作者:阚延婷 南京市第二医院肝病一科
审校:吴卫峰 南京市第二医院肝病一科
叶伟 南京市第二医院
本文为作者授权医脉通发布,未经授权请勿转载。

为进一步帮助肝病科医生拓宽临床视野,培养和强化临床思维能力,南京市第二医院杨永峰教授应邀医脉通肝病科联合南京市第二医院肝病科专家共同打造“病例集萃”专栏。本专栏旨在分享专家团队临床实践中的疑难及经典病例,通过病例深入剖析,重点梳理诊疗思路,讲解关键的临床决策过程,为临床实践注入活力,以供广大临床医生参考。
本期专家团队分享一例
患者女,38岁,因“乏力、纳差、尿黄50天”入院。患者2023年11月23日当地医院查肝功能:总胆红素:160.6umol/L,直接胆红素:86umol/L,白蛋白:25.6g/L,谷丙转氨酶:156U/L,谷草转氨酶:287U/L,谷氨酰转肽酶:102U/L,碱性磷酸酶:143U/L;凝血酶原活动度35%;排除嗜肝病毒感染,常规予保肝、退黄等对症治疗,胆红素消退不理想,为进一步治疗至我院。既往无慢性病史,无家族遗传病及肝病史。
入院查:凝血功能:凝血酶原时间:22.60秒,凝血酶原活动度:31.8%;肝功能:总胆红素:173.8umol/L,直接胆红素:119.6umol/L,白蛋白:26.2g/L,谷丙转氨酶:134.5U/L,谷草转氨酶:183.0IU/L,谷氨酰转肽酶:107.9U/L,碱性磷酸酶:102.0U/L,免疫球蛋白G:26.9g/L↑;
患者目前急性发病,病因不明,查抗核抗体阳性,青年女性,免疫球蛋白G高,是否为自身免疫性肝炎?铜蓝蛋白降低,尿铜增高,是否为

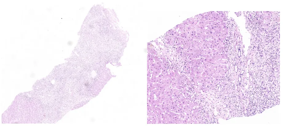
肝脏病理:肝小叶结构中-重度紊乱,局灶形成假小叶,小叶内肝细胞浊肿、变性及多个碎片状及融合性坏死,中度界板炎,汇管区-汇管区及汇管区-中央静脉之间融合性坏死及纤维化。
全外显子基因测序结果:未检出与受检者临床信息相关的致病性变异、疑似致病性变异。
根据基因检测结果,不考虑肝豆状核变性,排除
肝豆状核变性任何年龄均可发病,临床表现多样,肝脏受累的表现可有无症状、急性肝炎、急性
自身免疫性肝炎临床表现不典型,诊断依赖病理,可有基本病理特征为界面炎、玫瑰花结、淋巴
本病例血清学检查有免疫球蛋白升高,铜蓝蛋白降低,24h尿铜增高,肝穿刺病理大片融合坏死、界面炎,从目前这些检查仍难以完全鉴别肝豆状核变性与自身免疫性肝炎,最后依据基因检测结果从而排除肝豆状核变性,明确自身免疫性肝炎诊断。
➤对于不明原因肝衰竭的成年患者,需考虑有肝豆状核变性可能,行铜蓝蛋白及24h尿铜筛查;
➤铜蓝蛋白降低与24h尿铜增加难以明确诊断肝豆状核变性,需结合基因检测结果综合判断;
➤自身免疫性肝炎与肝豆状核变性肝脏病理表现多样。
参考文献:
1. Guindi M.Wilson disease[J],Semin Diagon Pathol,2019,36(6):415-422.
2. 中华医学会肝病学分会遗传代谢性肝病协作组,肝豆状核变性诊疗指南2022[J],中华肝脏病,2022,30(1):9-20.
3. Takahashi A,Arinaga-Hino T,Ohira H,et al.Autoimmune hepatitis in Japan:trends in a nationwide survey[J].J Gastroenterol,2017,52(5):631-640.
本平台旨在为医疗卫生专业人士传递更多医学信息。本平台发布的内容,不能以任何方式取代专业的医疗指导,也不应被视为诊疗建议。如该等信息被用于了解医学信息以外的目的,本平台不承担相关责任。本平台对发布的内容,并不代表同意其描述和观点。若涉及版权问题,烦请权利人与我们联系,我们将尽快处理。

(本网站所有内容,凡注明来源为“医脉通”,版权均归医脉通所有,未经授权,任何媒体、网站或个人不得转载,否则将追究法律责任,授权转载时须注明“来源:医脉通”。本网注明来源为其他媒体的内容为转载,转载仅作观点分享,版权归原作者所有,如有侵犯版权,请及时联系我们。)