

作者:墨规池
本文为作者授权医脉通发布,未经授权请勿转载

前言
在体检中心的CT室里,一张影像报告单常常成为许多人健康轨迹的转折点。“肺部发现结节”这一行简短的描述,对于一位有长期吸烟史的人来说,足以在心中掀起惊涛骇浪。既往没有任何咳嗽、胸痛或气促的症状,使得这个发现更像一个“无声的警报”。它仿佛在平静的湖面投下一颗石子,涟漪直指一个令人恐惧的名词:肺癌。本文分享一例长期吸烟者体检发现肺结节并最终确诊为肺癌的临床病例,梳理其诊疗经过,探讨早期筛查在肺癌防治中的关键意义,并为类似情况的管理提供参考。
患者基本情况
患者,王XX,男,56岁,主因“体检发现肺结节1月”入院。
现病史:患者1月前体检查胸部CT示左肺上叶结节(未见报告),体检中心建议进一步检查,今为进一步诊治收入我科。目前患者精神状态良好,体力正常,饮食正常,睡眠正常,体重无明显变化,大便正常,排尿正常。
既往史:既往体健,吸烟30包年。
查体:体温:36℃,脉搏:82次/分,呼吸:18次/分,血压:120/86mmHg,身高:178cm,体重:74kg,BMI:23.4kg/m2。左侧锁骨上可触及1枚蚕豆大小肿大淋巴结,无触痛,不固定,双肺呼吸音清,未闻及明显干湿性啰音。
初步诊断:肺结节。
完善相关检查
血气分析:PH 7.36、PCO2 45.0mmHg、PO2 89.0mmHg。
血常规:白细胞总数9.27 x 109/L,粒细胞百分比70.0%,血红蛋白134.0g/L,血小板计数182 x 109/L。
感染指标:血沉15mm,CRP 5.4mg/L,G实验阴性,曲霉菌半乳甘露聚糖检测阴性,T-SPOT阴性。
肿瘤标志物:癌胚抗原 136.0ng/mL(参考值≤5ng/ml),余项未见异常,肺癌基因甲基化检测阴性。
生化:肝肾功、离子等未见异常。
风湿组合、抗核抗体谱未见异常。
凝血功能、尿常规、便常规、传染四项未见异常。
心脏指标:肌钙蛋白
颈部淋巴结超声:左侧锁骨上多发淋巴结异常肿大,建议进一步检查。
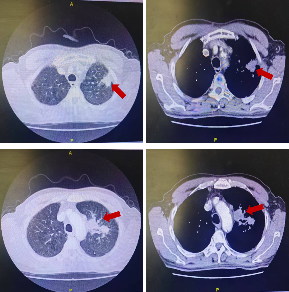
胸部增强CT:左肺上叶见两处肿物影,可见分叶、毛刺、胸膜凹陷征象,可见强化;纵隔内、左肺门区见增大淋巴结,部分融合。

病情分析
患者因体检行胸部CT发现左肺上叶结节。对于肺部结节需要鉴别炎症、结核和肿瘤。
炎症所致结节直径可小于或大于3cm,外形通常呈圆形或椭圆形,边缘模糊,结节内部常伴有不规则的低密度区域,周围无卫星病灶,临床上可有发热等感冒中毒症状。纵膈淋巴结不大。抗感染治疗有效,抗结核治疗无效。
结核所致结节直径一般小于3cm,其中可见钙化点,周围有卫星病灶,可见条索状、斑点状阴影,临床上一般有低热、盗汗等结核中毒症状。纵膈淋巴结不大。抗结核治疗有效,抗感染治疗无效。
肿瘤所致结节直径一般大于3cm,其中一般无钙化点周围无卫星病灶,临床上一般无低热、盗汗等结核中毒症状,但可出现消瘦。纵膈淋巴结常见肿大。抗感染、抗结核治疗均无效。
该患者血CEA显著升高,淋巴结超声提示左侧锁骨上肿大淋巴结,胸部CT提示左肺上叶见两处肿物影,可见分叶、毛刺、胸膜凹陷征象,可见强化,纵隔内、左肺门区见增大淋巴结,部分融合,考虑肺部肿瘤可能性大。病理诊断是上述疾病鉴别的金标准,同时对于肿瘤的诊断需明确病理类型。请外科评估是否可行锁骨上淋巴结活检,行气管镜检查了解气道内情况,行PET-CT明确是否存在远处转移。
