前言
根据NCCN指南,肌层浸润性
本文报告了一例63岁男性非肌层浸润性膀胱癌患者(NMIBC),肿瘤呈HER2(3+)及PD-L1阳性,经TURBT及卡介苗(BCG)免疫治疗后复发进展为MIBC(T3b期)[1]。尽管病情复发,该患者仍坚决要求保留膀胱。在这一背景下,中国医学科学院肿瘤医院寿建忠教授团队通过调整新辅助治疗方案,最终成功为患者保留膀胱。医脉通特邀寿教授分享该病例综合治疗过程及临床启发。
患者基本信息
年龄:67岁。
性别:男性。
既往史:
既往肿瘤史:
2022年2月,因“间歇性无痛性肉眼
术前诊断为膀胱恶性肿瘤,患者于2022年2月24日于我院行TURBT,术中即刻予以
术后病理提示为高级别尿路上皮癌,无淋巴血管侵犯(LVI)或变异组织学类型,肿瘤已浸润至固有层,未累及肌层(pT1),随机活检未见原位癌(CIS);
免疫组化检测结果显示:AE1/AE3(2+)、HER2(3+)、PD-L1(22C3)(阳性,CPS:2);
术后予以规律BCG膀胱灌注治疗。
二、临床诊断
现病史(复发/进展):
病情进展(2022年5月):胸腹盆CT及
临床诊断:
结合病理学及影像学评估,诊断为膀胱癌复发伴肌层浸润(T3bN0M0)。
三、治疗过程
一、初始治疗(2022年2月)
2月24日行TURBT,术中即刻予吉西他滨灌注治疗。术后予规律BCG膀胱灌注治疗。
二、复发后治疗(2022 年 5 月起)
1、初次多学科诊疗(MDT)决策
疗效:肿块缩小至1.7×1.6 cm,但膀胱外侵犯依然存在(约1.6 cm)(图1b);
不良反应:3级全身
2、第二次MDT决策
调整依据:初次方案治疗后肿瘤有缩小,但疗效欠佳,考虑到患者强烈的保膀胱意愿以及HER2强阳性的病理结果;
调整方案:改为帕博利珠单抗(200mg d1/q3w,共3周期)联合
调整后疗效:完成2周期维迪西妥单抗治疗后,盆腔CT和MRI显示膀胱异常增厚减轻,结节缩小至0.6×0.4 cm,且膀胱外侵犯征象消失(图1c);

图1. 新辅助治疗期间膀胱壁变化的MRI随访图像。a) 治疗前膀胱癌局部复发;b) 帕博利珠单抗+吉西他滨+顺铂治疗2周期后膀胱病灶图像,显示肿瘤略有缩小;c) 帕博利珠单抗+维迪西妥单抗治疗2周期后评估图像,肿块明显缩小,膀胱外侵犯征象消失。

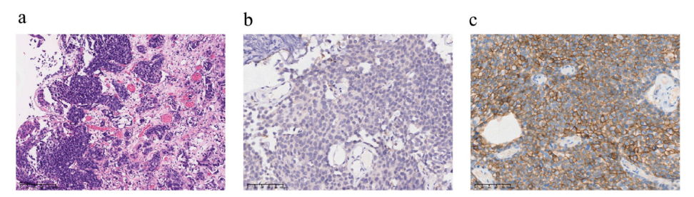
图2. 膀胱复发灶活检结果。a) 肿瘤侵犯膀胱肌层;b) 22C3抗体检测显示PD-L1阳性,CPS评分为2;c) HER2免疫组化染色强度为3+。
四、患者治疗及恢复情况
一、二次手术及后续方案确定
2022年10月8日,患者接受第二次TURBT,术后病理显示无肿瘤残留(pT0)。经 MDT 讨论并结合患者意愿,决定采取保膀胱综合治疗。
二、放化疗及不良反应处理
自2022年11月24日起,患者接受常规放疗,盆腔区域总剂量45 Gy,膀胱肿瘤区域局部加量至60 Gy,同步予以顺铂化疗(70mg d1/q3w)。治疗期间出现2级骨髓抑制(白细胞 2.73×10⁹/L,中性粒细胞 1.61×10⁹/L),经对症治疗后好转。
三、疗效评估与恢复状况
2023年2月6日-7日,胸腹盆CT、盆腔MRI、膀胱镜及尿细胞学检查均未发现肿瘤残留,患者恢复良好,无其他并发症。
