
世界卫生组织发布的2024年全球
肝组织中HBsAg和HBcAg的表达特征可能与血清学、组织学特征及疾病进展相关。鉴于肝活检属有创检查,临床应用较为局限。同时,目前缺乏标准化的肝内HBV抗原评估体系。本研究通过图像分析对比肝活检确诊的CHB儿童与成人患者HBV抗原表达差异,分析其与血清学指标的关系,为儿童CHB临床诊疗提供理论依据。

1资料与方法
纳入2013年1月—2023年12月于中国人民解放军总医院第五医学中心接受肝穿刺活检确诊为CHB的患者。研究对象按年龄分为儿童组和成人组,其中儿童组又分为<5岁和5~18岁2个亚组。纳入标准:(1)参照《慢性乙型肝炎防治指南(2010年版)》诊断标准,诊断为CHB;(2)进行肝组织活检;(3)临床资料完整。排除标准:(1)合并其他类型病毒感染;(2)合并遗传性、药物性、自身免疫性、酒精性肝炎等其他类型肝脏疾病;(3)合并其他系统恶性肿瘤或多器官功能障碍;(4)CHB进展至
收集患者年龄、性别等人口学资料,HBV表面抗原定量(qHBsAg)、抗-HBs、HBeAg、HBV DNA等病毒学指标,以及ALT、AST、TBil等血清生化指标。参考中国儿童临床常用生化检验项目参考区间,将ALT升高范围设定为:1岁~<2岁:>42 U/L;2岁~<13岁:>30 U/L;13岁~18岁:>43 U/L(男性)、>29 U/L(女性);>18岁:>40 U/L。根据Scheuer评分系统评估肝组织炎症活动度(G0~G4)和纤维化程度(S0~S4),将中重度以上炎症(≥G2)和/或纤维化(≥S2)定义为显著
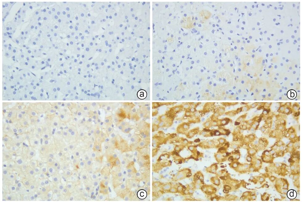
采用免疫过氧化物酶染色法检测肝组织中的HBsAg和HBcAg表达,观察其分布特征并进行分组。HBsAg和HBcAg阳性病例根据染色部位进行模式分组,使用NIS-Elements采集图像后,应用Image J软件定量分析染色面积(0,<5%,5%~20%,>20%)和强度(无染色,浅黄色,棕黄色,深褐色)。以HBsAg为例,具体染色强度标准见图1。

注: a,无染色(阴性);b,浅黄色;c,棕黄色;d,深褐色。
图1 免疫组化染色检测HBsAg的染色着色情况(×400)
根据中国《慢性乙型肝炎防治指南(2022年版)》标准,依据HBeAg状态、血清HBV DNA水平、ALT及肝脏病理学结果,将患者分为5期:HBeAg阳性慢性HBV感染、HBeAg阳性CHB、HBeAg阴性慢性HBV感染、HBeAg阴性CHB和不确定期。

2结果
共纳入257例CHB患者,男154例(59.92%),女103例(40.08%),年龄11.00(4.00~34.00)岁。其中儿童(≤18岁)患者162例,成人(>18岁)患者95例,年龄分别为5.00(3.00~9.25)岁、(38.21±9.10)岁;162例儿童患者中<5岁76例,5~18岁86例,年龄分别为3.00(2.00~3.00)岁、9.00(6.00~13.25)岁。HBV感染自然病程分期中,HBeAg阳性慢性HBV感染5例(1.95%)、HBeAg阳性CHB 104例(40.47%)、HBeAg阴性慢性HBV感染4例(1.56%)、HBeAg阴性CHB 46例(17.90%)、不确定期98例(38.13%)(HBeAg阳性66例,阴性32例),CHB期(HBeAg阳性CHB+HBeAg阴性CHB)患者占比最高,这可能与CHB患者ALT水平升高、临床症状显著,从而更易主动就医有关。
68.09%的患者为HBeAg阳性(HBeAg阳性慢性HBV感染5例,HBeAg阳性CHB 104例,不确定期HBeAg阳性66例),HBV DNA水平分布广泛(<20 IU/mL~>108IU/mL)。血清学检测显示,75.88%的患者存在ALT水平升高;组织学评估表明,62.26%的患者呈现明显炎症坏死(≥G2),53.70%患者存在显著纤维化(≥S2);免疫组化结果显示,HBsAg阳性率为91.44%,HBcAg阳性率为58.37%(表1)。

HBsAg免疫组化检测结果显示,儿童组阳性率为91.98%(149/162),成人组阳性率为90.53%(86/95)。儿童组不同年龄段以及不同HBeAg状态患者的HBsAg表达模式、面积和强度构成比均存在统计学差异(P值均<0.05),成人组构成比同样具有这种差异性(P值均<0.05)(表2~4)。



