转载自“感染前沿“微信公众号
男性,28岁,广东普宁市人,2024年12月12日入深圳市龙华区人民医院呼吸内科。
主诉

气促8天。
现病史

2024年12月4日无诱因出现胸闷、气促,活动后加重,无畏寒、
既往史

2021年11月1日疾控中心复核HIV抗体阳性,但因个人原因未ART治疗。

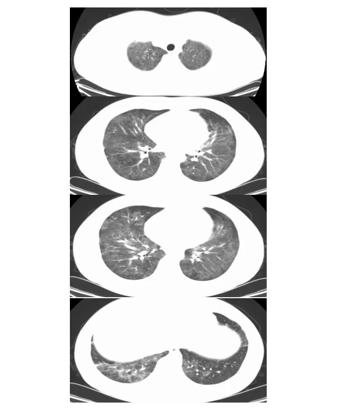
2024年12月11日胸部CT:双肺弥漫性病变
体格检查

T 36.7℃,P 94次/分,R 22次/分,BP 109/67mmHg,SpO2 96%(未吸氧),身高177cm,体重91kg。
营养正常,口唇红润,双侧腭弓、咽后壁可见散在白苔样物附着。浅表未触及肿大淋巴结。胸廓无畸形,双侧呼吸音粗,双侧未闻及啰音。心界不大,心率94次/分,律齐。腹部平软,腹部无
实验室检查(12月2日)

炎症标志物:hsCRP 50.39mg/L,PCT 0.05ng/mL。
G试验:327pg/ml。
HIV抗体可疑阳性。
排除禁忌症,于12月13日完善
12月15日肺泡灌洗液tNGS(12月13日采样):

初步诊断

1.
诊断依据

1. 既往疾控复核HIV抗体阳性(2021年),未规范治疗,提示存在严重免疫抑制,为机会性感染奠定基础。
2. 亚急性起病,进行性气促,G试验升高(327pg/mL),影像学示“双肺弥漫性磨玻璃样病变”,符合肺孢子菌肺炎(pjp)的临床-影像特征。肺泡灌洗液tNGS:检出耶氏肺孢子菌(序列数40564),为pjp的确诊依据。
3.口腔见白苔样物, 肺泡灌洗液tNGS:白念珠菌序列较高,支持口腔念珠菌感染。
4.CRP升高,胸部CT影像学提示pjp可能性大,但不除外细菌性感染或非典型病原体感染。
治疗方案

入院后12月12日给与
出院后患者继续口服抗感染药物:氟康唑片0.10g qd po,复方磺胺甲噁唑片,2.40g q6h po,嘱患者专科就诊治疗HIV。

2024年12月11日胸部CT:双肺弥漫性病变

2024年12月23日胸部CT:双肺感染性病变,较前明显减少

第二次入院情况
2024年12月27日入深圳市龙华区人民医院感染性疾病科。
主诉

发热、
现病史

2024年12月23日无诱因出现发热,最高体温40℃,伴咳嗽、咳白痰,伴有周身散在大片状红色皮疹,轻度皮肤瘙痒。无胸闷、气促、畏寒。2024年12月27日就诊于深圳市龙华区人民医院发热门诊。为明确发热、皮疹原因并进一步治疗,12月27日收入感染性疾病科。
体格检查

T 40.0℃,P 118次/分,R 22次/分,BP 121/59mmHg,SpO2 99%(未吸氧)。
咽部稍充血,周身皮肤色泽潮红,颜面部及胸背部散在红色大片状皮疹,双肺呼吸音粗,未闻及干湿啰音。心界不大,心率118次/分,律齐。腹部平软,腹部无压痛及反跳痛。


实验室检查(12月27日)

