
患者,男,79岁,既往有
入院时,患者生命体征显示:心率 118次/分,血压 80/45 mmHg,吸氧桩体下血氧饱和度为90%。查体显示:腹部柔软,无膨隆,无压痛。
实验室检查结果显示:白细胞增多(15.4×10⁹/L)、C反应蛋白水平升高(13.48 mg/L)、pH值7.16,以及高碳酸血症(PaCO₂ 115 mmHg)。
胸部CT提示存在肺部感染(图1)。

图1 胸部CT显示肺部斑片状感染灶
患者接受气管插管,随后转入ICU。ICU第2日,腹部X光检查未见明显异常。
ICU第6日,患者因

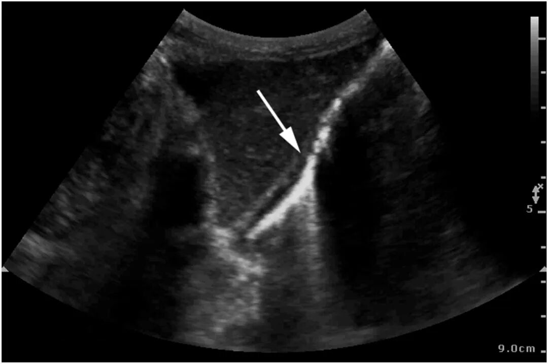
图2 床旁超声剑突下切面显示胃壁"彗星尾"伪影

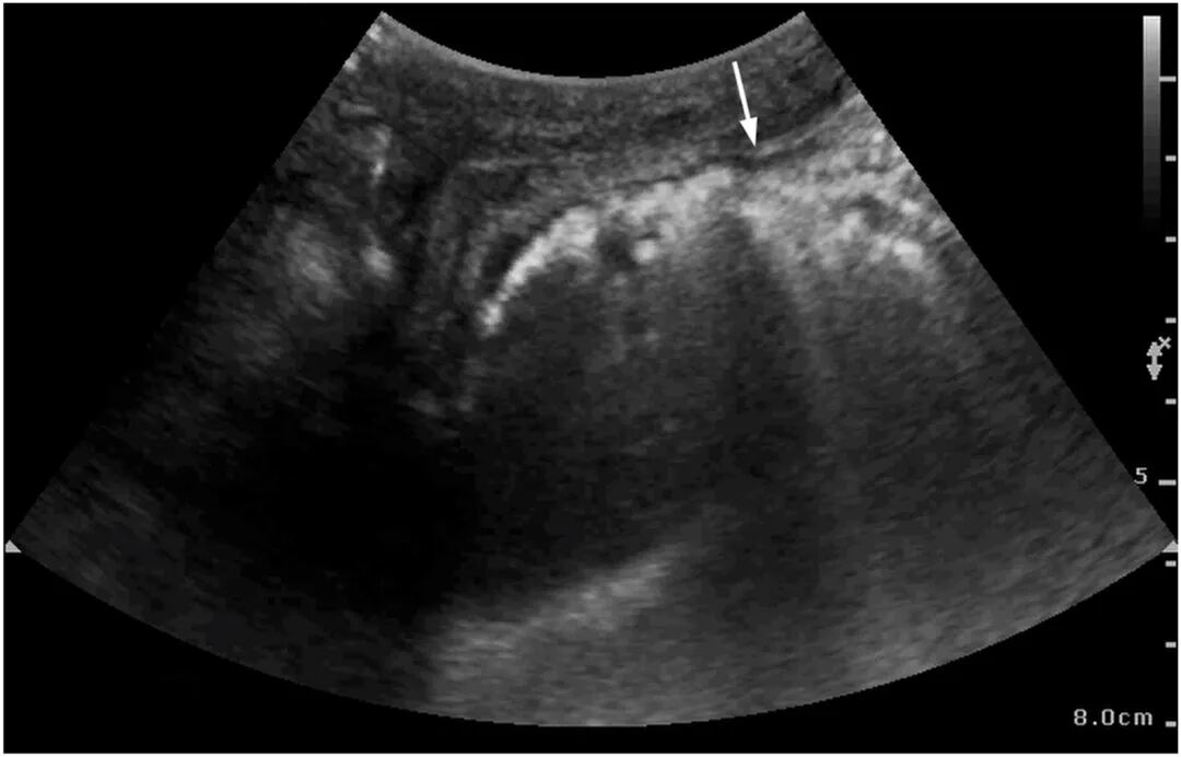
图3 床旁超声左肋间切面显示胃壁"彗星尾"伪影(箭头)

