以往以职业环境暴露所致的发病较为多见,但近年暴露于居住环境和娱乐场所的宠物鸟(如鸽子和鹦鹉)、空气加湿器,尤其室内真菌和霉菌等所致的发病不断增加。目前,已经证明引起HP的抗原物质有200余种,常见的有放线菌、真菌孢子、鸟类排泄物和羽毛、动物皮毛、植物加工产物及某些化学物质如异氰酸盐等。本文对HP的临床表现、诊断和治疗进行了介绍。
HP的患病率在老年人中最高(65岁及以上,患者平均在50岁或60岁时确诊),也可以在年轻人和儿童中诊断出,纤维化型HP患者年龄较大,HP临床表现无特异性。急性HP典型表现为大量接触特定抗原数小时内出现
血细胞计数和代谢指标通常正常。炎症标志物如红细胞沉降率(ESR)和C反应蛋白(CRP)通常升高。IgG抗体检测可以检测患者血清中潜在有机抗原如霉菌、真菌、粉尘。但IgG抗体阳性仅表明暴露,并不能确诊。此外,这些检测结果具有很高的假阴性率,特异性抗原可能不会出现在检测组中。
若患者暴露于可疑抗原后出现临床症状,并伴有肺活量测定值下降和影像学改变,激发试验将有助于进一步确诊。通过吸入特定的抗原激发试验寻找致敏原,但需专业人员才能进行,并且激发试验可能导致HP的发病和加重。
HP患者的肺功能通常呈限制性通气功能障碍伴有弥散功能减低,但是10%~17%的患者肺功能是正常的,尤其是急性患者。部分患者的第
HRCT在HP的诊断和纤维化的检测中起着关键作用。HP的典型CT表现为组织病理学上以细支气管为中心的炎症导致的分布于肺各区域的小而边界不清的磨玻璃结节(图1);它也可能导致小气道狭窄,形成小叶空气潴留。更广泛的肺间质炎症可导致磨玻璃影和肺密度增加。在HP中,这种磨玻璃影通常呈斑片状分布,称为马赛克衰减(图1和图2)。磨玻璃影、血管纹理减少的低密度影和正常肺组织3种不同密度影像同时存在被称为三密度征(曾称猪头乳酪征、肉皮冻征等),这是HP特异性的CT表现。纤维化的表现包括小的蜂窝状结构和粗糙的网状结构或磨玻璃影与牵拉性
图1 HP的HRCT。a.吸入抗原引起的以细支气管为中心的炎症,CT示边界不清的小叶中心磨玻璃结节;b.呼气扫描时的空气潴留;c.弥漫性间质炎症导致磨玻璃和肺密度增加,可见血管和支气管壁;d.马赛克衰减;e.HP特异性CT表现:三密度征。
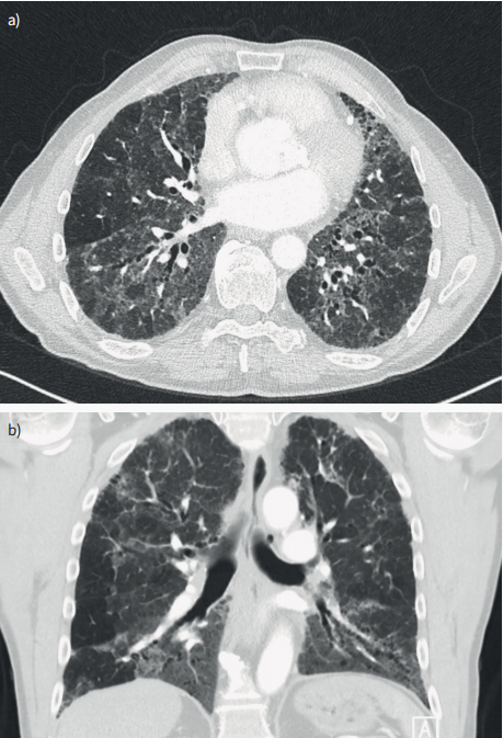
图2 一位64岁男性纤维化HP患者的HRCT。a.轴位CT扫描;B.冠状位CT扫描;吸气时马赛克衰减,同时出现纤维化(牵拉性支气管扩张)的迹象。
支气管肺泡灌洗液(bronchoalveolar lavage fluid,BALF)淋巴细胞增多,其计数可预测HP的炎症活动情况和抗原吸入的持续时间。纤维化型HP患者年龄较大,肺活量、弥散能力和灌洗液中淋巴细胞百分比低于非纤维化型HP。
综合评估患者临床和影像学表现、暴露史、BALF淋巴细胞增多后仍不能作出明确诊断时,则应经多学科团队讨论考虑是否进行肺活检。经支气管肺活检对HP的诊断作用有限,因为其获取组织标本小,在一小部分具有经典临床和影像学表现的患者中,经支气管肺活检能足够作出诊断。亚急性和慢性HP通常需进行手术肺活检以做出明确诊断。经支气管冷冻肺活检是可获取较大组织样本的新技术,近年来,因其创伤小、花费少而受推荐。
HP的诊断具有挑战性,需要结合详细的病史、HRCT表现、实验室检查和
早期诊断和避免接触过敏原是治疗HP的关键,了解患者的生存环境,并对其环境进行改善,嘱咐患者注意防尘、通风,定期对生活场所进行打扫和消毒。
对于慢性HP患者,尤其是那些具有明显进展性的患者,可考虑使用免疫抑制剂如
对于进行性纤维化的慢性HP患者,使用治疗IPF的新型抗纤维化药物可能是有效的,一项随机对照研究指出,无论使用
对激素和/或免疫调节剂治疗无反应的进展性HP患者,可考虑肺移植。移植后的HP患者需避免接触致敏原,避免移植肺再次发生HP。
参考资料:
1. Hamblin M, Prosch H, et al, course and management of hypersensitivity pneumonitis. Eur Respir Rev. 2022 Feb 9;31(163):210169.
2. Chandra D, Cherian SV. Hypersensitivity Pneumonitis. 2022 Jul 12. In: StatPearls [Internet]. Treasure Island (FL): StatPearls Publishing; 2023 Jan.
3. 肖雯雯,陈国忠.纤维化型过敏性肺炎诊断及治疗研究进展[J].疑难病杂志,2022,21(07):759-762+767.
4. 胡芸倩,欧鑫鋆,朱晓萍.过敏性肺炎的诊断和治疗进展[J].
5.




(本网站所有内容,凡注明来源为“医脉通”,版权均归医脉通所有,未经授权,任何媒体、网站或个人不得转载,否则将追究法律责任,授权转载时须注明“来源:医脉通”。本网注明来源为其他媒体的内容为转载,转载仅作观点分享,版权归原作者所有,如有侵犯版权,请及时联系我们。)