医脉通-临床病例平台
患者自述呼吸急促和咳嗽约一个月,近日加重,并出现发热;近两个月有便血,同时体重减轻了10公斤。患者无吸烟史,1个月前的
入院时,患者体温为38.3˚C,
实验室检查结果如下:白细胞计数(WBC): 6910/mm3,淋巴细胞计数:1220/mm3,中性粒细胞计数:5430/mm3,
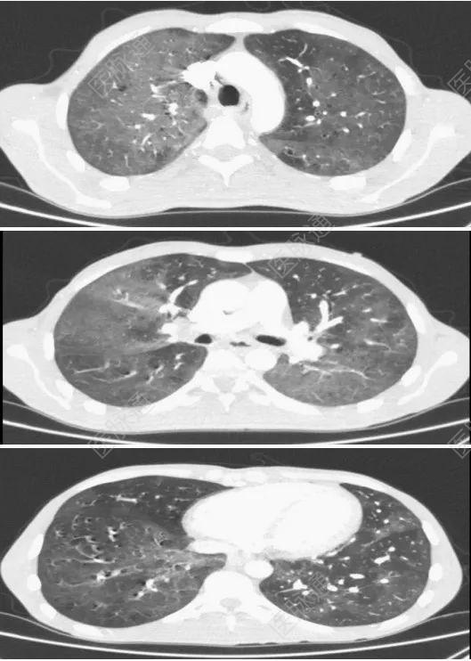
CT显示双肺弥漫性磨玻璃影,右上叶更为明显;左下区双肺局灶性实质密度差异明显;空气囊腔和隔旁

患者CT结果
医脉通是专业的在线医生平台,“感知世界医学脉搏,助力中国临床决策”是平台的使命。医脉通旗下拥有「临床指南」「用药参考」「医学文献王」「医知源」「e研通」「e脉播」等系列产品,全面满足医学工作者临床决策、获取新知及提升科研效率等方面的需求。
本平台旨在为医疗卫生专业人士传递更多医学信息。本平台发布的内容,不能以任何方式取代专业的医疗指导,也不应被视为诊疗建议。如该等信息被用于了解医学信息以外的目的,本平台不承担相关责任。本平台对发布的内容,并不代表同意其描述和观点。若涉及版权问题,烦请权利人与我们联系,我们将尽快处理。

(本网站所有内容,凡注明来源为“医脉通”,版权均归医脉通所有,未经授权,任何媒体、网站或个人不得转载,否则将追究法律责任,授权转载时须注明“来源:医脉通”。本网注明来源为其他媒体的内容为转载,转载仅作观点分享,版权归原作者所有,如有侵犯版权,请及时联系我们。)