王欣1,3 何洋1 韩雅婷1 邱梦媛1 锁梦涵1 马宁2 欧阳慧1 刘尊敬1 郭淮莲1△
(北京大学人民医院 1 神经内科;2 血液内科,北京 100044;3 广安门医院保定医院脑病科,保定 071000)
缺血性脑卒中是全球范围内主要的致死致残疾病之一,动脉粥样硬化是其最常见的病因,常与高血压、糖尿病、高脂血症等传统血管危险因素相关。然而,在临床实践中有部分病人缺乏上述典型血管危险因素,临床表现复杂多样,其病因隐匿,使诊断面临挑战。其中抗磷脂综合征 (APS) 等自身免疫性疾病是一类重要的非动脉粥样硬化性病因。
APS是一种以反复血栓事件、复发性自然流产、血小板减少等为主要临床表现并伴抗磷脂抗体持续阳性的自身免疫性疾病,APS可单独发生,也可伴发系统性红斑狼疮等其他自身免疫性疾病,全身各个系统均可受累。中枢神经系统受累是APS重要的并发症,可表现为短暂性脑缺血发作或缺血性脑卒中。在年龄小于50岁的卒中病人中,抗磷脂抗体阳性率为17%。而高龄且以头痛及缺血性脑卒中首诊的APS相关病例报道尚不多见。本文报道1例以反复头痛及突发单侧肢体无力就诊的老年女性,最终诊断为APS,提示在不明原因脑梗死的诊疗中,应重视其他非典型神经系统症状(如慢性头痛)及全身多系统表现,在高龄病人中仍需将APS纳入脑梗死病因的鉴别。

病例:女性,69岁,以“突发右侧肢体无力5天”为主诉于2022年5月17日就诊于北京大学人民医院神经内科。不伴言语障碍、肢体麻木、饮水呛咳、吞咽困难、视物成双等症状。曾于当地医院就诊,行头颅CT检查示“双侧基底节及半卵圆中心腔隙灶”,诊断为急性脑梗死,为进一步诊治收入我院住院治疗。
既往史:20年前无明显诱因出现双手指端遇冷变白、变青、变紫,冬重夏轻,严重时伴双手手指硬肿及末端破溃伴流脓。双手逐渐出现皮肤坏死萎缩及色素缺失。15年前开始出现发作性左侧颞部搏动性疼痛,严重时伴左眼胀痛、伴恶心、呕吐,不伴结膜充血及流泪,每次头痛发作持续数小时至数天,头痛为中等程度,日常活动可加重头痛,头痛发作影响日常生活。服用“正天丸”可减轻头痛。每月头痛发作1~2次。1年前病人头痛加重,疼痛部位主要为前额部,头痛性质为闷痛,每月头痛20天。服用当地诊所药物(具体成分不详)治疗可使头痛暂时减轻。头痛发作不伴视觉改变、无明显畏光畏声。7年前病人无明显诱因出现口眼干燥、牙齿片状脱落,进食干性食物需用水送服,眼部磨砂感,偶有眼红及眼痛,哭时可流泪。咳嗽、咳白痰病史1年余,未予诊治。有骨关节炎病史,否认高血压、糖尿病、冠心病、心房纤颤等病史,无吸烟饮酒史,50岁绝经。
查体:生命体征平稳,轮椅推入病房,全身皮肤无皮疹,全身浅表淋巴结无肿大。腮腺无肿胀压痛,口腔多颗义齿,可见部分残根,心肺腹 (-)。颈椎转动轻度受限,颈肩部、肩胛骨内侧、腰部压痛,脊柱直接叩击试验及间接叩击试验均阴性。双手雷诺氏征阳性,双手手指末端可见瘢痕、皮肤色素缺失及指腹萎缩。神清语利,高级皮层功能检查未见明显异常。颅神经检查未见明显异常。右利手,肌张力适中,右侧肢体肌力3级,左侧肢体肌力5级。四肢针刺痛觉、音叉振动觉对称存在,双侧肱二头肌反射、肱三头肌反射、桡骨膜反射均 (++),双侧膝腱反射、跟腱反射均 (++),双侧 Hoffmann 征 (-),右侧 Babinski 征 (+),左侧 Babinski 征 (-)。脑膜刺激征阴性,植物神经检查未见明显异常。
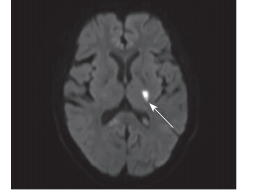
