前言
肺腺癌是非小细胞肺癌中最常见的类型,多起源于肺外周腺体组织。患者常为当前或既往吸烟者,表现为
患者基本信息
84岁女性患者,因“流感疫苗接种后出现干咳、
初步检查
体格检查:肺部听诊示双肺下叶湿啰音,心音听诊示柔和收缩期喷射性杂音。
实验室检查:
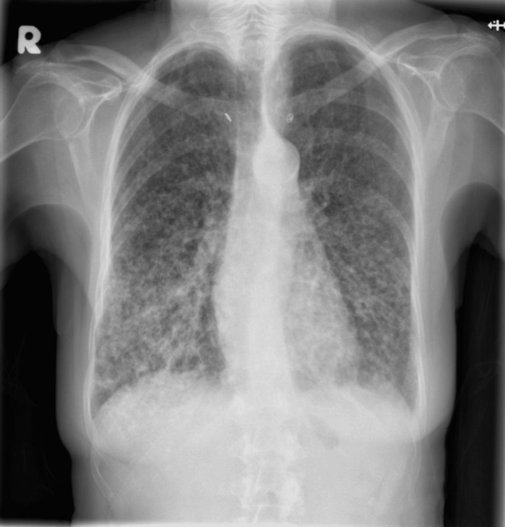
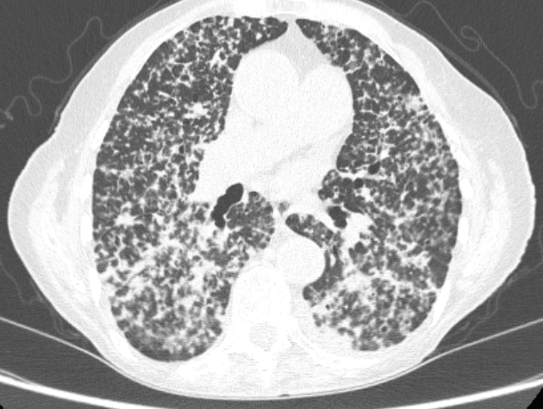
影像学检查:胸部X线提示双肺纤维化改变(图1);胸部CT显示双肺多发小叶中心性结节,以支气管血管周围、裂周和胸膜下区域为主,下叶为著(图2)。

图1 首次就诊时的胸部X线检查

图2 胸部CT
随访与初步诊疗
在呼吸科随访中,结合鸟类接触史及影像学表现,初步诊断为慢性过敏性肺炎,予泼尼松30 mg/日治疗。同步完善相关检查:
特异性检测:禽源沉淀素检测阴性,结缔组织病筛查(抗核抗体、抗中性粒细胞胞浆抗体等)均无异常。
多学科(MDT)讨论:肺科MDT团队讨论认为,虽已启动过敏性肺炎治疗,但需排除其他病变。
疾病进展与复诊
初诊2个月后,患者因呼吸困难加重、需持续吸氧(5L/min)再次入院。
实验室检查:
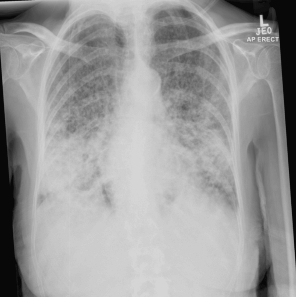
影像学检查:复查胸片示双肺弥漫性斑片状浸润影较前进展,以中下部肺野为主,背景伴多发结节影(图3)。

图 3 就诊后两个月胸部 X 线检查
治疗:予静脉注射
确诊过程
因患者对免疫抑制治疗无反应,高度怀疑恶性肿瘤,经肺科MDT再次讨论后,行支气管镜下
病理诊断:活检组织示破碎的腺癌细胞巢,呈鳞屑样和乳头状生长模式,为黏液型,符合原发性肺腺癌特征。
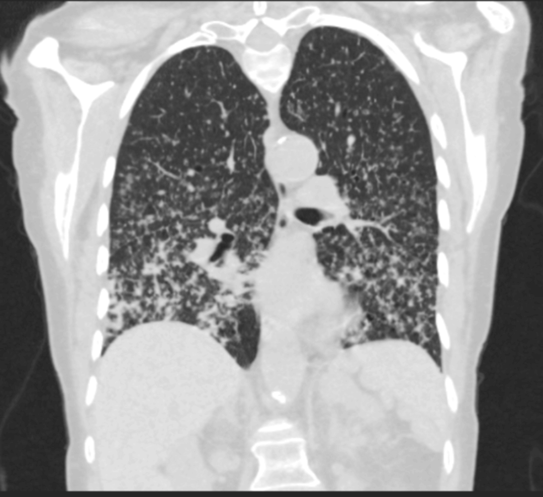
分期检查:胸部CT分期示双侧肺内多叶受累,诊断为T4N0M1a期肺腺癌(图4)。