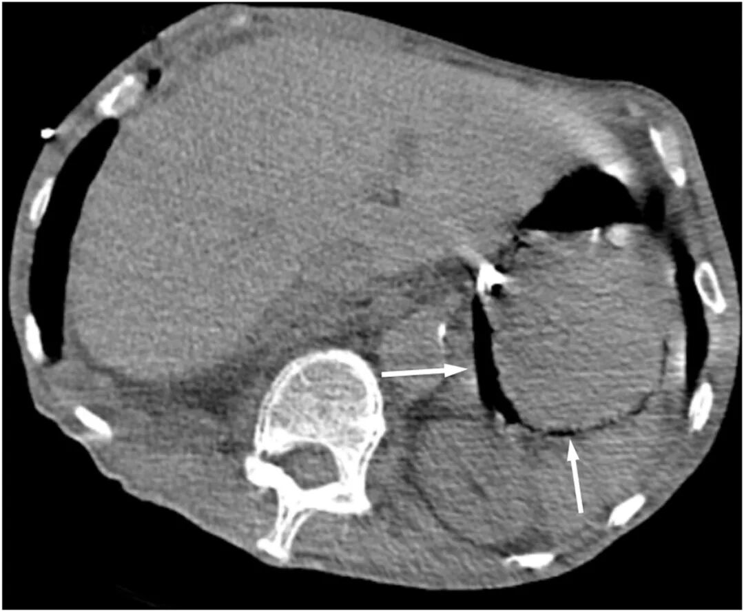
图4 腹部CT显示胃壁黏膜下积气(箭头)


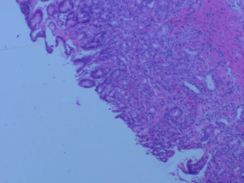
行上消化道内镜检查显示,胃体、胃大弯及前壁黏膜充血

图5 上消化道内镜显示

图6 胃黏膜活检示轻度慢性浅表性胃炎伴轻度急性活动性
患者接受

气肿性胃炎是一种罕见的感染性疾病,其特征为胃壁内气体积聚,通常由产气微生物引起,危重症患者多见,可危及生命。及时诊断和治疗对患者生存至关重要。
本例患者是一名患有慢性阻塞性肺疾病的79岁男性,其危重症状态和长期住院史可能增加了感染的易感性,这与既往文献中报道的
胃壁内气体的存在是气肿性胃炎的关键影像学特征,通常可通过腹部CT得以明确。CT扫描能够清晰显示胃壁内的低密度线性影,有助于区分气肿性胃炎和良性胃气肿 。本病例中,在CT确诊前,通过床旁超声检查率先捕捉到了胃壁的“彗星尾征”伪像,这一发现为早期诊断提供了宝贵线索。“彗星尾征”通常与肺部和胆囊疾病相关。
此外,本病例的病原学诊断为耐碳青霉烯鲍曼
参考文献:
1.Xu C, Zhou X, Xu Z . Comet Tail" Artifacts in the Gastric Wall. Annals of Emergency Medicine, 87, 540-541
2.Jenkins JK, Georgiou A, Laugharne M, Meisner S, Cook T. Emphysematous gastritis in a patient with neutropenic sepsis: A case report and literature review with comment on management. J Intensive Care Soc. 2023 Aug;24(3):328-331. doi: 10.1177/17511437231153048. Epub 2023 Feb 12. PMID: 37744070; PMCID: PMC10515328.
3.Iwamuro M, Takenaka R, Toyokawa T, Kita M, Tsuzuki T, Yoshioka M, Gotoda T, Okanoue S, Matsubara M, Sakaguchi C, Otsuka M. Endoscopic and clinical features of gastric emphysema. Sci Rep. 2024 Jan 25;14(1):2202. doi: 10.1038/s41598-024-52633-z. PMID: 38273039; PMCID: PMC10810885.
4.Reyes JV, Alluri RS, Al-Khazraji A, Seen T, Walfish A. A Case of Gastric Emphysema: Incidental Findings or Serious Illness. Cureus. 2020 Nov 19;12(11):e11568. doi: 10.7759/cureus.11568. PMID: 33364095; PMCID: PMC7749797.
(本网站所有内容,凡注明来源为“医脉通”,版权均归医脉通所有,未经授权,任何媒体、网站或个人不得转载,否则将追究法律责任,授权转载时须注明“来源:医脉通”。本网注明来源为其他媒体的内容为转载,转载仅作观点分享,版权归原作者所有,如有侵犯版权,请及时联系我们。)