进一步检查
电子支气管镜:左肺上叶固有支前段开口狭窄,12点位可见一结节样隆起,表面不光滑,白色坏死物覆盖。左肺上叶固有支前段刷检,送病理。左上叶固有支前段开口活检组织4块,送病理。
气管刷病理(左肺上叶有支前段):可见恶性肿瘤细胞,符合分化差的癌细胞,腺癌细胞可能。
气管镜活检病理(左肺上叶开口活检组织):被覆假复层纤毛柱状上皮的黏膜组织显慢性炎,上皮增生伴鳞化,黏膜下见软骨及少许黏液腺体。未见肿瘤性病变。
左颈部肿大淋巴结手术活检病例:淋巴结内见低分化腺癌转移(1/2)。免疫组化提示CK7(+),TTP-1(-),p40(-),K1-67(+35%),Napsin A(-),p63(-),CX5/6(-)。
全身PET-CT:扫描范围内未见明确转移征象,请结合临床。
进一步分析
患者气管镜于左肺上叶刷检查见恶性肿瘤细胞、符合分化差的癌细胞、腺癌细胞可能,左侧颈部淋巴结活检病理提示低分化腺癌转移。诊断为左肺恶性肿瘤(腺癌T3N3M0 IIIC期)。对于IIIC期肺腺癌,属于不可手术的局限晚期非小细胞肺癌[1]。对于该期患者推荐同步放化疗后度伐利尤单抗巩固治疗,同步或序贯放化疗后舒格利单抗巩固治疗。向患者及其家属充分告知病情和治疗方案后,家属谢绝行基因检测、免疫治疗、放疗,同意全身化疗,采用“卡铂+培美曲塞”全身化疗。目前随访中。
面对肺结节,恐慌无济于事,只有科学的认知和积极的应对才是关键。以下我们从三个方面进行深入剖析。
胸部CT肺结节分类[2]:
我们需要了解肺结节是什么。它通常是影像学上的一个描述,指在肺实质内、不属于正常肺组织的“小团块”,直径通常≤30mm。通常根据CT影像,从多个维度对结节进行精细分类,这是评估其风险的第一步。
01
按数量分类:
孤立性结节:只有一个。大部分为良性,但需重点评估。
多发性结节:两个及以上。需考虑多种可能,如转移瘤、感染、炎症等,评估更为复杂。
02
按大小分类:
微小结节:直径
小结节:直径5~10mm。需结合形态特征综合判断,恶性概率有所上升。
结节:直径10~30mm。恶性概率显著增高,是临床关注的重点。
03
按密度分类(这是CT评估的核心):
实性结节:在CT上呈现为白色、不透明的致密阴影,能够完全掩盖其背后的支气管和血管纹理。类似于一颗小石子,边界清晰。对这类结节的大小测量和增长观察相对容易。
亚实性结节:这是一个需要高度警惕的类别,它又分为两种:
纯磨玻璃结节:像一小片磨砂玻璃,呈现为淡淡的、云雾状的阴影,但其内的支气管和血管轮廓依然隐约可见。它通常代表肺泡壁的轻度增厚或细胞增生,可能是不典型腺瘤样增生或原位腺癌。
部分实性结节:又称混合磨玻璃结节。它兼具磨玻璃成分和实性成分,像是“磨玻璃背景上出现了实心点”。这个“实性成分”往往是肿瘤细胞增殖密集的区域,侵袭性更强。这是所有类型中恶性概率最高的一类,尤其需要警惕。
04
按边缘特征分类:
良性征象:边缘光滑、清晰,有钙化(特别是分层、爆米花样的钙化)。
恶性征象:边缘不规则,呈分叶状、毛刺征(像太阳光芒一样伸出许多小刺)、胸膜牵拉(结节牵拉邻近的胸膜)、血管集束征(周围血管向结节聚集)。
什么样的肺结节容易恶变[3]?
