患者,男性,26 岁,既往健康,因脐周疼痛3天,疼痛逐渐转移到右侧腹,伴恶心、食欲不振,就诊于急诊科。
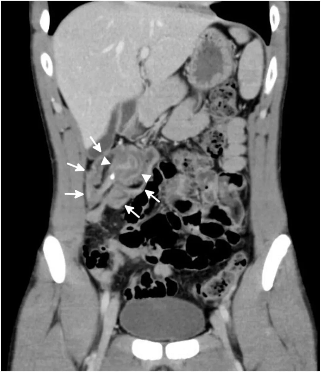
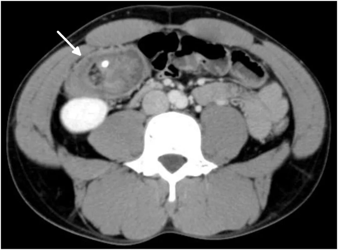
体格检查发现右下腹有明显压痛。患者生命体征在正常范围内,但实验室检查显示白细胞增多(白细胞计数 10100/μL,中性粒细胞占85%)。计算机断层扫描(CT)显示盲肠内陷升结肠引起的阑尾肠套叠(图1、2)。该套叠的头部为一个增大的阑尾,其中包含一枚阑尾粪石。

图1 腹部及

图2 腹部及盆腔CT检查(冠状位)显示盲肠(箭标所示)套入升结肠(箭头所示)。
诊断:
治疗:
患者接受了
肠套叠是指胃肠道近端肠段套入相邻肠段肠腔内的现象。此病在儿童中较为常见,典型表现为腹痛性绞痛、血便和可触及的压痛性包块三联征。肠套叠在成人中较为少见,仅占机械性
手术是治疗成人肠套叠的确定性方法。对所有怀疑为恶性肿瘤的病例,均应遵循肿瘤原则进行规范的肠切除术。对于良性病变,试行套叠肠管复位是安全的,目的在于限制切除范围或在特定情况下避免短肠综合征。
(本网站所有内容,凡注明来源为“医脉通”,版权均归医脉通所有,未经授权,任何媒体、网站或个人不得转载,否则将追究法律责任,授权转载时须注明“来源:医脉通”。本网注明来源为其他媒体的内容为转载,转载仅作观点分享,版权归原作者所有,如有侵犯版权,请及时联系我们。)