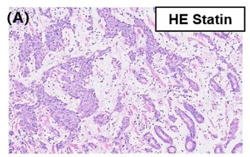
免疫组化显示,肿瘤细胞P40 +、CK5/6 +、EBV +(下图B-D)。

HER2 -、Syn -、CD56 -、CgA -,pMMR,PD-L1广泛+。

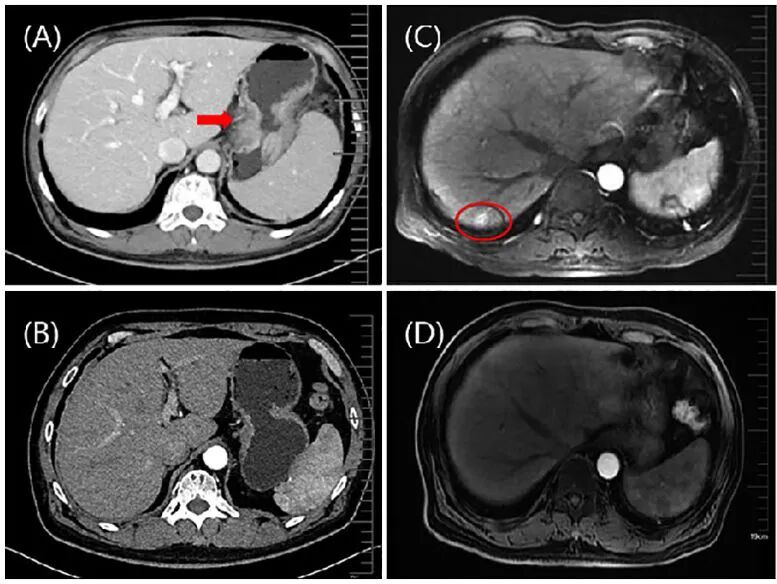
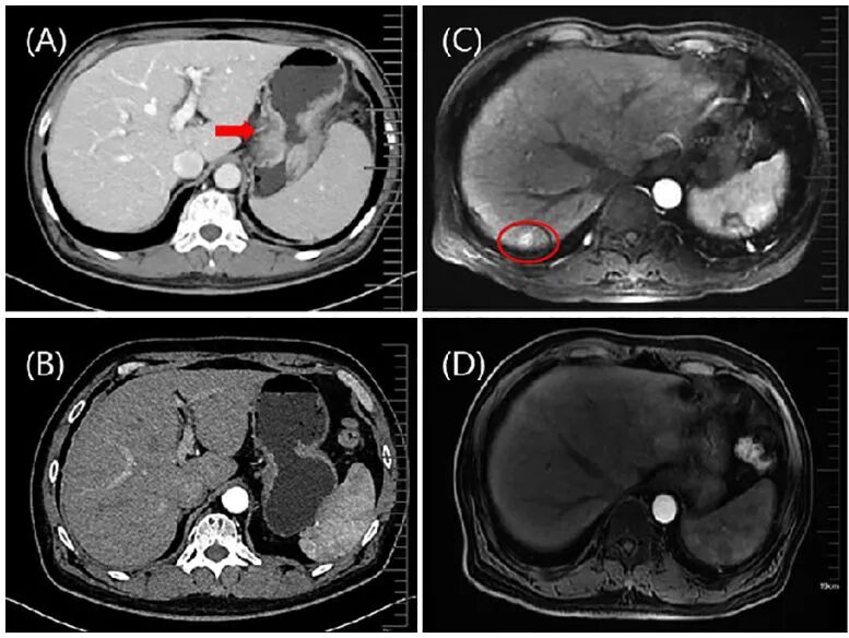
2020年9月底行体格检查,显示双侧锁骨充盈,右侧锁骨上区域淋巴结坚硬且固定,大小约2 ×2厘米,无压痛。 2020年9月28日行腹部和盆腔CT,显示胃底和体壁明显、不均匀增厚(下图A)。考虑脾脏、胰体/胰尾或脾静脉侵犯可能。病灶周围以及腹膜后和纵隔区域的多个淋巴结肿大,MIR提示多发性肝转移(下图C)。