较大的结节:直径越大,风险越高。通常以8mm作为一个关键临界点,>8mm的结节需要更加密切的随访或积极干预。
持续存在的亚实性结节:磨玻璃结节如果经过一段时间(如3个月)的随访后没有消失甚至持续存在,则高度提示为肿瘤性病变。
动态观察中进展的结节:这是非常关键的指标。如果在随访复查中,结节出现以下变化,则恶性的可能性极大:
体积增大:实性结节直径增长≥2mm,或体积倍增时间(VDT)在20-400天之间(良性炎症VDT常400天)。
密度增高:磨玻璃结节内出现实性成分,或实性成分增多、变大。
出现新的恶性征象:如原本光滑的边缘出现分叶或毛刺。
发现肺结节后应该如何应对?
一旦发现肺结节,切勿病急乱投医或过度焦虑。科学的应对流程如下:
第一步:专业解读,首次评估是关键
立即携带CT影像寻求胸外科、呼吸与危重症医学科或肿瘤科医生的专业诊断。有经验的医生会综合结节的大小、密度、形态、位置以及你的个人风险因素(吸烟史、年龄等),给出一个初步的风险评级(如低危、中危、高危)。
第二步:个体化随访[4]
对于低危结节(如
对于中危结节(如6~8mm的实性结节或5~10mm的磨玻璃结节):可能会建议6-12个月后复查CT,若稳定则延长至年度复查。
对于高危结节(如>8mm的实性结节、>10mm的磨玻璃结节、或具有恶性征象的结节):可能会建议3-6个月短期复查,或进一步进行增强CT、PET-CT等功能影像学检查,评估结节的代谢活性。
第三步:生活方式干预
戒烟是重要且有效的干预措施。戒烟不仅能降低现有结节恶变的风险,更能显著降低再发新结节和新癌症的风险。任何时候戒烟都不晚。
避免二手烟和环境污染(如雾霾天戴口罩,减少厨房油烟吸入)。
保持健康饮食、适度锻炼、良好心态,增强自身免疫力。
第四步:适时干预,微创手术是首选
如果在随访中结节出现上述“进展”表现,或医生高度怀疑为恶性,则建议胸腔镜微创手术切除。
总结
参考文献:
[1]中国临床肿瘤学会(CSCO)非小细胞肺癌诊疗指南 2025.
[2]李东航,吴江宇,焦鹏,等.肺结节的筛查与随访[J].中华全科医师杂志, 2024, 23(11): 1138-1145.
[3]中华医学会呼吸病学分会, 中国肺癌防治联盟专家组. 肺结节诊治中国专家共识(2024年版)[J].中华结核和呼吸杂志, 2024,47(8): 716-729.
[4]Jhala K, et al. Interpreting Lung Cancer Screening CTs: Practical Approach to Lung Cancer Screening and Application of Lung-RADS. Clin Chest Med. 2024;45(2):279-293.
审校:Squid
排版:Squid
执行:Aurora
医脉通是专业的在线医生平台,“感知世界医学脉搏,助力中国临床决策”是平台的使命。医脉通旗下拥有「临床指南」「用药参考」「医学文献王」「医知源」「e研通」「e脉播」等系列产品,全面满足医学工作者临床决策、获取新知及提升科研效率等方面的需求。
本平台旨在为医疗卫生专业人士传递更多医学信息。本平台发布的内容,不能以任何方式取代专业的医疗指导,也不应被视为诊疗建议。如该等信息被用于了解医学信息以外的目的,本平台不承担相关责任。本平台对发布的内容,并不代表同意其描述和观点。若涉及版权问题,烦请权利人与我们联系,我们将尽快处理。

(本网站所有内容,凡注明来源为“医脉通”,版权均归医脉通所有,未经授权,任何媒体、网站或个人不得转载,否则将追究法律责任,授权转载时须注明“来源:医脉通”。本网注明来源为其他媒体的内容为转载,转载仅作观点分享,版权归原作者所有,如有侵犯版权,请及时联系我们。)