近期,江苏省人民医院(南京医科大学第一附属医院)朱传龙教授团队于Gastroenterology(IF:25.9)发表了一例成人
患者为61岁男性,因反复发热伴右上腹疼痛,1个月内住院3次。2024年4月17日,患者因发热伴右上腹轻度疼痛就诊。初步实验室检查显示:白细胞计数 9.5×109/L,中性粒细胞占比84.5%,C反应蛋白(CRP)167.2mg/L,
表1 患者三次入院实验室检查数据
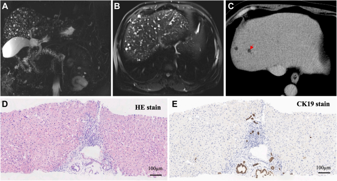
鉴于患者反复发热及右上腹疼痛,对其肝、胆、胰、脾及心脏行超声检查,发现多发小

患者的诊断是什么?
基于患者反复
第三次住院期间,患者接受了为期4周的
CD又称先天性肝内胆管囊状扩张症,是一种罕见的先天性疾病,于1958年首次被描述。该病通常为常
全外显子组测序显示,本例患者为PKHD1基因突变[c.8863C>T(p.Arg2955Ter)]突变携带者。该结果经Sanger测序验证。此前尚无该特定突变位点导致CD的报道。由于对此单基因携带状态的致病性尚不明确,故对其家系成员进行了Sanger测序,发现该突变遗传自患者母亲(其母亲同样为PKHD1基因突变携带者),此外,患者的兄弟、女儿和儿子均被发现携带相同的PKHD1突变(图F)。为进一步研究,对患者家系成员行肝脏增强CT和MRCP检查。结果证实4名PKHD1突变携带者均表现出CD的典型影像学特征,而其他家系成员检查结果正常。
团队还通过PKHD1基因敲除动物模型开展研究,发现杂合子PKHD1 del3-4/+小鼠的肝组织表现出与先证者相似的病理改变(图G)。该家系表现出与杂合子PKHD1基因突变相关的胆道发育异常(图H)。据团队所知,这一特殊发现此前尚未见文献报道,但其潜在发病机制仍需通过更多实验研究及临床病例进一步证实。


朱传龙 教授
江苏省人民医院(南医大一附院)感染病科主任
主任医师、教授、博导、博后导师
江苏省医学会感染病学分会副主委
中国医师协会感染科医师分会委员
中华医学会肝病学分会肝炎学组委员
2012-2014年在美国哈佛医学院附属麻省总医院从事博后研究
2020-2022年中组部选派挂职海南医学院第二附属医院副院长、党委委员
主持国家自然科学基金(4项)、美国Gilead肝病基金等课题共20项,第一或通讯作者发表学术论文100篇,其中SCI收录45篇,包括Gastroenterology、Journal of Hepatology、Journal of Virology等期刊文章。
获中华医学科技奖、教育部自然科学奖、海南省自然科学奖等省部级奖励6次,授权发明专利4项。
首届国家优秀青年医师,江苏省333高层次人才,江苏省医学重点人才。


叶佳园
绍兴市上虞人民医院感染性疾病科医生
浙江省医坛
绍兴市医学会内科学青年委员、绍兴市医师协会感染科分会委员、绍兴市中西医结合学会感染病专委会委员
擅长各类急慢性肝病及不明原因发热等相关疾病
主持市级重点课题1项、厅级课题1项、参与浙江省医院协会课题1项
在Gastroenterology、Microbiology Spectrum等杂志发表SCI论文15篇,国内中华等核心期刊发表论文3篇
参考文献
Ye J, Gong Y, Zhu C. An Unusual Case of Fever and Biliary Dilatation in an Adult. Gastroenterology. 2025 Aug 5:S0016-5085(25)05838-X.
本平台旨在为医疗卫生专业人士传递更多医学信息。本平台发布的内容,不能以任何方式取代专业的医疗指导,也不应被视为诊疗建议。如该等信息被用于了解医学信息以外的目的,本平台不承担相关责任。

(本网站所有内容,凡注明来源为“医脉通”,版权均归医脉通所有,未经授权,任何媒体、网站或个人不得转载,否则将追究法律责任,授权转载时须注明“来源:医脉通”。本网注明来源为其他媒体的内容为转载,转载仅作观点分享,版权归原作者所有,如有侵犯版权,请及时联系我们。)