患者为79岁女性,因右上腹疼痛 4 小时伴恶心及多次非胆汁性
体格检查
患者入院时体温为38.2°C,血压为128/64 mmHg,心率为 98 次/分,室内空气下血氧饱和度为97%。除右后上腹压痛及Murphy征阳性外,其余无明显异常。
辅助检查
床旁超声检查示胆囊壁增厚,多发胆囊内
实验室检查:
予以静脉补液、按需镇痛(

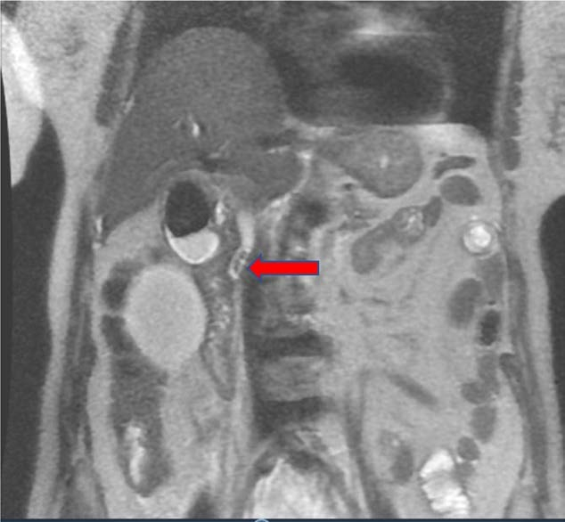
图1 MRI示胆总管扩张(12 mm),近端胆总管内多发充盈缺损(红色箭头),提示嵌顿结石
次日,行治疗性内镜
立即为患者输注了2单位同型红细胞悬液。上消化道内镜排除了括约肌切开处的活动性出血。
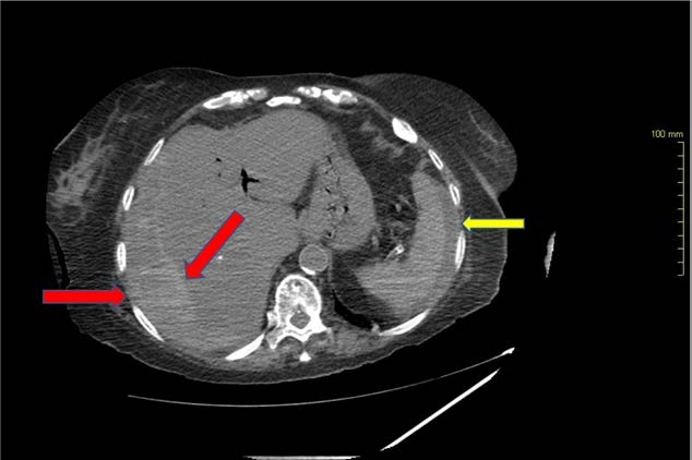
图2 腹部CT轴位图示累及肝右叶的肝包膜下血肿(红色箭头),最大厚度约 37 mm,脾周积液(黄色箭头)提示腹腔积液
由于患者意识水平下降、无法保护气道,予气管插管、镇静及
ERCP是用于胆胰疾病诊疗的微创操作,相较于外科手术,其具有创伤小、性价比高的特点。约2%的ERCP及括约肌切开术会发生严重且具临床意义的出血并发症。肝包膜下血肿(hepatic subcapsular hematoma, HSH)是极罕见的并发症,由Ortega等人于2000年首次报道,后续病例报告提示其病死率达7.5%。该并发症的实际发生率可能被低估,因多数患者接受ERCP后未行症状、实验室指标监测及影像学随访。
HSH导致肝脏出血的确切机制尚不明确。可能原因包括术中导丝意外损伤胆道系统血管导致出血;另一种理论认为,球囊清除胆道结石时产生牵拉压力可能导致胆道细小血管破裂,血液离心流动形成肝实质内出血及包膜下积液。
本病例HSH在术后1天确诊。文献显示其诊断可延迟至术后10天。HSH临床表现多样且不具有特异性,包括腹痛、贫血、低血压和
在治疗方面,对于血流动力学稳定的患者,以保守治疗为主,并建议预防性使用抗生素以降低血肿感染风险。对于出现血肿破裂、
综上,HSH是ERCP术后罕见但可能致命的并发症,发生失血性休克是引起患者死亡的主要危险因素。早期诊断和及时处理对改善预后至关重要。超声和CT检查是诊断HSH的重要手段。
参考文献:
[1] El Koubayati G, Charbel T, Aoun A,et al. Hepatic subcapsular hematoma: A rare complication post-ERCP; a case report. Medicine (Baltimore). 2024 Mar 29;103(13):e37705.
[2]
本平台旨在为医疗卫生专业人士传递更多医学信息。本平台发布的内容,不能以任何方式取代专业的医疗指导,也不应被视为诊疗建议。如该等信息被用于了解医学信息以外的目的,本平台不承担相关责任。本平台对发布的内容,并不代表同意其描述和观点。若涉及版权问题,烦请权利人与我们联系,我们将尽快处理。
(本网站所有内容,凡注明来源为“医脉通”,版权均归医脉通所有,未经授权,任何媒体、网站或个人不得转载,否则将追究法律责任,授权转载时须注明“来源:医脉通”。本网注明来源为其他媒体的内容为转载,转载仅作观点分享,版权归原作者所有,如有侵犯版权,请及时联系我们。)