入院后化验检查:血常规示血小板计数:89×109/L。尿蛋白:0.16 g/24 h。肾小管3项:β2-MG 2051.30μg/L,尿 NAG 14.00 U/L。尿酸化含量测定:pH值 6.20,可滴定酸 5.33 mmol/L,铵离子 28.25 mmol/L。血沉 23 mm/h。Coombs 2+。抗心磷脂抗体:10.2 U/mL(0~10 U/mL);抗β2糖蛋白 1 抗体:52.55 RU/mL (0~20 RU/mL);狼疮抗凝血因子检测标准化 dRVVT比值:1.07;抗磷脂酰丝氨酸/凝血酶原 aPS/PT IgM、IgG 均阳性;抗核小体抗体检测:374.24 RU/mL (0~20 RU/mL),抗 dsDNA 抗体 186.4 IU/mL。抗核抗体:1:320 均质;抗 SSA (+);抗Ku抗体 (+++);冷球蛋白阳性;免疫球蛋白 IgA:5.74 g/L,免疫球蛋白IgG:17.68 g/L,补体C3:0.53 g/L,补体C4:0.06 g/L,补体C1q:138 mg/L。血气分析、肝、肾功能、电解质正常,凝血功能、糖化血红蛋白、同型半胱氨酸、蛋白C 、蛋白S未见异常。头颅 MRI及MRA示(见图1)“左侧基底节区梗死灶(急性-亚急性期);颅内动脉轻度硬化表现”。颈动脉超声示“双侧颈动脉硬化并右侧斑块形成”。唾液腺彩超示“腮腺及颌下腺弥漫性病变”。甲状腺彩超示“甲状腺双叶多发囊实性结节”。四肢静脉彩超未见异常。胸腹盆增强 CT 示“双肺间质纤维化;双肺多发结节;双侧锁骨下、腋窝、纵隔内多发淋巴结;肝 S6段血管瘤;双肾多发结石”。心电图示“QT 间期延长”。心脏彩超示“节段性室壁运动异常”。冠状动脉CTA未见明显异常。心脏MR增强示“左心室运动稍减弱,二尖瓣、主动脉瓣区轻度返流”。肺功能示“肺部通气及弥散功能障碍 (DLCO-SB 40.6%)”。(左前臂)皮表切除标本示“送检小块皮肤组织,真皮内多量胶原纤维沉积”。

图1 头颅磁共振弥散加权成像示左侧基底节区梗死灶(急性-亚急性期),白色箭头示梗死灶
诊疗经过:病人此次因突发右侧肢体无力入院,结合症状、体征及影像学改变(头颅 MRI 示左侧基底节区DWI高信号),考虑急性脑梗死诊断明确。给予阿司匹林抗血小板、阿托伐他汀降脂及活血药物等对症治疗。
病人既往反复头痛发作病史,依据国际头痛疾病分类第3版符合无先兆偏头痛诊断。病人病程中头痛加重,疼痛部位主要为前额部,头痛性质为闷痛,每月头痛天数约20天,长期服用镇痛药(具体成分不详),符合药物过度使用性头痛诊断标准。入院后未服用镇痛药物,头痛较前好转。
病人既往存在头痛、雷诺现象、口眼干燥、牙齿片状脱落,化验示血小板减少、血沉快、抗磷脂抗体阳性,考虑 APS 诊断。请风湿免疫科会诊,同意该诊断,转入风湿免疫科诊治。在风湿免疫科进一步完善化验及检查后发现病人存在:蛋白尿、肾小管酸中毒;抗ds-DNA、ANA、抗SSA、抗Ku抗体、低补体、aCL、抗β2GPI、aPS/PT IgM、IgG及Coombs均阳性;心脏室壁运动异常、肺间质纤维化、皮肤病理见纤维组织增生并胶原沉积。依照ACR及EULAR 的SLE分类诊断标准,系统性红斑狼疮诊断明确,依据修订版Sapporo诊断标准,APS诊断明确。另外,病人符合继发性干燥综合征及系统性硬化症(可能)诊断;存在心、脑、肺、肾小管及血液等多系统受累,SLE疾病活动度SLEDAI评分14分,考虑原发病活动。因病人心电图示QT间期延长,未给予羟氯喹治疗;给予序贯泼尼松40 mg,每日1次,逐渐减量;环磷酰胺抑制免疫(0.4 g,每半月1次);华法林抗凝及抑酸、补钙、碱化尿液等治疗。治疗后病人症状好转,出院时右侧肢体肌力4级。出院12周后复查抗心磷脂抗体、抗β2糖蛋白1抗体、aPS/PT IgM、IgG均阴性。于我院神经内科、风湿免疫科门诊定期随诊。