血常规:WBC 2.94×109/L,N 55.3 %,L 1.05×109/L,EO 1.0%,PLT 117×109/L,Hb 117g/L。
炎症标志物:hsCRP 30.4mg/L,PCT 1.65ng/mL。
ALT/AST 311/373U/L,钠 123.8mmol/L。
总IgE:594.24IU/ml。
人类免疫缺陷病毒1型核酸(HIV-1 RNA)定量9.38E+04IU/mL,CD4:9个/μL。
人巨细胞病毒核酸定量:5.16E+02copies/ml,EB病毒核酸定量:阴性。
隐球菌抗原检测:阴性,T-SPOT:阴性(N0,T0,P185)。
流感病毒A抗原:阴性,流感病毒B抗原:阴性 。
呼吸道病原体核酸检测、新冠核酸:阴性。
肾功能、血脂、出凝血功能、D-二聚体、尿常规、粪常规、血细胞形态分析、血培养:未见异常。
辅助检查

眼底检查:未见异常。
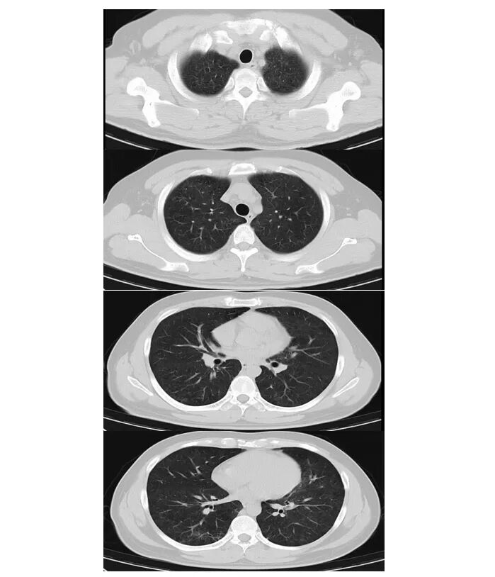
12月27日胸部CT:1.双肺多发感染性病变,病灶较前略减少。2.双肺下叶多发间质性改变,较前略减轻。

2024年12月27日胸部CT:双肺弥漫性病变
病史特点:青年男性,急性起病,以高热、皮疹为首发症状,Tmax 40℃,基础疾病考虑艾滋病,CD4计数极低。目前在肺孢子菌肺炎治疗期间(影像学示病灶吸收),急性出现高热伴全身弥漫性红色皮疹。发热、皮疹病因暂不明确,具体鉴别如下。
磺胺类药物过敏(可能较大)

用药与症状出现时序关联高度吻合:用磺胺后8天出现症状。临床表现为发热、皮疹、肝损伤三联征,符合典型药物超敏反应;IgE显著升高为强有力的佐证。 PCT升高可能干扰判断,但药物热本身可引发全身炎症反应导致PCT轻度升高。
氟康唑药物过敏

氟康唑可引起药疹和肝损伤。患者首次入院即开始使用,第二次症状与新加药物复方磺胺甲噁唑时间关联更紧。氟康唑导致如此严重的全身反应相对少见。
巨细胞病毒(CMV)感染

CD4极低,是CMV活动的高危人群。CMV DNA阳性(病毒载量较低),不排除潜伏感染再激活。CMV感染通常不以弥漫性大片状皮疹为主要表现,此皮疹形态更符合药疹。
细细菌性感染

肺部炎症在吸收,血培养阴性,血常规不支持(WBC下降),影像学未见新发病灶,PCT升高(1.65ng/mL),考虑有合并细菌性感染的可能性。
初步诊断

1.发热查因:药物热?感染性发热?2.皮疹查因:药物过敏?病毒疹?3.艾滋病
12月27日考虑不排除药物过敏引起发热及皮疹,予停用复方磺胺甲噁唑、氟康唑,予注射用甲泼尼龙琥珀酸钠40mg qd ivgtt,辅以氯雷他定抗过敏对症。PCT明显升高,不排除细菌性感染,予头孢哌酮舒巴坦钠 3.0g q8h ivgtt,更昔洛韦0.25g q12h抗巨细胞病毒感染治疗。12月30日复查PCT:0.48ng/ml,且连续3天无发热,停止舒普深抗感染。12月31日予必妥维抗HIV治疗。
经过一周的治疗,1月2日该患者症状均好转,为明确患者是否存在pjp及白色念珠菌感染、巨细胞病毒感染、EB病毒感染。2025年1月2日排除禁忌症,完善支气管镜检查,1月4日肺泡灌洗液tNGS(1月2日采样):肺炎克雷伯菌7313条,粪肠球菌7158条,耶氏肺孢子菌19354条,白色念珠菌1480条,EB病毒102114条,巨细胞病毒5297条,人类疱疹病毒1型260条。