五、后续随访
此后患者每3个月接受影像学、膀胱镜及细胞学复查,截至2023年8月,所有检查均未发现膀胱癌复发征象,患者无特殊不适。膀胱过度活动症评分(OABSS)为2分,提示轻度膀胱过度活动症(OAB)。患者对治疗效果满意,并签署知情同意书。治疗全过程总结于图3。

图3. 治疗重要时间线
六、结论
该病例报告中,强调肿瘤降期可作为调整新辅助治疗方案的重要指导依据。此外,成功实现肿瘤降期为MIBC采用保膀胱策略奠定了基础。据目前我们所知道的,这是首次在局部晚期膀胱癌治疗中,通过调整新辅助治疗方案,并成功实现患者膀胱保留的临床实践。
专家点评
肌层浸润性膀胱尿路上皮癌的保膀胱治疗体系中,指南推荐三联疗法(TMT)作为T2~T4a期患者的保膀胱策略,但其对于T2期肿瘤,疗效更佳,对于T3~T4a期的肿瘤,由于经尿道最大化电切无法保证完全切除肿瘤,其预后不及T2期,一旦治疗无效,可能存在进展风险,因此对于这部分患者,通过新辅助药物治疗,肿瘤降期至T1或以下,再行电切联合术后同步放化疗,可有效提高患者预后。本中心既往研究表明,通过吉西他滨联合顺铂(GC方案,吉西他滨1000 mg/m2, d1,d8 +顺铂75 mg/m2, d2)新辅助化疗2个周期,52.9%的患者可降期至T1期以下。最终,59.3%患者实现保膀胱,3年总体生存率达到88.4%,3年无瘤生存率74.3%[2]。新辅助免疫治疗的研究表明,使用帕博利珠单抗治疗,可致79%患者肿瘤降期致T1以下[3],但随后的研究并不能证实其如此高的疗效。而另一创新药物维迪西妥单抗,作为我国自主研发靶向HER2基因的ADC药物,同样展现了优秀的临床疗效。一项维迪西妥单抗联合PD-1单克隆抗体特瑞普利的II期新辅助治疗的临床试验中,MIBC患者的降期率可达75.8%(25/33,≤ypT1N0)[4-5]。
该病例中,2周期的帕博利珠单抗+GC方案,肿瘤缩小不明显,如继续原方案治疗,可能达不到明显降期的目的,经过泌尿外科、肿瘤内科、放疗科、影像科等多学科讨论,将新辅助治疗方案作了方案调整,停止化免联合方案,改为抗体偶联药物(ADC)联合免疫治疗方案。与患者充分沟通后,启用3周期帕博利珠单抗(200mg d1/q3w) +4周期维迪西妥单抗 (2mg/kg d1/q2w)。维迪西妥单抗使用后评估疗效,影像学上评估肿瘤组织明显缩小,外侵肿瘤消失。新辅助治疗完成后,TURBT术后病理提示已降期为pT0。本例通过多学科治疗,及时调整新辅助治疗方案,成功将复发T3期膀胱癌经药物治疗降期至pT0,后联合同步放化疗进行规范化综合治疗,成功达到保膀胱,生活质量未受到明显影响。从该病例的治疗角度思考,膀胱癌起始的新辅助治疗方案维持一直不变,而是否可以随着影像学的评估调整方案,是将来临床医生研究值得关注的切入点。
参考文献:
[1]Gan Du,et al. Downstaging guided neoadjuvant strategy shift and bladder preservation in locally advanced bladder cancer: A case report. Heliyon . 2024 Mar 11;10(6):e27685.