<5岁组中,HBsAg染色面积与抗-HBs、HBeAg呈显著负相关(P值均<0.05),与ALT、AST呈显著正相关(P值均<0.05);HBsAg染色强度与qHBsAg呈显著正相关(P<0.05),与抗-HBs呈显著负相关(P<0.05)。5~18岁组中,HBsAg染色面积和强度与各指标间均无相关性(P值均>0.05)。儿童组中,HBsAg染色面积与抗-HBs、HBeAg均呈负相关(P值均<0.05);HBsAg染色强度与qHBsAg呈正相关(P<0.05),与抗-HBs呈负相关(P<0.05)。成人组中,HBsAg染色面积与ALT、AST和肝组织炎症活动度均呈正相关(P值均<0.05);HBsAg染色强度与qHBsAg、HBeAg、HBV DNA均呈正相关(P值均<0.05),与肝脏炎症活动度和

结果显示,HBcAg表达模式仅在HBeAg阴性儿童组中表现出统计学差异(P<0.001),或可说明在儿童时期HBcAg表达模式受HBeAg状态影响(表6)。此外,儿童组不同年龄段以及不同HBeAg状态患者的肝组织中HBcAg表达面积和强度构成比均存在显著统计学差异(P值均<0.05),成人组构成比同样具有这种差异(P值均<0.001)。同一组内,不同HBcAg表达面积和强度的CHB患者分布存在显著异质性(表7~8)。



在<5岁组中,HBcAg的染色面积与qHBsAg、HBV DNA水平呈正相关(P值均<0.05);HBcAg的染色强度与HBV DNA呈显著正相关(P<0.001)。在5~18岁组中,HBcAg的染色面积和强度与qHBsAg、HBeAg及HBV DNA水平均呈正相关(P值均<0.05)。儿童组中,HBcAg的染色面积与qHBsAg、HBeAg及HBV DNA水平呈正相关(P值均<0.05);HBcAg的染色强度与qHBsAg、HBV DNA水平呈正相关(P值均<0.05)。成人组中,HBcAg的染色面积和强度与qHBsAg、HBeAg及HBV DNA水平均呈显著正相关(P值均<0.001),HBcAg的染色面积与血清中ALT水平也存在正相关性(P=0.043)(表9)。


3讨论
儿童CHB病理学改变与成人有一定差异,非活动期儿童CHB患者肝组织内易见HBsAg过表达,炎症坏死缺乏或轻微;活动期儿童CHB患者通常炎症坏死与纤维化夹杂;少数病儿可呈现显著或进展期肝纤维化,甚至肝硬化。
本研究结果显示,儿童与成人CHB患者的肝组织HBsAg染色强度均与血清qHBsAg水平呈正相关,印证了肝内HBsAg表达与病毒血症的关联性。值得注意的是,在儿童(尤其是<5岁亚组)中观察到以下特征性表现:(1)血清抗-HBs与肝内HBsAg表达面积和强度均呈负相关,提示抗-HBs可能通过中和作用抑制HBsAg表达;(2)肝内HBsAg表达面积与血清HBeAg水平呈负相关,可能与儿童以cccDNA主导的病毒复制模式有关——高效的HBsAg分泌导致肝内滞留减少,表现为免疫组化染色减弱而血清HBeAg升高。此外,成人组HBsAg染色强度与肝脏炎症/纤维化程度均呈负相关,符合既往报道的“低HBsAg水平伴显著肝损伤”现象,而儿童因肝再生能力强、纤维化轻微,未出现此类关联。这些发现为CHB的年龄分层管理提供了依据。对于肝穿刺接受度低的儿童患者,可通过血清学标志物(如qHBsAg、HBeAg)替代肝活检评估病情,从而尽早启动治疗。
本研究表明,肝组织HBcAg表达是评估HBV复制活性的可靠组织学指标,其染色强度与血清HBV DNA、qHBsAg及HBeAg水平(5~18岁儿童及成人组)均呈显著正相关。这一发现不仅验证了HBcAg表达与病毒复制的关联性,更提示通过监测血清病毒学标志物(HBV DNA/qHBsAg/HBeAg)可有效评估病毒复制状态,从而为减少肝穿刺活检频率提供重要依据,尤其适用于需长期动态监测的儿童患者。
综上,儿童CHB患者具有独特的病理-病毒学特征,<5岁组的特征尤为显著。动态观察血清学标志物有望减少肝穿刺活检频率,并进一步建立血清学评估预测模型,为儿童CHB患者的精准诊断、免疫分期及治疗时机选择提供重要依据。

https://www.lcgdbzz.org/cn/article/doi/10.12449/JCH251013

江越, 蒋丽娜, 刘树红, 等 . 慢性乙型肝炎儿童肝组织HBsAg和HBcAg表达特征谱及其与血清学标志物的相关性分析[J]. 临床肝胆病杂志, 2025, 41(10): 2037-2043
来源:临床肝胆病杂志
本平台旨在为医疗卫生专业人士传递更多医学信息。本平台发布的内容,不能以任何方式取代专业的医疗指导,也不应被视为诊疗建议。如该等信息被用于了解医学信息以外的目的,本平台不承担相关责任。本平台对发布的内容,并不代表同意其描述和观点。若涉及版权问题,烦请权利人与我们联系,我们将尽快处理。

(本网站所有内容,凡注明来源为“医脉通”,版权均归医脉通所有,未经授权,任何媒体、网站或个人不得转载,否则将追究法律责任,授权转载时须注明“来源:医脉通”。本网注明来源为其他媒体的内容为转载,转载仅作观点分享,版权归原作者所有,如有侵犯版权,请及时联系我们。)