医脉通-临床病例平台
患者女,45岁,因影像学检查偶然发现肝脏多发病灶就诊。患者无相关症状,体格检查正常。实验室检查未见肝功能不全,
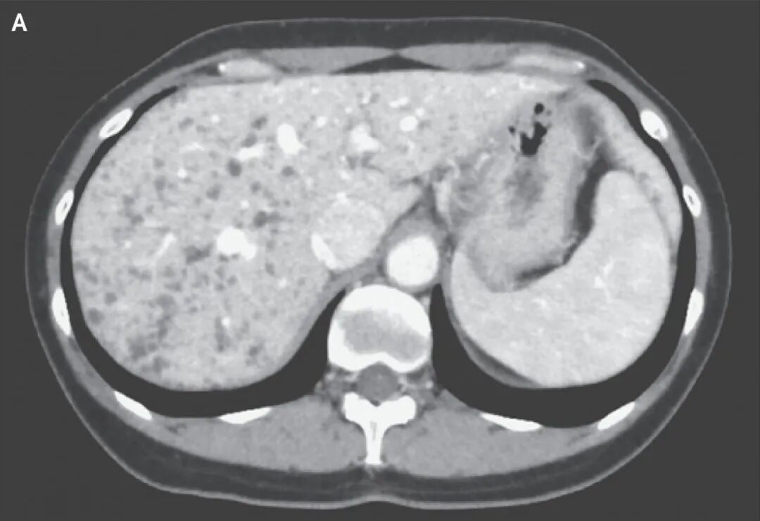
腹部增强CT显示遍布整个肝脏的多发低密度小结节,无强化(图A)。

MRI与胰胆管造影显示肝内多发T2加权高信号囊性小结节,与胆管无交通,呈“星空征”(图B)。

(本网站所有内容,凡注明来源为“医脉通”,版权均归医脉通所有,未经授权,任何媒体、网站或个人不得转载,否则将追究法律责任,授权转载时须注明“来源:医脉通”。本网注明来源为其他媒体的内容为转载,转载仅作观点分享,版权归原作者所有,如有侵犯版权,请及时联系我们。)