1月3日予复方磺胺甲噁唑片0.96g qd po,再次出现发热及皮疹,予停止复方磺胺甲噁唑片口服,改为克林霉素磷酸酯注射液0.6g q8h ivgtt抗pjp治疗。考虑患者CD4<200个/μL,出院后仍需二级预防pjp,1月6日予以行磺胺脱敏方案。具体如下:
分别取复方磺胺甲噁唑(磺胺甲噁唑0.4g,甲氧苄啶0.08g)1片溶于灭菌注射用水(20ml);
18:00取0.1mL稀释10倍后取0.1ml口服;
19:00取0.1mL稀释10倍后取1ml口服;
20:00取0.1mL口服;
21:00取1mL口服;
22:00服用半片;
第23:00服用2片,然后每日给2片;
脱敏过程顺利,无发热及皮疹出现,脱敏成功。
2025年1月15日体温平,皮疹好转,无咳嗽,指脉氧:99%。复查WBC 2.63×109/L,N 35.1%,L 1.36×109/L,EO 5.7%;CRP 2.21mg/L;ALT/AST 77/41U/L,1月15日胸部CT:1.双肺多发感染性病变已完全吸收消失。2.双肺下叶多发间质性改变未见显示。予出院,予比克恩丙诺片,更昔洛韦分散片,复方磺胺甲噁片口服,门诊随访。
出院后随访

2025年3月13日我科门诊随访:一般情况好,体温平,无咳嗽、皮疹,不吸氧指尖氧饱和度99%。随访WBC 3.96×109/L,N 37.4%,L 1.93×1099/L,EO 3.8%;ALT/AST 29/26U/L,CD4:64个/μL,人类免疫缺陷病毒1型核酸(HIV-1 RNA):阴性。嘱口服比克恩丙诺片,复方磺胺甲噁唑片,门诊随访。