APS是缺血性脑卒中的少见病因之一,流行病学调查提示APS年发病率为5/100,000,患病率为40~50/100,000。文献报道每年约有25万例血栓事件与APS相关,APS参与20%~30% 的青年卒中(< 50岁)发生。近30%的成人APS病人以缺血性脑卒中或短暂性脑缺血发作为首发症状。但以缺血性脑卒中首诊的老年APS病人较为少见,本例病人既往有雷诺现象、口干眼干、牙齿脱落等症状,但未确诊结缔组织病,因此在诊疗过程中容易将其认定为大脑动脉粥样硬化型脑梗死,这提示对于老年脑梗死病人,尤其是缺乏高血压、糖尿病等传统血管危险因素时,应详细追问病史,搜寻脑卒中少见病因的蛛丝马迹,从而给予更为精准的诊疗。
APS导致脑卒中的机制并非单纯血栓形成。研究表明,抗磷脂抗体可通过炎症与免疫机制损伤血管壁,导致内膜增生和血管闭塞;可激活血小板表面信号分子诱导血小板活化,亦可诱导内皮细胞活化,促进白细胞黏附;还可抑制纤溶系统,通过多条信号通路促进血栓形成。此外,APS可导致心脏瓣膜增厚或瓣膜赘生物,从而导致心源性栓塞。抗磷脂抗体可通过体液免疫和细胞免疫加速动脉粥样硬化进展,从而导致早发动脉粥样硬化 [14]。既往研究发现,APS 可能通过动脉血栓栓塞、加速动脉粥样硬化、心源性栓子脱落、增殖性血管病变、颅内小血管病变、烟雾综合征等多种机制导致缺血性脑卒中事件。
本例病人既往反复头痛,且符合无先兆偏头痛的诊断,既往研究也证实APS与偏头痛存在相关性。APS 病人中偏头痛的患病率约为38%,另外,有研究发现偏头痛可能是抗磷脂抗体阳性病人卒中的潜在危险因素。虽然既往研究证实了APS与偏头痛存在共病关系,但偏头痛与APS是否存在因果关系尚不明确。APS与偏头痛的共病可能与两者好发年龄重叠相关,也有研究推测偏头痛病人 CD4+T细胞水平的升高可能导致其抗磷脂抗体水平的升高,而抗磷脂抗体可能通过调节T细胞亚群数量或激活肿瘤坏死因子-α相关信号通路在偏头痛发病机制中发挥作用。因此,慢性头痛可能是潜在自身免疫性疾病的征兆,对于难治性或不典型偏头痛,应考虑筛查抗磷脂抗体,尤其在伴有其他自身免疫相关症状时。
综上所述,本文报道了1例以反复头痛和突发单侧肢体无力为突出表现的继发性APS复杂病例,其诊疗过程提示,偏头痛与APS可能存在关联,伴有偏头痛的APS病人存在卒中高危风险。另外,对于老年脑梗死病人,当其缺乏传统血管危险因素或常规抗血小板治疗效果不佳时,需拓宽诊断思路,关注多系统症状,将APS等自身免疫性疾病纳入鉴别诊断,详细的病史询问及自身抗体谱的筛查十分关键,早期诊断和自身免疫性疾病的针对性治疗有助于改善病人预后。
信源:王欣 何洋 韩雅婷 邱梦媛 锁梦涵 马宁 欧阳慧 刘尊敬 郭淮莲. 抗磷脂综合征致反复头痛伴突发单侧肢体无力1例[J]. 中国疼痛医学杂志,2026,32(3):236~238
医脉通是专业的在线医生平台,“感知世界医学脉搏,助力中国临床决策”是平台的使命。医脉通旗下拥有「临床指南」「用药参考」「医学文献王」「医知源」「e研通」「e脉播」等系列产品,全面满足医学工作者临床决策、获取新知及提升科研效率等方面的需求。
本平台旨在为医疗卫生专业人士传递更多医学信息。本平台发布的内容,不能以任何方式取代专业的医疗指导,也不应被视为诊疗建议。如该等信息被用于了解医学信息以外的目的,本平台不承担相关责任。本平台对发布的内容,并不代表同意其描述和观点。若涉及版权问题,烦请权利人与我们联系,我们将尽快处理。
(本网站所有内容,凡注明来源为“医脉通”,版权均归医脉通所有,未经授权,任何媒体、网站或个人不得转载,否则将追究法律责任,授权转载时须注明“来源:医脉通”。本网注明来源为其他媒体的内容为转载,转载仅作观点分享,版权归原作者所有,如有侵犯版权,请及时联系我们。)