双侧锁骨上和锁骨下淋巴结超声显示左锁骨下和右锁骨上区域多发肿大淋巴结,左侧锁骨下淋巴结

PET-CT提示胃癌多发淋巴结转移,可能侵犯脾脏和胰腺,提示锁骨上、左锁骨下、纵隔淋巴结和肝脏转移。
诊断
• 胃底和体部低分化鳞状细胞癌,侵犯脾脏和胰腺(cT4bN3M1 IVB G3),伴肝脏和多发性淋巴结转移。
• MSS、TMB未知、PD-L1 CPS 30。
治疗及评估
2020年10月,患者接受FOLFOX化疗,同时接受
8周后,CT与MRI评估显示肿瘤部分缓解(下图B、D)。

治疗安全性可控,患者生活质量良好,接受纳武利尤单抗维持治疗,每2周一次。
2021年10月,患者右侧颈后三角和右侧锁骨上多个淋巴结肿大(下图E)。

淋巴结病理活检显示低分化鳞状细胞癌。PET-CT、鼻咽镜检查和鼻咽MRI检查未发现其他原发肿瘤,排除其他可能的原发性鳞状细胞癌。
经MDT讨论,患者接受了颈部淋巴结放疗,共33周期。在放疗过程中,患者继续接受纳武利尤单抗维持治疗9个周期。CT结果显示,局部放疗后,颈部淋巴结转移灶表现为PR(下图F)。

2022年5月,患者出现肢体抽搐。脑部MRI显示胼胝体左侧转移(下图G)。

2022年5月27日行PET-CT显示,第9胸椎与胸主动脉之间的纵隔存在转移。
2022年5月31日,胃镜病理结果提示低分化鳞状细胞癌。NGS提示MSS、低TMB、PD-L1 CPS 80(图1F)。

患者接受纳武利尤单抗+

患者继续接受纳武单抗治疗至2022年11月,应答良好。
2023年2月,PET-CT显示纵隔淋巴结肿大,左肾上腺转移,其他病灶稳定。在MDT讨论,患者接受纳武利尤单抗+
2024年10月,在最近的随访中,患者发生广泛进展并最终因
病例总结

病例讨论与结论
GSCC是一种以鳞状细胞分化为特征的上皮恶性肿瘤,约占原发性胃癌的 0.04-0.5%。GSCC的相关症状与GAC相似,但患者生存结局通常较差。由于数据有限,原发性GSCC的标准治疗方案尚未达成共识。PD-L1阳性GAC患者可以从ICI联合治疗中显著获益,由于本例患者表现为PD-L1广泛阳性,因此选择了ICI联合放疗、化疗及抗血管生成治疗的治疗策略,这也是首例证明纳武利尤单抗联合放化疗和抗血管生成治疗在转移性GSCC中可以实现长期肿瘤控制的病例报告。
本例患者获得良好预后可能与多种因素相关,包括PD-L1高表达、EBV+、存在ARID1A突变、接受了ICI联合抗血管生成治疗以及治疗后T细胞总数上升等。总而言之,本报告提示,对于IV期GSCC患者,免疫治疗、化疗、局部放疗和抗血管生成治疗的联合治疗策略可以实现长期疾病控制,综合治疗策略可能是GSCC伴多发转移患者的理想治疗策略。
(本网站所有内容,凡注明来源为“医脉通”,版权均归医脉通所有,未经授权,任何媒体、网站或个人不得转载,否则将追究法律责任,授权转载时须注明“来源:医脉通”。本网注明来源为其他媒体的内容为转载,转载仅作观点分享,版权归原作者所有,如有侵犯版权,请及时联系我们。)