来源 | 医脉通
作者 |
01
脑梗打击
这位72岁的女性患者,本身患有
然而,这道防线并不稳固——她的INR值始终波动,未能达到标准值。
四个月前,危机终于爆发。
患者突发意识不清、言语功能丧失,伴有右侧肢体完全无法活动,于是前往神经内科就诊,被诊断为“急性
经积极抗凝、脱水降颅压等治疗后,虽然她保住了生命,却留下了言语含糊和右侧肢体
病情稳定后,患者转入康复医院,希望的火苗重新燃起。
通过系统训练,她的右下肢肌力逐渐恢复,家人和治疗师都期待着她能再次站立行走。然而,谁也不曾料到,一场更大的风暴正在悄然酝酿。
02
心梗危局
那是凌晨一点,患者突然烦躁不安,用含糊的声音和手势指向自己的胸前。
值班医生迅速上前询问:“是胸口疼吗?”患者连连点头。
立即行

图1
医生迅速判断其为“
鉴于患者目前仍在服用华法林,医生立即给予“
而在上级医院急诊科值班的,正是我们熟悉的王乂医生。
03
事有隐情
接到转诊通知后,急诊
然而在转运途中,患者的胸痛有所缓解,复查心电图显示ST段已开始回落(图2)。因此,王乂医生并未启动“双绕”流程,而是安排患者先进入急诊抢救室进行全面评估。

图2
监护仪刚一接上,就显示患者为房颤伴快速心室率,心率高达160–180次/分,王乂立即嘱持续泵入“
接着,他请患者活动四肢:左上肢活动正常,右上肢仍完全无法抬起,令人意外的是,双腿也一动不动。
王乂以为患者没听清,便俯身到她耳边,温和地问道:“老太太,咱们抬抬腿,好吗?”
家属在一旁解释道:“她的腿没事的,之前我们去探望时,她都能把腿抬得老高,我们都盼着她能早点下地走路。只是最近她说腿疼、发冷,像是‘老寒腿’犯了,所以穿得厚,还盖着被子,可能这样才动不了吧……”
“老寒腿?”王乂心中生疑。
“是啊,不就是老年人常说的腿脚凉、疼嘛。”家属回应。
王乂迅速回顾了化验结果——D-二聚体显著升高!事情恐怕没那么简单。他掀开被子,卷起患者那裹着厚秋裤的裤脚,伸手一摸,双下肢触感冰凉,明显比上肢温度低,而且两侧脚踝颜色也不一致。
他请家属协助将患者的裤子脱下以便进一步检查,家属虽面露不解,仍配合照做。
这一脱,眼前景象令人心头一沉:右下肢
王乂立刻电话联系床旁超声检查,同时通知在导管室等待手术的同事:“手术可能需要推迟,我们可能遇到更棘手的情况了!”
04
动脉栓塞
床旁超声证实了王乂最坏的猜想——双下肢动脉栓塞。
他向血管外科发出了急会诊。
经会诊医师查体发现,患者双下肢皮温偏低,以膝关节以下为著,双侧股动脉搏动极其微弱,腘动脉及足背动脉搏动未能触及,左下肢足踝区感觉与运动功能完全丧失,情况万分危急,需立即进行强化
“怎……怎么会这样?”家属的眼中充满了不解。
“又有房颤的血栓掉下来了。”王乂沉重地解释,“只要房颤存在、抗凝不达标,左心房里就可能形成新的血栓,它们随时可能脱落,引发脑梗死、心肌梗死或下肢动脉栓塞。四个月前的脑梗是第一次警告;当腿部出现发凉、疼痛时,是疾病在发起冲锋;等到胸痛发作才来医院,已经是在补救一个非常危险的局面了。”
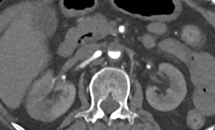
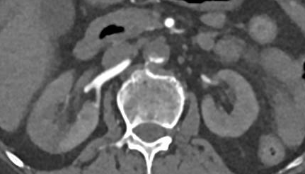
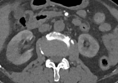
通过强化CT检查发现,患者腹主动脉肾动脉以远、左肾动脉及肠系膜下动脉开口处、双髂动脉及双侧下肢动脉血栓形成,右肾斑片状弱/无强化影,提示右肾梗死(图3-5)。

图3

图4

图5
因为患者胸痛症状缓解、心电图ST段回落,患者被收治血管外科并行急诊手术治疗,术中取出数枚血栓,后证实双侧髂总动脉狭窄,经导丝置入球扩覆膜支架。
手术虽然顺利,但患者状况极差,术后送往ICU继续生命支持。
05
沉重警示
这个病例残酷地揭示了心房颤动的最大威胁——血栓栓塞。
研究表明,房颤患者发生
正是因为对房颤的认识不足、抗凝治疗不达标,才让悲剧不断重复。唯有科学认知、规范治疗、时刻警惕,才能为生命筑起最坚实的防线。
参考文献:
[1] 中华医学会心电生理和起搏分会,中国医师协会心律学专业委员会.中国心房颤动管理指南(2025)[J].中华
责编|Zelda Atai
封面图来源|视觉中国
医脉通是专业的在线医生平台,“感知世界医学脉搏,助力中国临床决策”是平台的使命。医脉通旗下拥有「临床指南」「用药参考」「医学文献王」「医知源」「e研通」「e脉播」等系列产品,全面满足医学工作者临床决策、获取新知及提升科研效率等方面的需求。
本平台旨在为医疗卫生专业人士传递更多医学信息。本平台发布的内容,不能以任何方式取代专业的医疗指导,也不应被视为诊疗建议。如该等信息被用于了解医学信息以外的目的,本平台不承担相关责任。本平台对发布的内容,并不代表同意其描述和观点。若涉及版权问题,烦请权利人与我们联系,我们将尽快处理。

(本网站所有内容,凡注明来源为“医脉通”,版权均归医脉通所有,未经授权,任何媒体、网站或个人不得转载,否则将追究法律责任,授权转载时须注明“来源:医脉通”。本网注明来源为其他媒体的内容为转载,转载仅作观点分享,版权归原作者所有,如有侵犯版权,请及时联系我们。)