审校:叶伟 南京市第二医院肝硬化治疗中心
本文为作者授权医脉通发布,未经授权请勿转载。
为进一步帮助肝病科医生拓宽临床视野,培养和强化临床思维能力,南京市第二医院
本期专家团队分享一例肾囊肿和
患者37岁,女性,因“尿黄伴皮肤瘙痒2月余”于2024.12.17入院,患者2024.10左右因尿黄、肤黄伴皮肤瘙痒于当地医院住院,血清总胆红素(TBil)349.1μmol/L,直接胆红素237.2μmol/L,筛查
既往史:患者有
检验检查:生化:TB:215.0μmol/L,DB:195.8μmol/L,ALB:32.4g/L,CHE:4043U/L,ALT:22.1U/L,AST:18.1U/L,GGT:11U/L,AKP:131U/L,TBA:214.9μmol/L,FBG:11.35mmol/L,Cr:51umol/L,TG:5.76mmol/L,TC:5.42mmol/L,Mg2+:0.51mmol/L,K+:3.16mmol/L;肿瘤指标:AFP正常,异常凝血酶原 224.30μg/ml,CA199:44.20U/ml;
患者
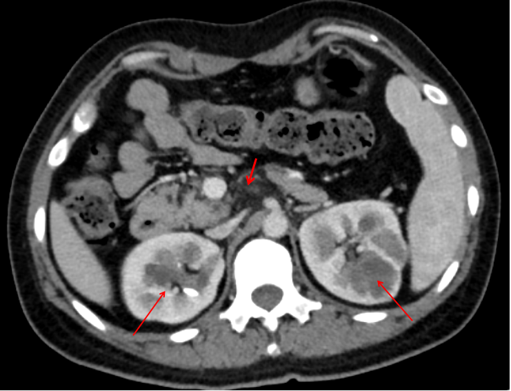
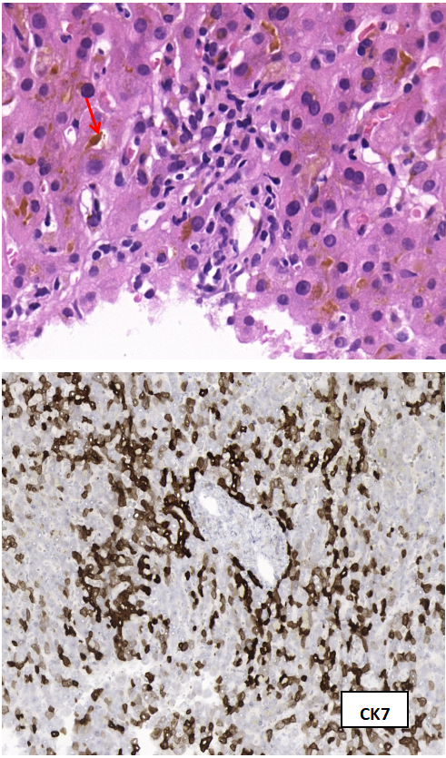
进一步查腹部增强CT示胰腺体尾部缺如;两肾多发囊肿及复杂囊肿(图1)。完善肝穿刺示肝细胞内明显胆汁淤积伴胆管缺失(图2)。结合患者病例特点:青年女性,有糖尿病、抑郁症病史,肝功能示GGT正常的胆汁淤积(TB、TBA、AKP升高)、影像学排除梗阻,查见胰腺体尾部缺如;两肾多发囊肿及复杂囊肿。检索相关文献,可能符合糖尿病肾囊肿综合征表现,该病是以“糖尿病、胰腺缺失、双肾囊肿”为主要表现的遗传代谢性疾病,可有神经精神异常,肝功能表现为胆汁淤积。遂进一步完善基因测序:测出HNF1β拷贝数缺失(17q12微缺失),系致病性变异(图3)。患者最终诊断为“肾囊肿和糖尿病综合征、胆汁淤积性肝炎、抑郁症”。分析患者此次发病,可能在肾囊肿和糖尿病综合征基础上,妊娠及药物使用诱发胆汁淤积加重。

图1

图2 肝穿刺病理:胆汁淤积伴胆管缺失(箭头:胆栓)

图3 基因测序结果
肝细胞核因子1β(HNF1β)是一种在肾脏、肝脏、胰腺和泌尿生殖道上皮细胞的发育和维持正常生理过程中发挥重要作用的转录调节因子,致病变异导致一组累及多系统并在遗传、病理和临床表型上具有复杂异质性的疾病,称为HNF1β缺陷综合征。该基因突变导致的相关疾病在1997年被首次报道,在青少年起病的成人型糖尿病(maturity-onset diabetes of the young,MODY)日本家系中被发现,后于2001年被命名为肾囊肿和糖尿病综合征(renal cysts and diabetes syndrome,RCAD),主要累及肾脏和胰腺,部分患者还有神经精神、面部、颅脑及生殖系统异常等表现。
HNF1β突变有多种核心表型,肾脏受累是最常见的核心表型,肾囊肿又是肾脏受累最常见的临床表现。神经系统受累是17q12微缺失的特征性症状,该片段缺失还包括LHX1、ACACA等基因,这些基因与
HNF1β突变还包括一些次要表型,肝功能异常是次要表型之一,典型特征是AST、AKP升高,有时伴有轻度高胆红素血症,肝脏影像学异常很少见且不具有特异性,肝活检一般缺乏特异性。
肝脏相关遗传代谢性疾病种类繁多,多为罕见,临床表现繁复,需融合实验室检查、影像学、
参考文献:
1.GAMBELLA A, KALANTARI S, CADAMURO M, et al. The Landscape of HNF1B Deficiency: A Syndrome Not Yet Fully Explored. Cells, 2023,12(2):307.
2.SNCHEZ-CAZORLA E, CARRERA N, GARCíA-GONZLEZ M. HNF1B Transcription Factor: Key Regulator in Renal Physiology and Pathogenesis. Int J Mol Sci, 2024,25(19):10609.
3.Roehlen N, Hilger H, Stock F, et al. 17q12 deletion syndrome as a rare cause for diabetes mellitus type MODY5[J]. J Clin Endocrinol Metab, 2018,103(10):3601-3610.
本平台旨在为医疗卫生专业人士传递更多医学信息。本平台发布的内容,不能以任何方式取代专业的医疗指导,也不应被视为诊疗建议。如该等信息被用于了解医学信息以外的目的,本平台不承担相关责任。本平台对发布的内容,并不代表同意其描述和观点。若涉及版权问题,烦请权利人与我们联系,我们将尽快处理。

(本网站所有内容,凡注明来源为“医脉通”,版权均归医脉通所有,未经授权,任何媒体、网站或个人不得转载,否则将追究法律责任,授权转载时须注明“来源:医脉通”。本网注明来源为其他媒体的内容为转载,转载仅作观点分享,版权归原作者所有,如有侵犯版权,请及时联系我们。)