图4 再次胸部 CT
转归:患者在重症监护室治疗2周后,因病情持续恶化死亡。
讨论
1.
过敏性肺炎是由反复吸入环境抗原致敏引发的免疫介导性肺实质炎症,临床表现与疾病进程具有异质性。一项回顾性研究显示,慢性过敏性肺炎患者中肺癌患病率达10.6%,其中以
肺腺癌作为非小细胞肺癌最常见的亚型,约占肺癌总数的半数以上,起源于腺上皮组织,虽与吸烟密切相关,但在年轻女性及亚裔人群中患病率亦呈上升趋势。该肿瘤早期多无症状,部分可偶然发现,晚期则常表现为咳嗽、气短、体重下降等非特异性症状,全球年死亡率超百万。本例患者为终身不吸烟者,无肺癌典型危险因素,且初始表现为流感疫苗接种后呼吸道症状,进一步增加了诊断难度。
2. 诊断难点与鉴别要点
临床与影像学重叠:ILD与肺癌的临床表现及影像学特征存在重叠,是导致诊断困难的核心原因。本例患者初始胸部X线及HRCT均提示弥漫性实质性肺疾病,需与
诊断手段的局限性与互补性:目前HRCT是ILD诊断与监测的核心手段,但单独使用不足以鉴别纤维化与肿瘤。PET/CT通过代谢成像可提高ILD患者恶性病变的检出敏感性与特异性,甚至能发现HRCT上无异常表现的恶性病灶,在活检高风险或诊断不明的病例中可作为更安全的替代检查。研究发现,IPF患者HRCT显示正常的肺组织区域在PET上可出现FDG摄取增高,提示代谢成像可能早于结构成像发现肿瘤。此外,影像组学作为一种定量成像技术,可通过HRCT数据分层IPF患者的肺癌风险,为个体化筛查提供依据。
3. 诊疗启示与临床建议
强化鉴别诊断意识:本例患者初始按过敏性肺炎治疗后病情持续恶化,提示临床中对ILD治疗无应答或病情进展的患者,需保持对恶性肿瘤的高度警惕,即使无吸烟史等典型危险因素,仍需纳入鉴别诊断。
重视组织病理学诊断:影像学检查的局限性凸显了组织活检在疑难病例中的必要性。尽管CT引导下经皮肺穿刺活检对IPF患者的诊断敏感性与特异性分别可达90%、84%,但并发症发生率高达12%,且34%的病例诊断无果,加之IPF患者活检存在
优化诊疗策略:目前指南尚未推荐对ILD患者进行常规肺癌筛查,但鉴于其高风险特征,需探索更高效的筛查方案。PET/CT与影像组学技术的发展为早期诊断提供了新方向,未来可通过整合多模态影像学技术、生物标志物检测等手段,建立个体化诊疗路径,降低ILD患者肺癌的漏诊与误诊率。
总体而言,本病例凸显了肺腺癌与ILD鉴别诊断的复杂性,尤其对于表现为非特异性呼吸道症状且影像学提示间质改变的患者。即使初始按过敏性肺炎治疗,若病情无改善仍需警惕恶性肿瘤可能,组织病理学检查是明确诊断的关键。临床实践中需保持广泛的鉴别诊断思维,重视非吸烟人群的肺癌风险,通过优化诊断策略与完善指南推荐,减少ILD患者中肺癌的诊断延迟。
(本网站所有内容,凡注明来源为“医脉通”,版权均归医脉通所有,未经授权,任何媒体、网站或个人不得转载,否则将追究法律责任,授权转载时须注明“来源:医脉通”。本网注明来源为其他媒体的内容为转载,转载仅作观点分享,版权归原作者所有,如有侵犯版权,请及时联系我们。)