
医脉通-临床病例平台
患儿,女,6岁,既往体健,因进行性全身性腹痛伴
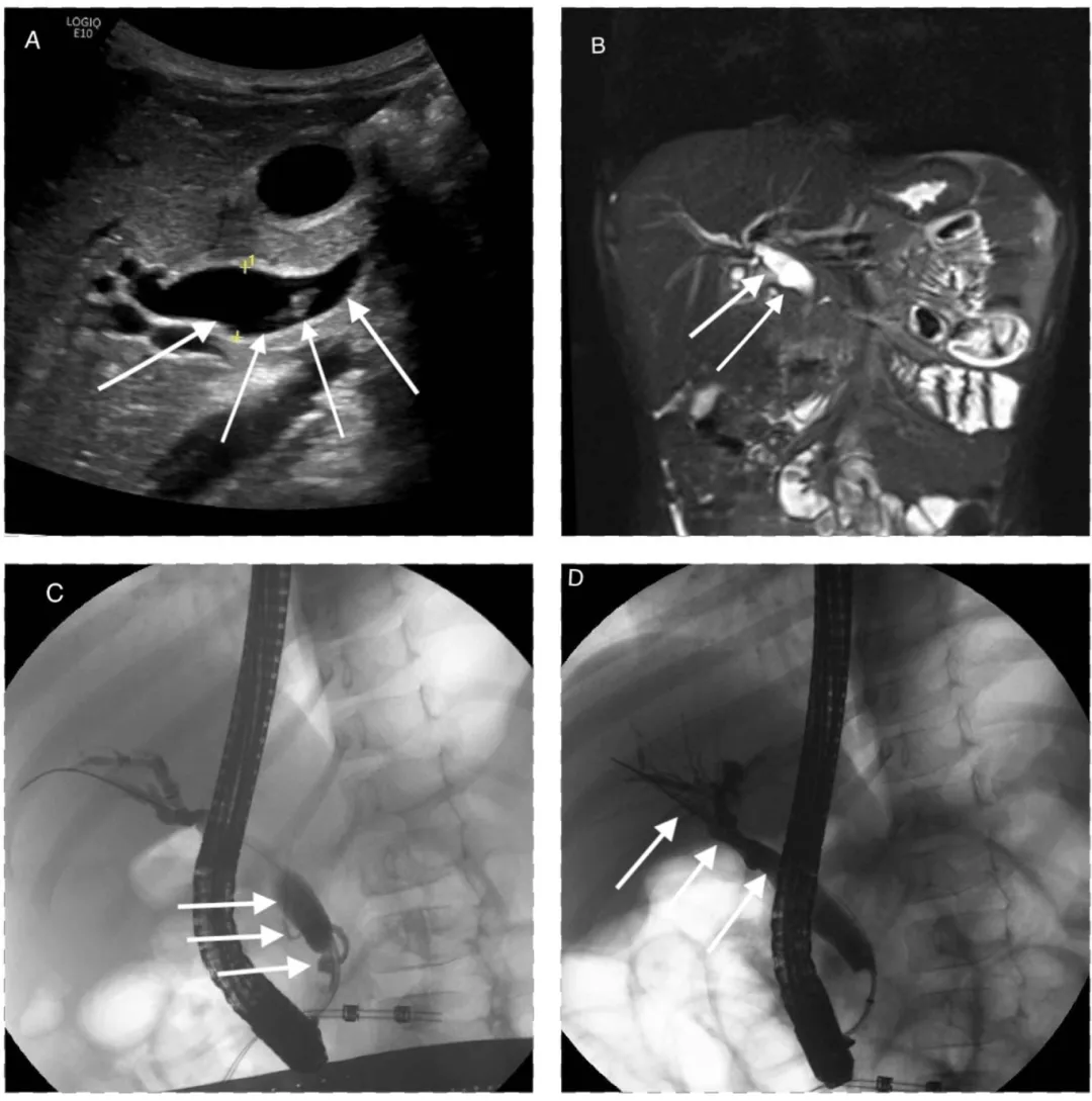
初步实验室检查:脂肪酶显著升高至3197 U/L,总胆红素1.4 mg/dL,AST 317 U/L,ALT 682 U/L,WBC 11.2 × 103 cells/mm3,Hgb 14.2 g/dL。右上腹超声检查:胰腺弥漫性增大伴胰周
图1
你考虑哪些疾病?
欢迎到医脉通病例平台发表你的观点,共同讨论病例~
点击【阅读原文】直达病例原帖!
医脉通是专业的在线医生平台,“感知世界医学
本平台旨在为医疗卫生专业人士传递更多医学信息。本平台发布的内容,不能以任何方式取代专业的医疗指导,也不应被视为诊疗建议。如该等信息被用于了解医学信息以外的目的,本平台不承担相关责任。本平台对发布的内容,并不代表同意其描述和观点。若涉及版权问题,烦请权利人与我们联系,我们将尽快处理。

(本网站所有内容,凡注明来源为“医脉通”,版权均归医脉通所有,未经授权,任何媒体、网站或个人不得转载,否则将追究法律责任,授权转载时须注明“来源:医脉通”。本网注明来源为其他媒体的内容为转载,转载仅作观点分享,版权归原作者所有,如有侵犯版权,请及时联系我们。)