皮肤病变,内脏危机:一例青少年恶性萎缩性丘疹病带来的警示
2026-03-02

编者按


恶性萎缩性丘疹病(MAP),又称Köhlmeier-Degos病,是一种罕见的多系统血栓闭塞性血管病,以特征性瓷白色萎缩性丘疹和全身多系统血栓闭塞为主要表现。MAP可分为良性皮肤型与恶性系统型,后者可累及胃肠道、中枢神经系统等重要脏器,预后较差。本文报告一例以急性腹痛为首发表现、后确诊为系统性MAP的青少年女性病例,结合文献复习其临床、病理及治疗进展,旨在提高临床医生对该病的认识。


PART.01
病例简介

患者基本信息

女性,青少年,既往体健。

主诉

急性腹痛3天,皮疹近1年。

现病史

患者因进行性加重的腹痛3天就诊于当地急诊,初诊为“病毒性胃肠炎”后出院。症状迅速恶化,转入三级医疗中心。入院时表现为心动过速、呼吸急促,腹部膨隆、弥漫性压痛,超声提示腹水

皮疹于腹痛前近1年出现,始于左腕部,数周内逐渐扩散至全身。曾因“疑似脓疱疮”多次接受外用及口服抗生素治疗,未见改善。

皮肤科查体

全身可见多发散在、轻度凹陷的丘疹,中央色素减退,周围绕以红斑(图1)。

图片

1:患者的腹部,背部和四肢出现许多瓷白色萎缩性丘疹,周围伴有可褪色的红斑

实验室及影像学检查

血常规白细胞 25,300 cells/μL(参考值:4850–9690 cells/μL)

炎症指标:C反应蛋白 2.27 mg/dL(参考值:<0.05 mg/dL)

补体:显著降低

免疫学:抗核抗体、抗dsDNA、抗Smith抗体、抗磷脂抗体均阴性

基因表达:I型干扰素相关基因表达上调

影像学:腹盆部CT示肠炎;头颅MRI示脑膜异常强化

组织病理学

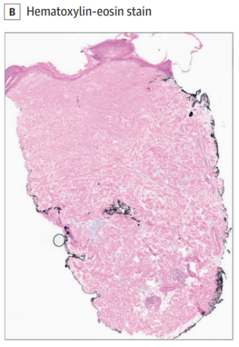
皮肤穿刺活检显示表皮萎缩、真皮楔形透明样变、真皮微血管闭塞,伴少量炎症细胞浸润(图2)。

图片

图2:穿刺活检显示表皮萎缩、真皮透明样变及真皮微血管闭塞,伴真皮少量炎症细胞浸润

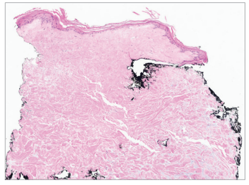
苏木精-伊红染色进一步显示真皮无血管区、楔形透明样变及黏蛋白沉积(图3),符合MAP典型病理改变。

图片

图3:苏木精-伊红染色显示嗜两色性角层、无血管真皮、楔形透明样变及真皮黏蛋白沉积

治疗与随访
患者接受多靶点联合治疗,包括补体抑制剂、I型干扰素通路抑制剂、JAK抑制剂及前列环素类似物。治疗后临床改善,补体水平及干扰素基因表达恢复正常。但病程中出现肠穿孔等突破性系统表现,提示病情控制仍具挑战。


PART.02
病例讨论

诊断思路

本例以急性腹痛为首发表现,但追溯病史发现皮疹早于腹痛近1年出现。典型瓷白色萎缩性丘疹结合组织病理学特征(表皮萎缩、真皮楔形透明样变、血管闭塞)确立了MAP的诊断。进一步检查显示补体降低、I型干扰素通路激活及多器官受累(肠道、中枢神经系统),符合系统性MAP。
鉴别诊断
  • 滴状硬斑病:虽可表现为硬化性丘疹,但无MAP特有的楔形坏死和血管闭塞。
  • 系统性红斑狼疮(SLE):可因I型干扰素介导的血管损伤出现类似皮损,但常伴有光敏、关节炎、浆膜炎等系统表现,组织病理可见界面皮炎和基底膜增厚。本例无SLE临床表现及血清学证据,可排除。
  • 白塞病(Behçet病):可出现类似皮损和消化道受累,但常伴有复发性口腔和生殖器溃疡,病理可见中性粒细胞性小血管炎,与本例不符。
发病机制探讨
MAP的病理机制尚不完全明确,目前认为与补体活化(C5b-9膜攻击复合物沉积)及I型干扰素通路异常激活有关,导致微血管内皮损伤、血栓性微血管病及血管闭塞,最终引发组织缺血。本例患者补体水平显著降低、I型干扰素相关基因表达上调,支持该机制。
治疗与预后
MAP系统性受累可导致肠穿孔、腹膜炎脑梗死等严重并发症。一旦出现内脏受累,中位生存期为2–3年,死亡率达22%–76%。早期识别系统型MAP至关重要。
治疗方面,传统抗血小板、抗凝及免疫抑制药物效果不一。近年来,靶向补体和I型干扰素通路的生物制剂(如eculizumab、anifrolumab)及JAK抑制剂显示出潜力。本例接受联合治疗虽有一定改善,但仍出现肠穿孔,提示该病治疗难度大,需长期多学科随访。
临床启示
  • 典型瓷白色萎缩性丘疹是MAP的重要诊断线索,皮疹早于内脏症状数年出现并不少见。
  • 对于不明原因的急性腹痛伴典型皮疹,应警惕系统性MAP可能。
  • MAP需多学科协作诊疗(皮肤科、消化科、神经科、风湿免疫科),定期监测系统受累。
  • 靶向补体和I型干扰素通路的新型生物制剂为MAP治疗带来希望,但仍需更多临床证据


参考文献

[1] Vasavda C, Schmidt B, Grenier PO. Generalized Atrophic Papules and Acute Abdominal Pain. JAMA Dermatol. Published online January 7, 2026. doi:10.1001/jamadermatol.2025.5170


医脉通是专业的在线医生平台,“感知世界医学脉搏,助力中国临床决策”是平台的使命。医脉通旗下拥有「临床指南」「用药参考」「医学文献王」「医知源」「e研通」「e脉播」等系列产品,全面满足医学工作者临床决策、获取新知及提升科研效率等方面的需求。


本平台旨在为医疗卫生专业人士传递更多医学信息。本平台发布的内容,不能以任何方式取代专业的医疗指导,也不应被视为诊疗建议。如该等信息被用于了解医学信息以外的目的,本平台不承担相关责任。本平台对发布的内容,并不代表同意其描述和观点。若涉及版权问题,烦请权利人与我们联系,我们将尽快处理。

图片

(本网站所有内容,凡注明来源为“医脉通”,版权均归医脉通所有,未经授权,任何媒体、网站或个人不得转载,否则将追究法律责任,授权转载时须注明“来源:医脉通”。本网注明来源为其他媒体的内容为转载,转载仅作观点分享,版权归原作者所有,如有侵犯版权,请及时联系我们。)

0
收藏 分享