作者:墨规池
本文为作者授权医脉通发布,未经授权请勿转载
前言
Smarca4缺失型非小细胞肺癌是肺癌的一种罕见亚型,侵袭性强、易误诊且治疗难度大。本文分享一例诊断过程极为曲折的病例,患者初诊为小细胞肺癌,但常规化疗后病情迅速进展。通过对胸水的深入病理分析,结合免疫组化BRG1缺失这一关键线索,最终修正诊断为侵袭性强、易误诊的Smarca4缺失型非小细胞肺癌。该病例完整呈现了从疑点浮现到诊断拨乱反正的全过程,为该类少见肺癌的诊疗提供参考。
患者,郭xx,男,70岁,主因“
现病史:
患者20天前无明显诱因咳嗽、咳少量白色痰液,夜间咳嗽明显,咳嗽前无鼻后滴漏感、无反酸、恶心,无
既往史:既往体健,吸烟14包年。
查体:体温:36.7℃,
完善相关检查:
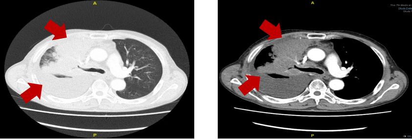
胸部增强CT:右肺中叶、肺门周围见大片软组织密度,强化不均匀,右肺支气管壁明显不规则增厚,管腔部分变窄、闭塞,纵隔内见多发肿大融合淋巴结,右侧

浅表淋巴结超声:右侧锁骨上淋巴结肿大,约1.2 x 0.9cm。
PET-CT:全身诸骨骨盐代谢未见明显转移征象。
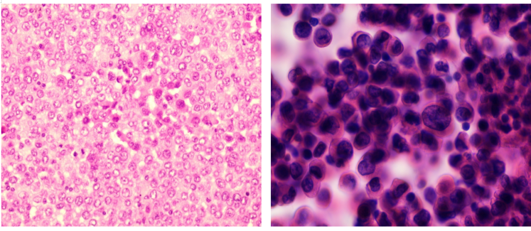
病理:HE染色显示上皮下可见挤压的异性上皮细胞和低分化细胞。

免疫组化(IHC)染色:CK7(+),TTF-1(-),Napsin A(-),p63(-),CgA(-),Syn(+),CD56(-),p40(-),Ki-67(约70%+),PD-L1(SP263)(肿瘤细胞约10%+)。

病情分析:患者病理和IHC结果与小细胞神经内分泌癌相符。结合临床表现、实验室检查、影像学及病理资料,最终诊断为右侧小细胞肺癌(SCLC)(T4N3M1,IV期)。IV期SCLC治疗以化疗为主,采用
病情变化:患者经历2个周期EP方案化疗后,咳嗽、咳痰较初次发病明显加重,自觉活动后胸闷、气短。返院后复查。
肿瘤标志物:CEA 1645ng/mL,较前增高。
胸部增强CT:右肺上叶、中叶及肺门周围软组织密度影范围增大,纵隔内见多发肿大融合淋巴结,心包积液,右侧胸腔大量积液。

浅表淋巴结超声:双侧锁骨上淋巴结肿大,右侧约1.3 x 0.9cm,左侧约0.8 x 0.5cm,淋巴结增大且左侧转移,考虑肺恶性肿瘤进展。
临床处置:先行
胸水:CEA 13992ng/mL
胸水HE染色:见分化差的癌细胞,倾向于分化差的腺癌。

胸水免疫细胞化学染色:CK7(+),TTF-1(-),Ber-EP4(+),Syn(+),INI-1(+),BRG1(-),考虑Smarca4缺失型非小细胞肺癌(Smarca4-dNSCLC)。

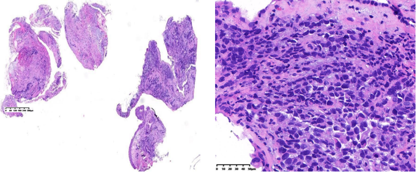
再次行支气管镜检查:镜下见右肺上叶、中叶干、下叶可见大量小结节样凸起,黏膜凹凸不平,右肺中叶开口狭窄,气管镜无法窥入,于右肺中叶开口取活检
病理: HE染色显示支气管黏膜内见分化差的癌浸润,部分组织挤压明显,细胞形态难以辨认。

IHC染色:CKpan (+),CK7(+),BRG1(-),TNI-1(+),Syn(+),CgA(-),TTF-1(-),p40(-),LCA(-),Ki-67(+75%),PD-L1(SP263)(TC:1%)。

分子病理检查结果FAJJY-肺癌九基因联合检测均未见突变。
再次病情分析:患者血CEA、胸水CEA显著升高,恶心胸腔积液和心包积液较初次发病明显增加,双侧锁骨上淋巴结肿大,肺部病灶进展,治疗无效,第1次诊断右侧SCLC存疑,本次胸水病理和气管镜活检病理均提示Smarca4-dNSCLC。更正诊断为右侧Smarca4-dNSCLC(T4N3M1 IV期)。
病例讨论
Smarca4基因位于
Smarca4-dNSCLC约占NSCLC的10%[6-7],其特点是表现为侵袭性强,易与SCLC混淆[8]。本病例初诊为SCLC,化疗后症状加重,诊断更正为Smarca4-dNSCLC。此亚型以男性吸烟者为主,常表达Syn,TTF1阴性提示分化更差或趋于未分化癌,侵袭性强,治疗难度大,预后差,目前临床上缺乏标准治疗方案。
(本网站所有内容,凡注明来源为“医脉通”,版权均归医脉通所有,未经授权,任何媒体、网站或个人不得转载,否则将追究法律责任,授权转载时须注明“来源:医脉通”。本网注明来源为其他媒体的内容为转载,转载仅作观点分享,版权归原作者所有,如有侵犯版权,请及时联系我们。)