本例患者以快速进展的低氧性
病例介绍
一、患者基本信息
患者,女性,74岁。
二、入院检查
体格检查
体温38.5℃,心率74次/分,血压96/55mmHg,吸氧1L/min条件下血氧饱和度90%。双肺可闻及散在湿啰音。未见技工手、Gottron丘疹或明确肌无力表现,其余体格检查未见明显异常。
实验室检查
白细胞计数6.5×10⁹/L(正常范围3.5–9.5×10⁹/L)
C反应蛋白轻度升高至19.7mg/L(正常<6mg/L)
肝肾功能正常
动脉血气(空气吸入):pH 7.44,PaCO₂ 35mmHg,PaO₂ 56mmHg
多项呼吸道病原体PCR检测阴性(包括SARS-CoV-2、甲/乙型流感病毒及呼吸道合胞病毒)
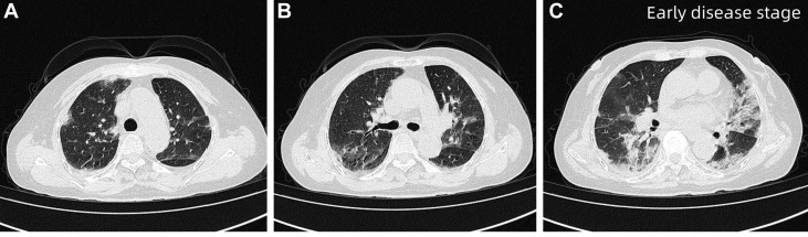
入院时行高分辨率CT(HRCT),显示双肺弥漫性斑片状致密影,边缘模糊,以双下肺为主,局部可见空气支气管征,提示急性弥漫性肺实质受累。

图1 患者入院时HRCT,双肺弥漫性斑片状致密影,边缘模糊,双肺下叶为主要受累区域,局部可见空气支气管征
初始治疗调整及病情变化
经验性抗感染方案调整为
住院第2天需鼻导管吸氧5L/min;第4天升级为高流量吸氧(FiO₂ 50%,45L/min),同日下午需无创通气(FiO₂ 60%);第7天低氧进一步恶化,无创通气FiO₂升至100%。

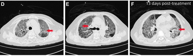
图2 患者住院第13天HRCT 图像,显示双肺弥漫性磨玻璃影伴部分实变(红色箭头),以双肺下叶为主,可见局部空气支气管征及双侧胸腔积液(右侧更为明显)
经过超过1个月的治疗后,患者呼吸困难较前改善,但未完全缓解。复查HRCT显示双肺弥漫性斑片状磨玻璃影伴小叶间隔增厚,呈“铺路石样”改变,并见局部空气支气管征。鉴于治疗改善不足,患者在行鼻导管吸氧(3L/min)的同时进一步行

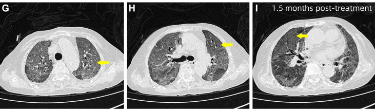
图3 患者治疗1个多月后HRCT,显示双肺弥漫性斑片状磨玻璃影伴小叶间隔增厚,呈铺路石样改变(黄色箭头)

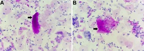
图4 PAS染色阳性
当患者可在鼻导管吸氧条件下维持血氧饱和度时,逐渐发现四肢肌力下降、颈部肌无力,并出现

图5 肱二头肌活检:A. H-E染色,显示炎症细胞浸润(白色箭头)及肌纤维变性坏死(黑色箭头);B 为
三、最终诊断
抗合成酶综合征相关间质性肺疾病(ASS-ILD)
炎症性肌病
四、治疗及随访
确诊ASS-ILD后,给予患者甲泼尼龙冲击治疗(160mg q12h×3天,随后80mg q12h×3天),并联合

病例讨论
特发性炎性肌病(IIM)是一组以近端肌群受累和慢性炎症为特征的异质性疾病,抗合成酶综合征是其重要亚型之一。ASS的临床表现具有高度异质性,可包括肌炎、间质性肺疾病、雷诺现象、技工手、发热、非侵蚀性
在ASS患者中,急性低氧性呼吸衰竭并不少见,尤其与抗Jo-1、PL-7和PL-12抗体相关。抗Jo-1抗体是ASS-ILD中最常见的抗体之一,检出率约为15%–20%。部分ASS-ILD患者以ILD为首发或主要表现,仅伴轻微或延迟出现的肌炎症状,这使其在呼吸科就诊时容易被漏诊或误诊。
本病例起病时主要表现为发热和进行性呼吸衰竭,HRCT仅示有限磨玻璃影,合并轻度、短暂的肌酸激酶升高,这一组合增加了早期诊断的不确定性。通过及时检测肌炎特异性及相关自身抗体,明确ASS诊断并尽早启动免疫抑制治疗,最终使患者得以存活。
既往研究表明,抗Ro52是唯一一种常与肌炎特异性抗体共存的自身抗体,其存在往往提示ASS-ILD病情更为严重。尽管如此,快速进展型ILD在ASS中仍相对少见。本例患者在短时间内迅速进展为双肺弥漫性病变并出现危及生命的呼吸衰竭,具有一定罕见性。
在疾病演变过程中出现了一个值得注意的现象:患者呼吸困难逐渐改善,但影像学表现为弥漫性磨玻璃影持续存在,呈现类似
尽管曾预期患者可恢复正常活动,但她仍无法自行穿衣或独立行走,且四肢肌力逐渐下降,伴颈肌无力及吞咽困难。该患者呼吸困难与肌肉力量的恢复不同步,促使我们探究其潜在原因:患者肺部病变以非特异性
相反,本例患者
目前处于研发阶段的新兴疗法包括:靶向1型干扰素的自上而下式免疫调节剂、嵌合抗原受体T细胞治疗及微生物组调控,这些策略未来可能为IIM治疗提供更多选择。
➤部分ASS患者可能仅以ILD为唯一临床表现,易导致漏诊或误诊,早期识别与及时治疗对改善预后至关重要。
➤ASS-ILD患者中,抗Jo-1与抗Ro52抗体共存时,ILD更严重、更易快速进展,预后更差,需提高临床警惕性。
➤ASS可能后期出现肌炎,需注意与类固醇肌病、危重症肌病等其他导致无力的病因相鉴别,肌肉活检结果及潜在病理生理特征对预后评估和治疗方案制定具有重要意义。
➤ASS为全身性疾病,可累及多个器官,强调个体化综合治疗策略的重要性。
参考文献:Wu C, Zhu X, Dai Q, et al. A 74-Year-Old Woman With Dyspnea, Muscle Weakness, and Rapidly Progressive Bilateral Diffuse Pulmonary Infiltrates. Chest. 2026;169(1):e11-e15.

(本网站所有内容,凡注明来源为“医脉通”,版权均归医脉通所有,未经授权,任何媒体、网站或个人不得转载,否则将追究法律责任,授权转载时须注明“来源:医脉通”。本网注明来源为其他媒体的内容为转载,转载仅作观点分享,版权归原作者所有,如有侵犯版权,请及时联系我们。)