影像报告解读 | 纵隔增宽
2026-02-14

作者:stari

来源:1影1世界




纵隔增宽

单位福利好了,给员工一年一次体检。是好事,但有人欢乐有人愁。

一向性情乐观、身体健康的小张,拿到体检报告书,一脸焦虑,马上找领导请假,要去医院看病。
小张,平时没什么感觉,也没什么毛病,这次体检其它项目都很正常,就有一项,胸部检查:上纵隔增宽。
这是什么意思?
到医院,医生看完体检报告,马上开出了一个胸部CT检查单。
检查之后,等待结果的过程中,小张和医生聊天,咨询纵隔增宽是什么意思?是什么病?
影像科值班医生告诉他:
纵隔,是两肺之间,中线上的一个区域,其中主要是心脏、大血管、气管、食管等器官,还有退化了的胸腺、淋巴结、神经、脂肪等组织。
正常情况下,纵隔类似一个梨形,上窄下宽,有一个正常形态和比例,有经验的医生,一眼就能看出来,宽窄是否正常。
纵隔增宽原因较多,从上面的结构就能看出来,任何一个组织器官的病变,都可能引起纵隔形态的改变。
肿瘤:常见的有胸腺瘤、胸内甲状腺瘤、畸胎瘤、神经源性肿瘤、支气管囊肿等等。占位性生长,当然会引起纵隔边缘形态的改变,或是不对称性增宽。
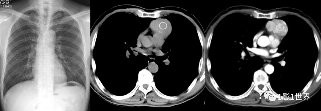
图片左图,胸部X线片,正常纵隔表现。后两幅图为前纵隔胸腺瘤,CT平扫+增强图像,显示肿瘤部位、大小。
淋巴结:纵隔内淋巴结肿大,原因较多,结核、转移瘤、淋巴瘤等都可以表现为纵隔淋巴结肿大,引起纵隔增宽。
心血管:多种心脏病会引起心脏形态改变,也会引起纵隔内大血管增粗或比例失调,最终表现为纵隔增宽。如高血压引起的心脏形态改变、主动脉增宽;先心病引起的肺动脉高压主动脉瘤等等。
其它:如炎症、创伤等,可以是纵隔内积脓、积血、积气,造成纵隔增宽。也有一部分人,因为肥胖,纵隔内脂肪堆积,而表现为纵隔增宽。
就目前的检查方法来说,胸部X线片,能够发现纵隔增宽,并且根据左右缘哪一段增宽为主,可以大致判断是什么疾病。
但更准确的诊断,有赖于胸部CT或MRI,这些检查能够在断面图像上,清晰地显示纵隔内的结构,哪些正常,哪些异常,有没有问题,是什么类型的问题,最后明确诊断是什么病。
所以,医生看完小张的体检报告,马上让他做了胸部CT平扫。
最后结果是上纵隔胸腺瘤,胸腺在青春期大部分退化,残留的一些胸腺组织,可以发生异常增生,形成肿瘤,大多数是良性的,生长缓慢,较大时,引起纵隔形态改变,X线片上表现为上纵隔增宽,胸部CT可以发现,在胸腺特定的部位,异常组织,诊断并不困难。
小张以前体检只是胸部透视或拍片,纵隔外形尚未改变,所以不能发现,这次发现了,最后胸部CT确诊了,住院,接受手术治疗,术后恢复很好。


本视频/资讯/文章的内容不能以任何方式取代专业的医疗指导,也不应被视为诊疗建议。医脉通是专业的在线医生平台,“感知世界医学脉搏,助力中国临床决策”是平台的使命。医脉通旗下拥有「临床指南」「用药参考」「医学文献王」「医知源」「e研通」「e脉播」等系列产品,全面满足医学工作者临床决策、获取新知及提升科研效率等方面的需求。

图片

(本网站所有内容,凡注明来源为“医脉通”,版权均归医脉通所有,未经授权,任何媒体、网站或个人不得转载,否则将追究法律责任,授权转载时须注明“来源:医脉通”。本网注明来源为其他媒体的内容为转载,转载仅作观点分享,版权归原作者所有,如有侵犯版权,请及时联系我们。)

0
收藏 分享