患者,男,14岁,既往体健,因突发左侧
患者入院时意识模糊、口唇
实验室检查
显示炎症相关指标升高,C反应蛋白15.4 mg/L(参考范围0-5 mg/L),白细胞计数11.4×10³个细胞/μL(参考范围4.3-10.3×10³/μL),乳酸脱氢酶283 U/L,血糖112 mg/dL(参考范围60-100 mg/dL)。虽然白细胞计数升高,但未检测到嗜酸性粒细胞增多。其他生化参数均在正常范围内。未进行血清学检查或
影像学检查
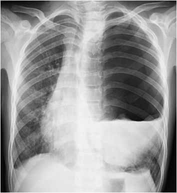
胸部X线片显示左侧

图1 胸部X光片显示左侧张力性气胸,同时纵隔向右移位。
左侧可见“水浮莲征”提示可能存在破裂的包虫囊肿。
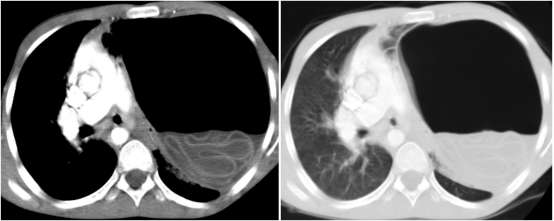
增强胸部CT扫描证实左侧大量气胸、纵隔向右移位,并可见"漩涡征"(图2)。诊断为包虫囊壁破裂导致张力性气胸。

图2 CT图像显示左侧张力性气胸、纵隔向右侧移位以及“漩涡征”的存在。
治疗经过
在左腋中线第七肋间插入24F胸腔
诊断思路
本例以患者突发左侧胸痛、重度呼吸困难,伴咳出苦味清亮水样液的核心症状为切入点,结合农村居住的流行病学背景,初步指向特殊病因所致的胸部病变;体格检查见左侧呼吸音消失、叩诊过清音、气管右移,伴低血压、低氧血症等,心电图仅示窦性心动过速,排除心脏源性病因,无胸壁外伤体征可排除外伤性气胸;实验室检查见炎症指标轻度升高但无嗜酸性粒细胞增多,无特异性感染指标,排除
张力性气胸
张力性气胸是一种危及生命的病症,需要立即采取干预措施。其发病机制是由于单向阀机制导致的胸腔内压力升高,从而造成气道持续堵塞、纵隔移位以及整个肺部塌陷。不断升高的压力会阻碍血液回流至心脏,导致心输出量减少和阻塞性
张力性气胸最常见的病因是与机械通气相关的气压损伤、肺大疱破裂、钝性创伤、中心静脉导管插入、
包虫病
包虫病是一种全球性流行的寄生虫感染,由细粒棘球绦虫幼虫阶段(棘球蚴)引起。肝脏最常受累,其次为肺部,约75%的肺部病例为孤立性囊肿。临床表现取决于囊肿大小、位置及并发症。完整囊肿常无症状,可能偶然在胸部X光片上发现。完整肺包虫囊肿在胸部X光片上通常表现为边界清晰、圆形或椭圆形、均匀的阴影,大小不一。
囊肿破裂时,常见症状可能包括咳嗽、胸痛、呼吸困难或
治疗肺包虫囊肿的金标准是手术,手术基本原则是保留肺实质,最常用的手术技术是囊肿切开加囊壁内翻缝合术。肺包虫囊肿手术死亡率<2%,术后并发症发生率可达 40%,持续性漏气为最常见并发症。儿童肺包虫囊肿常与成人不同,儿童完整包虫囊肿更易偶然发现、自发破裂率更高。
补充说明
本例影像学证实张力性气胸,叩诊过清音为囊肿破裂合并气胸的特殊表现。
包虫病多伴嗜酸性粒细胞升高,本例中实验室检查无嗜酸性粒细胞增多。
囊壁内翻缝合术的核心作用是闭合囊肿切除后的残腔,减少术后漏气、胸腔积液、脓胸等并发症,该术式的必要性虽有争议,但Meta分析证实其可降低术后漏气和脓胸风险。
对于完整的包虫囊肿,术前不建议使用阿苯达唑这类驱虫药,因可能诱发囊肿破裂并出现相关症状。
参考文献:
Aydin, Y., Ulas, A. B., & Ozgokce, M. (2026). A 14-Year-Old Boy With Severe Dyspnea After Coughing Up a Bitter-Tasting Fluid. CHEST, 169(3), e99–e102. https://doi.org/10.1016/j.chest.2025.10.005
医脉通是专业的在线医生平台,“感知世界医学
本平台旨在为医疗卫生专业人士传递更多医学信息。本平台发布的内容,不能以任何方式取代专业的医疗指导,也不应被视为诊疗建议。如该等信息被用于了解医学信息以外的目的,本平台不承担相关责任。本平台对发布的内容,并不代表同意其描述和观点。若涉及版权问题,烦请权利人与我们联系,我们将尽快处理。
(本网站所有内容,凡注明来源为“医脉通”,版权均归医脉通所有,未经授权,任何媒体、网站或个人不得转载,否则将追究法律责任,授权转载时须注明“来源:医脉通”。本网注明来源为其他媒体的内容为转载,转载仅作观点分享,版权归原作者所有,如有侵犯版权,请及时联系我们。)