体温变化情况

炎症标志物及CD4变化
最后诊断

艾滋病、药物性过敏、药物性肝损伤、肺孢子菌肺炎、细菌性感染?巨细胞病毒感染、EB病毒感染。
诊断依据

1. 艾滋病:HIV抗体初筛及疾控中心复核阳性(2021年),本次住院HIV RNA定量:9.38E+04 IU/mL,提示病毒高载量复制。CD4计数极低(9个/μL),出现pjp、口腔念珠菌病等多种艾滋病并发症,AIDS诊断成立。
2. 肺孢子菌肺炎:肺泡灌洗液tNGS两次均检出大量耶氏肺孢子菌序列(首次40564条;复查19354条),为确诊依据临床影像吻合:亚急性起病,进行性气促;胸部CT呈典型双肺弥漫性磨玻璃影;针对pjp的治疗(复方磺胺甲噁唑、克林霉素)后,临床症状及影像学明显好转。
3. 复方磺胺甲噁唑所致药物超敏反应:时序关联:两次用药(12月15日及1月3日)后均出现发热、皮疹,停药后缓解,存在明确的“再激发阳性”。典型表现:呈现“发热、皮疹、肝损伤”三联征,伴IgE显著升高(594.24 IU/mL)。无明确新发感染灶可解释此系列症状。脱敏验证:后续脱敏治疗成功,未再出现过敏反应,反向证实诊断。
4. 巨细胞病毒及EB病毒感染:患者处于极度免疫抑制状态(CD4⁺ 9/μL),为疱疹病毒再激活的高危人群,肺泡灌洗液tNGS检出巨细胞病毒(5297条)及EB病毒(102114条)序列。
5. 细菌性肺炎:支持点:肺泡灌洗液tNGS检出肺炎克雷伯菌(7313条),PCT升高考虑药物超敏反应导致可能性大,但不排除合并细菌性感染及细菌性肺炎可能。
本病例为一例青年男性,以气促为主要表现,诊断肺孢子菌肺炎、艾滋病并治疗后,出现高热、皮疹,考虑磺胺导致药物热,经过治疗好转,回顾整个诊疗过程,有以下几点体会。
1. 警惕免疫抑制宿主的“多重感染”与“非感染性疾病”交织的复杂性。本例在极度免疫抑制(CD4⁺ 9/μL)背景下,先后或同时出现pjp、口腔念珠菌病、CMV/EB病毒感染及药物超敏反应。提示在AIDS患者中,不能满足于单一诊断,需借助tNGS等高通量病原学技术全面探查,避免遗漏混合感染。
2. “用药-症状”时序关联是识别药物热的关键线索,在抗感染治疗有效、影像学改善时出现的新发发热,须高度怀疑药物热。本例两次用药、两次出现相同症状(发热、皮疹),构成“再激发试验阳性”,是诊断药物超敏反应的强有力临床证据。
3. IgE与PCT的联合解读:IgE显著升高是识别I型超敏反应的重要线索,PCT升高在药物热中亦可出现,需结合血培养、影像学及临床表现综合判断,避免过度解读为单纯细菌感染,此例病例考虑细菌性感染的可能性较小。
4.药物脱敏:对于pjp防治必需但存在过敏的药物(如复方磺胺甲噁唑),在无理想替代方案时,规范药物脱敏是安全、有效的解决路径。本例脱敏成功,确保了pjp二级预防的连续性,体现了艾滋病的个体化治疗。
5.抗感染与抗病毒治疗的统筹安排,在控制严重机会性感染(pjp、细菌性肺炎)后,尽早启动ART是改善免疫缺陷的根本措施。对于活动性疱疹病毒感染(CMV/EBV),需给予靶向抗病毒治疗(如更昔洛韦),并与ART形成协同。
参考文献
[1]Sulfonamide desensitization in solid organ transplant recipients: A protocol-driven approach during the index transplant hospitalization.[J]. Pryor Joseph B;;Olyaei Ali J;;Kirsch Denise;;Strasfeld Lynne.Transplant infectious disease : an official journal of the Transplantation Society.2019.
[2]磺胺过敏患者用药调查情况分析[J]. 王丽;党大胜.中国冶金工业医学杂志,2014(04)
[3]1例磺胺脱敏方案治疗HIV合并耶氏肺孢子菌肺炎的药学实践与分析. 赵华;娄艳.海峡药学,2024(04)

深圳市龙华区人民医院感染性疾病科
深圳市龙华区人民医院感染性疾病科为粤港澳大湾区新发重大传染病应急防治医学研究中心核心单位、“中国消除丙肝联盟公益项目”诊疗基地、中国乙肝临床治愈星光计划分中心、深圳市肝病多学科联盟、疑难肝病占位专科联盟、佑安肝病感染病专科联盟成员单位。
主要以各种肝病诊治,兼顾各种感染性疾病的感染性疾病专科,是深圳市龙华区集医疗,科研、教学,预防保健与一体的感染性疾病诊治中心,设有肝病门诊、发热门诊、肠道门诊、爱心咨询门诊。经过不断地发展完善,我科现已成为深圳北片区设备完善、服务技术项目齐全、医疗水平与质量较高的感染性疾病科室。2020年初-2022年底新冠疫情期间,下属发热门诊承接着龙华区筛查与诊治国内、境外新冠患者的第一道防线工作,同时兼顾辖区内肝脏方向的专业诊疗。现有医生、护士员工共23人,其中有主任医师1名,副主任医师2名,主治医师4人,住院医师3人,副主任护师1人,主管护师5人,护士7人,其中具有硕士学位8人,本科学位12人。
感染性疾病科专业技术人员基本功扎实,能够为辖区居民提供连续、综合、优质、温馨的临床诊治服务,为居民的健康保驾护航。

作者:邹洪涛
审阅:蒋桂华 姜春梅

(本网站所有内容,凡注明来源为“医脉通”,版权均归医脉通所有,未经授权,任何媒体、网站或个人不得转载,否则将追究法律责任,授权转载时须注明“来源:医脉通”。本网注明来源为其他媒体的内容为转载,转载仅作观点分享,版权归原作者所有,如有侵犯版权,请及时联系我们。)