医脉通编译整理,未经授权请勿转载。
患儿女性,9岁。主因咽喉疼痛渐进性加重 2 周于耳鼻咽喉科就诊。就诊当日患儿出现间歇性
入院体检,患儿气色不佳,但神志清醒,心率 86 次/min,呼吸频率 30/min,室内空气中 SpO2 95%,体温 38.8℃。双侧III级扁桃体肿大伴渗出。双侧颈内静脉二腹肌淋巴结可触及,大小约 3 x 3 cm2,伴触痛,活动自如,覆盖皮肤正常。胸部检查显示双侧进气减少,听诊伴喘息声。
实验室检查显示,总白细胞计数(TLC)为18.4 × 103/µL,淋巴细胞占优势。红细胞沉降率(ESR)升高至18 mm/ 1h, C反应蛋白(CRP)为13.5 mg/L。
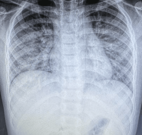
胸部X线检查(图1)显示双侧弥漫性阴影,下肺叶更明显,提示

(图1 胸部X线检查)
颈部超声检查提示双侧颈部多发性颈淋巴结肿大(最大的位于右下颌下区域,大小为 3 × 3.1 cm2),形态不一,部分呈椭圆形,部分呈圆形,部分可见完整的脂肪门结构,考虑为炎性病变。
入院期间患儿出现双侧眶周
入院第 2 日
外周
结合上述形态学表现与临床特征,高度提示 EB 病毒、巨细胞病毒等病毒感染可能,遂进一步行病毒血清学标志物检测,结果显示巨细胞病毒血清 IgM 和 IgG 抗体阳性;EBV血清 IgM抗体呈阴性。乙肝、丙肝及 HIV 筛查均为阴性。尽管患儿临床表现(黄色痰、发热和呼吸道症状)提示可能合并细菌感染,但实验室及血清学检查最终证实病因为病毒感染。
最终确诊为巨细胞病毒(CMV)单核细胞增多症,患儿 CMV IgG 及 IgM 抗体均为阳性,提示活动性感染,可为原发性(初次)感染或既往感染再激活。
患儿接受保守治疗,服用退热药物并充分补液,密切监测呼吸道症状。自入院第 3 日起,其白细胞总数(TLC)持续性下降,8 日内症状完全缓解。
巨细胞病毒(CMV)感染在临床上较为普遍,对免疫功能正常个体并不具有明显致病性,多数表现为无症状性感染;但对于病理性和生理性免疫功能低下人群,CMV 感染可累及消化系统、呼吸系统、血液系统和中枢神经系统等。CMV 占类
本例患儿最初表现为典型的
有研究显示,约 92% 的急性 CMV 感染者存在肝转氨酶水平升高。与其他
任何发热性疾病中若患者的不典型淋巴细胞占比超过10%,应引起对单核细胞增多症的怀疑。确认 CMV 单核细胞增多症最可靠的诊断试验是 CMV 特异性 IgM 抗体的血清学检测,在疾病的症状期,大多数患者通常呈阳性。
多数 CMV 单核细胞增多症患者无需任何特异性抗病毒治疗即可改善。使用
参考资料:
1. Rana S, Maharjan S, et al. (February 25, 2026) A Rare Presentation of Cytomegalovirus Mononucleosis in a Nine-Year-Old Girl: A Case Report. Cureus 18(2): e104242. doi:10.7759/cureus.104242

(本网站所有内容,凡注明来源为“医脉通”,版权均归医脉通所有,未经授权,任何媒体、网站或个人不得转载,否则将追究法律责任,授权转载时须注明“来源:医脉通”。本网注明来源为其他媒体的内容为转载,转载仅作观点分享,版权归原作者所有,如有侵犯版权,请及时联系我们。)