编者按
本文报道一例以进行性面部结节、
主诉
24岁男性,因“面部进行性
现病史
患者6个月前无明显诱因出现面部皮损,逐渐进展,无前驱疾病史,近期无旅行史,无全身症状(如
体格检查
面部:可见广泛散在的肉芽肿性肤色丘疹,伴明显水肿,呈现特征性“狮面征”(图1A、B)。
躯干及大腿上段:散在色素减退性环形硬结性斑块(图1C)。

图1A、B:面部结节、水肿及“狮面征”;
图1C:躯干色素减退性环形斑块;
辅助检查
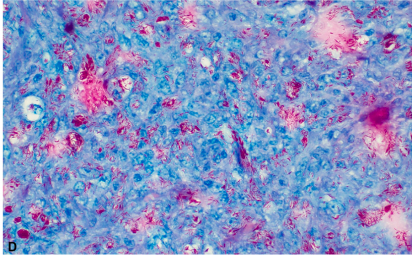
皮肤组织穿刺活检:镜下可见泡沫样组织细胞肉芽肿,伴神经周围受累,存在Grenz 带;Fite 抗酸染色(AFB Fite stain)可见大量抗酸杆菌聚集(球状体,globi)(图1D)。

图1D:Fite抗酸染色可见球状体
诊断
瘤型麻风(多菌型汉森病,lepromatous leprosy/multibacillary Hansen’s disease)
疾病概述
汉森病(麻风)是由
瘤型麻风是多菌型麻风的最严重类型,其特征为细胞介导免疫反应微弱,体液免疫反应亢进。患者常表现为广泛、对称的皮肤受累,皮损可呈色素减退或红斑样改变;面部受累时可出现真皮弥漫性增厚,形成典型的“狮面征”,病情未控制时还可能导致
该病的人际传播需长期密切接触,患者在首次治疗后72小时即丧失传染性[1]。约95%的普通人群对麻风分枝杆菌具有天然免疫力,即使长期暴露也不会发病[1]。结合本例患者移民史,推测其在移民美国前已感染麻风分枝杆菌,但具体感染源未明确。
诊断要点
汉森病的诊断需结合临床症状及辅助检查,皮肤活检、皮肤刮片、聚合酶链反应(PCR)及神经传导速度检查等均可辅助确诊[2]。抗酸染色可在组织中显示致病菌,但少菌型或
治疗与预后
世界卫生组织(WHO)推荐根据患者为少菌型或多菌型麻风,采用针对性的联合化疗方案[1]。治疗前后常出现免疫反应,包括1型(反转反应)和2型(麻风结节性红斑反应),此类免疫反应属于医疗急症,需及时采用
本例患者采用联合化疗方案:
参考文献
医脉通是专业的在线医生平台,“感知世界医学

(本网站所有内容,凡注明来源为“医脉通”,版权均归医脉通所有,未经授权,任何媒体、网站或个人不得转载,否则将追究法律责任,授权转载时须注明“来源:医脉通”。本网注明来源为其他媒体的内容为转载,转载仅作观点分享,版权归原作者所有,如有侵犯版权,请及时联系我们。)