肺凡案例 | “化疗+免疫治疗+靶向治疗”三联出击,改写复合突变肺癌脑转移患者治疗结局
2026-01-29

肺癌是全球癌症相关死亡的主要原因。随着精准医学的发展,包括靶向治疗和免疫治疗在内的综合治疗手段显著改善了局部晚期肺癌患者的生存。本文分享一例EGFR/MEK1复合突变且PD-L1高表达的肺腺癌脑转移患者,通过“化疗+免疫治疗+靶向治疗”的三联治疗方案,实现了全身及颅内病灶的良好控制,为转化手术创造条件,最终达到病理完全缓解,为类似患者的治疗提供临床参考。
患者男性,60岁,有吸烟史,因“咳嗽、头痛1个月”于2023年10月入院。头痛视觉模拟评分(VAS)为6/10分,无其他神经系统症状。
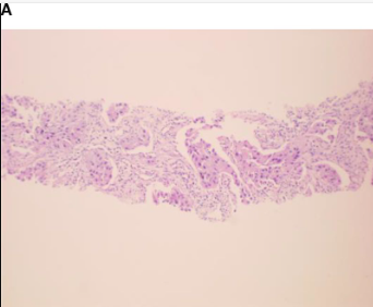
肺活检病理
肺腺癌(免疫组化:CK7+,NapsinA+,TTF-1+,CK5/6-,P40-,Ki-67阳性率约20%,CD56-)
基因检测
诊断
左肺上叶腺癌(cT2bN1M1c1,ⅣB期)伴多发脑转移。
初始治疗
经多学科团队(MDT)讨论后,给予一线治疗方案:培美曲塞(800 mg)+洛铂(60 mg)化疗联合替雷利珠单抗免疫治疗,共2周期。治疗后患者咳嗽、头痛症状完全缓解(VAS评分 0/10分)。
维持治疗
后续给予伏美替尼靶向维持治疗,持续11个月。
治疗期间出现治疗相关不良反应(TRAEs):
腹泻(2级,每日4-6次),予洛哌丁胺治疗后4周缓解;瘙痒(2级,弥漫性、间歇性),予氯雷他定治疗后10天缓解。
轻度肝功能异常(1级,谷丙转氨酶69 U/L、谷草转氨酶53 U/L),予保肝药物治疗后3天恢复正常。
轻度血肌酐升高(1级,为正常上限的1.5倍以内),予保肾药物治疗后7天恢复正常。
无≥3级不良反应发生,全程未使用糖皮质激素或抗惊厥药物,神经功能症状持续稳定,简易精神状态检查(MMSE)评分始终维持30/30分,无癫痫发作或局灶性神经功能缺损。
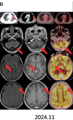
疗效评估
手术治疗
经MDT再次评估后,患者具备手术指征,行胸腔镜下左肺上叶切除术+纵隔淋巴结清扫术。术中见轻度胸膜粘连(Goldberg分级1级),少量出血,术后无漏气,无急性呼吸窘迫综合征(ARDS)表现。
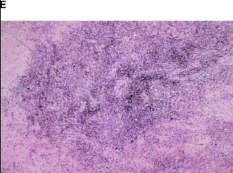
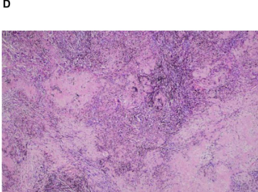
术后病理
术后病理证实为ypT0N0M0,13枚清扫淋巴结(5-7组、10-12组)均无肿瘤累及;镜下未见残留肺腺癌细胞,仅见局灶凝固性坏死、纤维组织增生及淋巴细胞浸润。
后续治疗及随访
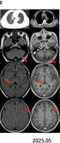
术后继续予伏美替尼辅助治疗,随访至2025年5月(术后18个月),头颅MRI示无复发灶,肺部及脑部均未发现肿瘤复发。
脑转移是肺癌常见的远处转移部位,约10%–30%的非小细胞肺癌(NSCLC)患者在初诊时即存在脑转移,其预后通常较差。治疗手段包括手术、放疗和系统性药物治疗,选择需综合考虑组织学类型、患者全身状况及转移灶数量与大小。
本病例患者携带EGFR敏感突变与MEK1复合突变,且PD-L1高表达,提示其对靶向、免疫及化疗联合治疗可能具有良好应答。伏美替尼作为第三代EGFR-TKI,在FURLONG研究中显示出优越的颅内病灶控制能力。替雷利珠单抗在RATIONALE-307研究中亦证实与化疗联用可延长无进展生存期(PFS)。
尽管神经外科与放疗科医生曾建议脑部放疗,患者最终接受了“化疗+免疫治疗+靶向治疗”三联方案,并在未接受局部治疗的情况下实现脑转移灶完全缓解。这表明,在部分经过选择的患者中,系统性治疗可作为脑转移的有效初始治疗手段。
此外,本例患者在联合治疗期间仅出现1–2级不良反应,提示该方案在安全性方面可控。最终患者成功接受转化手术,并获得病理完全缓解。
总体而言,对于伴多发脑转移的Ⅳ期NSCLC,传统观点认为手术价值有限,但本例通过精准的全身治疗实现了脑转移灶和肺部原发灶的有效控制,突破了传统治疗的局限,为临床提供了新的治疗思路。同时,该病例也进一步证实了MDT和动态疗效评估是制定个体化治疗方案、提高治疗成功率的关键。
参考文献:
Ran X, Luo T, Xiong J, Fu M. Pathological complete response to conversion therapy for lung adenocarcinoma with brain metastasis: a case report. Front Oncol. 2025 Oct 14;15:1625918. doi: 10.3389/fonc.2025.1625918. PMID: 41164138; PMCID: PMC12558825.
医脉通是专业的在线医生平台,“感知世界医学脉搏,助力中国临床决策”是平台的使命。医脉通旗下拥有「临床指南」「用药参考」「医学文献王」「医知源」「e研通」「e脉播」等系列产品,全面满足医学工作者临床决策、获取新知及提升科研效率等方面的需求。
本平台旨在为医疗卫生专业人士传递更多医学信息。本平台发布的内容,不能以任何方式取代专业的医疗指导,也不应被视为诊疗建议。如该等信息被用于了解医学信息以外的目的,本平台不承担相关责任。本平台对发布的内容,并不代表同意其描述和观点。若涉及版权问题,烦请权利人与我们联系,我们将尽快处理。
(本网站所有内容,凡注明来源为“医脉通”,版权均归医脉通所有,未经授权,任何媒体、网站或个人不得转载,否则将追究法律责任,授权转载时须注明“来源:医脉通”。本网注明来源为其他媒体的内容为转载,转载仅作观点分享,版权归原作者所有,如有侵犯版权,请及时联系我们。)