[2]Shi H, Zhang W, Bi X, Wang D, Xiao Z, Guan Y, Guan K, Tian J, Bai H, Hu L, Cao C, Jiang W, Hu Z, Zhang J, Chen Y, Zheng S, Feng X, Li C, Li Y, Ma J, Liu Y, Zhou A, Shou J. Neoadjuvant Chemotherapy-Guided Bladder-Sparing Treatment for Muscle-Invasive Bladder Cancer: Results of a Pilot Phase II Study. Cancer Res Treat. 2021 Oct;53(4):1156-1165. doi: 10.4143/crt.2020.1356. Epub 2021 Feb 10. PMID: 33592141; PMCID: PMC8524034.
[3]Li R, Nocera L, Rose KM, Raggi D, Naidu S, Mercinelli C, Cigliola A, Tateo V, Patanè D, Grass GD, Gilbert SM, Sexton WJ, Bandini M, Moschini M, Briganti A, Montorsi F, Spiess PE, Necchi A. Comparative Effectiveness of Neoadjuvant Pembrolizumab Versus Cisplatin-based Chemotherapy or Upfront Radical Cystectomy in Patients with Muscle-invasive Urothelial Bladder Cancer. Eur Urol Oncol. 2024 Jun;7(3):614-624. doi: 10.1016/j.euo.2023.12.008. Epub 2024 Jan 6. PMID: 38184473.
[4]Sheng X, Wang L, He Z, Shi Y, Luo H, Han W, Yao X, Shi B, Liu J, Hu C, Liu Z, Guo H, Yu G, Ji Z, Ying J, Ling Y, Yu S, Hu Y, Guo J, Fang J, Zhou A, Guo J. Efficacy and Safety of Disitamab Vedotin in Patients With Human Epidermal Growth Factor Receptor 2-Positive Locally Advanced or Metastatic Urothelial Carcinoma: A Combined Analysis of Two Phase II Clinical Trials. J Clin Oncol. 2024 Apr 20;42(12):1391-1402. doi: 10.1200/JCO.22.02912. Epub 2023 Nov 21. PMID: 37988648; PMCID: PMC11095880.
[5]Sheng X, Zhang C, Ji Y, Zhou L, Zou B, Huang H, Wang Y, Yang K, Bai X, Feng D, Yang Y, Bian J, Yu Z, Niu H, Du P, Fang J, He Z, Guo J. Neoadjuvant treatment with disitamab vedotin plus perioperative toripalimab in patients with muscle-invasive bladder cancer (MIBC) with HER2 expression: Updated efficacy and safety results from the phase II RC48-C017 trial. J Clin Oncol 43, 2025 (suppl 5; abstr 665)
寿建忠 教授
中国医学科学院肿瘤医院
中国医学科学院肿瘤医院 医学博士 主任医师 博士生导师
北京抗癌协会泌尿男生殖系肿瘤专委会主委
中国抗癌协会整合肿瘤肾脏病专委会副主委
中国中西医结合学会泌尿专委会肿瘤学组副组长
中国临床肿瘤学会
中国临床肿瘤学会尿路上皮癌专委会常委员
中国抗癌协会泌尿肿瘤专委会常委
北京中西医结合泌尿专委会副主委
北京肿瘤学会泌尿肿瘤专委会常委员
以通讯/第一作者(含共同)发表SCI论文50余篇,包括 Eur Urol, Lancet Discovery Science( EClinicalMedicine、 EBioMedicine), J Immunother Cancer 等杂志
撰稿:Lya
病例提供:杜淦医生
审校:寿建忠教授
排版:Lya
执行:Lya
本平台旨在为医疗卫生专业人士传递更多医学信息。本平台发布的内容,不能以任何方式取代专业的医疗指导,也不应被视为诊疗建议。如该等信息被用于了解医学信息以外的目的,本平台不承担相关责任。本平台对发布的内容,并不代表同意其描述和观点。若涉及版权问题,烦请权利人与我们联系,我们将尽快处理。
医脉通是专业的在线医生平台,“感知世界医学

(本网站所有内容,凡注明来源为“医脉通”,版权均归医脉通所有,未经授权,任何媒体、网站或个人不得转载,否则将追究法律责任,授权转载时须注明“来源:医脉通”。本网注明来源为其他媒体的内容为转载,转载仅作观点分享,版权归原作者所有,如有侵犯版权,请及时联系我们。)